Остеохондроз для профессионального пациента [Игорь Михайлович Данилов] (fb2) читать онлайн


 [Настройки текста]  [Cбросить фильтры]
  [Оглавление]

Игорь Михайлович Данилов Остеохондроз для проффесионального пациента

Предисловие

Осведомлённость больных не менее опасна для благосостояния врачей, чем безграмотность врачей для здоровья пациентов.

Бывалый читатель удивится, казалось бы, что можно нового написать об остеохондрозе? О нём-то уже так много написано! Как говорил один мой пациент, по профессии физик, «остеохондроз — это же не бозон Хиггса, о нём знают все». Напомню, что бозон Хиггса был постулирован английским физиком-теоретиком Питером Хиггсом ещё в 60-х годах XX века как гипотетическая массивная элементарная частица с нулевым спином, квант хиггсовского поля. Насколько эта элементарная частица важна для фундаментальной физики (в частности, раздела физики элементарных частиц (ФЭЧ) или так называемой физики высоких энергий), занимающейся вопросами изучения картины мира, говорит тот факт, что с целью поиска и экспериментального доказательства существования бозона Хиггса был создан Большой Адронный Коллайдер в Европе — самая крупная на сегодняшний день экспериментальная установка в мире. Так вот, в ответ на это сравнение я позволил себе заметить, что до сих пор данную элементарную частицу никто не видел. Остеохондроз же, безусловно, наблюдают специалисты, а также каждый день чувствуют его достаточно болезненные проявления сотни миллионов жителей нашей планеты. Однако, несмотря на это обстоятельство, мало кто также знает, что это такое, и ещё меньше, что с этим делать.

Гипотетически есть такая наука о позвоночнике — вертебрология. Почему гипотетически? Да потому, что вертебрология, как и бозон Хиггса, существует только в теории, которую никак не могут оформить в официальную науку. Здесь даже одни и те же термины трактуются специалистами по-разному, с существенными различиями. Поэтому, если вам советуют проконсультироваться у вертебролога, то имеют в виду человека с высшим медицинским образованием, который в силу своей специальности занимается в том числе и лечением заболеваний позвоночника, не более того. А вот заболеваний позвоночника бывает много и они различны. Соответственно, разные специалисты занимаются и их лечением: нейрохирурги, ортопеды, травматологи, неврологи, реабилитологи и так далее.

Не так давно моим пациентом был кандидат медицинских наук, вертеброневролог, вертебролог (так было написано в его визитке, которую он мне дал в момент нашего знакомства). Врачи ведь тоже люди и порой им самим необходима медицинская помощь. В клинику он пришёл по рекомендации своего знакомого, с неутешительным диагнозом — секвестрированная грыжа межпозвонкового диска. Поскольку заболевание было запущено, а процесс лечения не быстрый, мы успели с ним подружиться. Он оказался довольно приятным в общении человеком и интересным собеседником. Естественно, мы не могли не затронуть профессиональную тему. То, что он вначале сомневался по поводу альтернативного метода лечения грыжи межпозвонкового диска, это одна сторона вопроса. Понять его можно, поскольку устранение данных грыж безоперационным путём, с помощью метода вертеброревитологии, это действительно новый виток в медицинской практике лечения заболеваний позвоночника. А всё новое, как известно, в той или иной степени вызывает некоторую настороженность, так как связано с открытием неизвестной стороны, новой реальности для данного человека. Но вот его рассуждения по поводу того, что остеохондроз является ни чем иным, как отложением солей на позвоночнике, в межпозвонковых дисках подобно накипи в чайнике у нерадивой хозяйки, меня просто удивили. Одно дело, когда слышишь подобное от своих пациентов, не связанных с медициной, и другое дело, когда об этом подобным образом рассуждают твои коллеги.

Такое мнение об остеохондрозе глубоко ошибочно и, как правило, основано на недостаточном опыте и осведомлённости о процессах, происходящих при развитии заболеваний позвоночника. Но, как говорится, познать всё невозможно, но стремиться к этому надо. Поэтому я весьма рад, что данная тема была затронута. В результате нашего общения этот человек по окончании лечения ушёл из клиники не только с абсолютной уверенностью (на примере собственного позвоночника), что грыжа межпозвонкового диска лечится нехирургическим путём, но и не менее важно, что он ушёл, обогащённый знаниями, с обновлённым и углублённым пониманием процессов, происходящих в позвоночнике при развитии остеохондроза. А это значит, что в свою очередь его пациенты получат более грамотную консультацию и, соответственно, более профессиональную медицинскую помощь. Кстати, напоследок он подарил мне свою новую визитку, чем, в общем-то, приятно удивил. В ней под его фамилией скромно значилось: кандидат медицинских наук, врач-невропатолог.

Но такие случаи единичны, а ошибочное мнение о том, что остеохондроз является «отложением солей» весьма распространено и, к сожалению, прочно укоренилось в общественном сознании. Настораживает также некомпетентность в подобных вопросах некоторых врачей, которые, не задумываясь о неэффективности препаратов, предназначенных якобы для лечения остеохондроза, прописывают их людям. Конечно, можно понять ход их мыслей. Лекарство одобрено Минздравом, а там, чай, не пустые головы сидят. Да и в листике-вкладыше, информирующем пациента, ведь чётко прописано, что «данный препарат предназначен для лечения остеохондроза», «выводит отложения солей из позвоночника». Однако практика, в отличие от теории, показывает, что нет и не может быть лекарства, которое лечит остеохондроз, поскольку сам остеохондроз отнюдь не является отложением солей. Остеохондроз — это дегенеративно-дистрофический процесс, который, как правило, начинается с разрушения тканей межпозвонкового диска и приводит к изменениям в структуре всего позвоночника. Другими словами, это процесс разрушения, а не «отложения солей». Лекарства лечат симптомы остеохондроза подобно тому, как анальгин «снимает» зубную боль при кариесе: боль уходит, а кариес-то остаётся. Так и остеохондроз — мало того, что данное заболевание остаётся невылеченным, так оно ещё и продолжает прогрессировать на фоне временного купирования болей. Некомпетентность некоторых врачей, являющихся жертвами ряда заблуждений, просто поражает. А ведь следствие этого, как минимум — ошибочная постановка диагноза, как максимум — необоснованный выбор методов лечения больных и, как правило, последующее ухудшение состояния здоровья пациентов, о чём свидетельствуют результаты МРТ-обследования, спустя определённое время после такого «лечения». Физику никто не отменял и гравитация существует. Нельзя применять вытяжение при выраженных дегенеративно-дистрофических изменениях в межпозвонковых дисках, особенно при наличии протрузии, и тем более грыж! Нельзя при данных патологиях укреплять (закачивать) мышечный корсет. Здоровья это не добавит, а вот инвалидом сделает точно!

Давайте подойдём к данному вопросу с чисто человеческой стороны. Назначили бы эти врачи препарат или подобное лечение своим близким людям, если бы знали о его неэффективности, о тех последствиях, которые потом отразятся на здоровье больных? Я думаю, что нет. Потому что в отношении близких, родных людей у большинства медиков более тщательно соблюдается заповедь врачебного искусства: «Primum non nocere», то есть «Прежде всего — не навреди»! Но ведь если разобраться, что такое близкий, родной человек? Человеческая близость — это, в первую очередь, свойство доверять, делиться с кем-то самыми глубокими переживаниями, своей болью; это лучик надежды для человека, что он не одинок в своей проблеме и на свете есть кто-то, кто поможет ему с ней справиться, вместе пережить эту беду и разделить радость победы. Но разве такая близость не свойственна врачу и пациенту во время лечения болезни? Просто в любых ситуациях надо быть прежде всего человеком и относиться к другим людям так, как хотели бы, чтобы относились к вам или вашим близким людям. Как в своё время писал Александр Иванович Герцен в статье «Новые вариации на старые темы»: «Быть человеком в человеческом обществе вовсе не тяжкая обязанность, а простое развитие внутренней потребности; никто не говорит, что на пчеле лежит священный долг делать мёд, она его делает потому, что она пчела».

Однако вновь вернусь к вышеописанному случаю с моим коллегой-пациентом. Когда мы расставались, этот человек посетовал, что сейчас трудно найти достойную литературу, которая просто и доходчиво освещала бы подобные вопросы и с точки зрения практической медицины, и с точки зрения точных наук, но в то же время была бы понятна простому обывателю. Я с ним согласен. Проблема действительно существует. И не потому, что люди об этом мало пишут, а потому, что освещаются проблемы заболеваний позвоночника либо слишком специализированно, с обилием медицинских терминов, понятных разве что медикам, либо недостаточно грамотно для того, чтобы претендовать на научно-популярную литературу. А бывает и так, что люди описывают те заблуждения, в которые сами и попали. Эти заблуждения передаются как инфекция от одного человека к другому. А учитывая, что у большинства населения к этой инфекции нет стойкого иммунитета (высшего медицинского образования), то и получается, что подобный литературный «вирус» распространяется беспрепятственно. Хотя, как показывает практика, даже врачи, начитавшись подобной литературы, также иногда инфицируются этими предрассудками, не имеющими ничего общего с действительностью.

Так вот, мой коллега подал хорошую идею — написать книгу «для профессиональных пациентов», то есть своих же коллег, где был бы изложен мой практический и научный опыт в вопросах изучения и лечения остеохондроза позвоночника. Однако я решил значительно расширить рамки данной идеи и написать книгу, которая была бы понятна не только медицинским работникам, но и простым читателям. Тогда любой заинтересованный этой темой человек, начав с базовых знаний, сможет самостоятельно ознакомиться с этапами развития остеохондроза, с реальными процессами, происходящими при дегенерации межпозвонковых дисков, узнать преимущества и недостатки того или иного метода лечения. В конечном итоге эти знания и наглядный опыт, зафиксированный результатами МРТ-обследований, рано или поздно окажут ему неоценимую услугу в критической ситуации, когда возникнут серьёзные проблемы с его позвоночником и, соответственно, его здоровьем. Данные знания помогут ему не растеряться, правильно оценить ситуацию, сориентироваться в выборе метода лечения. Да и кроме того — это полезное общественное дело лишит хотя бы часть здравомыслящего населения опасных для здоровья заблуждений, которые не на шутку начинают цементировать сознание людей. Ведь если не исправишь зло, — оно удвоится. В общем надеюсь, что человек, прочитав данную книгу, совершит своё восхождение к вершине знаний одной из удивительных, во многом загадочных гор из огромного неизведанного массива науки под названием «Вертебрология». И этот поход оставит в нём не только массу позитивных впечатлений, но и обогатит его знаниями, которые помогут сохранить ему здоровье.

Занимательная природа позвоночника

Природа дарит здоровье человеку, если человек познаёт себя и рационально следует своей природе.

Бытует мнение, что остеохондроз позвоночника и его осложнения, такие как протрузии, грыжи межпозвонковых дисков — это «плата» человека за прямохождение. Многие авторы указывают на несостоятельность позвоночника человека и его неприспособленность к вертикальным нагрузкам. Они ссылаются на одну из доминирующих гипотез в палеоантропологии о том, что прямохождение предков современных людей возникло как следствие эволюции походки на четвереньках высших приматов. Однако гипотеза есть гипотеза (от древнегреческого слова hypothesis — «основание», «предположение»). Её либо доказывают, подтверждая фактами, либо опровергают, перемещая в разряд ложных утверждений. Палеоантропология (гр. palaios — «древний», anthropos — «человек», logos — «слово», «учение») — это в общем-то удивительная наука, изучающая ископаемого человека на основе его останков. Здесь, на основе изучения различных находок отдельных костей, а порой и их фрагментов, учёные делают порой довольно смелые обобщающие выводы, в которых они, как правило, почти уверены. Правда, тут же находятся их коллеги, которые готовы им возразить.

Так происходит и с гипотезой о том, от кого человек приобрёл способность к прямохождению. Ещё совсем недавно учёные предполагали, что «предки» современных людей, к которым они относят высших приматов, обрели способность к походке на двух ногах в результате эволюции хождения на четвереньках с опорой на костяшки пальцев. Однако, благодаря последним находкам и исследованиям, была выдвинута новая гипотеза, претендующая на главенство, что прямохождение было присуще обезьянам с самого начала, и произошло оно благодаря развитию способности лазить по деревьям, а не ходить по земле на четвереньках. Я уверен, что и это не последняя версия в данном вопросе и человечеству предстоит сделать ещё массу случайных находок и грандиозных открытий в этой науке.

Иногда приходится читать статьи некоторых учёных мужей, которым кажется, что позвоночник человека несовершенен якобы из-за прямохождения человека. Такие фразы как «плата человека за прямохождение», «заболевания остеохондрозом встречаются среди животного мира нашей планеты только у человека» прямо таки пестрят в их работах. В этом они видят причину многих заболеваний опорно-двигательного аппарата. Уверен, что если эти люди немного расширят свой кругозор знаний, то они, безусловно, изменят своё мнение по этому вопросу. На сегодняшний день есть много интересных, актуальных исследований, фундаментальных работ о заболеваниях позвоночника у животных. Например, «A Pathological-Anatomical Interpretation of Disc Degeneration in Dogs» автор Hansen H. J., издавший данную работу в 1951 году. Кстати, в этой работе указывается, что в научном мире первую грыжу у собаки (породы такса) обнаружил и описал Jonson ещё в 1881 году. Или же работы таких авторов, как Hoerlein, Funkquist, Griffiths да и многих других замечательных исследователей, которые обогатили вертебрологию, исследовав и описав различные заболевания позвоночника у животных, в том числе и дегенеративно-дистрофические процессы, осложнённые протрузиями и грыжами межпозвонковых дисков.

Так что грыжи межпозвонковых дисков бывают и у животных, например, у четвероногих друзей человека — собак, кошек, и, кстати говоря, являются серьёзной проблемой среди крупных представителей семейства кошачьих, таких как львы, тигры и леопарды. Интересный факт: среди «крупных кошек», живущих на воле, грыжи межпозвонковых дисков бывают намного реже, чем у тех, которые содержатся в зоопарках. Причина этого — гиподинамия, малоподвижный образ жизни животных, находящихся в неволе! Так что животные, так же как и люди, существуя в условиях данной планеты (находясь под воздействием сил гравитации, электромагнитных полей и других полей), испытывают определённые нагрузки, болеют в том числе и остеохондрозом, мучаются от его осложнений, таких, как те же грыжи межпозвонковых дисков. И лечат их, так же как и людей, в основном оперативно, используя такие же методы: перкутанная дискэктомия, пункционная лазерная дискэктомия, ламинэктомия, внутридисковая электротермальная терапия, гемиламинэктомия, педикулоэктомия и т. д. И так же как и у людей у животных бывают послеоперационные осложнения и рецидивы. Так что не стоит так беспечно ссылаться на прямохождение, как на причину возникновения многих заболеваний опорно-двигательного аппарата. Лучше уж искать истоки, чем следовать течению ручейков.

Как говорил Публилий Сир: «Раздумья всех нас учат мудрости». Давайте разберёмся: насколько досконально люди знают о позвоночнике? Ведь до сих пор эта центральная опора человеческого тела остаётся одной из самых загадочных структур человека, как, впрочем, и головной мозг. Даже если принять во внимание часть того, что уже на сегодняшний день известно науке, благодаря современным исследованиям, то уже можно говорить о том, что скелет человека — это совершенная динамическая конструкция, которая не только замечательно адаптирована к двигательной функции, образу жизни человека, но и оперативно реагирует на различные изменения организма и окружающей среды. Позвоночник человека — это довольно уникальная, весьма целесообразно и рационально продуманная, совершенная с точки зрения биомеханики несущая конструкция, выполняющая защитную и опорную функции. Он выдерживает значительную часть тяжести человеческого тела, имеет трёхкратный запас прочности, да ещё при этом сохраняет удивительную подвижность. На мой взгляд, позвоночник человека совершенен, а причина многих заболеваний сокрыта в его неправильной «эксплуатации».

Думаю, каждому человеку будет интересно узнать, что представляет собой центральная опора его тела. Давайте рассмотрим вопрос о пределе прочности позвоночника в условиях постоянных вертикальных нагрузок. Как известно, главную роль в любом строении, к примеру в архитектуре, выполняют несущие конструкции, которые и принимают на себя основные нагрузки, то есть различное воздействие механической силы на конструкцию. Чем лучше они продуманы с точки зрения физики, геометрии, математики, тем прочнее, устойчивее будет здание, сооружение в целом. Для раздела физики — механики (кстати напомню, что слово «физика» произошло от древнегреческого слова physis, что означает «природа») характерно такое понятие, как прочность материала, то есть сопротивление деформации и разрушению, которые обусловлены действием внутренних напряжений, возникающих от внешних сил. Предел прочности — это максимальное механическое напряжение, выше которого происходит разрушение материала, подвергаемого деформации. К слову сказать, одним из первых, кто научно исследовал и обосновал физику прочности, был выдающийся итальянский учёный Галилео Галилей, который многим нынешним людям больше известен как «узник инквизиции» за свои прогрессивные для своего времени взгляды на гелиоцентрическую систему мира, противоречившие доминирующей идеологической системе того времени.

Так вот, в отношении центральной опоры тела человека всё выглядит довольно продуманно. С точки зрения механики, предел прочности позвоночника определяется системой его искривлений и формой позвонков. Если горизонтально разрезать позвоночник человека, то он будет напоминать букву «Т»! То есть известный в технике своей прочностью профиль тавровой балки. Для тех, кто не знает что это такое, поясню. Тавровая балка (от греч. таи — «т») — балка, сечение которой напоминает букву «Т» — является практически универсальной для строительства, поэтому имеет самое широкое применение в конструировании основных элементов зданий, мостов и других сооружений. Даже в глубокой древности не просто знали о прочности т-образной формы, но и схематически изображали такой формой наиболее значимые культовые образы. Обратите, к примеру, внимание на рисунок из ацтекской рукописи (кодекс Майер-Фейервари), где изображена древнемексиканская схема мира в виде креста с четырьмя т-образными деревьями, указывающими основные направления.


Рисунок № 1. Древнемексиканская схема мира из кодекса Майер-Фейервари


Подобное можно найти в системе миропонимания других народов. У славян, к примеру, «т» являлась двадцатой буквой древнерусского алфавита, которая называлась «твърдо» (твёрдый) и имела числовое значение равное 300. А древнерусское слово «твърдь», в свою очередь, означало «небосвод, небесную твердь, укрепление». Несомненно, когда-то человек позаимствовал схему этой конструкции у природы. Теперь, рассказывая о природе, приходится восхищать человека его же творениями. Таков парадокс нынешнего времени. Так вот, возвращаясь к теме разговора, проведённые исследования показали, что если удалить один из взаимно перпендикулярных элементов, скажем остистый отросток, то предел прочности позвоночника снизится в шесть раз!


Рисунок № 2. Позвоночник человека (вид сбоку) Физиологические искривления позвоночника в виде лордоза (шейного и поясничного), кифоза (грудного и крестцового)


Повышение прочности позвоночника к вертикальным нагрузкам обеспечивают существующие в нормальном позвоночнике физиологические искривления в виде шейного и поясничного лордозов (греч. lordos — выгнутый; лордоз — изгиб позвоночника, направленный выпуклостью кпереди), грудного и крестцового кифозов (греч. kyphos — согнувшийся; кифоз — изгиб позвоночника, направленный выпуклостью кзади). Массивность тел позвонков увеличивается от шейных к поясничным.

Если позвоночник человека разрезать в сагиттальной плоскости, то он будет иметь форму латинской буквы «S». А из механики известно, что S-образная балка прочнее прямой в семнадцать раз! Поэтому наличие вот таких изгибов в позвоночнике значительно повышает его прочность, сопротивляемость к разнообразным нагрузкам, поскольку обуславливает его рессорные свойства. Причём изменение формы позвоночника у человека наблюдается не с рождения, а лишь на первом году жизни в связи с развитием моторики. К примеру, шейный лордоз закрепляется, когда ребёнок начинает держать головку. Поясничный лордоз формируется, когда ребёнок учится садиться, потом стоять, ходить. Одновременно усиливаются грудной и крестцовый кифозы. Примечательно, что на ранних этапах внутриутробного развития человеческого зародыша наблюдается сходство тел позвонков по их форме. И лишь в конце второго месяца внутриутробного развития тела шейных позвонков будущего «чада» начинают резко увеличиваться в своих размерах. А вот увеличение тел поясничных и крестцовых позвонков не наблюдается даже у новорожденных. Почему? Благодаря всё той же физике. Ведь все мы до рождения на белый свет пребывали в перевёрнутом виде в удивительно комфортном для нас «мини-океане» маминого живота, где отсутствуют гравиостатические воздействия. Кстати, может быть поэтому, родившись на белый свет, некоторые люди со здоровым чувством юмора до сих пор считают этот мир перевёрнутым с ног на голову?


Рисунок № 3. Предел прочности человеческого позвоночника


Так каков же предел прочности для человеческого позвоночника? Средний предел прочности позвоночника среднестатистического взрослого человека равен примерно 350 кг. Он различен для позвоночных отделов: шейного — примерно 113 кг, грудного — 210 кг, поясничного — 400 кг. Если учесть, что нормальная нагрузка на позвоночник человека, обусловленная тяжестью вышележащей части туловища, составляет для шейного отдела 50 кг, для грудного — около 75 кг и для поясничного — 125 кг, то запас прочности позвоночника человека равен почти трём!

Нагрузки — дело серьёзное. Как говорится, если достаточно долго безжалостно эксплуатировать свой автомобиль, он, в конце концов, сломается. И последующий его ремонт обойдётся вам лишь заменой одних неисправных деталей другими. Межпозвонковые диски испытывают на себе действие сил тяжести тела, а также мышечного тонуса, который воздействует на диски в качестве дополнительной силы сжатия. Наибольшие нагрузки приходятся на поясничные межпозвонковые диски, когда человек находится в положении сидя. Так, если у человека, с массой тела всего 70 кг, четвёртый поясничный диск испытывает нагрузку в положении лёжа 20 кг, в положении стоя (или при ходьбе) от 70 до 100 кг, то в положении сидя — 140 кг и более! Это является одной из основных причин, почему люди, которые больше сидят и меньше ходят, чаще болеют остеохондрозом.

Силы давления, действующие на позвоночник, значительно возрастают, если руки человека используются в виде рычага. Подсчитано, что если в вытянутых руках человек поднимает груз в 10 кг, то его поясничные межпозвонковые диски испытают нагрузку более чем в 170 кг. А если масса груза будет равна 90 кг, то нагрузка на пятый поясничный диск составит около 1000 кг! Так что, уважаемый читатель, делаем выводы: не носите грузы «в» или «на»… вытянутых руках без чрезмерно уважительных причин. Хотя в большинстве случаев, как правило, ни одна уважительная причина не оправдывает потраченного на неё здоровья. Таковы некоторые прочностные характеристики позвоночника человека.

Рисунок № 4. Нагрузка в положении лёжа на межпозвонковый диск, расположенный в сегменте LIV-LV поясничного отдела позвоночника.

Рисунок № 5. Нагрузка в положении стоя на межпозвонковый диск, расположенный в сегменте LVV—LV поясничного отдела позвоночника.

Природа сделала всё возможное для того, чтобы человек мог проживать на планете Земля с учётом гравитационного, магнитного, электромагнитного и иных полей планеты, постоянно воздействующих на живые организмы. Правда, судя по данным физики, биологии и биомеханики, она, видимо, рассчитывала эту конструкцию для активного существа, предполагая, очевидно, что человек будет умеренно, рационально питаться, много ходить и совершать максимум полезной работы в её владениях. И уж никак не рассчитывала, что её творенье превратится в существо пассивное, ленивое, наедающееся от пуза, имеющее отвращение к труду и наклонность к праздности, и главное, проводящее большую часть своего рабочего дня в сидячем положении! А в выходные дни, в большинстве случаев, — в положении лёжа. Причём, как правило, в совершенно неудобной для позвоночника позе, да ещё в зоне воздействия дополнительных источников электромагнитного облучения, то есть телевизора, мобильника, ноутбука и т. д.


Рисунок № 6. Нагрузка в положении сидя на межпозвонковый диск, расположенный в сегменте LIV-LV поясничного отдела позвоночника


В общем, сплошные перегибы вместо рационального использования дарованной человеку жизни, уникального тела и технических достижении мировой цивилизации.

Современные исследования говорят о том, что всё-таки права природа-матушка: если вести подобный малоподвижный образ жизни — никакого здоровья не наберёшься. Результатом гиподинамии, то есть недостатка движения, будет нашествие целой орды болезней. Но главное — страдает позвоночник! А уж состояние позвоночника влияет на многое, в том числе на головной мозг, на нервную систему, на органы в целом. Ведь как я уже говорил, позвоночник человека является центральной опорной структурой человеческого тела, что и предопределяет его анатомические и функциональные особенности. Впрочем, чтобы лучше услышать зов природы и не расплачиваться из-за незнания собственного организма болезнями, давайте немного окунёмся в мир занимательной анатомии позвоночника.

Строение позвоночника — «Древа Жизни»

Позвоночник человека — это Древо Жизни, которое имеет свои корни, мощный ствол и могучую крону, уходящую в головной мозг.

Занимательная лингвистика хребта
Позвоночник люди именуют по-разному. В медицине, на профессиональном языке, общепринято латинское название columna vertebralis (columna — колонна, столб; vertebralis — позвоночный). Народ же в основном не утруждает себя сложной иноземной латынью и называет позвоночник просто — «спина», обращаясь к врачам традиционно: «спинку прихватило», «хребет болит», «спина беспокоит». В свою очередь, согласно этимологическому словарю Макса Фасмера, значение слова «спина» (лат. spina — ость) было известно древним славянам и под словом «хрьбьтъ» (хребет). В моей практике на консультациях до сих пор встречаются такие жалобы пациентов на своё здоровье: «хребет ломит», «А вы вправляете хребтовые позвонки?», «хребет совсем не гнётся». Так что живёт ещё это слово в славянском языке.

А ведь «хребет» у славян означает не только продольную середину спины, но и верхнюю часть волны, холма, а также горную цепь, кряж, гряду, то есть то, что имеет возвышение, приближенное к небу. Любопытно, что такая лексическая полисемия (от греч. poly — много, sema — знак) слова «хребет» свойственна не только славянам. Окунувшись в увлекательный мир науки о языкознании — лингвистики (от лат. lingua — язык), изучающей так сказать общечеловеческий язык (протоязык), запечатлённый в разных языках мира, можно найти весьма интересные факты. Если судить по степени распространённости семантического перехода слов со значениями «спина» — «горный хребет» в разных языках мира, то можно обнаружить, что подобная связь свойственна носителям разных культур. Вот несколько таких занимательных примеров из известных на сегодняшний день 18 реализаций(!)


Латынь (индоевропейская языковая семья): «dorsum» — «спина; хребет, возвышенность».

Армянский язык (индоевропейская языковая семья): «вогн» — «спинной позвонок», а «вогунк» — «горная цепь».

Финский язык (уральская языковая семья): «selka» — «спина; возвышенность, кряж».

Монгольский язык (алтайская языковая семья): «нуруу» — «спиной хребет; горная цепь».


Напомню, что таким тёплым, домашним словом «семья» лингвисты обозначают достаточно большие группы разных народов, которые имеют родственные языки, представляющие собой поздние формы праязыка, то есть языка-основы, который на сегодняшний день пока ещё, к сожалению, реконструируется на основе системы соответствий и существует, по сути, гипотетически. В отношении немалых проблем последнего можно сказать, что с гипотетической наукой вертебрологией они просто «братья по несчастью». Думаю, что если человечество сможет постигнуть их загадки, то эти «братья» ещё и не так удивят людей своими тайнами «родственных отношений».

Когда читаешь старинные трактаты по народной медицине, в которых представлено учение о частях тела в соответствии с их мифопоэтической семантикой, понимаешь, откуда происходят такие сопоставления разных по значению слов. Для мифологии народов мира характерны некие общие легенды о сотворении вселенной, в которых, как правило, лежит концепция о единстве макро - и микрокосмоса. Одним из таких популярных мифов в древнем мире было сказание о первом человеке — первопредке, гигантские части тела которого послужили строительным материалом для создания мира. У различных народов его называли по-разному. В древнеиндийской мифологии первочеловека (из которого возникли элементы космоса, вселенская душа, «Я») именовали Пуруша, в древнеегипетской традиции в этом качестве выступал бог Птах, в древнекитайской — Паньгу и так далее. Так вот, согласно мифам, из той части тела первочеловека, которая соответствовала спине, в большинстве этих легенд были образованы священные горы мира. К примеру, в мифе о Паньгу упоминается следующее: «После смерти Паньгу его дыхание стало ветром и облаками, левый глаз — солнцем, правый — луной, четыре конечности и пять частей тела — четырьмя пределами земли (четырьмя сторонами света) и пятью священными горами, кровь — реками, жилы и вены — дорогами на земле, плоть — почвой на полях, волосы на голове и усы — созвездиями, растительность на теле — травами и деревьями, зубы и кости — золотом и каменьями, костный мозг — жемчугом и нефритом, пот — дождём и росой. А паразиты, жившие на его теле, превратились в людей».

Из всех образных сравнений позвоночника, претендующих в мифологии народов мира и на священные горы, и на мировую ось, и на мировую гору, больше всего мне понравилось сопоставление в трудах, написанных древними китайскими медиками. Они по-философски мудро сравнивали позвоночник с Древом Жизни, которое имеет в человеке свои корни, мощный ствол, и могучую крону, уходящую в головной мозг. А это означает, что в те времена, когда в умах учёных людей господствовали не столько материальные, сколько духовные аспекты измерения жизни, познания мира и самого себя, такое образное сравнение позвоночника давало высокую, качественную оценку данному органу. Замечу, что древние народы придавали огромное значение понятиям «Дерева Жизни» или «Мирового Дерева». Последнее запечатлено в космогонических мифах народов как результат создания некой космической опоры, на которой держится мир в самом сакральном своём центре (ось мира). Такое мифологическое Древо являлось доминантой, определяющей организацию самой Вселенной.

После такого небольшого лингвистического экскурса в далёкое прошлое перейдём к не менее занимательному настоящему — анатомии позвоночника. Тот, кто думает, что об анатомии человека давно всё известно, глубоко ошибается. В этой науке ещё есть много неразгаданных тайн, которые ждут своего исследователя. Эта книга предназначена для массового читателя, поэтому я не буду отходить от традиционных канонов анатомии. Надо принять во внимание, что здесь будет рассматриваться строение позвоночника так называемого в анатомии «усреднённого» человека, то есть своеобразного «макета» без возраста, пола, вариабельности индивидуальных особенностей строения. Отмечу, что в жизни функциональный позвоночник каждого человека гораздо более интересней и занимательней, чем он, к примеру, кажется в руках анатома (хотя, смотря какого анатома). Напомню, что анатомия — это наука о строении организмов, в том числе и человеческого тела. Латинское слово anatomia произошло от греческого слова anatome — расчленение, рассечение.

Латынь — язык медицины
Кстати, как вы заметили, текст изобилует греческими и латинскими терминами и их пояснениями. Любая научная дисциплина имеет свою терминологию, свой профессиональный язык общения. Для медицины таким языком является латинский. Когда-то было такое древнее племя латинов, населявшее область Лации в средней части Апеннинского полуострова (территория нынешних государств Италии, Ватикана). В связи с политическим и религиозно-идеологическим возвышением Рима (города, который был основан на этих землях) латинский язык распространился по всему Апеннинскому полуострову, затем в большей части Римской империи и стал языком, употребляемым как в государстве, так и в его колониях.

Во II веке до новой эры римляне завоевали Древнюю Грецию, которая уже имела высокоразвитую культуру, систему определённых знаний как гуманитарного, так и научного характера, в том числе и в области медицины. Напомню, что древние греки в своё время, таким же путём войн, переняли достаточный объём знаний от персов, египтян. Да и сами приложили немало усилий, развивая ту же медицинскую науку, благодаря целой плеяде учёных-врачей, например таких как Алкмеон Кротонский, Гиппократ (которого, кстати, считают «отцом» медицины), Аристотель (воспитатель Александра Македонского) и других. Так вот, латинское алфавитное письмо уже формировалось на основе греческого алфавита. Многие греческие слова латинизировались.

После распада Римской империи и образования раннефеодальных государств Западной Европы латинский стал языком церкви, дипломатии, образования, науки. В средние века латынь являлась уже общим письменным языком западно-европейского общества, языком, на котором в Европе (XI в.) преподавались предметы в первых университетах (лат. universitas — совокупность, общность). Кстати, идея о создании в Европе таких учебных заведений, как университеты, была перенята с Востока, впрочем, как и идея книгопечатания, благодаря развитию которого в Европе на латыни стали издаваться многие научные труды. Западная Европа получила новый импульс в использовании латыни в медицине (лат. medicina — врачебная, лечебная наука, исцеление; medica — целительница, а также целебные травы, лекарственные растения) в эпоху Возрождения, благодаря таким учёным, как Андреас Везалий, Уильям Гарвей, Амбруаз Паре и другие. Их труды способствовали становлению латинской научной терминологии.

Сейчас современная медицинская наука пользуется лексическими элементами и терминами как греческого, так и латинского языков. И если для специалиста эта терминология вполне понятна, то для обывателя она звучит не иначе, как «медицинское ругательство», как говорил не без доли юмора один мой пациент. Поэтому, для взаимопонимания, да и просто ради расширения кругозора читателя, я позволил себе некоторые уточнения.

Вообще, история происхождения и становления медицинских терминов — это довольно занимательная история. В одних случаях значение слова бывает весьма конструктивным и точно отображает суть, в других — его происхождение до сих пор остаётся загадкой для людей. А бывают случаи, когда термин выражает устаревшее и, как считают учёные, порой ошибочное мнение. Хотя лично я не совсем согласен с некоторыми их заключениями.

К примеру, взять известный со школьной скамьи анатомический термин «артерия». Греческое слово arteria происходит от aer — воздух, атмосфера и tereo — содержу, храню. Считается, что древние греки так назвали артерию, потому что у них существовало ошибочное мнение, будто она представляла собой канал для воздуха, сосуд, который содержал воздух. И соответственно, рождалось ложное предположение, что вдыхаемый воздух, благодаря этим сосудам, охлаждал сердце. Но здесь упускается из виду один момент. Древние греки, по сути, во многом переняли медицину (в некоторых моментах не совсем качественно, учитывая неточности переводов, неполной устной передачи знаний исследователю местными лекарями, да и просто вследствие недопонимания некоторых терминов) от древних египтян, уровень познания которых в этой науке был гораздо выше. Если же исходить из современных понятий, то артерии — это кровеносные сосуды, несущие от сердца к органам и тканям, помимо питательных и других полезных веществ, обогащённую кислородом кровь. А кислород, как известно, является составной частью воздуха, без которого человек не может жить, как и другие живые организмы на этой планете. Безусловно, сам кислород как химический элемент был открыт в XVIII веке, а гемоглобин — в XX. Гемоглобин — вещество, состоящее из белка глобина и пигмента гемма (железосодержащего порфирина). Он находится в красных клетках крови (эритроцитах), непосредственно выполняет функцию переноса в крови кислорода от органов дыхания к тканям и диоксида углерода от тканей к органам дыхания. Однако о жизненной ценности воздуха люди знали давно. Так что не всё так запущено, как кажется.

Тайны эмбриона
Позвоночник человека, можно сказать, элемент знаковый. В своём развитии он проходит перепончатую, хрящевую и костную стадии. Любопытно, что элементы позвоночника (хорда и сегменты в количестве 21) проявляются у эмбрионального зародыша на этапе развития, когда он достигает длины 7 мм. Невольно на ум приходит сопоставление с мифологическими числовыми константами, упорядочивающими мир. В данном случае с числом 7, как образом синтеза статического и динамического аспектов вселенной, неизменной величины в описании мирового дерева. А вот у эмбрионального зародыша уже длинной 9 мм закладки тел позвонков далеко отстоят друг от друга, разделяясь прослойками зародышевой мезенхимы (соединительной ткани). Любопытно, что число 9 считалось также одним из важных, сакрально отмеченных чисел. К примеру, в Древнем Египте эта константа отображала теогоническую и космогоническую систему — эннеаду, то есть великую девятку богов, осуществлявших план творения мира. В той же старинной китайской поэзии число 9 использовали в значении «все».

Отмечу также, что при длине эмбрионального зародыша 13,5 мм, когда уже отчётливо выражены дуги позвонков, начинают формироваться поперечные и суставные отростки. Некоторые особо впечатлительные люди, которые верят в разные приметы, при упоминании цифры 13, пусть даже и с половинкой, возможно пожелают произвести определённые действия, прежде чем продолжить чтение. Авось пронесёт! Однако, как говорится, «наше авось не с дуба сорвалось, рассудительное». Смех, конечно, смехом, но именно в этот период эмбрионального развития начинают формироваться наиболее часто встречающиеся аномалии и пороки развития позвоночника, связанные с изменением числа поясничных и крестцовых позвонков. Почему это происходит? Да потому что сакрализация (медицинский термин, означающий аномальное слияние пятого поясничного позвонка с крестцом) случается, когда поперечные отростки развиваются аномально и становятся довольно большими! Они образуют с крестцом и подвздошными костями таза анатомическую связь, которая бывает хрящевой, костной, в виде сустава; неподвижной или подвижной. И что самое печальное, это часто служит причиной возникновения болей в поясничном отделе позвоночника! В общем-то, аномалий, связанных с поперечными и суставными отростками, достаточно по своим разновидностям. Это и асимметричное положение суставных площадок позвонков, укорочение суставных отростков, сращение между собой поперечных отростков. Один из поперечных отростков может вырасти больше другого, а это в свою очередь создаст условия для развития сколиотической деформации позвоночника.

Только не думайте, что этот процесс происходит у всех поголовно. Спешу вас успокоить, вовсе нет. Во-первых, такие аномалии встречаются достаточно редко. Во-вторых, эти сведения больше предназначались для моих коллег, которые, возможно, ещё не сталкивались в своей практике с подобными аномалиями, не требующими хирургического вмешательства. Дело в том, что специалистам, занимающимся лечением заболеваний позвоночника, важно знать о таких аномалиях с точки зрения общего понимания процессов эмбриогенеза и онтогенеза позвоночника для правильного анализа пространственного положения позвонков и соответственно предпринимаемых дальнейших действий. Эти знания уберегут не только от принятия ошибочных решений, но и помогут понять, к примеру, откуда взялся ранний остеохондроз у человека, или почему возник сколиоз в данном конкретном случае, или почему человека беспокоят постоянные боли в пояснице и так далее.


СКТ № 1

На спиральной компьютерной томографии (СКТ) № 1 наблюдается сращение между собой поперечных отростков LIII-LIV

СКТ № 2

На СКТ № 2 наблюдается аномальное слияние поперечногоотростка пятого поясничного позвонка с крестцом — сакрализация.


Добавлю ещё, что подобная беда не приходит одна: такие пороки развития у человека чаще всего бывают множественными. Как свидетельствует статистика, причины 40–60 % аномалий развития как совокупности отклонений от нормального строения организма (возникающих в процессе внутриутробного или, реже, послеродового развития) неизвестны. Хотя, как говорится, случайности не случаются. Если смотреть по-философски на этот вопрос, то не так страшна болезнь человека или аномалии его физического тела. В конце концов, при современном уровне развития медицины это вопрос во многих случаях решаемый. По крайне мере, не смертельный. Люди живут ещё и с худшими проблемами — без рук, без ног. А иногда даже, вы не поверите, но как гласит народная молва, некоторые особи рода человеческого умудряются жить без головы и мозгов. Так что во всяком совершенстве есть свои недостатки, ведь на солнце тоже бывают пятна. Гораздо хуже, когда человек имеет не физический, а нравственный порок, как говаривали наши пращуры — наклонность к худу, себялюбие, нравственное калечество, кривоту души. Вот тогда действительно приходит настоящая беда, которая порабощает человека своей бездуховностью, делает его нищим по содержанию, отягощает различными болезнями и депрессивными состояниями. И здесь, поверьте, даже современная медицина бессильна, если гомункулус (лат. homunculus — человечек) сам не захочет стать Хомо сапиенсом (лат. «Homo sapiens» — Человек разумный).

Известный испанский драматург XVII века Лопе де Вега в своей комедии «Учитель танцев» (пер. Т. Щепкиной-Куперник), написал следующие строки:

«Нет! Никогда не умирает тот,
Чья жизнь прошла светло и беспорочно,
Чья память незабвенная живёт
В сердцах людей, укоренившись прочно.
Ведь раб не тот, кто стонет под кнутом,
Не тот отшельник, кто по воле неба
Живёт в уединении глухом,
И нищ не тот, кто просит корку хлеба.
Но тот и раб, и нищ, и одинок,
Кто в жизни выбрал спутником порок
И продал честь за сладкий яд отравы.
Свободу ж, царство счастия нашёл
Тот, кто избрал при жизни ореол
Высокой чести и бессмертной славы».
Вот такая получается у нас с вами необычная анатомия рассуждений: за что в позвоночнике не зацепись, всё с жизнью связано.

Отделы позвоночника
Продолжим наш экскурс по занимательной анатомии позвоночника. Итак, позвоночный столб является частью осевого скелета. Эта уникальная по своим опорным и амортизационным функциям структура не только соединяет череп, рёбра, тазовый пояс, но и является вместилищем для спинного мозга. Позвоночник человека состоит из 32–34 позвонков. Почему даются столь приблизительные цифры? Потому что, как вы помните, речь идёт об анатомии «усреднённого» человека. А на самом деле в позвоночнике, как и в любой другой живой структуре, могут быть свои небольшие количественные (и качественные) отклонения, то есть свои индивидуальные особенности строения.

В этой основной части осевого скелета человека различают шейный, грудной, поясничный, крестцовый и копчиковый отделы. Рассмотрим более подробно эти отделы и наиболее типичное количество их позвонков. Шейный отдел является самым подвижным. В нём располагаются 7 позвонков. Латинское название vertebrae cervicales — позвонки шейные (vertebra — позвонок; cervix — шея). В медицинских документах позвонки этого отдела помечаются латинской буквой «С» — сокращение от слова cervicales, а приписываемый к букве индекс, к примеру СI, СII, СIII и т. д., означает номер позвонка — первый шейный позвонок (СI второй шейный позвонок (СII) и т. д.

Рисунок № 7. Отделы позвоночника


На данные позвонки приходится меньше нагрузки по сравнению с нижележащими отделами позвоночного столба, поэтому и выглядят они более «миниатюрно». Особого внимания заслуживают первые два шейных позвонка, которые значительно отличаются от других (их ещё называют атипичными позвонками). Они хоть и маленькие по размерам, но самые ответственные работники, которые отвечают за подвижное сочленение с черепом. Почти как люди, которые приближены к самым верхам органов власти и отвечают за… Ну, не будем об этом. Поэтому I и II шейные позвонки имеют не только особую форму, отличаясь по своему строению от других позвонков, но и персональные названия: атлант и эпистрофей.


МРТ № 1

На магнитно-резонансной томографии (МРТ) № 1 — шейный отдел позвоночника, в относительно нормальном состоянии.

Шейный отдел позвоночника должен иметь нормально выраженный физиологический лордоз, не должно быть гиполордоза или гиперлордоза, а так же кифотических деформаций.

Ширина спинного мозга: сагиттально > 6–7 мм

1. Сагиттальный размер позвоночного канала на уровне:

СI 21 мм

СII 20 мм

СIII 17 мм

CIV-CVII = 14 мм

2. Высота межпозвонковых пространств:

СII < СIII < СIV < СV < СVII  СVII

3. Ширина спинномозгового канала: поперечный диаметр на уровне ножек: > 20–21 мм


Рисунок № 8. Первый шейный позвонок — атлант (atlas). Вид сверху

1 — позвоночное отверстие; 2 — задний бугорок; 3 — задняя дуга; 4 — борозда позвоночной артерии; 5 — отверстие поперечного отростка; 6 — верхняя суставная ямка; 7 — поперечный отросток; 8 — латеральная масса; 9 — ямка зуба; 10 — передний бугорок; 11 — передняя дуга.


Имя Атлант каждый, наверное, слышал ещё в детстве из цикла античных легенд о богах Олимпа. Правда, сказания о последних мне больше напоминает то, о чём когда-то давно говорил римский поэт Гораций: «Decipimur specie recti», что означает «Мы обманываемся видимостью правильного». Так вот, согласно древнегреческой мифологии, был такой титан Атлант (брат Прометея), который в наказание за участие в борьбе титанов против олимпийских богов держал по приказу Зевса небесный свод на своих плечах. В честь Атланта (греч. atlas) и был назван первый шейный позвонок. Любопытно, что данный позвонок лишён остистого и суставных отростков, не имеет даже тела и вырезок. Он состоит из двух дужек, соединённых между собой боковыми костными утолщениями. Всё как бывает у людей в вертикали власти, мол, среди слепых и кривой — царь. Своими верхними суставными ямками атлант прикрепляется к мыщелкам (костным выступам, входящим в состав сочленения) затылочной кости. Последние, так сказать, ограничивают степень свободы (подвижности) атланта, чтобы этот позвонок знал своё место и за рамки дозволенного не выходил.


Рисунок № 9. Второй шейный позвонок — эпистрофей (осевой — axis). Вид сзади и сверху

1 — зуб осевого позвонка; 2 — задняя суставная поверхность;3 — верхняя суставная поверхность; 4 — тело позвонка; 5 — поперечный отросток; 6 — отверстие поперечного отростка; 7 — нижний суставной отросток; 8 — остистый отросток; 9 — дуга позвонка


Второй шейный позвонок — эпистрофей. Так его назвал Андреас Везалий — врач, основоположник научной анатомии, живший в эпоху Возрождения. Греческое слово epistrepho означает «поворачиваюсь, вращаюсь». Латинское название второго шейного позвонка — axis (ось), то есть осевой. Этот позвонок не менее важный, чем атлант, если говорить с юмором, то это ещё тот «изворотливый гусь». Он имеет костный вырост — отросток, похожий на зуб (называется зубовидный отросток), вокруг которого вращается атлант вместе с сочленяющимся с ним черепом. Если проводить параллели с людской жизнью, то второй шейный позвонок похож на тех людей, которые держатся у власти за счёт компромата на своё начальство. Не зря в народе говорят, «этот человек зуб точит на начальство». Вот такой он, эпистрофей, маленький, незаметный, а держит всю голову. Однако как бы эти позвонки не называли, а оба они составляют уникальный механизм, благодаря которому человек может совершать разнообразные движения головой, делать те же повороты, наклоны, в том числе и бить челом, когда органам власти подаёт свою челобитную.


Рисунок № 10. Типичный шейный позвонок (CIII—CVII). Вид сверху

1 — позвоночное отверстие; 2 — дуга позвонка; 3 — остистый отросток; 4 — верхний суставной отросток; 5 — нижний суставной отросток; 6 — поперечный отросток; 7 — задний бугорок поперечного отростка; 8 — передний бугорок; 9 — тело позвонка; 10 — поперечное отверстие.


Вообще шейный отдел — это «особый отдел» сотрудников-позвонков, которые в том числе несут ответственность за безопасность головы. Благодаря своей уникальной конструкции и работе, шейный отдел обеспечивает возможность для головы следить, держать под контролем (зрительным, естественно) достаточно обширную часть пространственного кругозора при наименьшей подвижности «рабочего» организма в целом. Кроме того, поперечные отростки всех шейных позвонков имеют особые отверстия, отсутствующие в других позвонках. Эти отверстия в совокупности, при естественном положении шейных позвонков, образуют костный канал, в котором проходит позвоночная артерия, кровоснабжающая головной мозг.


Фото № 1. Макет, шейного отдела позвоночника человека, на котором хорошо видно, как позвоночная артерия проходит через отверстия в поперечных отростках, образующих таким образом костный канал для позвоночной артерии.


Есть в шейном отделе позвоночника и свои «оперуполномоченные» — суставные отростки, которые принимают участие в формировании дугоотростчатых суставов. А поскольку суставные поверхности на этих отростках расположены ближе к горизонтальной плоскости, то в совокупности это значительно расширяет возможности шейного отдела позвоночника, обеспечивает более эффективную подвижность головы, позволяет достигать большего угла скручивания. Однако последнее как раз и стало уязвимым местом для шейного отдела, учитывая небольшую прочность шейных позвонков, их вес и степень подвижности. Как говорится, даже у «особого отдела» есть своя «ахиллесова пята».

Обнаружить же, где именно заканчиваются пределы вашего «особого отдела», вы можете по седьмому шейному позвонку. Дело в том, что длина остистых отростков (кстати, концы их раздвоены, кроме VII) увеличивается от II к VII позвонку. Остистый отросток седьмого шейного позвонка самый длинный и к тому же утолщён на конце. Он является весьма заметным анатомическим ориентиром: при наклоне головы на задней поверхности шеи хорошо прощупывается верхушка наиболее выступающего остистого отростка. Кстати, данный позвонок так и называется по-латыни vertebra prominens — позвонок выступающий. Это и есть та самая легендарная «семёрка», благодаря которой можно сосчитать ваши позвонки с диагностической точностью.

Грудной отдел позвоночника состоит из 12 позвонков. Латинское название vertebrae thoracicae — позвонки грудные. Латинское слово thorax — грудная клетка — образовано от греческого слова thoraks — грудь. В медицинских документах позвонки грудного отдела обозначаются как «ТЬ> или «Т». Высота тел данных позвонков постепенно возрастает от I до XII позвонка. Остистые отростки накладываются друг на друга черепицеобразно, прикрывая дуги нижележащих позвонков.


МРТ № 2

На МРТ № 2 — грудной отдел в состоянии «норма»

Грудной отдел должен иметь нормальную степень кифоза (угол кифоза по Stagnara формируется линией, параллельной замыкательным пластинкам ТIII и ТXI= 25°). Позвоночный канал на грудном уровне имеет округлую форму, что делает эпидуральное пространство узким почти по всей окружности дурального мешка (0,2–0,4 см), а на участке между TVI и ТIX он наиболее узок. Сагиттальный размер: ТIХI = 13–14 мм, ТXII = 15 мм. Поперечный диаметр: > 20–21 мм.

Высота межпозвонковых дисков: самая меньшая на уровне ТI, на уровне ТVIХI приблизительно 4–5 мм, наибольшая на уровне ТХIХII.


Также характерным признаком для большинства грудных позвонков является наличие на боковых поверхностях тел верхней и нижней рёберных ямок для сочленения с головками рёбер, а также наличие рёберной ямки на поперечных отростках для соединения с бугорком ребра. Из-за специфики своей конструкции, небольшой высоты межпозвонковых дисков этот отдел, безусловно, не столь подвижен, как шейный отдел. Однако и предназначен он для других целей. Позвонки грудного отдела в совокупности с грудными рёбрами, грудиной образуют костную основу верхней части туловища — грудную клетку, которая является опорой для плечевого пояса, вместилищем жизненно важных органов. Она позволяет использовать межрёберную мускулатуру при дыхательных движениях. Соединение грудных позвонков с рёбрами придаёт этому отделу позвоночника большую жёсткость благодаря рёберному каркасу грудной клетки. Так что эти позвонки можно образно сравнить с людьми, слаженно и эффективно работающими в одной большой команде, чётко исполняющими свои функции и обязанности.


Рисунок № 11. Грудной позвонок. Вид сверху

1 — дуга позвонка; 2 — остистый отросток; 3 — поперечный отросток; 4 — рёберная ямка поперечного отростка; 5 — позвоночное отверстие; 6 — верхний суставной отросток; 7 — верхняя рёберная ямка; 8 — тело позвонка


Поясничный отдел позвоночника составляют 5 самых крупных позвонков, имеющих массивные, бобовидной формы тела позвонков, прочные отростки. Высота и ширина тел позвонков постепенно увеличиваются от первого до пятого позвонка. Латинское название vertebrae lumbales — позвонки поясничные, лат. lumbalis — поясница. Соответственно обозначаются: первый поясничный позвонок — Lp второй поясничный позвонок — LII и так далее. Подвижный поясничный отдел позвоночника соединяет малоподвижный грудной отдел с неподвижным крестцом. Это самые настоящие «трудяги», которые мало того, что испытывают значительное давление со стороны верхней части тела, так ещё и по жизни подвергаются серьёзной дополнительной нагрузке, о которой было частично сказано в предыдущей главе.


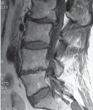
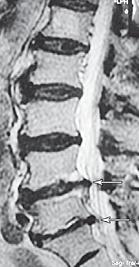
МРТ № 3

На МРТ № 3 — поясничный отдел позвоночника. (На данном «контрольном» снимке наблюдаются остаточные явления дегенеративно-дистрофического процесса в сегменте LV-SI после устранения методом вертеброревитологии секвестрированной грыжи межпозвонкового диска.)

В поясничном отделе форма позвоночного канала, создаваемая телом и дужками позвонка, вариабельна, но чаще она пятиугольная. В норме позвоночный канал в пояснично-крестцовом отделе сужен в переднезаднем диаметре на уровне LIII и LIV позвонков. Его диаметр каудально увеличивается, и поперечное сечение канала приобретает форму, близкую к треугольной, на уровне LV-SI. У женщин канал имеет тенденцию к расширению в нижней части крестцовой области. Сагиттальный диаметр значительно уменьшается от LI к LIII почти неизменен от LIII к LIV и увеличивается от LIV к LV. В норме переднезадний диаметр позвоночного канала в среднем равен 21 мм (15–25 мм).

Существует простая и удобная формула определения ширины позвоночного канала:

нормальный сагиттальный размер не менее 15 мм;

11–15 мм — относительный стеноз;

менее 10 мм — абсолютный стеноз. Уменьшение этого соотношения свидетельствует о сужении канала.

Высота поясничных межпозвонковых дисков 8–12 мм, нарастает от LI до LIV-LV, обычно уменьшается на уровне LV-SI

Рисунок № 12. Поясничный позвонок. Вид сверху

1 — позвоночное отверстие; 2 — остистый отросток; 3 — дуга позвонка; 4 — нижний суставной отросток; 5 — верхний суставной отросток; 6 — сосцевидный отросток; 7 — поперечный отросток; 8 — ножка дуги позвонка; 9 — тело позвонка.


Поясничные позвонки можно образно сравнить разве что с тяглыми крестьянами. Встарь на Руси (в XV веке) были такие мужики, которые работали от зари до зари, да ещё и тянули полное тягло. Тягло в старину означало различную подать, точнее государственные налоги, а также выполнение государственной повинности. Государство облагало налогами трудягу-мужика со всех сторон. К тому же он должен был тянуть это тягло не только за себя, но и за свою семью, из расчёта две души на одно тягло. Просто самый настоящий поясничный позвонок с его-то нагрузками. Так ведь ещё по старинным законам этот крестьянин оставался тяглым от женитьбы до 60 лет — «доколе мужик, по летам своим и по здоровью, числился тяглым». А после он либо переходил в «полутяглые», или «на четверть тягла», или вовсе смещался. Прямо прописная истина в отношении поясничных позвонков и позвоночника в целом у нерадивого хозяина! Пока позвоночник молодой, здоровьем пышет да работает без устали, — хозяин его нещадно эксплуатирует. А как пошли в позвоночнике дегенеративно-дистрофические процессы, стал развиваться остеохондроз, так уже и работать начинает вполсилы, а затем глядишь и в четверть силы. Потом и вовсе изнашивается. И самое интересное, что чаще всего изнашивается именно поясничный отдел. Вот такая она жизнь позвоночника у хозяина, расточительно и беспечно расходовавшего своё здоровье: как говаривали в старину, «и надо было в восемнадцать лет жениться, чтоб на тягло садиться».

Крестцовый отдел позвоночника также состоит из 5 позвонков, сросшихся в одну кость. Анатомическое название по-латыни: os sacrum — кость кресцовая, vertebrae sacrales — позвонки крестцовые, которые обозначаются соответственно SI, SII и т. д. Любопытно, что слово sacrum используется в латинском языке для обозначения тайны. Эта кость вполне заслуживает такое название, учитывая её строение, функции и большие нагрузки, которые она выдерживает в связи с вертикальным положением тела. Занимательно, что у детей и подростков, крестцовые позвонки находятся раздельно, лишь к 17–25 годам происходит плотное сращивание их между собой с формированием своеобразного монолита — крупной структуры треугольной формы. Эту клиновидную структуру, с основанием, обращённым вверх, и вершиной, обращенной вниз, и называют крестцом. Основание крестца (SI) имеет верхние суставные отростки, сочленяющиеся с нижними суставными отростками пятого поясничного позвонка (LV). Также основание имеет выступ, направленный вперед — мыс. Со стороны вершины крестец соединяется с первым копчиковым позвонком (CoI).

Рисунок № 13. Крестец и копчик. Вид спереди.

Крестец: 1 — основание крестца; 2 — верхний суставной отросток; 3 — латеральная часть; 4 — передние крестцовые отверстия; 5 — поперечные линии; 6 — верхушка крестца; 7 — крестцовые позвонки.

Копчик: 8 — копчиковые позвонки; 9 — боковые выросты (рудименты поперечных отростков); 10 — копчиковые рога (рудименты верхних суставных отростков).


Вообще надо отметить, что рельеф крестца весьма интересен и во многом загадочен. Его передняя поверхность вогнута, имеет поперечные линии (места сращивания тел позвонков), четыре пары тазовых крестцовых отверстий, через которые выходят спинномозговые нервы. Задняя поверхность выпуклая. На ней имеются соответственно четыре пары дорсальных крестцовых отверстий, пять продольных гребней, образованных сращиванием остистых, суставных, поперечных отростков крестцовых позвонков. На латеральных частях крестца есть так называемые суставные ушковидные поверхности, предназначенные для сочленения с тазовыми костями. Кзади от данных суставных поверхностей располагается крестцовая бугристость, к которой прикрепляются связки.


Рисунок № 14. Крестец и копчик. Вид сзади.

Крестец: 1 — верхний суставной отросток; 2 — крестцовый канал (верхнее отверстие); 3 — крестцовая бугристость; 4 — ушковидная поверхность; 5 — латеральный крестцовый гребень;6 — медиальный крестцовый гребень; 7 — срединный крестцовый гребень; 8 — дорсальные (задние) крестцовые отверстия; 9 — крестцовый рог; 10 — крестцовая щель (нижнее отверстие крестцового канала).

Копчик: 11 — копчиковые позвонки; 12 — боковые выросты; 13 — копчиковые рога.


Внутри крестца проходит крестцовый канал, являющийся продолжением позвоночного канала. В нижней части он заканчивается крестцовой щелью, с каждой стороны которой находится крестцовый рог (рудимент суставного отростка). Крестцовый канал содержит терминальную нить спинного мозга, корешки поясничных и крестцовых спинномозговых нервов, то есть весьма важные для организма нервные стволы, которые обеспечивают иннервацию органов малого таза и нижних конечностей. У мужчин крестец длиннее, уже и круто загнут в сторону полости малого таза. А вот у женщин крестцовая кость плоская, короткая и широкая. Такое анатомическое строение женского крестца помогает формированию гладкой внутренней поверхности женского таза, необходимой для благополучного прохождения плода при родах.

Своими характеристиками, особенностями строения, функциями крестец в образном сравнении напоминает древнейший институт человеческого общества: совокупность близких людей, соединившихся через таинство в монолитную, крепкую семью — ячейку общества, опору государственности. В общем, таких близких друг другу людей, которые выполняют не только репродуктивную функцию и связаны общностью быта, но и сплочены единой ответственностью, взаимной помощью, слаженностью в совместной жизни и отношениях.

Последний, самый маленький отдел позвоночника — копчик. Если с юмором отнестись к этому вопросу, то про него можно образно сказать так: в семье, как говорится… не без рудимента. Копчик представляет собой самый настоящий рудимент (от латинского rudimentum — зачаток, первооснова) хвостового скелета животных. Анатомическое название копчика по-латыни звучит как os coccygis — кость копчика, vertebrae coccygeae — позвонки копчиковые. В латинском языке «coccyx» толкуется как слово «кукушка» (это обозначение пришло из древнегреческого языка), и в принципе так была названа кость, благодаря сходству с клювом кукушки.

Копчик состоит из 3–5 рудиментарных позвонков, сросшихся в одну кость. Их обозначают как СоI, СоII и так далее. Любопытно, что на ранних стадиях развития человеческий эмбрион имеет хвостовой отросток, который, бывает, сохраняется и после рождения. Однако для медицины это не составляет проблемы: хвостик легко можно удалить без последствий для организма. У взрослого человека копчик представляет собой единую малоподвижную структуру, которая по форме похожа на пирамидку, направленную основанием вверх, а верхушкой — вниз и вперёд. Необычный вид имеет первый копчиковый позвонок. Его небольшое тело сочленяется с крестцом, имеет боковые выросты (рудименты поперечных отростков). А на задней поверхности тела находятся копчиковые рога (рудименты верхних суставных отростков), которые направлены вверх к рогам крестца и соединяются с ними посредством связок. Остальные же копчиковые позвонки мелкие, имеют округлую форму. В окружающих тканях копчика множество нервных окончаний. К копчику прикрепляются мышцы и фасции промежности. У женщин копчик более подвижен, в процессе родов дорсальное отклонение копчика обеспечивает расширение родового канала. Так что не так уж и бесполезен этот рудимент, как кажется на первый взгляд.

Таким образом, мы вкратце рассмотрели отделы позвоночного столба — этой удивительной конструкции, которая оптимально приспособлена для вертикального положения тела, работает чётко и слаженно. Но это, так сказать, обзор в целом. Теперь хотелось бы обратить ваше внимание на любопытные подробности из той же области остеологии (учение о костях), касательно важных элементов опорно-двигательного аппарата. Позвоночник человека — орган сегментарный (слово «сегмент» произошло от латинского слова segmentum — «отрезок»). Он состоит из отдельных позвонков, расположенных между ними межпозвонковых дисков, а также связок, суставов.

Позвонок
Итак, одним из основных элементов позвоночника является позвонок (vertebra). По своему строению типичный позвонок напоминает костяной перстень, состоящий из массивного тела позвонка (в нашем случае имитирующий большой драгоценный камень в этом кольце), дуги (точнее двух полудужек, соединяющихся сзади и образующих остистый отросток), замыкающей позвоночное отверстие. Данные отверстия, соединяясь, образуют позвоночный канал, где располагается спинной мозг. На дуге «кольца» имеется 7 по-своему интересных, анатомически выразительных отростков: это остистый отросток, два поперечных и четыре суставных отростка (два верхних и два нижних). В эту схему не вписываются только два верхних шейных позвонка (атлант и эпистрофей), крестцовые позвонки (из-за слияния в единую кость, их видоизменение) и рудиментарные копчиковые позвонки, которые, как мы уже выяснили, из-за особенностей отличаются своим строением от описанной схемы. У основания дуги имеется верхняя и нижняя позвоночные вырезки, которые при соответствующем соединении двух соседних позвонков образуют межпозвонковые отверстия. Тела позвонков приспособлены к тому, чтобы нести на себе тяжесть туловища, и являются основными опорными структурами позвоночника.


Рисунок № 15. Образное сравнение позвонка и перстня


Не случайно я сравнил тело позвонка с драгоценным камнем. Это действительно драгоценный по функциям элемент позвонка. Дело в том, что тело позвонка состоит из губчатого вещества пористой структуры, которое образовано отдельными костными перекладинами — трабекулами (лат. trabecula — небольшая балка, перекладина), основой микроскопичного строения которых являются костные пластинки. Ячейки губчатого вещества тела позвонка заполнены красным костным мозгом. А красный костный мозг, как известно, это важнейший орган кроветворения и костеобразования, поскольку в его тканях находятся кроветворные элементы (стволовые клетки), клетки, разрушающие кость (остеокласты) и клетки, образующие кость (остеобласты). Ценность заключается в том, что именно от тела позвонка поступает регулярное и единственное питание для межпозвонкового диска через замыкательную (гиалиновую) пластинку, отделяющую губчатую кость тела позвонка от межпозвонкового диска.

О питании межпозвонкового диска мы будем говорить ещё не раз, поскольку это является существенным моментом в понимании причин возникновения и развития многих заболеваний позвоночника. А пока хочу привести наиболее доходчивое сравнение. Жизненно важное питание, поступающее от тела позвонка, представляет собой для межпозвонкового диска практически то же, что, к примеру, в Великую Отечественную войну представляла собой «Дорога жизни» для жителей блокадного Ленинграда (ныне Санкт-Петербурга). Ладожское озеро было тогда, подобно замыкательной пластинке, единственной транспортной магистралью, через которую поступало продовольствие для города. Поскольку мы уж коснулись темы Великой Отечественной войны, то приведу и другое, на сей раз весьма печальное сопоставление. Общеизвестный факт, как в концентрационных лагерях во время войны людей заставляли тяжело работать и при этом плохо кормили, вследствие чего доводили их до полного истощения, результатом которого зачастую была смерть. Аналогичный процесс происходит и в межпозвонковом диске. То есть, клеточки межпозвонкового диска, систематически испытывая значительные нагрузки и при этом не получая должного питания (а это происходит, к примеру, когда человек много сидит и мало ходит), истощаются и умирают, что соответственно со временем сказывается на диске в целом.

Фото № 2. Наблюдается пористая структура тела позвонка в разрезе


Но вернёмся к нашему перстню. О «драгоценном камне» — теле позвонка — у нас уже есть общее представление. Теперь полюбуемся отростками, расположенными на дуге. Поговорим о четырёх суставных отростках позвонка (двух верхних и двух нижних), за счёт которых позвонки соединяются с выше - и нижележащими позвонками. Кстати, соединяясь, нижние суставные отростки вышележащего позвонка и верхние суставные отростки нижележащего позвонка образуют дугоотростчатые суставы, так называемые истинные синовиальные суставы. Как вы знаете, суставом как таковым, именуют подвижное соединение костей скелета (позволяющее им перемещаться друг относительно друга), принимающее участие в осуществлении опорной и двигательной функций. Наряду с истинными суставами имеются полусуставы (по-научному межпозвонковые симфизы; symphysis — «переходные соединения»), к которым относятся и межпозвонковые диски.


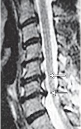
МРТ № 4

МРТ № 5


На МРТ № 4 наблюдается межпозвонковый диск в начальной стадии развития дегенеративно-дистрофического процесса.

На МРТ № 5 наблюдается межпозвонковый диск на более поздней стадии развития дегенеративно-дистрофического процесса.


Фото № 3. На фото макета позвоночника стрелкой указан дугоотростчатый сустав позвоночника.


Дугоотростчатые суставы имеют синовиальную оболочку, фиброзную капсулу, суставную полость с синовиальной жидкостью, связки. Каждый дугоотростчатый сустав покрыт гиалиновым хрящом, по краю которого (на расстоянии 2–4 мм от края сочленяющихся поверхностей) прикрепляется капсула сустава. Изнутри суставная капсула покрыта синовиальной оболочкой. По передней поверхности она покрыта желтой связкой и составляет заднюю поверхность межпозвонкового отверстия. Капсула усиливается дорсально за счёт многораздельных мышц и вентрально жёлтой связкой, которая вплетается в неё в верхнемедиальном отделе. Верхний суставной отросток лежащего ниже позвонка массивнее нижнего и расположен больше кпереди и кнаружи, а нижний — кзади и кнутри. Часть верхнего суставного отростка у корня дуги участвует в формировании бокового углубления позвоночного канала.


Рентгенограмма № 1. На снимке стрелкой указано расположение дугоотростчатых суставов позвоночника в состоянии нормы


Дугоотростчатые суставы осуществляют своеобразный контроль над движениями позвоночника. Например, они позволяют позвоночнику совершать движения, те же сгибание, разгибание, но в то же время ограничивают его движения в горизонтальной плоскости. Последнее позволяет при ротационных движениях позвоночника (от лат. rotatio — «кругообразное движение, вращение»), например при повороте туловища, при наклоне с поворотом, сохранять стабильное сочленение позвоночника и не проворачиваться позвонкам вокруг своей оси.

Не меньшим блеском биотехнического совершенства позвонка являются остистый и два поперечных отростка — места прикрепления связок и мышц. Они являются превосходно сконструированными природными рычагами. А что такое рычаг с точки зрения физики? Это твёрдое тело, вращающееся вокруг неподвижной опоры, механизм, позволяющий меньшей силой уравновесить большую. Знаменитый «Великий купальщик» Архимед, который и изложил теорию рычага под действием сил тяжести, сказал по этому поводу: «Дайте мне точку опоры, и я переверну Землю». Почему «Великий купальщик»? Да потому что и до Архимеда люди принимали ванну. Но только лишь он принял её настолько гениально, что до сих пор физики, погружая своё учёное тело в ванну и наблюдая, как поднимается уровень воды, невольно вспоминают закон Архимеда. Так вот, благодаря остистым и поперечным отросткам позвонков, к которым прикреплены мышцы и связки, организм имеет возможность при совершении движений, прилагая малые мышечные усилия, выполнять большую работу. Такие уникальные рычаги просто незаменимы, к примеру, для совершения быстрых и чётких движений, удержания тела в статическом положении и так далее.

Связки позвоночника
Не последнюю роль в биомеханике позвоночника играют связки (лат. ligamenta — перевязь) — тяжи, пучки, или пластины плотной волокнистой соединительной ткани, опутывающие тела, дуги, отростки позвонков. Они не просто соединяют кости, укрепляют суставы, но и обеспечивают им подвижность. Замечу, что в состав ткани связок входят коллагеновые волокна (коллаген — волокнистый белок; от гр. kolla означающее клей, genos — рождающий, род, происхождение), обеспечивающие прочность связок, и эластические волокна (от греческого elastikos — упругий, гибкий, растяжимый). Благодаря связкам и межпозвонковым дискам отдельные позвонки соединены между собой и представляют собой единую функциональную систему.


Рисунок № 16. Соединения позвонков (поясничный отдел, вид слева). Два верхних позвонка сагиттально распилены


В первую очередь хочу упомянуть о трёх уникальнейших связках позвоночника. Это передняя, задняя продольные связки и надостистая связка, которые относятся к группе длинных связок позвоночного столба. Они вызывают определённое восхищение, благодаря своим стабилизирующим функциям. Пожалуй, для того чтобы вы лучше поняли, как гениально природа-матушка позаботилась о нашем позвоночнике, вначале приведу несколько отдалённый, но всё же схожий пример из области инженерных проектов.

Вы, наверное, слышали о знаменитой Останкинской телебашне, находящейся в Москве, — одном из выдающихся архитектурных строений XX века. Чем же она привлекательна помимо своей высоты? Своей необычной конструкцией. Когда рождался этот проект, то была поставлена следующая задача: с одной стороны, ствол башни при высоте 533,3 м нужно было сделать стойким, гибким и упругим, и в то же время учесть оптимальное отклонение вершины под действием ветра. С другой стороны, нужно было придумать крепкое и надёжное основание для ствола. Как правило, обычно для высотного сооружения строится фундамент глубокого заложения, служащий в качестве противовеса наземной части любого сооружения. Неожиданный проект в отношении Останкинской телебашни предложил учёный в области строительных конструкций Николай Васильевич Никитин. На инженерную мысль его вдохновил цветок лилии: в стебле он увидел ствол башни, а в лепестках, перевёрнутых вниз, — её опору. Инженерная задача решалась за счёт натянутых сверху донизу, как струны, стальных канатов (в количестве 150 штук, растянутых с силой в 70 тонн), расположенных внутри по окружности ствола башни. Они прочно стягивали конус основания и вырастающий из него «стебель» башни. Так вот, сбалансированное натяжение канатов намертво сцепляло с землёй опоры и удерживало мощный бетонный ствол. Благодаря включению в инженерный расчёт канатов, это так организовало работу опор и связало в единую систему всю конструкцию сооружения, что башня, не имеющая обычного глубокого подземного фундамента, до сих пор выдерживает серьёзные внешние нагрузки, в том числе и сильнейший ветер. Хотя я уверен, что если бы в своё время Николай Никитин обратил внимание на совершеннейшую конструкцию позвоночника, то в своей профессиональной области он, как учёный, сделал бы гораздо более гениальные открытия.

Рисунок № 17. Опора и ствол Останкинской телебашни, находящейся в Москве


После того как мы ознакомились с ролью подобных канатов в архитектурных монолитных сооружениях, заглянем в изящный, с ювелирной точностью отмоделированный мир более сложной организации — живой материи, в частности, в мир строения позвоночника — инженерного идеала конструктивных, высокоточных расчётов. Итак, вернёмся к нашим непревзойдённым позвоночным «канатам» — длинным связкам позвоночника: передней, задней продольным связкам и над-остистой связке. К ним вполне применима древняя мудрость: «Истина в простоте».

Итак, передняя продольная связка относиться к группе длинных связок позвоночного столба. Это довольно широкий соединительнотканный тяж, который проходит по передней и отчасти по боковым поверхностям тел позвонков и межпозвонковых дисков на всём протяжении позвоночника от нижней поверхности тела затылочной кости, глоточного бугорка и переднего бугорка атланта до первого крестцового позвонка. В верхних отделах связка уже, книзу расширяется. Она тесно прилегает к передней поверхности тел позвонков, прочно фиксирована к надкостнице позвонков и рыхло связана с передней поверхностью межпозвонковых дисков. Это довольно прочное образование, выдерживающее разрыв до 500 кг. Замечу, что при самых тяжких повреждениях позвоночника данная связка почти никогда не рвётся поперечно, а лишь разволокняется продольно. Многие авторы, описывая её назначение, считают, что предназначена она всего лишь для ограничения разгибания позвоночника при движении его кзади. (Читая подобное чуть ли не в каждой книге, невольно с юмором вспоминаешь «закон Вейнера о библиотеках», в котором говорится, что «в библиотеках ты не найдёшь ответов, а только отсылки».) Однако на самом деле, на практике, роль передней продольной связки более значима, чем принято считать. Она участвует в регулировке внутридискового давления. Да и вообще скрывает в себе ещё много познавательного материала для науки. Это уникальная связка, которая требует более тщательного изучения её функций, в том числе со стороны физиков.

Задняя продольная связка, относящаяся к группе длинных связок позвоночного столба, тянется также на всём протяжении позвоночника, но, как указывает её название, по задней (дорсальной) поверхности тел позвонков и межпозвонковых дисков. Данная связка берёт своё начало на задней поверхности тела II шейного позвонка (выше она переходит в покрывную перепонку (мембрану)) и, опускаясь, заканчивается в крестцовом канале. Задняя продольная связка, в отличие от передней, более широкая в верхнем отделе позвоночного столба, чем в нижнем. С телами позвонков она соединяется рыхло, зато прочно сращена с межпозвонковыми дисками, на уровне которых она несколько шире, чем на уровне тел позвонков. У этой связки не менее ответственная роль: она образует переднюю стенку позвоночного канала, препятствует чрезмерному сгибанию позвоночника. И хотя об этой связке известно давно, однако она не спешит расставаться со всеми своими секретами.

И наконец, третьей и последней из длинных связок позвоночника является надостистая связка. Самая загадочная связка, которая в будущем ещё не раз удивит пытливый ум учёного. Несмотря на своё скромное расположение и уже известные о ней сведения, она скрывает в себе множество тайн и ещё далеко не изучена. Эта связка состоит из плотных продольных волокон, которые с одной стороны служат продолжением межостистых связок кзади, с другой стороны формируют непрерывный, длинный тяж, проходящий по верхушкам остистых отростков позвонков, где, собственно, и прикрепляются к ним своими пучками. Этот тяж тянется от VII шейного позвонка и до самого крестца. Кверху от VII шейного позвонка надостистая связка переходит в выйную связку. Но здесь тоже далеко не всё так просто.

Выйная связка является своеобразным продолжением надостистой связки. Кстати, старославянское слово «выя», «завоек» в древности означало «шея», «затылок». Люди в старину поговаривали: «Высокая выя — гордость; непреклонная — упорство». Очевидно, от высокой выи и пошло слово «выявить», то есть «обнаружить, показать что-то, проявить среди…» Как говорится в Библии в Евангелии от Луки (гл. 8, ст. 17): «Ибо нет ничего тайного, что не сделалось бы явным, ни сокровенного, что не сделалось бы известным и не обнаружилось бы». Выйная связка — это тонкая, но весьма прочная, упругая пластинка треугольной формы, состоящая из эластических и соединительно-тканных пучков. Она прикреплена одним концом к остистому отростку VII шейного позвонка, спереди — к остистым отросткам шейных позвонков, и вверху, несколько расширяясь, — к наружному гребню затылочной кости. В межклеточном веществе выйной связки содержится 70–80 % эластина — резиноподобного полимера, основного компонента эластических волокон соединительной ткани, который содержится в больших количествах в тех же связках, лёгких, крупных кровеносных сосудах (к примеру, в аорте его 30–60 % от массы вещества ткани). Любопытно, что время полу-жизни эластина в тканях человека составляет приблизительно 75 лет. Следовательно, за всю жизнь эластин обновляется наполовину. Для сравнения, в межклеточном веществе многих тканей время полу-жизни, к примеру тех же протеогликанов (одни из наиболее крупных молекул, являются основным веществом межклеточного матрикса) измеряется днями, неделями, а протеогликанов клеточной поверхности — часами. Время полу-жизни того же коллагена измеряется неделями или же месяцами при расчёте на тотальный коллаген организма.

Учёные ещё находятся в стадии изучения функций выйной связки у человека, считая её рудиментарным образованием. Они отводят ей определённую роль в поддержании головы, причисляя к категории межмышечных перегородок. Сравнивая с анатомией животных, учёные говорят о том, что у человека данная связка «мало развита, в связи с прямохождением», зато она хорошо развита, к примеру, у жвачных животных с тяжёлой головой или большими рогами. Такое сравнение может и развеселит обывателя, вызвав у него различные ассоциации из житейского народного юмора. Однако хочется верить, что наука когда-нибудь придёт к пониманию того, что человек представляет собой уникальное существо, структура тела которого создана в совершенстве. И в этой идеальной конструкции нет ничего лишнего.

Кроме длинных связок, в позвоночнике имеются и короткие связки, каждая из которых имеет свои особенности. Про них можно сказать народной пословицей: «Мал золотник, да дорог».К коротким связкам позвоночника относятся, к примеру, межостистые, межпоперечные, жёлтые связки. Их названия говорят о местах прикрепления данных связок. Исключение составляют разве что жёлтые связки. Так их именуют за свой цвет, который придают эластические волокна, имеющиеся в них в большом количестве. Эти связки соединяют дуги двух смежных позвонков. Таким образом, они вместе с дужкой позвонка формируют боковые и заднюю стенки позвоночного канала. Жёлтые связки не просто пассивно связывают дужки двух позвонков. При сгибании позвоночного столба кпереди они растягиваются, а при разгибании позвоночного столба вновь укорачиваются. Их деятельность гораздо шире, а роль значительнее, чем кажется на первый взгляд. Благодаря своей упругости, жёлтые связки сохраняют постоянный диаметр позвоночного канала при самых различных движениях позвоночника, предохраняя тем самым спинной мозг от сдавлений и перегибов, функционально разгружают межпозвонковые диски.

Итак, мы поверхностно ознакомились с наиболее значимыми образованиями связочного аппарата позвоночного столба (за исключением межпозвонкового диска), чтобы иметь об этом общее представление и глубже понимать суть рассматриваемых в следующих главах вопросов. Хотя помимо этих связок в позвоночнике есть ещё много других не менее занимательных связок, которые, к примеру, осуществляют соединение крестца с копчиком, соединение позвоночного столба с черепом, с рёбрами, не говоря уже о многочисленных связках, суставах, соединяющих скелет в целом. Самых любознательных читателей, желающих конструктивно изучить имеющиеся на сегодняшний день сведения по этому вопросу, отсылаю к разделу анатомии, посвящённому изучению строения костей — артрологии (от греч. arthron — сустав; logos — слово, учение), или синдесмологии (греч. syndesmos — связка; logos — слово, учение).

Межпозвонковый диск
А сейчас особое внимание хотелось бы уделить важному элементу, обеспечивающему подвижность позвоночного столба, — межпозвонковому диску (intervertebral disc). Он настолько значим для жизнедеятельности позвоночника, что если сравнить его роль с ответственными постами в государстве, то ему можно смело отвести должность «министра иностранных дел». Многие функции межпозвонковых дисков похожи на функции искусных дипломатов.

К примеру, с одной стороны они должны обеспечить в рамках своей компетенции своевременное и чёткое выполнение решений высших органов. Однако, если руководящая голова в силу отсутствия знаний или разудалости своих мыслей подвергает тело чрезмерным нагрузкам, то именно благодаря межпозвонковым дискам гасятся, смягчаются острые моменты и происходит сбалансированное распределение нагрузки, чтобы данные необдуманные действия головы не принесли вреда организму в целом. Движения в межпозвонковых дисках всегда синхронны, содружественны движениям в дугоотростчатых суставах позвоночника. Кроме того, соединяя позвонки и обеспечивая подвижность всему позвоночнику, межпозвонковые диски в то же время в пределах своей компетенции уберегают позвонки от травм. Поэтому межпозвонковый диск можно назвать и стражем, и милиционером (от лат. militia — военная служба) по охране «позвоночного порядка» и безопасности тел позвонков от постоянной травматизации.

Как положено, по установленному природой порядку, межпозвонковые диски расположены между телами позвонков на всём протяжении позвоночника, кроме двух первых шейных позвонков (атланта и эпистрофея) и крестца (у взрослого человека). Тут и сравнивать с нашими «чиновничьими» отделами позвоночника не надо, и так всё понятно. Первый диск находится между телами II и III шейных позвонков, а последний — между телами V поясничного и I крестцового позвонков. Если вспомнить про нашу крепкую, дружную семью «крестцового отдела», то можно сказать, что любая дипломатия в этом случае успешно замещается родственными связями. Всего в позвоночнике насчитывается 23 диска.

В силу своего уникального строения и предназначения диаметр межпозвонкового диска чуть больше, чем диаметр тел соединяемых позвонков, поэтому диск несколько выходит за контуры последних. Это придаёт позвоночнику своеобразный вид бамбуковой палки. Суммарно высота всех межпозвонковых дисков составляет приблизительно одну четвёртую длины позвоночника.

Высота (хотя тут уместно и слово толщина) межпозвонковых дисков в основном зависит от места расположения и подвижности соответствующего отдела позвоночника, в котором он находится. Считается, что в подвижном шейном отделе в среднем высота межпозвонковых дисков составляет 5–6 мм, в наименее подвижном грудном отделе — 3–5 мм, в подвижном поясничном — 10–12 мм. Но в практике надо также учитывать индивидуальные особенности человека (рост, вес, возраст и т. д.). Подвижность позвоночника, способность выдерживать значительные нагрузки в основном определяются состоянием межпозвонковых дисков. Но полноценно эти действия, безусловно, могут выполняться только здоровыми межпозвонковыми дисками. Впрочем, всё как в людском обществе.


Рисунок № 18. Расположение межпозвонковых дисков (вид сбоку).


Ещё со школьной скамьи каждому из нас известно, что межпозвонковый диск имеет форму двояковыпуклой линзы. Он состоит из центральной части, представленной желеобразным округлым ядром или пульпозным ядром (nucleus pulposus), из наружной оболочки — прочного волокнистого хряща или фиброзного кольца (annulus fibrosus) и двух гиалиновых пластинок или так называемых замыкательных пластинок, отделяющих губчатую кость тела позвонка от межпозвонкового диска.


Рисунок № 19. Расположение межпозвонкового диска (вид сверху)


Рисунок № 20. Схема строения межпозвонкового диска


Замечу, что одним из устаревших значений слова «пульпа» в латинском языке является обозначение мягкой, сочной или мучнистой массы плодов. А вот гиалиновые пластинки получили название благодаря греческому языку, поскольку представляют собой полупрозрачные плотные массы (греч. hyalos означает «стекло», hyalios — «прозрачный, стекловидный»). Как говорится, всё познавалось и познаётся в сравнении. С латинским словом fibra («волокно») читатель уже предварительно знаком из вышеизложенного текста. Добавлю лишь, что в устаревших понятиях оно числится как волокно растительной или животной ткани. В нынешнюю эпоху большинство людей употребляют это слово в переносном смысле как символ душевных сил («всеми фибрами своей души»), точнее, как мир человеческих переживаний. Помните, как замечательный классик, кстати по профессии врач, Антон Павлович Чехов в рассказе «Клевета» (1883) с юмором писал про одного из своих безвинных героев Ванькина, помощника классных наставников: «Ванькин заморгал и замигал всеми фибрами своего поношенного лица, поднял глаза к образу и проговорил: «Накажи меня бог! Лопни мои глаза и чтоб я издох, ежели хоть одно слово про вас сказал! Чтоб мне ни дна, ни покрышки! Холеры мало!..» Искренность Ванькина не подлежала сомнению».


МРТ № 6


На данном снимке хорошо просматривается пульпозное ядро, гиалиновые пластинки и фиброзное кольцо


Межпозвонковый диск только с виду кажется таким скромным, хотя и весьма ответственным связующим звеном позвоночника. А загляни вовнутрь, в природу его биохимии (хотя бы на молекулярный уровень, так ещё и не познанный до конца) и перед взором исследователя откроется целая галактика. И это уже не метафора, это удивительный по сложности мир микро- и макрокосмоса. Межпозвонковый диск по своей неоднозначной структуре, таинству происхождения во многом похож на линзовидную галактику, которая по форме также напоминает двояковыпуклую линзу. В системе классификации Хаббла галактики такой формы обозначают символом S0. В линзовидной галактике, как и в межпозвонковом диске, имеется центральный диск с отчётливым утолщением в середине. Она богата межзвёздным веществом, служит местом образования новых звёзд, содержит облака межзвёздной пыли и газа. Там кипит своя жизнь, где образуются новые звёзды и разрушаются старые, где идёт постоянное перераспределение энергии, синтез, обмен, взаимосвязь, свои закономерные процессы жизни материи и энергий. Но ведь тот же самый, до конца не познанный процесс происходит и в межпозвонковом диске.

Энергии, породившие линзовидную галактику, так же загадочны и не изучены, как и энергии, послужившие первоосновой чёткой схемы развития любого живого организма. Поэтому пока что предпринимаются попытки объяснения этих процессов лишь с точки зрения формирования материи. Как известно, из зародышевого листка мезодермы у эмбрионального зародыша человека формируется хорда, которая впоследствии редуцируется ещё во внутриутробном периоде развития. Но хочу обратить ваше внимание на тот факт, что фрагменты хорды, то есть первичного зачатка скелета, сохраняются лишь в студёнистом ядре межпозвонковых дисков. Для исследовательских работ медицины будущего в области той же вертеброревитологии это обстоятельство столь же важно и ценно, как важны, к примеру, нынешние исследования стволовых клеток, после того как была установлена их способность к самообновлению и дифференцировке в специализированные клетки.

Пульпозное ядро, являющееся остатком хорды, состоит из межклеточного вещества и хрящевых клеток (хондроцитов, хондробластов). Звучит вроде бы просто. Однако, если окунуться в биохимию того же межклеточного матрикса (лат. matrix, от mater — основа, мать), то можно понять насколько сложен живой мир микроархитектуры тканей. В состав межклеточного вещества входят самые разнообразные структуры: коллаген, эластин, гликозамингликаны (мукополисахариды), к примеру такие как гиалуроновая кислота, протеогликаны хондроитинсульфаты, кератансульфаты и т. д. Напомню, что в состав молекул высокомолекулярных соединений входят тысячи атомов, соединённых химическими связями. Эти соединения характеризуются молекулярной массой от нескольких тысяч до нескольких миллионов. К примеру, молекулярная масса тех же хондроитинсульфатов находится в пределах 10 000-60 000, а молекулярная масса гиалуроновой кислоты достигает нескольких миллионов (20 000-30 000 мономеров в молекуле). Межклеточный матрикс — это достаточно сложный, далеко ещё неизведанный мир, в котором происходит своя жизнь: самосборка многомолекулярных структур согласно порядку, закрепление этих структур путём образования межмолекулярных ковалентных сшивок, осуществление синтеза, обмена, передача сигналов, выполнение определённых специализированных функций, взаимосвязь, обновление структур, разрушение, распад старых структур и так далее. Благодаря межклеточному матриксу клетки имеют возможность мигрировать в его толще, он скрепляет, склеивает клетки друг с другом, участвует в образовании ткани, придает ей прочность, поддерживает форму клеток и органов, осуществляет сложные функции регуляторных влияний на клетки. В общем, можно образно сказать, выполняет те же самые функции, что и межзвёздное вещество.

Кроме того, хочу обратить ваше внимание на клетки хондроциты и хондробласты. Хондроциты (от греч. chondros — хрящ, kytos — вместилище, сосуд, клетка — часть сложных слов, указывающая на отношение к растительной или животной клетке) — это зрелые клетки хрящевой ткани, которые образуются из хондробластов. От последних они отличаются меньшей способностью к синтезу, секреции коллагена и компонентов основного вещества хряща. А вот хондробласты (от греч. chondros — хрящ, blastos — росток, зародыш, побег — часть сложных слов, указывающая на отношение к зародышу, ростку, растущей клетки, ткани) — это молодые клетки хрящевой ткани, активно образующие межклеточное вещество. Это уникальные клетки, которые содержат много РНК (рибонуклеиновые кислоты), хорошо развитую гранулярную эндоплазматическую сеть, комплекс Гольджи, характеризуются высокой митотической (деление клеток) активностью и так далее. В хондробластах синтезируется уникальный II тип коллагена, который выделяется в межклеточное пространство в виде соответствующих комплексов тропоколлагена, и другие вещества хряща. В процессе развития данные клетки превращаются в хондроциты.

Межпозвонковый диск представляет собой своеобразную гидростатическую систему (гидро- от греч. hydor — вода, statike — учение о весе, о равновесии). Пульпозное ядро содержит большое количество воды: в молодом возрасте человека до 90 %, а в пожилом возрасте — до 60 %. Поскольку есть жидкость, то соответственно здесь действуют законы физики, а точнее законы гидравлики (наука, которая изучает законы распределения давления, равновесия жидкости (гидростатика) и движения жидкости (гидродинамика)). Напомню, что несжимаемая жидкость, к которой также относится жидкость пульпозного ядра, — это жидкость, не изменяющая плотности при изменении давления. В отношении давления здесь уместно упомянуть следующее. Ядро диска сдавлено двумя прилегающими к нему позвонками (если форму диска сравнить с макроразмерами, то она напоминает наш земной шар, сплюснутый полюсами). Однако ядро упругое и стремится к расправлению (поэтому амортизирует толчки). Согласно основному закону гидростатики (закону Паскаля, названному так в честь французского учёного Блеза Паскаля, сформулировавшего его) давление, производимое внешними силами на поверхность жидкости, передаётся жидкостью одинаково во всех направлениях. Пульпозное ядро оказывает постоянное равномерное давление на фиброзное кольцо и гиалиновые пластинки, а те в свою очередь на тела позвонков, пытаясь отдалить друг от друга тела этих позвонков. Это давление гармонично уравновешивается напряжением фиброзного кольца, связками, которые стремятся сблизить тела позвонков, а также тонусом мышц туловища. О противодействии этих двух сил в соответствии с законами физики нужно знать специалисту для того, чтобы глубже понимать природу не только здорового позвоночника, но и его патологических процессов.

К слову сказать, в межпозвонковых дисках содержание воды непостоянно. При механических нагрузках (к примеру мышечное напряжение, сила тяжести) вода из них вытесняется, а когда действие нагрузок прекращается, то вода вновь возвращается. Этот естественный процесс происходит и при смене дневной деятельности человека (когда увеличиваются нагрузки на диски) на ночной отдых. Содержание воды в дисках снижается за день приблизительно на 20 %, из-за чего к вечеру рост человека становится на 1–2 см меньше, чем утром. Чего не скажешь о космонавтах, поскольку в условиях невесомости у них, наоборот, за счёт накопления воды в дисках наблюдалось увеличение роста даже до 5 см. Как тут с юмором не вспомнишь упоминания в «жёлтой» прессе о «пришельцах высокого роста»: сдаётся, «братья по разуму» просто долго путешествовали по космосу.

Межпозвонковому диску присущи три основные функции в организме человека: прочное удержание тел смежных позвонков друг около друга; полусустава, обеспечивающего подвижность тела одного позвонка относительно тела смежного позвонка, и функция амортизатора, предохраняющего тела позвонков от постоянного биения друг о друга. Как сказал известный хирург, один из крупнейших специалистов в области лечения заболеваний позвоночника, заслуженный деятель науки РСФСР, профессор Яков Лейбович Цивьян: «Если бы позвоночник человека не имел межпозвонковых дисков, то при каждом малейшем движении, повороте, наклоне или других движениях человека раздавался бы звук, напоминающий звук испанских кастаньет. Человек был бы очень шумным существом!» При движениях позвоночника пульпозное ядро в дисках, в ответ на сдавливающую силу тел позвонков, изменяет форму (но не объём). Это позволяет позвонкам безопасно сближаться или отдаляться во время движения. Благодаря удивительным амортизирующим свойствам диска в целом при различных движениях (в том числе ходьбе, прыжках, беге) смягчаются сотрясения, толчки не только на позвоночник, но и, естественно, на спинной и головной мозг. Так что такая «дипломатия» межпозвонкового диска выгодна всему организму. Поэтому, когда с диском случаются проблемы, это неизбежно отражается на организме.

Позвоночно-двигательный сегмент (ПДС)
Как я уже говорил, позвоночник является органом сегментарным. Давайте подробнее рассмотрим, что же такое сегмент, поскольку с этим основным понятием в функциональной анатомии позвоночника нам придётся ещё не раз столкнуться в этой книге. Определение позвоночному сегменту было дано ещё в 30-х годах прошлого века немецким профессором Юнгхансом (H. Junghanns), возглавлявшим Институт исследования позвоночного столба во Франкфурте-на-Майне. Так что научный мир пользуется им уже 80 лет, облагородив это название до «позвоночно-двигательного сегмента» (сокращенно ПДС). Не отойдём и мы от традиций врачебного канона. Итак, позвоночно-двигательным сегментом называется анатомический комплекс, состоящий из одного межпозвонкового диска, двух смежных позвонков с соответствующими суставами, связочным аппаратом на данном уровне. Как я уже упоминал, два суставных отростка смежных позвонков (верхний нижележащего позвонка и нижний вышележащего позвонка) образуют межпозвонковое отверстие (или по-научному фораминальное отверстие, от лат. foramen — отверстие). В нём проходят корешок спинномозговых нервов, а также кровеносные сосуды.


Рисунок № 21. Позвоночно-двигательный сегмент (ПДС)


Если в силу каких-либо причин происходит поражение структур ПДС (к примеру грыжа диска) и это приводит к уменьшению диаметра межпозвонкового отверстия, то может наступить сдавление нервного корешка и сосудов. Сдавление нервного (спинномозгового) корешка в свою очередь вызывает не только боль, но и нарушает работу мышц, которые иннервируются этим нервом. Сдавление сосудов приводит к снижению интенсивности кровотока, соответственно к нарушению питания (кровоснабжения) определённых участков спинного мозга.

Несколько слов о расположении спинного мозга — важного отдела центральной нервной системы (далее в книге мы будем говорить о спинном мозге более подробно). Вспомним про наш «драгоценный перстень». В каждом позвонке (в центральной части) имеется отверстие, которое формируется за счёт дужек и тела позвонка. В позвоночнике эти отверстия расположены друг над другом, образуя, таким образом, позвоночный канал, выстланный связками. Это и есть вместилище, или, так сказать, футляр для спинного мозга. Передняя стенка позвоночного канала образована задней продольной связкой, которая прилегает к задней поверхности тел позвонков и межпозвонковых дисков. Последнее обстоятельство, а именно близость расположения межпозвонковых дисков к спинному мозгу, крайне важно для понимания причин травматизации спинного мозга, то есть того же сдавления (к примеру грыжей межпозвонкового диска или костными разрастаниями, такими как спондилёз). Но этот вопрос мы рассмотрим позже.

В заключение нашего краткого анатомического обзора хотелось бы немного разгрузить вас, дорогой читатель, от навалившегося груза научной информации, небольшой юмористической, однако не лишённой страсти познания, разминкой. Известно, что каждый позвонок соединяется с соседним в трёх точках: двумя дугоотросчатами суставами и межпозвонковым диском. Поскольку человек — существо разносторонне развитое и весьма любопытное, то ему, как правило, бывает мало просто прочитать информацию о предмете. Ему, как минимум, нужно обязательно пощупать, потрогать, попробовать на вкус предмет любопытства, самому залезть в проблему и разобрать её на запчасти, даже если это чревато напряжением в 220 Вт. Есть у нас такая привычка совать свои конечности туда, куда по инструкции не положено. Поэтому, во избежание непредвиденных случаев, дадим возможность самым любознательным читателям приблизительно прочувствовать на себе работу позвоночно-двигательного сегмента, понять его нагрузки. Для этого достаточно иметь под рукой обыкновенный резиновый мяч или мяч, которым играют в футбол, волейбол, а также небольшую гантель или любой груз, весом примерно в пару килограмм. Конечно, для позвоночника при его-то серьёзных нагрузках это почти бутафорная нагрузка, но она нужна всего лишь для того, чтобы, как говориться, понять процесс и не перетрудиться.

Итак, этот абзац посвящается тем, кто решил размять свои косточки. Представьте себе, что вы трудяга-позвонок. Сядьте на мячик (мячик должен быть накачен не слабо, но и не сильно). Этот круглый предмет, который после ваших действий непременно станет овальным, будет условно играть роль межпозвонкового диска. Естественно, ваше тело условно будет представлять тело позвонка. Колени согнуты, ноги слегка расставлены в стороны, опираемся о пол только пятками. Так вы лучше прочувствуете «нелёгкую жизнь» ваших двух истинных дугоотростчатых суставов позвонка, роль которых в данном случае сыграют пятки. Итак, сидим на мячике, пятками упираемся в пол, руки расставлены в стороны, в правой руке гиря. На ошалелый вопрос внезапно вошедших домочадцев: «Чем это ты тут занимаешься?» отвечаем по-философски просто и мудро: «Смотрю на жизнь изнутри». И пока озадаченные домочадцы будут расшифровывать ваш ответ в соответствии с последними событиями в их жизни и международным положением, начинаем выполнять следующие движения. Сохраняя равновесие, поднимаем руки вверх и перекладываем гирю из одной руки в другую. Такие движения необходимы лишь для того, чтобы просто почувствовать нагрузку. Возвращаемся в исходное положение, однако гиря находится уже в левой руке. Затем повторяем эти движения, перемещая гирю в правую руку. Когда вы проделаете это упражнение несколько раз, то вы приблизительно поймёте, что чувствует позвонок в вашем теле, да ещё обременённый нагрузками, куда более значительными, чем вес гири (см. главу «Занимательная природа позвоночника»). Надеюсь, это понимание поможет вам более бережно, щадяще относиться к своему позвоночнику. Ведь если вы позаботитесь о его здоровом «образе жизни» (функционировании), он позаботится о сохранении вашего здоровья.

Несмотря на все достижения современной науки, человеческий организм по-прежнему остаётся весьма загадочным объектом. Люди всё ещё пытаются подробно разобраться в себе, в том числе в предназначениях, возможностях, многоцелевых функциях тех же геномов, клеток, органов и организма в целом. Позвоночник также является ещё далеко не изученной структурой, так что его тайны ждут своего часа и пытливых исследователей.

Остеохондроз позвоночника

«Изучая истину, можно иметь троякую цель: открыть истину, когда ищем её; доказать её, когда нашли; наконец, отличить от лжи, когда её рассматриваем».

Блез Паскаль
Что такое остеохондроз позвоночника?
Если вам по-старинке терапевт поставил диагноз «остеохондроз позвоночника», то знайте, что это не окончательный диагноз как таковой. Это всего лишь указывает на то, что с позвоночником есть проблемы, к примеру как бы говорилось о каких-либо проблемах в организме при наличии температуры или тех же болей в животе. За этими проблемами скрываются настоящие диагнозы, разнообразие которых, в том же позвоночнике, может занять не одну страницу только для их перечисления. Каждый из них требует индивидуального подхода и лечения.

Что же такое остеохондроз позвоночника? Греческое слово osteon означает «кость», chodros — хрящ. Медицинское окончание «оз» (лат. osis) — заболевание. Остеохондроз позвоночника — это дегенеративно-дистрофический процесс, который, как правило, начинается в межпозвонковом диске с постепенным (поэтапным) вовлечением в него элементов и структур, как данного позвоночно-двигательного сегмента, так и всего позвоночника в целом. По мере развития деструкции этот процесс может избирательно охватывать не только позвоночные сегменты, но и в целом тот или иной отдел позвоночника, вызывая определённые неврологические синдромы. А это, в свою очередь, может спровоцировать развитие других заболеваний, что в конечном счёте, приведёт к ухудшению состояния организма в целом.

Для полной ясности сути вопроса дополню следующими сведениями. Латинское слово «degenerare» означает «вырождаться», «переставать развиваться», «исчезать». Медицинский термин «дегенерация» используют для обозначения ослабления и утраты специальных функций клетками ткани или органом. Слово «дистрофия» греческого происхождения, образовано от приставки дис- (лат. dis-, греч. dys- соответственно раз-, не-), означающей нарушение, утрату, отсутствие того, что названо производящей основой; а также греч. trophe — питание. То есть, дистрофия — это нарушение питания тканей и внутренних органов, организма в целом, ведущее к истощению. Латинское слово destructio означает «разрушение». В патоморфологии под этим термином подразумевается разрушение тканевых, клеточных и субклеточных структур.

Знать о том, какие дистрофические изменения происходят в позвоночнике, желательно каждому человеку, небезразличному к своему здоровью и здоровью своих близких. По крайней мере, на это есть две серьёзные причины. Во-первых, цивилизация, в которой нам выпала честь жить, хоть и облегчила в некотором смысле труд людей, однако спровоцировала малоподвижный, в основном сидячий образ жизни общества, что, естественно, вызвало значительный рост числа людей с заболеваниями позвоночника. Более того, если раньше эти заболевания в большинстве своём наблюдались у людей пожилого возраста, то теперь они стали массово проявляться у трудоспособной части населения, а также, что особенно печально, у детей и подростков. Во-вторых, к огромному сожалению, нынешнее общество является обществом потребительским, где здоровье человека, а порой и жизнь, превращают в одноразовый, штучный товар: за что купил, за то и продал. И пока в обществе не изменится сам человек в лучшую сторону и соответственно не изменятся подобные идеологические установки, знания о процессах, которые происходят в собственном организме или могут произойти в ближайшем будущем, никому не помешают. Здоровье у человека — одно, и оно порой предопределяет судьбу. А вот купцов, нахваливающих свой товар для здоровья, весьма много. На этом шумном базаре зазывал отличить качественный товар от подделки возможно лишь тогда, когда человек вооружён знаниями или обладает определённым опытом.

Начало развития остеохондроза
Дегенеративно-дистрофический процесс в диске, как и всякое коварное заболевание, начинается практически незаметно для человека. Одной из главных причин его возникновения является нарушение питания межпозвонкового диска. Если это происходит систематически, то любые перегрузки, даже локального характера (лат. localis — местный), могут спровоцировать микротравматизацию диска. В каком именно позвоночном сегменте это может произойти и в результате каких взаимовлияющих процессов, зависит от многих факторов, например от особенностей индивидуального строения опорно-двигательного аппарата, аномалий строения позвоночника или наличия различных болезней, способствующих быстрому прогрессированию дистрофии (болезни центральной и периферической нервной системы, ожирения, нарушения эндокринной системы и т. д.). Не последнюю роль здесь играют особенности трудовой деятельности, поднятие тяжестей, травмы позвоночника, длительное нахождение человека в вынужденной рабочей позе. Последнее хотелось бы выделить отдельной графой. Если особенности индивидуального строения опорно-двигательного аппарата человек имеет, так сказать, «постфактум» (от лат. post factum — после сделанного), то есть «что досталось в наследство и на том спасибо», то образ жизни зависит исключительно от его воли. Ведь в каких бы условиях ни находился человек, всегда можно распределить время, силы и нагрузки так, чтобы не навредить здоровью. Для этого надо просто знать свой организм, хотя бы в общем понимать, какие процессы в нём происходят и как можно улучшить состояние работоспособности организма, помогая ему, а не разрушая его своей ленью и безразличием к его проблемам. Ведь объём всех ваших текущих работ рано или поздно, но будет завершён, а вот потраченного на них здоровья никто не вернёт. Не надо этот вопрос откладывать «до пенсии». К этому времени, как правило, уже появляется целый букет заболеваний вследствие нерациональной нагрузки на позвоночник в течение длительного времени. Однако о здоровом образе жизни мы поговорим чуть позже.

Итак, приблизимся к пониманию истоков развития остеохондроза, которые на сегодняшний день активно изучаются на уровне молекулярной биохимии организма с помощью методов «молекулярных» наук (химии, физической химии, молекулярной физики). Несмотря на то что за последние 15 лет в биохимии произошли существенные изменения, мир живой материи по-прежнему хранит в себе много загадок и не перестаёт удивлять исследователей согласованным взаимодействием, взаимовлиянием, саморегулированием и координацией сложных молекулярных процессов.

Межпозвонковый диск, как вы уже смогли убедиться из вышеизложенных глав, представляет собой уникальную систему, которая многогранна по своей сложности и внутренней организации жизни. Когда в нём происходит сбой в работе, то в конечном итоге развитие данного патологического процесса неумолимо приведёт к серьёзным последствиям для организма.

При нарушении питания межпозвонкового диска ранние изменения в нём связаны с биохимическими сдвигами. Снижается концентрация полисахаридов (полисахариды — общее название класса сложных высокомолекулярных углеводов; их молекулы состоят из множества (сотен, тысяч) мономеров — моносахаридов; они принимают участие в иммунных процессах, являются одними из основных источников энергии, образующейся при обменных процессах). В начальных стадиях дегенерации диска происходит бурное разрастание клеток хондроцитов (их число увеличивается в 4,5–5,5 раза, в основном за счёт формирования необычно крупных, гигантских изогенных групп). Хондроциты — это типичные клетки фиброзного кольца и пульпозного ядра межпозвонкового диска, которые синтезируют значительно большее, чем другие клеточные элементы, количество гликозаминогликанов и уникальный II тип коллагена соединительной ткани (единственный тип коллагенового белка в пульпозном ядре).

Хочу обратить ваше внимание на то, что в пульпозном ядре помимо воды и коллагенового белка находятся также протеогликаны (в составе протеогликановых комплексов пульпозного вещества имеются гликозаминогликаны: хондроитинсульфаты и, в меньшей пропорции, кератансульфат). При дегенерации диска качественный состав гликозаминогликанов меняется. А именно увеличивается синтез кератансульфата при одновременном снижении продукции хондроитинсульфатов. Кроме того, уменьшаются сами размеры гликозаминогликановых молекул, падает их гидрофильность. Изменяется состав межклеточного матрикса, из-за чего меняются свойства и прочность диска. Начинает происходить дегидратация пульпозного вещества с последующей деструкцией ткани в центре диска (дегидратация — отщепление воды от химических соединений). Регрессивно (от лат. regressus — обратное движение) изменяются гелеобразные свойства пульпозного вещества.

Напомню, что в здоровом пульпозном ядре находится желатинообразый гель, который содержит до 83–85 % воды. От количества воды зависит давление в пульпозном ядре (силы компрессии повышают в нём внутреннее давление, а вода, будучи несжимаемой, оказывает сопротивление компрессии, таким образом, поддерживается амортизирующая функция пульпозного ядра). Пульпозное ядро является функциональным центром межпозвонкового диска и позвоночно-двигательного сегмента. Ему приходится «гасить» до 80 % нагрузки на данный сегмент. Когда в нём происходят изменения с биохимическими сдвигами при сохранении тех же нагрузок, то есть другими словами «конфликт» при нарушениях взаимодействия между свойствами ткани и её механическом использовании, начинают развиваться патологические изменения. Меняется давление в диске, появляются трещины внутри его фиброзного кольца. А трещины в деградирующем межпозвонковом диске — это уже предвестники грыжеобразования. В этом случае даже в условиях нормальных повседневных нагрузок и активности человека данный межпозвонковый диск становится уязвимым для прогрессирования патологических изменений.

До тех пор пока пульпозное ядро диска в состоянии привлекать и удерживать воду, он «здоров». В основе питания межпозвонкового диска лежит пассивная диффузия и осмос веществ через гиалиновые пластинки смежных позвонков. Дело в том, что в межпозвонковых дисках нет сосудов и обмен жидкости (с питательными веществами) происходит за счёт свободного тока (пассивная диффузия) и осмоса (принцип насоса по типу кузнечных мехов), благодаря чередованию нагрузки и разгрузки, действующих на диск во время ходьбы. К примеру, если человек много сидит и мало ходит, то клетки его межпозвонковых дисков испытывают гипернагрузки (при этом почти не получают питания) и, как факт, утрачивают способность удерживать жидкость, начинают истощаться, болеть и умирать. Вот это и есть начало развития остеохондроза.

Только человек не замечает этот процесс на ранней стадии развития. И даже когда этот процесс развивается и у человека при нагрузках возникают быстропроходящие боли и дискомфорт в области позвоночника, на это, как правило, он не обращает внимания, поскольку это не мешает ему жить и работать. Межпозвонковый диск начинает «усыхать», уплотняется, снижается его высота. Это, в свою очередь, приводит к сближению тел смежных позвонков. В результате такого сближения тела позвонков при движениях позвоночника начинают смещаться один относительно другого в горизонтальной плоскости. Эти боковые движения нарушают синхронность работы диска и истинных суставов позвоночника. В последних быстро развиваются дистрофические изменения, извращающие работу этих суставов. И, наконец, нарушается амортизационная деятельность межпозвонкового диска, что приводит к нарушению биомеханики позвоночника в целом и развитию различных заболеваний позвоночника в частности. Вот тогда человеку уже невмоготу, проявляется явная, постоянная, нестерпимая боль, которая и заставляет человека ринуться, сломя голову, на поиски разнообразных средств спасения от боли и верить всем подряд рекламам, которые пропагандируют средства избавления от боли.

Приблизительно так, как показано на серии снимков МРТ № 7 (стр. 90), развивается дегенеративно-дистрофический процесс в межпозвонковых дисках, а проще говоря, остеохондроз.


МРТ № 7


МРТ № 7. На снимках наблюдаются этапы развития дегенеративно-дистрофического процесса в межпозвонковых дисках


Любопытно упомянуть здесь о том, насколько схожи микро- и макропроцессы некоторых объектов по своим физическим, химическим законам, благодаря которым происходит рождение, жизнь и разрушение материи. Опять-таки, возвращаясь к теме о галактиках, будет занимательно ознакомиться с так называемой схемой «камертона Хаббла», предложенной американским астрономом Эдвином Хабблом ещё в начале XX столетия. На этой схеме изображено его представление о последовательной эволюции известных на тот момент галактик, согласно предложенной им классификации. Конечно, на сегодняшний день существуют уже более подробные классификации, но для общего понимания сути процесса подойдёт и эта упрощённая модель.

Согласно представлениям Хаббла, у истоков галактик находилась звёздная система в виде шара (Е0). В процессе эволюции шар постепенно вытягивался и уплощался (галактики круглой и элипсоидальной формы). Так появилась линзовидная галактика (S0). Однако после этого пути эвалюции разошлись. Часть галактик образовали ряд нормальных спиральных галактик (Sa, Sb, Sc и т. д.), где рукава спирали начинаются сразу от ядра. Другая часть — ряд галактик с яркой перемычкой (пересечённые галактики), где рукава спиралей раскручиваются от её концов (SBa, SBb, SBc и т. д.). А некоторые превратились в неправильные галактики, имеющие хаотичную форму (Irr).


Рисунок № 22. Эволюция галактик (о сходстве микро-и макропроцессов)


Рисунок № 23. «Камертон Хаббла».

Показана форма проекции на плоскость наблюдения


На сегодняшний день астрономы установили, что 60 % всех известных им галактик — эллиптические, 30 % — спиральные и 10 % — неправильные. Кстати, наша Галактика, в которой находится Солнечная система, названа учёными «Млечный Путь» (греч. galaktikos — млечный; gala — молоко). Она является спиральной галактикой с перемычкой типа SBbc по классификации Хаббла. Так вот, сравнивая «камертон Хаббла» (рис. 23), эволюцию галактик (рис. 22) с вышеприведённой серией снимков МРТ № 7, демонстрирующих этапы развития дегенеративно-дистрофического процесса в межпозвонковых дисках, вы можете увидеть некоторую визуальную схожесть. Одним словом, как говорится, внешняя форма есть лишь отражение внутреннего содержания. Однако вернёмся к нашей теме и рассмотрим некоторые наиболее распространённые проявления остеохондроза.

Сегментарная нестабильность
Передвижение, точнее совокупность согласованных движений, посредством которых человек или животное активно перемещается в пространстве, по-научному называется локомоция (от лат. locus — место, motio — движение). В основе локомоции наземных позвоночных, к которым относится человек, лежит хождение. Ходьба — это своего рода череда остановок падения или так называемое «управляемое падение». О ней мы будем говорить ещё не раз. Однако сейчас я хочу обратить ваше внимание на то, что ходьба является исходным способом локомоции человека. Для любых подобных движений (локомоций) необходимо чередование покоя и скольжения, минимальный уровень трения, напряжение мышц, сокращение миофибрилл и так далее. То есть, необходим своеобразный биомеханический баланс в виде так называемого неустойчивого динамического равновесия. И позвоночник со своими сегментами здесь играет немаловажную роль, поскольку является сложной кинематической системой, которая, собственно говоря, и обеспечивает осуществление локомоторных реакций. Так вот, когда между сегментами позвоночника происходит нарушение подобного равновесия, начинает развиваться сегментарная нестабильность.

Сегментарная нестабильность — это следующая стадия развития остеохондроза. Чрезмерная патологическая подвижность в сегментах позвоночника, как правило, начинает развиваться вследствие прогрессирования дегенерации межпозвонкового диска в процессе нарушения тургора пульпозного ядра. И уже любая чрезмерная нагрузка или чрезмерное движение делают данный сегмент позвоночника (особенно межпозвонковый диск) уязвимым для дополнительной травматизации. На этой стадии развития остеохондроза, при биомеханических нагрузках на дегенерирующий межпозвонковый диск, в зонах неоднородности ткани возникают локальные перенапряжения. Весьма уместно было бы здесь сопоставить этот процесс с локальным тектоническим напряжением коры земного шара, в качестве более наглядного и понятного примера из макромира.

Как известно, источниками напряжений в земной коре могут быть факторы, связанные как с эндогенными процессами, то есть внутренними, происходящими в мантии Земли, земной коре, так и экзогенными процессами. К последним относится воздействие разнообразных факторов: начиная от покровных оледенений, контрастного рельефа и заканчивая космическими источниками воздействия, к примеру ротационными силами Земли, приливным воздействием Луны, активностью Солнца и так далее. На межпозвонковые диски, как мы уже выяснили, также влияют внешние и внутренние факторы, начиная от биохимических изменений в пульпозном ядре и заканчивая внешними нагрузками, связанными как с деятельностью человека, так и с воздействием полей Земли, приливных сил Луны и так далее. Хотя эти воздействия и исчисляются в микродозах, тем не менее при их сочетании и продолжительности воздействия они могут вызывать локальные перенапряжения в зонах неоднородности ткани травмированных дисков.

И опять-таки мы возвращаемся к физике, к вопросу о пределе прочности. Как происходят землетрясения на нашей планете? Когда в глубинах Земли упругие напряжения, постоянно накапливаясь, достигают предела прочности горных пород, то в этих породах, в конце концов, происходит разрыв. Один вид энергии переходит в другой. Напряжение вследствие этого снимается, а сама энергия распространяется в виде упругих волн во все стороны от разрыва. Именно эта энергия, когда она достигает поверхности Земли, ощущается в процессе подземных толчков или колебаний почвы. При соответствующей её силе могут образоваться трещины, разломы, разрушение строений.

В дегенерирующем межпозвонковом диске происходят похожие физические процессы, только на микроуровне. Здесь зонами локального перенапряжения становятся участки некроза (от греч. nekros — мёртвый; патологический процесс, выражающийся в местной гибели клеток, ткани или органа в живом организме). Разрядка происходит при резкой перегрузке диска. К примеру, человек долгое время сидел (межпозвонковые диски испытывали значительную нагрузку), а потом резко встал и пошёл (в этот момент компрессионная нагрузка на межпозвонковые диски резко снижается). Здоровые диски, благодаря полноценному выполнению своих функций, без вреда для себя переносят этот резкий переход. А вот дегенерирующий диск реагирует на него «с опозданием». Более того, если в нём на тот момент имелись локальные перенапряжения в зонах неоднородности ткани, то такой «рывок» может послужить как говорится «последней каплей» для своеобразного «микроземлетрясения» в данном травмированном диске. То есть, по сути он служит толчком к перераспределению энергии и эта освобождаемая энергия не просто увеличивает трещины некроза, но и повреждает близлежащую возле данного очагаздоровую ткань, увеличивая тем самым площадь зоны распада ткани диска.

Дезинтеграция патологически изменённого пульпозного ядра неминуемо изменяет его объём. При этом закономерно усиливается компрессия фиброзного кольца и в той или иной степени нарушается расположение структур сегмента позвоночника. Активация процессов микрорубцевания после периодов интенсивной деструкции и постепенное накопление в тканях межпозвонкового диска склеротических изменений (кстати, склерозом называют замену паренхимы органов плотной соединительной тканью) приводит к нарушению подвижности, а также нарушению распределения нагрузок в дугоотросчатых суставах. Это в свою очередь вызывает прогрессирующие нарушения трофики межпозвонкового диска и со временем завершается коллагенизацией ткани — «хрящевой метаплазией» с замещением зоны пульпозного ядра волокнистым хрящом. Метаплазия (от греч. metaplasis — преобразование) — это превращение одной разновидности ткани в другую, отличную от первой морфологически и функционально при сохранении её основной видовой принадлежности.

При таких патологических процессах фиброзное кольцо растрескивается более интенсивно именно в зонах «хрящевой метаплазии», что в дальнейшем приводит к развитию протрузий или грыж межпозвонковых дисков. Вторичность поражения фиброзного кольца подтверждается тем, что трещины распределяются на кольцо изнутри межпозвонкового диска и степень их распространения пропорциональна выраженности деструкции пульпозного ядра. При сегментарной нестабильности происходят движения в виде чрезмерного сгибания и разгибания, а также несвойственные скольжения позвонков кпереди или кзади. При функциональной рентгенографии это определяется как смещение тела вышележащего позвонка при сгибании несколько кпереди (рентгенограмма № 2), а при разгибании — кзади (рентгенограмма № 3), или изменение равномерной дуги (лордоза) с локальным выпрямлением (или усугублением).

МРТ № 8


На снимке МРТ № 8 в центре диска хорошо просматривается тёмный участок замещения зоны пульпозного ядра волокнистым хрящом («хрящевой метаплазии»)


Рентгенограмма № 2


Рентгенограмма № 3


Сегментарная нестабильность клинически может проявляться периодическим болевым синдромом при неловком повороте туловища, чрезмерном его сгибании, разгибании или длительном статическом положении, при подъёме, после длительного нахождения тела в положении сидя (так называемые «стартовые боли», когда тяжелее всего даются первые шаги). Но хочу обратить ваше внимание на то, что болевой синдром как раз является уникальным «охранным», защитным механизмом организма, во избежание той тотальной перегрузки поражённого диска, о которой мы говорили выше, а также катастрофических «микроземлетрясений» в данном сегменте. В этом случае организм оперативно реагирует на болевую реакцию мышечным спазмом или, как часто говорят мануальные терапевты, «мышечным блоком», за счёт дефанса (напряжения) коротких мышц позвоночника. В свою очередь это иммобилизирует (от лат. immobilis — неподвижный) на какое-то время поражённый сегмент или сегменты позвоночника для того, чтобы дать им возможность плавно переключиться с одного состояния работы на другое, тем самым защитить от дополнительной травматизации. Ведь в отличие от здоровых дисков дегенерирующие диски включаются в работу не так быстро, вследствие частичной утраты своих функциональных возможностей.

Как говорится, природа до последнего борется за поражённый сегмент, пытаясь всеми способами сдержать дальнейшее развитие нестабильности и прогрессирование дегенерации диска. А если ей в этот период ещё и помочь, к примеру заняться плаванием (без нагрузок — пляжный вариант), ходьбой пешком до десяти километров в день (лечебный терренкур — имеется в виду метод лечения дозированной во времени и расстоянии ходьбой, а не тренажёр-дорожка для ходьбы) и т. д., то подобные мышечные спазмы вскоре пройдут и процесс быстрого развития дегенерации диска значительно затормозится. В общем, жизнь в гармонии и взаимопонимании со своим организмом никому не помешает, тем более, что на кону стоит ваше здоровье, а следовательно, ваша повседневная бытовая деятельность, работа, взаимоотношения с окружающими.

К сожалению, многие «специалисты» в области вертебрологии расценивают данную ситуацию как «патологию, при которой мышечный блок обязательно необходимо разблокировать». Не вникая в суть происходящих в организме процессов, они необоснованно применяют для «лечения» пациента мануальную терапию, различные методы вытяжения (растяжения) позвоночника, рекомендуют больному заниматься фитнесом, бегом и другими интенсивными физическими нагрузками. Однако всё это не только не останавливает развитие нестабильности в позвоночно-двигательном сегменте, но и способствует более быстрому (реактивному) дальнейшему прогрессированию дегенерации межпозвонкового диска. Если бы о данном отрицательном эффекте не было известно в научном мире, это было бы ещё полбеды. Так ведь дегенеративные поражения позвоночно-двигательных сегментов, как и позвоночника в целом, изучаются уже почти столетие. Сорок лет назад (в 1970!) об этой проблеме писал ещё заведующий кафедрой ортопедии и травматологии Новосибирского государственного медицинского института Я. Л. Цивьян: «Если назначить при сегментарной нестабильности тракционные методы лечения, мануальную терапию, интенсивные занятия спортом, то данные методы будут только способствовать «расшатыванию» позвоночного сегмента, стимулируя прогрессирование дегенеративно-дистрофического процесса в межпозвонковом диске, и не принесут больному пользу, а скорее вред».

Что может скрываться за болями в спине?
Следует помнить, что медицина, хоть и является наукой приблизительной, вернее не совсем точной (это действительно так) и не гарантирующей стопроцентный положительный исход лечения в любом конкретном случае (и это, к сожалению, тоже правда), но значительно снизить риски вполне способна. Если боли в позвоночнике вынудили вас обратиться к врачу по месту жительства, то я бы посоветовал вам обратить внимание на следующие моменты в действиях данного специалиста:

— на приёме врач, выслушав ваши жалобы, произведя внешний осмотр, ставит вам окончательный диагноз без дополнительного обследования (магнитнорезонансной томографии (МРТ) или хотя бы компьютерной томографии (КТ));

— врач назначает в качестве лечения (при неустановленном точном диагнозе (!), в отсутствии результатов обследования) вытяжения, висы на перекладине, ЛФК и другие методы, направленные на физическое или механическое воздействие на сегменты позвоночника или на позвоночник в целом; исключение составляют медикаментозные препараты, которые он обязан назначить как первую помощь до получения результатов объективного обследования и уточнения диагноза;

— врач предлагает вам вправить «выпавший диск» или «разбить соли» в вашем позвоночнике (мануальную терапию).

Если при посещении врача имеет место хотя бы один из вышеперечисленных моментов, мой вам добрый совет — бегите от такого «специалиста», даже если этот вынужденный бег приносит физическую боль. Бегите и помните, что ваше оставшееся здоровье в немалой степени зависит от расстояния, на которое вы сможете убежать от такого врача. Хотя это и образное, шуточное сравнение, но, к сожалению, в реалиях жизни это даже не смешно. Ведь потерять здоровье у таких «специалистов» можно достаточно быстро, а вот потом восстановить его будет куда сложнее. Помните, что при одинаковых симптомах, одинаковой клинической картине течения болезни, конкретные причины, вызвавшие данное заболевание, у каждого пациента могут быть разные! Как говорится в латинской пословице: «Quod cibus est aliis, aliis est atrum venenum», что означает «Что для одних пища, то для других — сильный яд». Так что имейте это в виду: от точного диагноза зависит дальнейшее лечение. Это важно!

Для лучшего понимания данной проблемы приведу примеры большого разнообразия причин возникновения болей в том же поясничном отделе позвоночника, который наиболее часто подвержен патологическим дистрофическим процессам. Но вначале расскажу об одном наглядном эксперименте, который провёл шведский учёный по фамилии Гирш. Он убедительно показал, что любое раздражение синовиальных оболочек дугоотростчатых суставов позвоночника приводит к возникновению симптома люмбоишиалгии (сочетание болевого синдрома в пояснично-крестцовом отделе позвоночника и болевого синдрома по ходу седалищного нерва), то есть клиническим проявлениям, свойственным тем симптомам, которые обычно выявляются у пациентов со сдавлением седалищного нерва грыжевым выпячиванием межпозвонкового диска. Совершенно здоровым, физически крепким и выносливым волонтёрам (добровольцам-военнослужащим) он вводил с помощью тонкой иглы концентрированный раствор поваренной соли в полость дугоотростчатого сустава позвоночника. Сразу же после такого введения возникали боли в пояснице и ноге, аналогичные тем, которые наблюдаются и при грыжах поясничных межпозвонковых дисков. Совершенно логичным был вывод учёного о том, что простое раздражение синовиальной оболочки суставов позвоночника имитирует симптомо-комплекс сдавления спинномозгового корешка грыжей поясничного диска. Это положение представляется крайне важным.

Последующие исследования ряда учёных убедительно показали, что самые различные ситуации в области поражённого дистрофическим процессом поясничного межпозвонкового диска приводят к возникновению совершенно одинаковых симптомов, совершенно одинаковой клинической картине! Но поражения могут быть вызваны не только дистрофическим процессом, но и различными инфекциями. К примеру, у больных сахарным диабетом и лиц с ослабленным иммунитетом риск инфекции, как причины боли в пояснице, особенно высок и может иметь бактериальную, грибковую, паразитарную или вирусную природу. Приведу некоторые наиболее часто встречающиеся инфекционные поражения поясничного отдела позвоночника:

— дисцит (от греч. diskos — «диск», лат. окончание — itis — «воспаление») — воспаление, поражение межпозвонкового диска;

— спондилит (греч. spondylos — «позвонок»; лат. -itis) — воспалительное заболевание позвоночника (характерный признак — первичное разрушение тел позвонков с последующей деформацией позвоночника); спондилит имеет разновидности, к примеру, пиогенный спондилит, гранулематозный спондилит, грибковый спондилит, паразитарный спондилит;

— эпи- и субдуральный абсцесс (греч. epi — «над, сверх»; лат. sub — «под»; лат. durus — «твёрдый»; лат. abscessus — «гнойник, нарыв»; мед. термин «дуральный» означает относящийся к твёрдой мозговой оболочке) — скопление гноя, локализующееся над- и под твёрдой мозговой оболочкой, вследствие воспаления;

— менингит (от греч. meningos — «мозговая оболочка»; лат. -itis) — воспаление оболочек головного или спинного мозга;

— миелит (от греч. myelos — «мозг»; лат. -itis) — воспаление спинного мозга.

Также одними из многочисленных причин болей в спине могут быть и поражения внутренних органов. Ведь каждый сегмент спинного мозга иннервирует определённый участок тела, в том числе мышцы, органы. К примеру, если у человека есть заболевания половых желёз, или придаточных органов половой системы, или же заболевания толстой кишки, то это также может послужить причиной появления в том же поясничном отделе позвоночника так называемой отражённой боли. Отражённая боль (реперкуссионная) возникает в органах и тканях, которые не имеют морфологических изменений, однако вовлечены симпатической нервной системой в патологический процесс, очаг которого находится в другом месте, как правило в каком-либо внутреннем органе. Следует также понимать и обратную связь, то есть, если происходит поражение периферической нервной системы, вследствие сдавления корешка или ствола нерва, если происходит травма, напряжение сегмента спинного мозга, то, соответственно, нарушаются рефлекторные реакции того или иного участка тела, с которым они связаны.

Боли в поясничном отделе позвоночника также могут возникать и вследствие патологических или компрессионных переломов поясничных позвонков, которые, к сожалению, зачастую остаются нераспознанными. Позвонок в состоянии нормы обладает значительным запасом прочности. Однако при приложении внешней силы, которая превышает прочность позвонка, происходит перелом. Перелом патологически изменённых позвонков может образовываться и при незначительной травме, к примеру, «подкинуло в маршрутке», «спрыгнул со ступенек» и так далее. Компрессионные переломы — это переломы, при которых под воздействием травмирующей силы возникает компрессия тела позвонка, что приводит к уменьшению его высоты. Чаще всего такой перелом происходит при падении с высоты на ноги, ягодицы, голову. Причиной таких переломов может быть также и остеопороз (osteoporosis; греч. osteo — кость, poros — пора, отверстие, — osis — заболевание) — разрежение костной ткани или дистрофия костной ткани, и как результат кости становятся хрупкими и ломкими. Также причиной компрессионных переломов может быть и метастатическое поражение позвоночника при злокачественных опухолях.

Точный диагноз очень важен для последующего лечения. Так что не пренебрегайте дополнительным обследованием, даже если несколько «специалистов», после того как выслушали ваши жалобы и произвели визуальный осмотр, поставили вам «окончательный диагноз». Приведу пример из своей практики. Ко мне на приём в клинику привезли одного мужчину его родственники, которые с порога заявили, что у больного грыжа в поясничном отделе. Стали интересоваться, сколько будет стоить лечение. Причём ни МРТ, ни КТ снимков позвоночника у них не было, поскольку обследования не производилось. На естественный вопрос, откуда они знают, что у данного человека имеется грыжа межпозвонкового диска, они ответили, что это им сказали врачи. Оказывается, они уже побывали у мануального терапевта, который прощупал поясничный отдел больного, выслушал жалобы и «определил», что у пациента грыжа, тут же предложив мануальный способ лечения. Но родственников не устроила цена и они обратились в другой центр, где точно также им «определили» грыжу и предложили лечить методами вытяжения. В общем, моя клиника оказалась в их списке третьей по счёту.

Естественно, первым делом я отправил больного на комплексное обследование, уж слишком был большой «букет» различных симптомов, не совсем типичный для обычной межпозвонковой грыжи: боли в спине, почечные колики, боли в животе, слабость, недомогание, даже были потери сознания. Кроме того, больной сообщил, что у него анемия. Как часто это бывает, врач, к которому обращался пациент, этиологию её происхождения досконально не изучал, традиционно списав этот процесс на недостаток железа в организме. Однако любая анемия развивается как следствие, синдром при целом ряде заболеваний и некоторых физических состояниях, которые в основном связаны с какими-либо изменениями или поражениями системы крови. Кроме того, причина острой почечной недостаточности также осталась невыясненной, поскольку врачи не выявили патологии после ультразвукового обследования почек. В общем, комплексное обследование в данном случае было единственно правильным решением, чтобы разобраться и установить причину «букета» симптомов данного пациента.

Когда пациент прошёл комплексное обследование, то согласно этим данным у больного не наблюдалось межпозвонковой грыжи в поясничном отделе! У него были диагностированы компенсированные спондилёзом протрузии в сегментах LJV—Ly, L^ — Sj, а также спондилоартроз на этом уровне. Но это не могло послужить причиной такого разнообразия клинических проявлений. Опыт предыдущих лет мне подсказывал, что скорее всего такую характерную клинику могли давать скрытые серьёзные сосудистые проблемы. И если это подтвердится дополнительным обследованием, то в первую очередь необходимо устранить именно их, а потом уже «разбираться» с позвоночником. Поэтому я направил больного на дополнительное обследование к ангиохирургу и ангионеврологу. Для тех, кто не сталкивался с подобными врачебными специальностями, поясню, приставка анги- указывает на отношение к сосудам, сосудистой системе (кровеносным, лимфатическим сосудам). И действительно, после тщательного обследования у данных специалистов у больного был установлен диагноз — расслаивающая аневризма аорты (греч. aneurysma — расширение; аневризма — это выпячивание стенки артерии вследствие её истончения или растяжения). Вот что спровоцировало такой характер болей в пояснице!

Должен заметить, что наличие расслаивающей аневризмы аорты трудно диагностировать сразу, на это необходим ряд дополнительных обследований. К сожалению, зачастую данный диагноз устанавливают уже при вскрытии трупа. Это довольно коварное заболевание. Клиническая картина характеризуется значительным разнообразием проявлений, которые объединяются в так называемые в медицине синдромы «маски», то есть такие симптомы, которые имитируют ту или иную болезнь, маскируя истинную причину. Это, к сожалению, приводит к значительному числу диагностических ошибок, которые могут стоить человеку жизни. Что же касательно позвоночника, то при данном диагнозе могут проявляться такие симптомы, как «раздирающая» боль в пояснице (при расслаивающей аневризме брюшного отдела аорты). Если этот процесс происходит в грудном отделе, то возможны «раздирающая» боль в грудном отделе позвоночника, сходство с клинической картиной инфаркта миокарда и так далее.

Правильный диагноз и установление причины, вызвавшей определённые симптомы, очень важны! Представьте, если бы этому пациенту начали лечить «грыжу» (причём несуществующую) методами мануальной терапии или вытяжения. Да они таким способом просто спровоцировали бы разрыв аорты, и человек скончался бы на месте. Так что можно сказать, что этой семье просто повезло, что их кормильца вовремя направили на обследование и дообследование, пока не был установлен точный диагноз.

Не стоит забывать и про опухоли как возможную причину происхождения тех же поясничных болей. Опухоли в позвоночнике, к сожалению, уже не редкость. Надо также учитывать, что локализации опухолей, как и сами опухоли, бывают разными. Это могут быть следующие опухоли: множественные миеломы (онкологическое заболевание, процесс которого происходит в костном мозге), лимфомы (онкологическое заболевание лимфатической ткани), остеогенные саркомы (саркома, злокачественные клетки которой происходят из костной ткани и продуцируют эту ткань; вторая по частоте первичная опухоль костной ткани у детей и лиц молодого возраста), хордомы (первично злокачественные костные опухоли, растут из остаточных клеток эмбриональной хорды), хондросаркомы (злокачественная опухоль из хрящевой ткани), саркомы Юинга (злокачественная опухоль костного скелета), гигантоклеточные опухоли (остеобластокластома; костная киста). И многие другие опухоли, которые могут стать причиной, вызвавшей боли в позвоночнике.

Упомяну и об опухолях спинного мозга, которые разделяются на интрамедуллярные (располагаются внутри спинного мозга и образуются из ткани самого мозга) и экстрамедуллярные (располагаются вне спинного мозга и образуются из корешков спинномозговых нервов, сосудов, эпидуральной клетчатки, мозговых оболочек). Как раз при экстрамедуллярных опухолях, в качестве первых проявлений поражения, характерны корешковые симптомы. Если локализация данного патологического процесса происходит в том же поясничном отделе позвоночника, то, соответственно, это будет вызывать разнообразные боли в пояснице (стягивающие, опоясывающие, прострелы). Причём, в первой стадии развития этого процесса корешковые боли возникают в том числе и при переходе из положения сидя в положение стоя или в положение лёжа, при наклоне туловища, поднятии ног. Так вот, на начальной стадии данных новообразований, так же как и в случае сегментарной нестабильности, из-за корешковых болей также происходят мышечные спазмы, в последующем закрепляющиеся рефлекторной фиксацией позвоночника в наиболее удобном, комфортном положении, при котором боли уменьшаются. Вот вам и одинаковые симптомы. Однако в первом случае диагноз — начальная стадия развития опухоли и с ним надо поспешить к хирургу, а не пытаться заниматься плаванием и лечебным терренкуром, теша себя мыслью, что всё пройдёт само собой. А вот во втором случае диагноз — сегментарная нестабильность, где как раз плавание и ходьба будут весьма полезны и своевременны для восстановления здоровья. Так что диагноз диагнозу рознь!

Будьте бдительны, когда ваши «хорошие знакомые» советуют вам то же лечение, что посоветовал им врач при тех же симптомах. Они могут вам оказать поистине «медвежью услугу», причём не исключено, что с теми же последствиями, что и в басне Ивана

Андреевича Крылова «Пустынник и Медведь» (1807). Помните, как одинокий Пустынник от скуки подружился в лесу со своим соседом Медведем, да этой дружбой никак не мог нахвалиться, видел в друге целый клад. Случилось, что Пустынник прилёг отдохнуть, Медведь же решил оказать ему услугу, постеречь его сон. Прилетела муха, Медведь сначала отмахивал её от лица друга, а потом решил муху убить.

«Вот Мишенька, не говоря ни слова,
Увесистый булыжник в лапы сгрёб,
Присел на корточки, не переводит духу,
Сам думает: «Молчи ж, уж я тебя, воструху!»
И, у друга на лбу подкарауля муху,
Что силы есть — хвать друга камнем в лоб!
Удар так ловок был, что череп врознь раздался,
И Мишин друг лежать надолго там остался!»
Надеюсь, что своевременно принятые вами меры, после прочтения данной книги, уберегут вас от подобных летальных последствий. Исходя из всего вышеперечисленного, хотелось бы подчеркнуть, что мы всего лишь коснулись спектра тех заболеваний, которые, как хамелеоны, могут маскироваться под банальный остеохондроз в том же поясничном отделе. Надеюсь, вышеприведённые примеры весьма убедительны, чтобы читатель понимал, насколько важно не запускать болезнь, надеясь, что всё пройдёт само собой, своевременно обращаться к специалистам, пройти обследование, установить точный диагноз и уже в соответствии с диагнозом подбирать приемлемые методы лечения. Ведь даже за незначительной болью в позвоночнике может скрываться всё что угодно, не исключено, что и одно из вышеперечисленных заболеваний. Однако чем раньше это заболевание будет выявлено, тем больше у вас будет шансов на благоприятный исход лечения.

Протрузия межпозвонкового диска
Если в процессе развития сегментарной нестабильности человек так и не услышал «разумный голос» позвоночника, оповещающего своими незначительными болевыми сигналами о том, что есть проблемы со здоровьем, то, как правило, начинается следующий этап развития дегенеративного процесса — протрузия. Протрузия (лат. pro — вперёд, truso — толкать) — это выпячивание за пределы края тел позвонков содержимого межпозвонкового диска (пульпозного ядра) с сохранением целостности его оболочки (фиброзного кольца). Дегенеративно-дистрофический процесс в пульпозном ядре приводит к тому, что давление начинает распределяться неравномерно. То есть, ядро постепенно утрачивает свойства гидравлического амортизатора статических давлений. При начальной стадии протрузии, когда человек находится в вертикальном положении, высота межпозвонкового диска снижается и фиброзное кольцо выпячивается за пределы смежных позвонков, а в горизонтальном положении — снова возвращается в обычное состояние. Это происходит благодаря частичной сохранности пульпозного ядра и разницы нагрузок в вертикальном и горизонтальном положениях. Постепенно, по мере дальнейшего развития протрузии, вследствие разрушения диска (появление трещин в фиброзном кольце, распад пульпозного ядра на отдельные фрагменты), эта сопротивляемость снижается. В результате диск постоянно находится в выпяченном состоянии. А это чревато сужением позвоночного канала, ущемлением нервных корешков, сосудов. Для лучшего понимания этого процесса проследим стадии его развития на серии МРТ № 9.

МРТ № 9


МРТ № 9. На снимках наблюдаются этапы выбухания межпозвонкового диска с образованием протрузии диска (без разрыва фиброзного кольца)


Данную ситуацию в начальной стадии развития протрузии можно образно представить на примере плохо накачанной шины автомобиля, на который погрузили тяжёлый груз. При этом шина выбухает далеко за пределы обода колеса, однако при снятии нагрузки она возвращается обратно. Второй этап развития протрузии можно сравнить с частичным повреждением покрышки и образованием так называемой «шишки», которая по мере её развития может разорваться. Об этой опасности хорошо известно автомобилистам, поскольку она является одной из причин аварий на дорогах. Вследствие развития протрузии с межпозвонковым диском происходит схожий процесс. То есть, при постоянных нагрузках диск выпячивается, истончается фиброзное кольцо. Да ещё процесс усугубляется дополнительными микротравмами, при которых в диске появляются трещины и разрывы в разных направлениях, куда под большим давлением просачиваются частички дегенерирующего пульпозного ядра. Протрузию можно назвать этапом, когда природа делает всё возможное и невозможное, чтобы спасти повреждённый участок позвоночника. После данного этапа возможно следующее развитие событий: либо этот процесс компенсируется спондилёзом, фиброзом, либо фиброзное кольцо во время очередной нагрузки разрывается в месте истончения и происходит выход содержимого пульпозного ядра за границы фиброзного кольца, то есть процесс переходит в неконтролируемую организмом стадию развития дегенерации межпозвонкового диска — образование грыжи.

Грыжа межпозвонкового диска
Несмотря на то что в этимологическом словаре Макса Фасмера даётся обзорное народное обобщение грыжи, а именно, цитирую, «собственно грыжа, hernia» (лат. hernia — грыжа), «боль, ломота», «рана, нарыв», грыжа межпозвонкового диска является весьма непростым заболеванием. Относиться к ней легкомысленно не стоит. Хотя последнее и не получится, поскольку, как правило, интенсивность болевого синдрома при межпозвонковых грыжах настолько выражена, что невольно заставляет человека искать от неё средства спасения. Однако, чтобы сгоряча и от безысходности не натворить ещё большей беды, необходимо обладать хотя бы минимальным запасом знаний по этому вопросу.

Итак, грыжа межпозвонкового диска — это патологическое состояние, при котором происходит прорыв (экструзия, лат. extrudo — выталкивать; пролапс, лат. prolapsus — выпадение) фрагментов дегенерированного пульпозного ядра за границы фиброзного кольца. Грыжи межпозвонкового диска бывают разными. Они могут быть несеквестрированными и секвестрированными. Секвестрированные грыжи межпозвонкового диска могут быть мигрирующими и немигрирующими. То есть, грыжевое выпячивание может быть частичным,


МРТ № 10

МРТ № 10. На данных снимках наблюдается процесс развития грыжи межпозвонкового диска с сохранением связи с межпозвонковым диском, и полным, с перерывом этой связи и развитием свободного секвестра (секвестры, от лат. sequestro — ставлю вне, отделяю). Грыжи межпозвонкового диска могут возникнуть остро, после значительной нагрузки с разрывом фиброзного кольца и выходом большей части содержимого диска, и постепенно с выходом за пределы фиброзного кольца небольшими порциями подвергшейся дегенеративным изменениям ткани студенистого ядра.

Кроме того, в аксиальной (лат. axialis — осевой) плоскости (то есть в горизонтальном разрезе) грыжи межпозвонковых дисков разделяют на вентральные, медианные, парамедианные, медиолатеральные, фора-минальные и экстрафораминальные.

В связи с биомеханическими особенностями позвоночника основная нагрузка падает на задние структуры диска. Ведь спереди (или точнее будет сказать в вентральном направлении, т. е. обращённом к брюшной поверхности) фиброзное кольцо довольно прочно, да к тому же покрыто мощной передней продольной связкой. А вот сзади (в дорсальном направлении; от лат. dorsum — спина) задняя продольная связка и фиброзное кольцо менее прочны, особенно в заднебоковых отделах. Именно по этим причинам чаще всего протрузия или грыжа межпозвонкового диска возникает в заднебоковых отделах диска.


Рисунок М°24. Зоны возможной локализации грыжи межпозвонкового диска в аксиальной плоскости


Классификацию межпозвонковых грыж в сагиттальной плоскости мы рассмотрим ниже. А сейчас предоставляю вашему вниманию несколько наглядных примеров межпозвонковых грыж и их локализацию в аксиальной плоскости (из истории болезней пациентов).

Вентральная локализация грыжи межпозвонкового диска как правило клинически ничем характерным не проявляется и определяется случайно (при обследованиях, связанных с другими заболеваниями позвоночника). Однако она не менее опасна, чем дорсальная грыжа межпозвонкового диска, особенно из-за близкого расположения аорты. Дело в том, что по анатомическому расположению брюшная часть аорты начинается на уровне XII грудного позвонка и, проходя по передней поверхности тел поясничных позвонков (немного левее срединной линии), продолжается практически до уровня середины тела IV поясничного позвонка. При вентральной грыже межпозвонкового диска значительных размеров в верхних сегментах поясничного отдела позвоночника могут возникать «конфликты» грыжи с аортой и соответственно спаечные процессы с вовлечением в них последней, что в свою очередь может привести к нарушению кровообращения в области малого таза и нижних конечностей.


МРТ № 11


МРТ № 12

На МРТ № 11 наблюдается парамедианная грыжа межпозвонкового диска, которая как бы обхватывает с двух сторон спинной мозг

На МРТ № 12 наблюдается медианная (срединная) грыжа межпозвонкового диска, которая часто протекает безсимптомно и может достигать больших размеров


МРТ № 13


МРТ № 14

На МРТ № 13 наблюдается медиолатеральная грыжа межпозвонкового диска (заднебоковая)

На МРТ № 14 наблюдается фораминальная грыжа межпозвонкового диска с локализацией внутрь межпозвонкового отверстия


МРТ № 15


МРТ № 16

На МРТ № 15 наблюдается двухсторонняя экстрафораминальная грыжа межпозвонкового диска (расположенная за межпозвонковыми отверстиями)

На МРТ № 16 наблюдается медиолатеральная протрузия и вентральная грыжа межпозвонкового диска


На МРТ № 17 наблюдается вентральная грыжа межпозвонкового диска в сегменте ThXII-LI с выраженными спаечными процессами на этом уровне, с вовлечением в данный процесс брюшной аорты


В сагиттальной плоскости (вертикальный срез) грыжи межпозвонковых дисков разделяют на вентральные, дорсальные, краниальные и каудальные.


МРТ № 18

На МРТ № 18 наблюдаются грыжи межпозвонковых дисков в сегментах:

— LIV-LV вентральной локализации с образованием каудального секвестра; при расположении межпозвонковой грыжи на один сегмент выше, «конфликт» с брюшной аортой был бы неизбежен;

— LV-SI — дорсальная грыжа межпозвонкового диска, частично компенсированная спондилёзом


МРТ № 19


МРТ № 20


На МРТ № 19 наблюдается дорсальная грыжа межпозвонкового диска шейного отдела позвоночника в сегменте СVVI с компрессией спинного мозга

На МРТ № 20 наблюдается грыжа межпозвонкового диска шейного отдела позвоночника в сегменте CV—CVI и протрузия в сегменте CVI-CVII


Замечу, что если грыжа межпозвонкового диска имеет достаточно большой размер и локализована в шейном отделе, то она способна вызвать не только соматические нарушения, но и даже психические расстройства. Причина кроется в сдавлении дурального мешка грыжей межпозвонкового диска (дуральный мешок — это герметичный соединительнотканный мешок, формируемый твёрдой мозговой оболочкой, в котором расположен спинной мозг). Как известно, спинной мозг не имеет болевых рецепторов. Однако вышеуказанная патология приводит к локальному устойчивому возбуждению определённых зон коры головного мозга. На субъективном уровне это может проявляться как постоянное чувство тревоги (так называемый «синдром ожидания»).

Грыжи межпозвонковых дисков в грудном отделе позвоночника явление довольно редкое, но всё же наиболее опасное. Опасное потому, что эпидуральное пространство в грудном отделе позвоночника узкое по сравнению с другими отделами, в пределах всего 0,2–0,4 см по всей окружности дурального мешка (твёрдой оболочки спинного мозга). Поэтому даже небольшое грыжевое выпячивание может сдавить спинной мозг и вызвать тяжелейшие осложнения. Но, как уже говорилось, это явление в грудном отделе позвоночника редкое, поскольку высота межпозвонковых дисков довольно мала, всего около 3–5 мм, да и грудной отдел позвоночника менее подвижен по сравнению с другими отделами за счёт жёсткого рёберного каркаса, а значит, менее подвержен травматизации.


МРТ № 21

На МРТ № 21 наблюдается секвестрированная грыжа межпозвонкового диска шейного отдела позвоночника в сегменте CIII-CIV. На данном снимке, хорошо видно, как фрагмент (секвестр) грыжи межпозвонкового диска, исходя из сегмента СIIIIV, уходит краниально (т. е. вверх, по направлению к голове) и грубо сдавливает спинной мозг на данном уровне.


МРТ № 22


МРТ № 23

На МРТ № 22 и МРТ № 23 наблюдаются дорсальные грыжи межпозвонковых дисков в грудном отделе позвоночника


Считается, что грыжи межпозвонкового диска больших размеров, а тем более секвестрированные грыжи, способны в значительной степени инвалидизировать человека, так как могут частично или же полностью компримировать (лат. comprimere — сжимать, сдавить) спинной мозг и его корешки. Это, несомненно, так. На практике грыжи межпозвонковых дисков, даже небольших размеров, в условиях стеноза (греч. steosis — сужение) спинномозгового канала или же фораминальной локализации (направленные в межпозвонковое отверстие) могут вызвать такие же осложнения, как и секвестры.


МРТ № 24

На серии снимков МРТ № 24 наблюдаются дорсальные грыжи межпозвонковых дисков в поясничном отделе позвоночника в сегментах Lv—SI Это самый уязвимый межпозвонковый диск, так как в силу своего анатомического расположения на него приходятся самые большие нагрузки. Как говорится, по счёту «последний», а по уязвимости, первый. Поэтому в нём чаще, чем в других межпозвонковых дисках, возникают, различные осложнения, в том числе и грыжи


МРТ № 25

На серии снимков МРТ № 25 наблюдаются дорсальные грыжи межпозвонковых дисков в поясничном отделе позвоночника в сегментах LIV-LV Lv—SI Такие комбинации, в которых образуются по нескольку грыж, межпозвонковых дисков одновременно, случаются довольно часто на более поздних стадиях развития дегенеративно-дистрофического процесса. В общем, беда не приходит одна, «несчастье» любит, компанию


МРТ № 26

На серии МРТ № 26 наблюдаются секвестрированные грыжи межпозвонковых дисков в поясничном отделе позвоночника в сегментах LIV—LV LV—SI с каудальной (каудальной — расположенной ближе к нижней части туловища, направленной вниз) миграцией секвестра (фрагментов межпозвонкового диска)


МРТ № 27

На серии МРТ № 27 наблюдаются секвестрированные грыжи межпозвонковых дисков в поясничном отделе позвоночника в сегментах L]-Sl с краниальной (вверх) миграцией секвестра (фрагментов межпозвонкового диска)


Должен заметить, что по моим наблюдениям, к сожалению, практически все существующие на сегодняшний день методы лечения дегенеративно-дистрофического процесса, в том числе и осложнённого грыжами межпозвонковых дисков, направлены на устранение болевого синдрома. Проще говоря, лечат следствие, а не причину! Обращаю ваше внимание на следующий факт. Бывают грыжи межпозвонковых дисков, которые не вызывают никакой симптоматики, так называемые «немые» грыжи. Как правило, они имеют срединную локализацию. Некоторые «специалисты», практикующие в области вертебрологии, ошибочно считают, что такие грыжи абсолютно безопасны и лечить их нет необходимости. При этом навязывают своё (в данном случае необоснованное, ошибочное) мнение, что межпозвонковые грыжи опасны лишь тогда, когда вызывают боли. К сожалению, это далеко не так!


МРТ № 28

На МРТ № 28 наблюдается секвестрированная грыжа межпозвонкового диска в поясничном отделе позвоночника в сегменте LV—S1 с каудальной миграцией секвестра


Межпозвонковые грыжи весьма опасны и коварны, даже если и не вызывают болей. Дело в том, что длительное раздражение или сдавление межпозвонковой грыжей задней продольной связки, оболочек спинного мозга вызывает развитие воспалительных процессов в спинномозговом канале с последующим развитием эпидурита (воспаление клетчатки эпидурального пространства), арахноидита (воспаление паутинной (арахноидальной) оболочки головного или спинного мозга), а так же спаечных процессов. Так что оставлять человека один на один с его проблемой «немых» грыж, не оказав ему своевременную помощь, это всё равно, что обрекать его на усугубление патологических процессов в его позвоночнике и развитие нового «букета» заболеваний.

Хотелось бы затронуть и тему нейроинфекции. Профессор, академик Валентин Иванович Покровский (крупный ученый с мировым именем, клиницист-инфекционист, эпидемиолог) дал такое определение нейроинфекций: «Нейроинфекции — чрезвычайно гетерогенная группа распространённых заболеваний центральной и периферической нервной системы, характеризующихся, как правило, тяжёлым течением, высокой летальностью и стойкой инвалидизацией». В повседневной практике мне часто приходится встречаться с развитием нейроинфекции у больных, появившейся вследствие дегенеративно-дистрофических изменений в позвоночнике. В общем-то это естественно, так как, к примеру, длительное сдавление грыжей межпозвонкового диска оболочек спинного мозга или спинномозгового корешка вызывает развитие воспалительных процессов и приводит к эпидуриту, а порой и к арахноидиту. В свою очередь это обеспечивает идеальные условия для проникновения через очаг воспаления различных инфекционных агентов, особенно вирусов (от лат. virus — «яд»), которые таким образом, минуя гематоэнцефалический барьер, попадают непосредственно в спинномозговую жидкость (ликвор) и беспрепятственно распространяются по ликворным путям. А если при этом у больного имеется нарушение ликвородинамики вследствие сдавления ликворных путей грыжей межпозвонкового диска или же костными структурами позвоночника, что приводит к затруднению (замедлению) циркуляции ликвора и образует его длительные застои в нижней люмбальной цистерне (в пояснично-крестцовом отделе позвоночника), в боковых карманах спинномозговых корешков, то это в свою очередь вызывает нарушение питания тканей и обеспечивает идеальные условия для развития инфекционного процесса. А, как известно, инфекционный процесс составляет основу развития инфекционных заболеваний, по мере прогрессирования которых возникают значительные поражения спинного и головного мозга, нарушающие работу органов и систем организма.


МРТ № 29


МРТ № 30

На МРТ № 29 наблюдаются протрузии и грыжи межпозвонковых дисков в шейном отделе позвоночника На МРТ № 30 головного мозга этого же пациента наблюдаются очаги демиелинизации вследствие развития нейроинфекции


Кроме того, независимо от размера и локализации любая грыжа межпозвонкового диска вызывает аутоиммунные реакции организма. Обратите на это особое внимание. Это очень важный момент для понимания причин возникновения многих заболеваний позвоночника! К аутоиммунным реакциям организма мы будем возвращаться ещё не раз в этой книге. А пока поясню общие моменты. Ткань пульпозного ядра, лишённая сосудов и изолированная от иммунологической системы крови, обладает аутоиммунными свойствами (аутоиммунный от греч. autos — сам и лат. immunis — свободный от чего-либо). При грыже межпозвонкового диска, когда фрагменты пульпозного ядра попадают, к примеру, в спинномозговой канал, происходит так называемый «конфликт», то есть иммунитет их не распознаёт как собственную ткань организма и воспринимает как чужеродные клетки. Возникает аутоиммунная реакция, которая приводит к аутоиммунным заболеваниям. Аутоиммунные заболевания — это патологические состояния, в основе которых лежат реакции иммунитета, направленные против собственных органов или тканей организма.

Данная проблема изучается и на сегодняшний деньостаётся открытой. Имеется немало интересных работ (в том числе экспериментальных) об аутоиммунных реакциях на грыжи межпозвонкового диска таких авторов как В. Я. Латышева, И. П. Антонов, Г. С. Юмашев, М. Е. Фурман и других как отечественных, так и зарубежных исследователей. Многими специалистами, изучавшими аутоиммунные реакции, было достоверно установлено, что у больных с грыжами, особенно секвестрированными грыжами межпозвонковых дисков уровень иммуноглобулинов G и М значительно повышен (иммуноглобулины — основные защитные белки организма). Авторами данных работ также отмечается и такой факт: после хирургического удаления грыж межпозвонкового диска в ближайший послеоперационный период уровень иммуноглобулинов ещё более повышается и сохраняется в течение многих месяцев. Проще говоря, после операций по удалению грыж межпозвонковых дисков аутоиммунные реакции усиливаются на длительный период времени. Вот и получается очередная дилемма для врачей, что оставлять грыжи межпозвонковых дисков нельзя, так как они вызывают аутоиммунные реакции, которые могут спровоцировать очень серьёзные осложнения, а после хирургического вмешательства (удаления) эти реакции только усиливаются. И где же ставить запятую: «Казнить нельзя помиловать»?

Приведу ещё один показательный пример из своей практики, связанный с развитием нейроинфекции вследствие дегенеративно-дистрофических изменений в позвоночнике. Для специалиста диагноз «нейроинфекция» звучит достаточно обыденно. А вот для пациента — это неожиданный приговор судьбы, который может не только лишить человека здоровья, но напрочь поломать карьеру, жизнь, превратить в пустую иллюзию большие планы на будущее. Хотя, как говорится, случайности не случаются. Подобная беда из «букета» болезней не рождается на пустом месте. Ей предшествует ряд «мелочей», целая цепочка «личного выбора», начиная от нравственных ценностей и заканчивая образом жизни, которые приводят к определённым событиям. Древние мудрецы говорили, болезнь — это следствие твоего образа жизни, причина безумств воли.

Более двадцати лет назад судьба свела меня с одним молодым, энергичным человеком, физиком по профессии (не называю его фамилию из этических соображений). В нём были видны задатки настоящего учёного: любовь к своей профессии, эрудированность, неудержимая тяга к познанию всего нового и непознанного, правильная постановка целей и задач. Мы вместе занимались одним и тем же видом спорта и часто довольно подробно обсуждали ряд вопросов из области перспективных направлений его профессии. С ним было интересно беседовать, так как он обладал незаурядными умственными способностями, схватывал всё на лету и имел неплохие аналитические задатки. В общем, человек был достаточно талантлив, чтобы с честью и достоинством послужить во благо развития науки и человечества.

Со временем он достиг признания в научной среде. Его работы вызвали определённый интерес, возможно потому, что мысль данного учёного опережала время, и то, о чём он заявлял много лет назад, только сейчас начинают изучать более детально. Так сложилось, что я переехал в другой город, однако несмотря на это мы созванивались довольно часто. Он рассказывал о своих исследованиях, о проблемах, с которыми сталкивался, обсуждали их решение, перспективные возможности мирного применения его разработок для улучшения жизни людей. А несколько лет тому назад он переехал на постоянное место жительства в соседнюю страну, получив в своё распоряжение прекрасную лабораторию и очень солидный бюджет для её содержания. Казалось бы, мечта учёного почти свершилась, талантливый человек получил возможность полноценно работать сразу в нескольких перспективных направлениях. Однако…

Последние пять лет я ничего о нём не слышал, он не звонил и естественно мы не виделись, очевидно работа заняла все его мысли и время. Поэтому его внезапный звонок был для меня несколько неожиданным. Он сообщил, что собирается приехать ко мне в клинику и просил встречи. Естественно, я ответил, что буду рад его увидеть. Однако, слушая его голос по телефону, понял, что радоваться нечему, у человека серьёзные проблемы со здоровьем: слишком заметные изменения в его речи указывали на то, что его гениальный мозг явно пострадал. К сожалению, мои худшие опасения оправдались.

Когда я его увидел, то почти не узнал. Прежде жизнерадостного, оптимистично настроенного человека точно подменили, прямо как в сказках говорится, «душу вынули, а вместо этого стужу лютую напустили». На фоне материального благополучия здоровье его рушилось как карточный домик. Прежде, когда я интересовался успехами в его работе, он мог говорить часами. Сейчас же он давал довольно обтекаемые ответы, отметив: «Хорошо финансируется лишь то, что способно вредить человечеству. И чем больше оно способно вредить, тем лучше финансируется. А мои проекты очень хорошо финансируются». Далее можно было не продолжать, и так всё предельно ясно.

Насколько я понял из его рассказа, пять лет назад он получил «спецзаказ» и, как говорится, с головой ушёл в работу. Но полтора года назад здоровье его заметно пошатнулось. Он почувствовал боли в шее, стал быстро уставать, нарушился сон, появились головные боли, что, естественно, отразилось на работоспособности. Вынужден был обратиться в соответствующее медицинское учреждение, где ему сделали МРТ (№ 31), на котором наблюдались незначительные протрузии межпозвонковых дисков в шейном отделе позвоночника в сегментах CV-CVI и CVI-CVII.


МРТ № 31


Он взял отпуск и поехал в Москву в довольно известную частную клинику. Прошёл курс лечения, который включал в себя «стандартный набор»:

— мануальную терапию, с целью уменьшения (устранения) болевого синдрома, путём восстановления соотношений суставных поверхностей дугоотростчатых суставов в сегментах CV-CVI и CVI-CVII (устранение сублюксации);

— массаж шейного отдела позвоночника (для расслабления мышц, улучшения кровообращения);

— физиотерапию — магнитотерапию, инфракрасный лазер на воротниковую зону, с целью уменьшения воспалительных процессов и отёчности в поражённых тканях;

— медикаментозную терапию — стандартный набор нестероидных препаратов, витамины и анальгетики;

— физические упражнения на тренажёрах и лечебная физкультура для укрепления мышечного корсета позвоночника и выработки правильной осанки, придание связочно-мышечному аппарату необходимой гибкости с целью увеличения объёма движений в позвоночнике.

После лечения действительно почувствовал себя лучше, работоспособность была восстановлена. Но, чтобы не утратить достигнутый результат лечения, следуя рекомендациям, полученным в московской клинике, он продолжил заниматься на тренажёрах. Даже приобрёл несколько универсальных (многофункциональных) тренажёров. Один установил дома, другой — на работе. Жизнь вошла в привычное русло. Боли в шее периодически возникали, но проходили после занятий на тренажёре. К медикаментам прибегал в редких случаях.

Так продолжалось практически год, пока не появилась боль в левой руке и онемение IV и V пальцев. Занятия на тренажёре только усиливали боли, а лекарства практически не действовали. В связи с чем он был вынужден опять обратиться в ту же клинику. После лечения (практически по той же схеме) боли уменьшились, но полностью не прошли, онемение усилилось. Через некоторое время появилась субфебрильная температура (37–37,2 °C), общая слабость, частые головные боли, головокружения. По жалобам и ощущениям с его слов: «На голову надели будто тесную шапку и она сдавливает. А в голове туманность какая-то, мысли путаются, на чём-то сосредоточиться практически невозможно. Порой забываю, что минуту назад делал. Такое ощущение, что в голове полно посторонних мыслей: только от одних отделаюсь, как появляются другие» и так далее. Естественно, он вынужден был опять обратиться в медицинское учреждение, где ему повторно сделали МРТ (№ 32).



После обследования у него было обнаружено:

— абсолютный стеноз спинномозгового канала шейного отдела позвоночника с полным блоком ликворных путей и сдавлением дурального мешка спинного мозга на уровне сегментов CV-CVI и CVI-CVII;

— в сегменте CV-CVI — значительный спондилёз, гипертрофия задней продольной связки, и практически компенсированная спондилёзом грыжа межпозвонкового диска;

— в сегменте CVI-CVII — довольно активная грыжа межпозвонкового диска;

— на уровне поражённых сегментов выраженный эпидурит.

После данного обследования, когда врачи увидели грыжи межпозвонковых дисков, да и то, что происходило у пациента в шейном отделе позвоночника, они стали категорически настаивать на немедленной операции. Однако перспектива стать инвалидом на всю оставшуюся жизнь явно не прослеживалась в планах пациента. Когда прозвучали два слова — «грыжи» и «операция», этот человек, естественно, тут же вспомнил и про меня, и про нашу давнишнюю с ним дружбу.

Однако меня не удовлетворили результаты его обследования. Если бы дело было только в грыжах, это полбеды. Меня смущало наличие других симптомов, которые косвенно свидетельствовали о возможном поражении ЦНС. Поэтому я послал его на дополнительные обследования МРТ головного мозга (№ 33), тесты (ИФА (иммуноферментный анализ), ПЦР (Полимеразная Цепная Реакция на инфекции), которые дали положительный результат на герпесвирусы: Epstein-Barr virus (EBV) (вирус Эпштейна-Барр) и Cytomegalovirus (CMV) (вирус Цитомегаловирус).


МРТ № 33

МРТ № 33 На МРТ отчётливо видны множественные очаги демиелинизации, вследствие развития нейроинфекции


Этот случай очередной раз указывает на то, как даже гениальный мозг может пострадать от банальной глупости человеческой. Есть такие замечательные слова древнекитайского философа Лао-Цзюнь (Лао-Цзы) в «Рассуждениях о ста заболеваниях»: «Человек мудрости… избавляется от беды, когда она ещё не появилась. Ведь катастрофа рождается из мелочей, а болезнь возникает из тончайших отклонений».

Грыжа Шморля
Некоторых моих пациентов интересует вопрос, что такое грыжа Шморля, которая у них была обнаружена в результате обследования. Грыжа Шморля (хрящевой узелок Шморля, узелок Шморля) — это медицинский термин, который означает грыжевидное выпячивание, внедрение хрящевой ткани из межпозвонкового диска в губчатую кость тела позвонка. Названа она так в честь выдающегося немецкого патологоанатома, учёного, профессора Кристиана Шморля (Schmorl Ghristian Georg; 1861–1932), который первым описал данную патологию в рамках научного понимания начала XX века. За последние годы жизни учёный написал ценные работы по патологической анатомии позвоночника. В них профессор Шморль поделился рядом своих открытий, касающихся межпозвонковых дисков. В том числе там было описано состояние межпозвонкового сегмента, при котором межпозвонковым диском была продавлена замыкательная (гиалиновая) пластинка, отделяющая губчатую кость тела позвонка от межпозвонкового диска.

Очаги данной патологии могут появиться у человека ещё в детском, подростковом возрасте. Как правило, они не имеют клинических проявлений, поэтому человек не чувствует каких-либо болевых ощущений. Но и здесь бывают свои исключения.

На МРТ № 34 наблюдаются грыжи Шморля (обратите внимание на локализацию пульпозных ядер межпозвонковых дисков), при которых пациент не испытывает болевых ощущений. Данные грыжи опасений не вызывают. А вот на снимке МРТ № 35 наблюдаются грыжи Шморля с глубоким проникновением межпозвонковых дисков в тела позвонков со значительным разрушением последних. Это уже опасно. Тем более что у пациента остеопороз (дистрофия костной ткани, в результате которой кости становятся хрупкими и ломкими), что означает неизбежное прогрессирование данной патологии. А это, в свою очередь, увеличивает риск возникновения патологических переломов тел позвонков в местах развития грыж Шморля. Но не всё так уж и печально для данного пациента: если подлечить остеопороз, да в последующем бережно относиться к своему здоровью, то есть ещё шанс избежать серьёзных осложнений этого заболевания позвоночника.



Хотелось бы обратить ваше внимание на следующее. Лечатся грыжи Шморля только в детском возрасте, но это довольно сложный процесс и далеко не всегда с положительным результатом. Отмечу, что меня, как практикующего врача, просто удивляют заявления некоторых «специалистов» о том, что если при наличии грыжи Шморля провести целенаправленное и профессиональное лечение взрослого пациента, то достигаются хорошие результаты. Всегда хочется спросить у таких «специалистов»: «Что они имеют в виду под словами «хорошие результаты»? Заботу о себе или о пациенте?» Хотя ответ и так очевиден в их «советах». Ведь для лечения грыж Шморля они, как правило, рекомендуют пройти у них курс терапевтического комплексного лечения, который включает в себя: вытяжение позвоночника, иглоукалывание, массаж, мануальную терапию, физиотерапию, а в качестве дальнейшей профилактики и увеличения подвижности позвоночника предлагается специально разработанный комплекс лечебной физкультуры. Такими или аналогичными объявлениями пестрят рекламные буклеты, интернет-сайты различных клиник, занимающихся лечением заболеваний позвоночника.

Опять-таки мы сталкиваемся с проявлением эгоистичных, потребительских отношений в обществе. На кого рассчитана подобная безграмотная во врачебном отношении реклама? На человека, который понятия не имеет, что такое грыжа Шморля, которую у него обнаружили, и готов поверить во всё, что угодно, лишь бы побыстрее избавиться от этого «страшного заболевания». Как говорится, впотьмах сознания и блоха вызывает страх. Человек не понимает, что своей непросвещённостью в элементарных вопросах о заболеваниях позвоночника он просто добровольно способствует ухудшению состояния своего здоровья. Объясню почему.

К примеру, вы, уважаемый читатель, уже знаете, исходя из вышеизложенного материала, что в норме пульпозное ядро состоит из несжимаемого геля, отличается высоким тургором и является точкой опоры для смежных позвонков. При различных движениях человека соответственно увеличиваются нагрузки, как на позвонки, так и на межпозвонковые диски. Если вы посмотрите на снимки МРТ № 34 или МРТ № 35 и обратите внимание на расположение грыжи Шморля, то увидите, что пульпозное ядро межпозвонкового диска как раз находится в центре «прорыва». Зная элементарные законы физики, вы поймёте очевидное, что дополнительные нагрузки будут только способствовать ещё большему травмированию и разрушению костной структуры тела позвонка, так как пульпозное ядро ещё больше будет «вклиниваться» в тело позвонка, тем самым разрушая его. Надеюсь, вы и сами вполне осознаете, что будет происходить с грыжей Шморля и телом позвонка, пока человек будет выполнять, к примеру, «лечебную физкультуру», которую посоветовал врач.

Приведу одно отвлечённое сравнение, касательно упоминаемых законов физики. Многим из вас, наверное, доводилось бывать на море и ходить босиком по мокрому песку возле кромки воды. Песок плотный, ваша нога практически не проваливается (как, к примеру, при передвижении по сухому песку), нагрузка (вес вашего тела) распределяется равномерно на стопу. А теперь представьте, что вы остановились и стали на одну ногу, причём единственной вашей опорой будет пятка, а не вся стопа. То есть, говоря языком физики, вы уменьшили площадь, на которую воздействуют те же силы тяжести (нагрузки). Естественно, след на мокром песке станет глубже от вашей пятки. А если вы ещё и подпрыгнете на ней пару раз, то след, согласно законам физики, станет ещё глубже.

Так и в случае с нагрузками при грыже Шморля, площадь уменьшается, нагрузки остаются те же, а процесс разрушения ещё более усугубляется. Поэтому все эти рекомендуемые в рекламе манипуляции — лечебная физкультура, мануальная терапия и те нагрузки, которыми некоторые «специалисты» собираются «лечить» грыжу Шморля, будут не только бесполезны, но и крайне вредны при данной патологии. Это всё равно, что человека будут, образно говоря, заставлять прыгать на пятке, однако при этом уверять, что он при этом даже не оставляет следа на песке. А что касательно вытяжения, то вообще бессмысленно применять такой способ лечения грыжи Шморля, так как при вытяжении позвоночника происходит перерастяжение суставных капсул дугоотростчатых суставов, что способствует только дестабилизации сегментов. То есть, это не решает проблему, а только лишь дополнительно травмирует суставы. Самое безобидное из вышеперечисленных процедур — так это массаж (но только если его делает действительно специалист), иглоукалывание, а также физиотерапия. Грыжи Шморля они, конечно, не вылечат. Но зато хотя бы не навредят, как при вышеперечисленных методах. Так что будьте всегда начеку, на страже своего здоровья, поскольку специалистов много, а здоровье — одно. На всех врачей его может просто не хватить.

Спондилёз и остеофитоз
Считается, что спондилёз (spondylosis; греч. spodylos позвонок; — osis — заболевание) — это хроническое заболевание позвоночника, которое возникает в ответ на дистрофические изменения в фиброзном кольце межпозвонкового диска. Проще говоря, это разрастания костной ткани на теле позвонка — костный нарост (чаще всего клювовидной формы; шпора), вырастающий над выпятившимся межпозвонковым диском. Однако считать спондилёз хроническим заболеванием, с точки зрения понимания работы компенсаторных механизмов организма, не совсем правильно. Спондилёз вполне можно назвать приспособительной реакцией костной ткани, направленной на ограничение подвижности и относительную стабилизацию увеличенной амплитуды движений в позвоночно-двигательном сегменте (к примеру в результате развития протрузии или грыжи диска).

Рассмотрим течение данного процесса. Спондилёз возникает как следствие заболеваний позвоночника, вызванных дегенеративно-дистрофическими процессами в межпозвонковых дисках. По мере развития последних в межпозвонковом диске, как вы помните, клетки пульпозного ядра атрофируются и некротизируются (умирают). Высота межпозвонкового диска снижается и, соответственно, фиброзное кольцо, испытывая значительные нагрузки, растрескивается и выпячивается (образуется протрузия, затем грыжа межпозвонкового диска). Из-за выпячивания межпозвонкового диска происходит травмирование задней продольной связки, вследствие чего она может даже отслаиваться в месте прикрепления к лимбу (от лат. limbus — кайма) или от тела позвонка. В свою очередь это приводит к её обызвествлению и способствует активизации процесса образования костных разрастаний (остеофитов). Кроме того, выпячивание фиброзного кольца способствует тому, что площадь межпозвонкового диска увеличивается, образуется нестабильность. Организм же, чтобы относительно стабилизировать данное состояние, пытается соответственно увеличить площадь тела позвонка, включая компенсаторные механизмы, за счёт изменений и трансформации архитектоники (от греч. architektonike — строительное искусство; построение, структура) костной ткани. Есть у нашего организма такое замечательное свойство — приспосабливаться к различным условиям и изменениям, предельно минимизировать возникающие внутри организма проблемы за счёт своих ресурсов. Кости — это вообще-то достаточно лабильная структура, т. е. они способны оперативно реагировать и изменяться под воздействием различных внешних и внутренних факторов. Так вот, костный нарост на теле позвонка (спондилёз) как раз и есть один из результатов работы компенсаторных механизмов.

Должен отметить, что данные компенсаторные механизмы перестройки костной ткани подчинены определённым физическим и биологическим законам. Далеко не последнюю роль в этом процессе играют шарпеевские волокна фиброзного кольца. Шарпеевские волокна — это пучки соединительнотканных фибрилл. Они проникают, к примеру, из фиброзного кольца межпозвонкового диска в костную ткань тела позвонка и обеспечивают прочную связь. Данные волокна названы шарпеевскими в честь английского анатома и физиолога, который впервые их описал, — Уильяма Шарпея (Sharpey William, 1802–1880), известного своими работами о патологии суставов. Эти волокна уникальны. Они имеются не только в фиброзном кольце, но, например, и в «цементе» корня зуба (особом веществе, представляющем собой видоизменение костного вещества; оно покрывает тонким слоем корень зуба), в сухожилиях (благодаря чему они крепятся к костям). Полноценно функции шарпеевских волокон до сих пор не изучены. Однако данные волокна одни из первых начинают активизироваться в фиброзном кольце, например при включении компенсаторных механизмов с последующим образованием того же костного нароста на теле позвонка (развитии спондилёза).

Как происходит данный процесс? Как вам уже известно, фиброзное кольцо межпозвонкового диска состоит из крестообразно переплетающихся соединительно-тканных пучков, макроструктуры которых имеют линейную форму. Фиброзное кольцо образует своеобразный эластический ободок межпозвонкового диска. Благодаря шарпеевским волокнам оно проникает в костную структуру по краям тел позвонков и таким образом прочно соединяется (срастается) с ними. Так вот, там, где крепятся шарпеевские волокна фиброзного кольца к телу позвонка, находятся как раз так называемые точки приложения сил механической энергии. Ну, а далее идёт чистая физика.

Известно, что направление волокон фиброзного кольца соответствует векторам действия сил механической энергии. При образовании протрузии или грыжи межпозвонкового диска волокна фиброзного кольца в месте выпячивания отклоняются в направлении горизонтальной плоскости, вследствие чего происходит либо раздражение (натяжение), либо надрыв фиброзных волокон вблизи прикрепления их к костному краю тела позвонка. Как только изменяется направление вектора силы механической энергии (а как вы помните, векторы силы направлены по прямой), соответственно начинается трансформироваться и перестраиваться архитектоника костной ткани. В режиме динамического равновесия к активной работе приступают клетки костной ткани — остеокласты (от греч. osteon — кость и clao — раздроблять, разбивать) и остеобласты (от греч. osteon — кость и blastos — зародыш, росток). Остеокласты буквально в течение каких-то двух-трёх недель разрушают костную ткань. Как говорится, ломать — не строить. Ну, а на образование новой костной ткани остеобласты тратят два, а то и три месяца. Таким образом, происходит перестройка костной ткани, изменяется форма тела позвонка в соответствии с новым направлением действия векторов сил механической энергии.

Нелишне будет здесь упомянуть следующую информацию. В организме взрослого человека содержится более 1 кг кальция в костной ткани. За счёт активности остеокластов и остеобластов кальций сбалансировано откладывается и вымывается из кости. Так вот, данный кальциевый обмен контролируется следующими гормонами: кальцитонин (повышает отложение кальция в костном матриксе), кальцитриол (улучшает процесс минерализации), паратгормон (стимулирует мобилизацию кальция). Недостаток этих гормонов либо нарушение баланса между процессами отложения и вымывания кальция приводит к различным заболеваниям, к примеру к остеопорозу, рахиту и так далее.

Форма и размеры спондилёза обусловлены размерами выпячивания межпозвонкового диска. Скорость компенсации, то есть развития спондилёза, напрямую зависит от активности шарпеевских волокон. Различают три стадии развития спондилёза. Первая — это когда краевые костные разрастания не выходят за площадь выпятившегося межпозвонкового диска. Вторая стадия — когда костные наросты выходят за пределы площади выпятившего межпозвонкового диска и огибают его. И третья стадия, резко выраженный спондилёз, когда такие костные наросты растут навстречу друг другу, а затем сращиваются вместе, образуя единый оссификат (лат. os, ossis — кость, facio — делать; окостенение), блокирующий движение в соответствующем позвоночно-двигательном сегменте. То есть, образуется своеобразная мощная костная скоба, которая соединяет тела смежных позвонков и жёстко фиксирует сегмент.

Как правило, спондилёз протекает бессимптомно и обнаруживается в качестве случайной «находки» при обследовании позвоночника в связи с другими его заболеваниями. Образование таких костных структур (шпор) на теле позвонка позволяет организму, во-первых, добиться относительной стабилизации, а во-вторых, изолировать за счёт данных костных наростов выпавшие фрагменты межпозвонкового диска, то есть навести мало-мальский порядок. Образно говоря, спондилёз — это такая стадия для организма, когда «кричать» (сигнализировать болью) уже бесполезно, нужно немедленно действовать. Как говорил древнекитайский мыслитель Конфуций: «В стране, где есть порядок, будь смел и в действиях, и в речах. В стране, где нет порядка, будь смел в действиях, но осмотрителен в речах». Так и с организмом, там где нет порядка, начинаются активные действия.

Остеофиты (от греч. оsteon — кость, phyton — отросток) появляются, как правило, вследствие обызвествления передней продольной связки, как результат нарушения воздействия деформирующих нагрузок или как следствие патологического процесса при определённых заболеваниях (к примеру остеомиелита). Остеофит — это краевое костное разрастание, костный выступ, чаще всего по виду напоминает шип, может иметь неправильную форму. Кстати, «пяточные шпоры» — это тоже остеофиты. В зависимости от положения связок в местах прикрепления к телам позвонков остеофиты имеют горизонтальные или вертикальные направления, но преимущественно неправильной косой формы. Они никогда не срастаются друг с другом. Бывает, что при переломе остеофитов процесс костеобразования в нём активизируется, и остеофит после заживления (сращения) становится ещё более массивнее и значительнее. Множественное проявление остеофитов называется остеофитозом. Этот процесс, как и спондилёз, в большинстве случаев протекает безсимптомно и не требует специального лечения.

Костные разрастания и высота межпозвонкового промежутка косвенно указывают на процессы, которые происходят в межпозвонковом диске, что подтверждается при сравнении рентгенологических и МРТ обследований.

Рассмотрим серию снимков.


МРТ № 36

На МРТ № 36 — начальная стадия развития спондилёза (первой степени)


Рентгенограмма № 4


МРТ № 37


На рентгенограмме № 4 изображен межпозвонковый сегмент в далеко зашедшей стадии дегенерации. Спондилёз второй степени в сочетании со снижением межпозвонкового промежутка говорит о том, что в прошлом на данном уровне имелась протрузия межпозвонкового диска, которая была стабилизирована развившейся стадией фибротизации поражённого диска (что хорошо видно на МРТ № 37).

Бывает, что спондилёз может травмировать эпидуральную клетчатку (при движении позвоночника), в результате чего в ней возникают асептические воспалительные процессы. Эпидуральная клетчатка со временем уплотняется, склерозируется, в ней появляются фиброзные тяжи, которые могут деформировать спинномозговой корешок, вызвать его натяжение или сдавление. А при значительном увеличении (разрастании) спондилёза может развиться стеноз спинномозгового канала второго типа (первый тип стеноза — врождённый, второй — приобретённый), что довольно часто бывает при срыве адаптивных механизмов во время развития дегенеративно-дистрофических процессов в межпозвонковых дисках.


Рентгенограмма № 5


МРТ № 38

На рентгенограмме № 5 шейного отдела позвоночника — выраженный спондилёз третьей степени и остеофитоз, что хорошо видно на МРТ № 38 сегментов шейного отдела позвоночника.


В целом можно сказать, несмотря на то что спондилёз и остеофиты являются следствием определённых заболеваний позвоночника и в некоторой степени способствуют биомеханическим нарушениям в других сегментах позвоночника, всё же они небесполезны. Во многих случаях это своеобразная «скорая помощь» организма в ответ на невозможность осуществить полноценную регенерацию повреждённого позвоночно-двигательного сегмента. Данные костные наросты хоть и ограничивают движение сегмента, но тем самым предупреждают и замедляют его дальнейшее разрушение. Так что если при обследовании позвоночника у вас обнаружат спондилёз или остеофиты, то не стоит бояться этого диагноза. На самом деле всё не так страшно, как кажется на первый взгляд.


Рентгенограмма № 6


МРТ № 39

На рентгенограмме № 6 поясничного отдела позвоночника выраженный остеофитоз, спондилёз третьей степени, что также хорошо видно на МРТ № 39 поясничного отдела позвоночника


МРТ № 40


МРТ № 41

На МРТ № 40 наблюдается типичный пример развития стеноза второго типа в шейном отделе позвоночника. И аналогичная картина, только, в поясничном отделе позвоночника, отображена на МРТ № 41

Стеноз
Стеноз позвоночного канала встречается довольно часто, во всяком случае в моей практике. В данной книге я уже упоминал о том, что стеноз спинномозгового канала (то есть его сужение) может вызывать серьёзные осложнения при течении таких заболеваний, как например, грыжи межпозвонкового диска. Для лучшего понимания происходящих процессов давайте в общих чертах рассмотрим, что такое стеноз и чем он опасен. Итак, стеноз — это врождённое или приобретённое аномальное сужение просвета какого-либо полого органа (пищевода, кишечника, кровеносного сосуда и др.) или отверстия между полостями (например, при пороках сердца). Стеноз позвоночного канала характеризуется его патологическим сужением.

Исходя из анатомо-физиологических особенностей позвоночного канала, который является вместилищем и в тоже время охранным футляром для спинного мозга, даже незначительное его сужение может оказаться фатальным для спинного мозга. К примеру, при развитии абсолютного стеноза позвоночника спинной мозг может быть компримирован (сжат) вместе с артериями. В свою очередь это неизбежно ведёт к развитию ишемии (от греч. ischo — «задерживаю, останавливаю» и haima — «кровь»; уменьшение кровоснабжения участка тела, органа или ткани вследствие ослабления или прекращения притока к нему артериальной крови) тех участков спинного мозга, где блокировано кровоснабжение сдавленными сосудами.

Ещё в конце XIX века, а точнее в 1880 году, в своей работе М. Литтен отметил, что спинной мозг более чувствителен к ишемическим повреждениям и недостатку кислорода, чем другие ткани организма. А вот отечественному невропатологу, ученику В. М. Бехтерева и одному из первых нейрохирургов, Л. М. Пуссепу в 1902 году удалось в эксперименте на животных показать, что даже непродолжительная ишемия спинного мозга влечёт за собой некроз (отмирание) нервных клеток передних рогов спинного мозга. Если добавить к этому ещё и неизбежное нарушение ликвородинамики и развития (вследствие сдавления оболочек спинного мозга) эпидурита и арахноидита, то возникновение болевых, корешковых и сосудистых синдромов (в виде миелоишемии, радикулоишемии или миелорадикулоишемии) становятся вполне объяснимыми и понятными.

Исходя из классификации, предложенной доктором I. Stephen, которой пользуется большинство авторов в своих работах, стеноз позвоночного канала позвоночника, как я уже упоминал, бывает двух типов. Тип первый — врождённый, или как его ещё называют идиопатический, то есть беспричинный (неизвестного, неясного происхождения). Второй тип — приобретённый, возникший вследствие дегенеративно-дистрофических процессов в позвоночнике, посттравматический или обусловленный другими причинами, которые привели к стенозированию (сужению) позвоночного канала. Например, грыжа межпозвонкового диска даже центральной локализации, имеющая размер всего 6 мм в дорсальном направлении в поясничном отделе позвоночника с сагиттальным размером спинномозгового канала в 15 мм приводит к формированию абсолютного стеноза второго типа (приобретённого) и может вызвать серьёзные осложнения. А при стенозе первого типа (врождённого, см. МРТ № 43), к примеру с сагиттальным размером спинномозгового канала в поясничном отделе 12 мм, даже трёхмиллиметровая протрузия межпозвонкового диска может привести к развитию слабости в ногах, мышечной атрофии или, как описывал данные состояния Dejerine ещё в 1911 г., «перемежающейся хромоте спинальной природы».

Для лучшего понимания того, что именно может собой представлять стеноз позвоночного канала, обратимся к визуальному сравнению МРТ снимков. Напомню, что нормальный сагиттальный размер позвоночного канала в поясничном отделе позвоночника должен быть не менее 15 мм; от 15 мм до 11 мм — относительный стеноз; менее 10 мм — абсолютный стеноз.


МРТ № 42 — снимок приведён в качестве «нормы» для дальнейшего сравнения снимков поясничного отдела позвоночника.

На МРТ № 43 наблюдается поясничный отдел позвоночника с врождённым (первого типа) абсолютным стенозом позвоночного канала.

На МРТ № 44 наблюдается поясничный отдел позвоночника с приобретённым (второго типа) абсолютным стенозом позвоночного канала.


Если Вы внимательно посмотрите на МРТ № 44, то увидите, как «обычный» дегенеративно-дистрофический процесс может привести к развитию абсолютного стеноза (второго типа) с полным сдавлением спинномозгового канала на уровне LII—LIII и LIV-LV, костными разрастаниями и ретролистезом (смещение позвонка кзади) тела LV поясничного позвонка. Естественно, что у данного пациента серьёзные проблемы с нижними конечностями («параплегия» — паралич обеих ног) и нарушения функции тазовых органов. Единственное, что может ещё помочь больному в этом случае, это хирургическая операция — декомпрессия позвоночного канала. Кстати говоря, первая подобная операция, так называемая декомпрессивная ламинэктомия на поясничном отделе позвоночника, была выполнена в 1900 г. пациенту с подобными нарушениями. И опять-таки мы сталкиваемся с тем, что лучше не допускать развитие заболевания, чтобы потом не оказалось слишком поздно что-либо исправить нехирургическим путём. Есть хорошее выражение: «Тот не мудр, кто из науки себе пользы не извлекает».

Эпидурит и арахноидит
Эпидурит (от греч. ер! — «на, над, при, после»; позднелат. dura (mater) — «твёрдая мозговая оболочка»; — itis — «воспаление») — это воспалительный процесс в эпидуральном пространстве и на наружной поверхности твёрдой мозговой оболочки спинного мозга с возможным вовлечением в воспалительный процесс спинномозговых корешков. Напомню, что эпидуральное пространство (анатомия которого достаточно вариабельна) — это пространство между твёрдой оболочкой спинного мозга и надкостницей позвонков; содержит рыхлую соединительную ткань, которая окружает венозные сплетения, а также корешки спинномозговых нервов.

В медицинской литературе часто пишут о том, что причиной эпидурита служит инфекция. Однако на самом деле это не совсем так. Практический опыт показывает, что в основе первичного эпидурита лежит аутоиммунная реакция. В свою очередь аутоиммунная реакция может быть также связана с развитием деструктивных процессов в тканях, нарушением целостности тканевых гистогематических барьеров (своеобразных физиологических «фильтров», одной из основных функций которых является защита от перехода из крови в ткани и из тканей в кровь чужеродных веществ), иммунологического дисбаланса и так далее. И уже как следствие развития этого процесса в эпидуральном пространстве возникают условия для проникновения различных инфекционных агентов.


МРТ № 45

На МРТ № 45 наблюдается выраженный эпидурит.


Общее знание данного процесса необходимо для того, чтобы человек понимал, что может произойти с его организмом, если запустить заболевание и понадеяться, что всё пройдёт само собой. Если дело доходит до эпидурита, на это уже не махнёшь рукой, поскольку это, считайте, открытые ворота для всяких инфекций в «святая святых» организма — спинной и головной мозг. В конечном итоге это просто выбьет человека из колеи привычной жизни, сделает его неработоспособным, больным человеком, который уже экстренно будет нуждаться во врачебной помощи. Чтобы не доводить до таких последствий свой организм, давайте «посмотрим в корень» развития данного воспаления — эпидурита. Кстати, этот процесс чаще всего вызывают грыжи межпозвонковых дисков (особенно секвестрированные), реже — спондилёзы.

В общем-то об аутоиммунных процессах в ответ на выпавшие в эпидуральное пространство фрагменты пульпозного ядра дегенерированного межпозвонкового диска в научном мире известно давно (только на практике зачастую некоторыми специалистами это не принимается во внимание, а следовало бы). К примеру, учёные Hirsch и Schajowicz в опытах на кроликах изучали аутоиммунную реакцию организма на ткани пульпозного ядра межпозвонкового диска. Для этого они пересадили в толщу хряща уха животного ткани студенистого ядра межпозвонкового диска. Эксперимент интересен тем, что характер последующих изменений в клетчатке, регионарных (лат. regio — «область; захватывающий ограниченную область») лимфатических узлах и т. д. позволил авторам трактовать процесс как аутоиммунное поражение в результате воздействия на окружающие ткани вещества пульпозного ядра.

Изменения по типу асептического воспаления в эпидуральной клетчатке, нервном корешке и вокруг него являются частой причиной ишиаса (ischias; от греч. ischion — таз, бедро — воспаление седалищного нерва). Те же Hirsch и Schajowicz доказали, что через щели в фиброзном кольце к наружным слоям межпозвонкового диска под влиянием тангенциальных (от лат. tangens — касающийся; боковых) нагрузок выталкивается ткань пульпозного ядра из центральных отделов диска. Если вышедшие частички пульпозного ядра достигают задней продольной связки, то вокруг возникает воспалительный процесс, как раз вследствие аутоиммунной реакции. Так что частички разрушенного пульпозного ядра играют важную роль в провоцировании аутоиммунных реакций.

Эпидурит бывает разный. Реактивный эпидурит в одних случаях ограничен областью грыжевого выпячивания (ограниченный эпидурит), в других более распространён, причём как в нисходящем, так и восходящем направлении захватывая соседние сегменты как с одной стороны (распространённый односторонний эпидурит), так и с двух сторон (распространённый двусторонний эпидурит). Клиника эпидурита при грыже межпозвонкового диска и клиника грыжи межпозвонкового диска без эпидурита имеют много общего (поэтому очень важно установить точный диагноз, от которого зависит дальнейшее лечение). Однако, если для грыжи диска наиболее характерен монорадикулярный синдром (греч. monos — один, единственный; лат. radicula — корешок), при этом преобладают симптомы поражения корешка, компримированного (сжатого) грыжей диска, то при эпидурите, как правило, в процесс вовлекается несколько корешков спинномозговых нервов. В клинике поражения корешков эпидуритом отмечаются преимущественно симптомы их раздражения, а не сдавления, как при грыже межпозвонкового диска. Например, оживление рефлексов, гиперестезия (от греч. hyper — сверх и aisthesis — ощущение, чувство; повышенная чувствительность к раздражителям) или гиперпатия (от греч. hyper — сверх, pathos — страдание) в зоне иннервации поражённых корешков. Или другой пример. При центральной локализации грыжи межпозвонкового диска (которая зачастую протекает бессимптомно) данная грыжа может вызывать эпидурит. В этот процесс воспаления могут быть втянуты корешки спинномозговых нервов, которые, соответственно, и вызывают боль. Однако точно такую же боль могут вызывать грыжевые выпячивания при фораминальной локализации, то есть в межпозвонковом отверстии — месте выхода спинномозговых корешков и сосудов. Замечу, что при центральных грыжах межпозвонкового диска, помимо эпидурита, довольно часто ещё развиваются арахноидиты, так как при такой локализации чаще происходят сдавление дурального мешка, соответствующие аутоиммунные реакции и длительный воспалительный процесс в оболочках спинного мозга.

Арахноидит (от греч. arahne — паук, паутина; eidos — вид; — itis — воспаление) — воспаление паутинной оболочки головного или спинного мозга. В зависимости от локализации процесса арахноидиты бывают церебральные и спинальные. В данной теме мы немного коснёмся спинального арахноидита. Он протекает, как правило, с картиной компрессии спинного мозга и его корешков. Процесс зачастую распространяется на несколько корешков, происходит нарушение нормальной циркуляции ликвора. Опасность арахноидита заключается в том, что в качестве его последствия могут развиваться спайки между паутинной и сосудистой оболочкой, которые в свою очередь приводят к нарушению циркуляции спинномозговой жидкости и даже образованию кист. Замечу, что клиническая картина кистозного ограниченного спинального арахноидита весьма схожа с симптоматикой экстрамедуллярной опухоли спинного мозга. И опять-таки обращаю ваше внимание на то, что боли могут быть схожими, а причина разная. А добраться до первопричины — это всё равно, что добраться до первоисточника. Всё как в жизни. Не зря же говорится, что судьба — это ряд причин и их последствий. Поймёшь первопричину причин, поймёшь и смысл своей жизни.

Спаечные процессы
Если при протрузии диска природа делает всё возможное и невозможное, чтобы более или менее сбалансировать работуповреждённого позвоночника, то при грыжах диска возникновение спаечных процессов — это уже, образно говоря, «латание дыр» там, где необходимо комплексно и масштабно решать проблему. Что такое спаечные процессы и чем они чреваты для организма человека? Спаечные патологические процессы — это процессы, происходящие на участке воспаления или повреждения (в том числе и после хирургического вмешательства), в результате которых образуются фиброзные тяжи (тонкие тяжи, плёнки и сращения) между смежными поверхностями (тканей, органов). В переводе с латыни fibrosis — уплотнение. Спаечные процессы в эпидуральном пространстве обнаруживаются довольно часто. Так вот, спаечные процессы в этой области проявляются спайками и сращениями спинномозговых корешков с грыжами межпозвонковых дисков, грыжами с задней продольной связкой, фиброзом эпидуральной клетчатки и оболочек спинного мозга. Спайки могут быть самыми различными — от нежных, легко разъединяемых сращений до фиброзных конгломератов, в которые «замурованы» корешки и секвестры выпавших межпозвонковых дисков. Выявить спаечные процессы, даже с помощью МРТ-снимков, у специалистов не всегда получается, в основном судят по клиническим проявлениям.

Начинается этот процесс, как правило, с асептического воспаления (воспаление, возникающее без участия микробов) как реакция на вторжение в эпидуральное пространство компонентов пульпозного ядра дегенерирующего диска, с последующими аутоиммунными реакциями. Возникает отёчность в том же спинномозговом корешке, окружающих его тканях, разрыхление, уплотнение эпидуральной клетчатки. Затем происходят спаечные изменения, т. е. стадия асептического воспаления переходит в фибробластическую стадию. Появляются спайки. Причём в данный патологический процесс вполне могут быть вовлечены и вполне здоровые спинномозговые корешки, расположенные рядом — по соседству с грыжей. В этом случае и их постигает та же печальная участь: отёчность, воспаление, окружение сращиваниями.

Упомяну также любопытное исследование Dandy, который в 1941–1942 гг. описал так называемый скрытый диск. Под этим термином он понимал поражение, при котором задние отделы диска не выпячиваются, но размягчены и сращены с расположенным сзади корешком спинномозгового нерва довольно плотными спайками. Корешковая боль при этом вызывается раздражением нерва спайками, а не механическим на него давлением.

Спаечные изменения в эпидуральной клетчатке могут происходить и вследствие травматических гематом, инфекций, эпидурального введения некоторых лекарственных препаратов (к примеру, анестетиков — лекарственных препаратов, обладающих способностью вызывать анестезию) и так далее. Особо хочу отметить образование рубцово-спаечного процесса после хирургических вмешательств по удалению грыж межпозвонковых дисков!

Какие последствия вызывают спаечные патологические процессы в эпидуральном пространстве? В первую очередь, рубцовая спайка фиксирует нервный корешок в определённом положении, следовательно происходит его постоянное сдавление. А это, в свою очередь, вызывает хронические боли, которые могут маскироваться под другие заболевания позвоночника. Например, если спайки находятся в поясничном отделе позвоночника, то по болевым ощущениям вполне может быть имитация люмбалгии, то есть проявление хронической боли в пояснице при различных движениях или смене движения. Боль может распространяться по ходу седалищного нерва на одну или обе ноги (люмбоишиалгии). Кроме того, данные спайки способствуют венозному застою, нарушению питания, атрофии эпидуральной клетчатки. Всё это также приводит к хронической боли в спине. Как говорится, «болячка мала, да боль велика».

Остеохондроз шейного отдела
Заболеваниями шейного отдела позвоночника страдают не только пожилые, но и молодые люди и даже дети, которые ведут малоподвижный образ жизни. Особенно им подвержены те, кто достаточно длительное время занимается однообразной работой в положении стоя или сидя. Сосредотачиваясь на работе, люди не замечают, как ежедневно они усугубляют состояние своего здоровья. Если бы они имели возможность видеть, какие процессы происходят внутри их организма, в частности в том же позвоночнике во время подобной работы в одном положении, то они, наверное, относились бы к этому не так легкомысленно.

Ведь по сути человек принудительно заставляет свои здоровые клеточки организма испытывать гипернагрузки, отчаянно бороться за право на «жизнь», подключать всевозможные резервы. Всё это происходит на фоне того, что данные клетки при таких обстоятельствах пытаются ещё выполнять свои прямые функции, так сказать обслуживать свой ответственный участок в организме. А если ещё учесть, что организм помимо своих внутренних проблем постоянно подвергается различному воздействию внешней среды, пытаясь противостоять нападению тех же патогенных микробов, вирусов и других вредителей организма, то вы можете представить на какой грани «войны миров» он существует, впрочем как и любая материя.

То есть, другими словами можно сказать, что наш организм постоянно находится в зоне боевых действий, даже если внешне нам кажется, что тело находится в относительном комфорте и уюте. Как говорится, грозен враг за горами, а грозней за плечами. И опять-таки при этой невидимой войне возникает вечный философский вопрос о «выборе человеческом»: на чьей стороне будет сознание человека в этой «войне миров»? Ведь по сути, если мы не осознаём масштаба противостояния, своим образом жизни не помогаем организму, а лишь провоцируем в нём дополнительные проблемы, нарушаем элементарные гигиенические правила, питаемся чем и как попало, различными генетически модифицированными продуктами (ГМО), беспрепятственно направляя в организм, по сути, отраву, — мы помогаем врагам своего организма. Однако, если мы хотя бы относительно знакомы с процессами, происходящими в организме, и соответственно помогаем ему своим образом жизни, тогда у нас есть шанс сохранить относительное здоровье до старости, как говорится с минимальными потерями. Поэтому давайте постараемся понять свой организм и услышать его разумные призывы о помощи, когда ситуация начинает складываться совсем не в его пользу.

Известно, что болезнь легче предупредить, чем лечить. Что такое боль? Это, в первую очередь, сигнал о том, что в организме происходят неполадки. Постоянные хронические боли — это уже сигнал о серьёзных проблемах в организме, поэтому надо не только уметь слышать свой организм, но и оперативно реагировать на его сигналы. Боль в шее — ощущение не из приятных. Это вам скажет любой человек, испытавший её. Чтобы понять причину происхождения боли и установить точный диагноз, необходимо, в первую очередь, провести обследование, поскольку боли могут быть похожие, а вот причины их происхождения, как мы уже смогли убедиться, разные, следовательно и лечение разное. С заболеваниями позвоночника вообще желательно не затягивать, а своевременно обращаться к специалистам. Профилактика заболеваний позвоночника в любом случае не помешает, а вот самолечение без соответствующих знаний может и навредить.

Как известно, шейный отдел позвоночника обильно снабжён сосудами, нервами. Пока позвоночник относительно «здоров» и имеет нормальный лордоз и «рабочее» состояние межпозвонковых дисков, то с сосудами, нервами, как правило, всё в порядке, то есть всё функционирует в естественном режиме. При прогрессировании дегенеративно-дистрофического процесса физиологический лордоз изменяется, что приводит к соответствующим проблемам. Для более предметного понимания сути вопроса предлагаю ознакомиться с рядом снимков МРТ шейного отдела позвоночника разных людей в качестве своеобразного визуального пособия и провести соответствующие самостоятельные сравнения состояния шейного отдела у данных пациентов.


МРТ № 46

Возьмём за вариант нормы данный снимок МРТ № 46, на котором наблюдается нормально выраженный лордоз, высота межпозвонковых дисков, ширина позвоночного канала. Самое главное — отсутствие стеноза (сужения).

Спинной мозг: контуры ровные, чёткие, структура гомогенная (греч. homogees — однородный), расположен почти в центре позвоночного канала и имеет нормальную толщину. Участков его патологического расширения или сужения не наблюдается. Ликворные пути свободны, проходимы.


На МРТ № 47 наблюдается сглаженность лордоза с незначительной кифотизацией, которая привела к абсолютному стенозу спинномозгового канала и блоку ликворных путей, а также протрузии в сегменте СIVV, вентральному спондилёзу в сегменте CV-CVI и остеофитозу в сегменте CVI-CVII, гипертрофии передней и задней продольных связок.

Это наиболее значительные проблемы в данном отделе.


На МРТ № 48 наблюдается сглаженность лордоза, но без кифотической деформации, снижение высоты межпозвонковых дисков, протрузии в сегментах CV-CVI и CVI-CVII, частично компенсированные спондилёзом, выражены краевые остеофиты на данном уровне, абсолютный стеноз и блок ликворных путей, гипертрофия передней и задней продольных связок.


На МРТ № 49 наблюдается кифоз шейного отдела позвоночника, хотя он и не привёл к абсолютному стенозу спинномозгового канала позвоночника, однако значительно нарушил ликвородинамику. Вентральное эпидуральное пространство блокировано вершиной кифоза с экскавацией и оттеснением спинного мозга, а дорсальное эпидуральное пространство блокируется чуть ниже от вершины задней стенкой спинномозгового канала.


МРТ № 50

На МРТ № 50 наблюдается гиперлордоз шейного отдела позвоночника с плотным прилеганием спинного мозга к задним отделам спинномозгового канала и выраженными ликвородинамическими нарушениями (что хорошо видно на МРТ головного мозга).


В описании снимков я уже неоднократно упоминал характеристики состояния ликворных путей, ликвородинамики. Пожалуй стоит напомнить, что такое ликвор и почему он столь важен для жизнедеятельности организма. Ликвор (лат. liquor — «жидкость») или как его ещё называют цереброспинальная жидкость (лат. cerebrum — «головной мозг»; spinalis — «спинной мозг») — это бесцветная, прозрачная жидкость, заполняющая полости спинного и головного мозга и постоянно циркулирующая в желудочках головного мозга, ликворопроводящих путях, а также субарахноидальном (под паутинной оболочкой) пространстве головного и спинного мозга. В основном ликвор образуется в желудочках головного мозга за счёт секреции сосудистых сплетений, а также в эпендиме (греч. ependyma — «верхний покров»; тонкая оболочка, выстилающая желудочки головного мозга и центральный канал спинного мозга) и мозговой паренхиме. Всего мозговая паренхима с её капиллярным эндотелием создает около 10 % ликвора. В сутки образуется около 500 мл ликвора. Обновляется он в течение этого времени от 3 до 7 раз! Обращаю на это внимание особенно тех людей, которые испытывают психологический страх перед проведением такой лабораторной процедуры, как спинномозговая пункция (пункция субарахноидального пространства спинного мозга, люмбальная пункция, поясничный прокол) с диагностической или лечебной целью. При соблюдении всех предосторожностей эта процедура практически безопасна. Приблизительно через два часа ликвор полностью восстанавливается!

Наибольшее количество ликвора находится в системе мозговых желудочков и в поясничном расширении спинномозгового канала. Кстати, ликвор, находящийся в поясничной области субарахноидального пространства спинного мозга, перемещается краниально (вверх) и достигает базальных цистерн в течение одного часа. Линейная скорость циркуляции ликвора довольно мала — всего около 0,3–0,5 см/мин, а объёмная — 0,2–0,7 мл/мин. Ликвор циркулирует в желудочках и над поверхностями головного и спинного мозга. Он связан с кровью непосредственно через гематоэнцефалический барьер (греч. haima — «кровь», enkephalos — «мозг»; физиологический механизм, регулирующий обмен веществ между кровью, ликвором и мозгом), арахноидальную мембрану (arachnoidea — «паутинная оболочка головного или спинного мозга»; греч. arachne — «паук», eidos — «вид, сходство»), ворсинки паутинной оболочки, через сплетения и внеклеточную жидкость мозговой паренхимы (греч. parechyma, от para — «возле», enchyma — «влитое, разлитое»; специфическая ткань какого-либо органа, выполняющая основную функцию этого органа).

Функции ликвора чрезвычайно важны и разнообразны. Он поддерживает обменные, трофические процессы между кровью и мозгом, являясь своеобразной питательной средой для головного и спинного мозга. Кроме того, ликвор обеспечивает поддержку водно-электролитного гомеостаза, определённого внутричерепного давления (уравновешивает внутреннее давление, способствуя естественному функционированию артериальной и венозной систем). Он оказывает влияние на вегетативную нервную систему, предохраняет, защищает головной и спинной мозг от механических воздействий, исполняя роль своего рода гидростатической подушки безопасности. Это всё в состоянии нормы.

А теперь представьте, что случается при патологических состояниях, когда вследствие развития дегенеративно-дистрофического процесса, к примеру в шейном отделе позвоночника, происходят биомеханические изменения с нарушением ликвородинамики и сдавлением позвоночной артерии. Циркуляция ликвора нарушается, образуются застои. В ликворе накапливаются токсичные вещества (от продуктов распада или жизнедеятельности бактериальных клеток, повреждённой мозговой ткани и др.). В свою очередь эти токсины оказывают весьма негативное воздействие на мозговую ткань. Плюс развивающаяся гипоксия и ишемия, как следствие сдавления позвоночных артерий, которые ещё более усугубляются теми же ликвородинамическими нарушениями. В общем, возникает «порочный круг». А если к этому всему добавить, как последний штрих к картине, экскавацию дурального мешка (сдавление, деформацию спинного мозга и его оболочек), которая вызывает чувство необъяснимой тревоги, или так называемый «синдром ожидания» (длительное возбуждение коры головного мозга как ответная реакция на сдавление или раздражение оболочек спинного мозга), то получим типичную клиническую картину с целой палитрой различных симптомов.

Как правило, развитие шейного остеохондроза сопровождается целой цепочкой взаимосвязанных заболеваний. Ведь шея держит голову и является весьма подвижным образованием. Сдавление корешков спинномозговых нервов, позвоночной артерии с её симпатическим позвоночным сплетением, венозных сосудов, сдавление спинномозгового канала унковертебральными разрастаниями или грыжами диска — всё это приводит к печальным последствиям, которые выражаются по-разному. Это могут быть:

— головные боли (различной локализации и интенсивности);

— симпатико-адреналовые пароксизмы;

— приступы височной эпилепсии (медиобазальные отделы височной доли);

— приступ падения (англ. drop attack; падение без потери сознания);

— синкопальный вертебральный синдром Унтерхарншейдта (приступы полной потери сознания с резкой мышечной гипотонией);

— нарушение памяти и эмоциональной сферы (повышенная раздражительность, упадок настроения, чувство тревоги, галлюцинации, различные страхи, страх смерти, страх развития шизофрении и всякие другие странности и ипохондрические состояния);

— гиперсомнический и катаплексический синдромы;

— вертебро-кардиалгический синдром (имитирует различные, иногда острые боли в сердце, тахикардию, стенокардию, брадикардию и т. д., сопровождается беспокойством, повышением или снижением АД, в общем всё как положено);

— кохлеовестибулярные симптомы (головокружение, нистагм (быстрые непроизвольные движения глаз из стороны в сторону, реже — круговые или вверх-вниз), снижение слуха и паракузии (нарушение слуха: шум в ушах, обманчивый слух));

— зрительные нарушения (снижение остроты зрения, фотопсии, изменение полей зрения и т. д.);

— вестибуловегетативные расстройства (побледнение, внезапная слабость, холодный пот, тошнота, рвота);

— синдром звёздчатого узла (от звёздчатого узла отходит позвоночный нерв, входящий в симпатическое сплетение позвоночной артерии, что оказывает влияние на ретикулярную формацию ствола мозга, весь лимбикоретикулярный комплекс, а также на кору большого мозга, что в свою очередь и усугубляет нарушения эмоциональной сферы и мыслительной деятельности);

— нарушение сна, метеозависимость (ухудшение самочувствия, провоцируемое колебаниями атмосферного давления), корешковые синдромы и многие другие синдромы.

Так что остеохондроз шейного отдела лучше не запускать. Этот отдел хоть и невелик, но как раз наличие в нём множества мелких проблем в конечном итоге может решить исход больших, жизненно важных дел для человека. Как показывает практика, резкая утрата здоровья происходит для пациента всегда неожиданно и весьма некстати. Вот такое оно колесо Фортуны: сегодня ты — Цезарь, а завтра — никто. Как говорится, вся жизнь человеческая подвешена на тонкую нить.

Остеохондроз грудного отдела
При грудном остеохондрозе могут пострадать органы, которые связаны иннервацией с участком спинного мозга, находящегося на уровне поражённого отдела и ниже. Как вы уже смогли убедиться, роль спинного мозга в жизнедеятельности человека колоссальна. Нарушение его нормальной деятельности приводит к нарушению функций (неподвижности) ног, рук, туловища, органов малого таза, дыхательной мускулатуры, внутренних органов и т. д. Спинной мозг заключён в позвоночный канал, объём которого ненамного превосходит объём спинного мозга, то есть резервные пространства позвоночного канала крайне незначительны. А поскольку позвоночник для спинного мозга является вместилищем, «футляром», который охраняет его от всяческих бед, то спинной мозг находится в безопасности лишь до тех пор, пока его «футляр» цел.


МРТ № 52


МРТ № 51

На МРТ № 51 наблюдается грудной отдел позвоночника с нормально выраженным физиологическим кифозом, межпозвонковыми дисками и спинным мозгом.

На МРТ № 52 наблюдается усиление грудного кифоза (гиперкифоз), снижение высоты межпозвонковых дисков с деформацией замыкательных пластин, расширением тел позвонков в вершине кифоза и самое главное — перерастяжение и уплощение спинного мозга на уровне вершины искривления.


Рассмотрим вариант нормы и патологии грудного отдела позвоночника (МРТ № 51, МРТ № 52). Конечно, заболеваний, которые могут проявиться вследствие развития остеохондроза грудного отдела позвоночника, достаточно. В каждом отдельном случае необходимо установить точный диагноз, осуществить грамотный подход в выборе методов лечения. Нельзя недооценивать возможные вариации развития заболевания. Вот, например, из-за таких деформаций позвоночника, которые можно наблюдать на МРТ № 52, порой возникают парезы или параличи, зачастую вследствие развивающегося ишемического «миелита», точнее спондилогенной миелопатии — перерождение вещества спинного мозга из-за недостаточного кровоснабжения. Причём то же клиническое течение спондилогенной миелопатии может протекать двояко. Чаще заболевание развивается исподволь, постепенно в течение довольно длительного времени. Порой останавливается, так и не достигнув своего апогея. А бывает (хотя и намного реже) в течение относительно короткого отрезка времени, на фоне полноценной функции спинного мозга, возникают парезы и параличи. Что лежит в основе этого тяжелейшего осложнения — спондилогенной миелопатии? Как правило, расстройство кровоснабжения спинного мозга. Оно, в свою очередь, возникает вследствие нарушения проходимости питающих его артериальных кровеносных сосудов. Опасность здесь таится в том, что значительный по длине спинной мозг, занимающий почти всю протяжённость позвоночника, получает кровоснабжение всего из нескольких артерий. Если даже одна из таких питающих артерий вследствие перерастяжения или сдавления «закупоривается», то значительные территории спинного мозга лишаются кислорода, питательных и других веществ, что приносит с собой его тканям артериальная кровь. Нарушение проходимости питающих спинной мозг кровеносных сосудов возникает вследствие их перерастяжения вместе со спинным мозгом и его элементами, что или приводит к сужению просвета растянутого артериального ствола или к прямому сдавлению его деформированными костными структурами позвоночника. Нервная ткань спинного мозга очень чуткая к недостаточности кровоснабжения и быстро гибнет в условиях неполноценного притока артериальной крови. Это, в свою очередь, приводит к возникновению частичных и полных параличей тех органов, которые зависят от поражённых территорий спинного мозга. Вот такая выстраивается цепочка, где одно событие неумолимо порождает другое и приводит к определённым последствиям.

Но ещё более опасно, что данные патологические состояния способствуют развитию аутоиммунных реакций, которые нередко переходят в самостоятельные аутоиммунные заболевания. И опять-таки мы сталкиваемся с понятием аутоиммунных реакций! Однако в данном случае аутоиммунные реакции, возникающие вследствие развития миелопатии, направлены, в первую очередь, на утилизацию (уничтожение) поражённых нервных тканей спинного мозга. Но нередко аутоиммунные клетки выходят из-под контроля организма (иммунитета) и начинают уничтожать здоровые (непоражённые) ткани (клетки). Вот тогда и начинаются аутоиммунные заболевания.

Образно подобные аутоиммунные реакции, вышедшие из-под контроля организма, можно сравнить со зверями-людоедами (к примеру, медведями, тиграми, волками, леопардами, собаками). Принято считать, что звери становятся людоедами в исключительных случаях, когда больны и не могут охотиться на «привычный корм». Приведу пример из книги «Кумаонские людоеды» замечательного английского писателя (и охотника) Джима Корбетта (1875–1955): «Тигр-людоед — это такой тигр, который вынужден, под давлением не зависящих от него обстоятельств, перейти на непривычную пищу. Причиной такого перехода в девяти случаях из десяти являются раны, а в одном случае — старость. Рана, вынудившая тигра стать людоедом, может быть результатом неудачного выстрела охотника, не ставшего затем преследовать раненое животное, или же результатом столкновения с дикобразом. Люди не представляют для тигра естественной добычи, и только когда вследствие ран или старости звери становятся неспособными продолжать свой обычный образ жизни, они начинают питаться человеческим мясом». В то же время данный автор в своей книге, посвящённой ликвидации в предгорьях Гималаев (Кумаон, Индия) тигров-людоедов, рассказывает, что первый тигр-людоед, уничтоженный им (Дж. Корбеттом), успел растерзать до этого 434 человека. Кроме того, он повествует о двух кумаонских леопардах-людоедах, которые убили 525 человек. Другие исследователи также пишут о том, что звери, попробовавшие человеческое мясо, уже никогда от него не отказываются (даже после выздоровления). Более того, многие из исследователей считают, что детёныши зверей-людоедов сами автоматически становятся людоедами. Очевидно и аутоиммунные клеточки ведут себя подобным образом. Однажды возникнув, вследствие развития той же миелопатии, они просто отказываются умирать. Несмотря на то, что данные клеточки малы размером, а всё же являются живым существом, состоящим из материи. А, как известно, любая материя — смертна, поэтому ей свойственна борьба за жизнь: «Primum vivere» — «Прежде всего — жить»!

Учёным ещё многое не известно об аутоиммунных реакциях и об иммунитете в частности. Очевидно природа не спешит расставаться со своими загадками, то ли в ожидании более революционных научных познаний человека, то ли в ожидании эволюционного прорыва всего человечества. В любом случае каждая новая грань познания приносит учёным неожиданные сюрпризы в казалось бы застарелых проблемах, основы которых когда-то кем-то ошибочно виделись «незыблемыми». Так что феномен здорового научного энтузиазма ещё вполне может проявить себя в самых смелых решениях. Как здесь не вспомнишь о народной мудрости: «Чем спрашивать старика, пролежавшего век на боку, спрашивай парня, обошедшего весь свет».

Остеохондроз поясничного отдела
Остеохондроз поясничного отдела позвоночника — самое распространённое заболевание позвоночника, «бич» современного общества. В запущенной стадии он, как всякий патологический процесс, не просто обращает на себя внимание человека, но и побуждает его действовать ради спасения своего здоровья. О разнообразных проявлениях остеохондроза в этой книге говорилось уже немало и ещё будет много сказано.

Рассмотрим снимки (стр. 176) для визуального сравнения и более детального понимания течения данного патологического процесса. Гипо- или гиперлордоз является следствием патологических изменений в позвоночнике. Как вы помните, в норме позвоночник человека имеет характерные изгибы. Если же они становятся чрезмерными, то даже несмотря на отсутствие межпозвонковых грыж, протрузий и других патологических изменений, пациенты с гипо- или гиперлордозами часто жалуются на боли как в позвоночнике, так и непосредственно, например, на боли в пояснице с иррадиацией в конечности (по типу корешковых болей). Эти боли, как правило, усиливаются после долгого сидения при подъёме (стартовые боли).


На МРТ № 53 — поясничный отдел позвоночника.


На данном «контрольном» снимке, после устранения методом вертеброревитологии секвестрированной грыжи межпозвонкового диска в сегменте LV-SI, наблюдаются остаточные явления дегенеративного процесса. Но в целом состояние поясничного отдела позвоночника, отображённое на этом снимке, довольно хорошее, поэтому будем использовать его для сравнения как вариант нормы.


На МРТ № 54 наблюдается изменение физиологического лордоза, стеноз спинномозгового канала, грыжа межпозвонкового диска и спондилёз в сегменте LIII-LIV, ретроспондилолистез — LIV и LV.


Как правило, причина вышеупомянутых болей при таких патологиях скрывается в дугоотростчатых суставах. Дело в том, что при изменении физиологического лордоза извращается «работа» и дугоотростчатых суставов. В состоянии нормы дугоотростчатые суставы имеют дугообразную форму и расположены во фронтальной, горизонтальной и сагиттальной плоскостях в среднем под углом 45о. При развитии дегенеративнодистрофического процесса в межпозвонковом диске (снижении высоты диска, возникновении сегментарной нестабильности) происходит смещение суставных поверхностей дугоотростчатых суставов по отношению друг к другу, что в свою очередь приводит к уплощению физиологического лордоза и его кифозированию (МРТ № 55) или же формированию гиперлордоза (МРТ № 56). И в том, и в другом случае данные процессы, как правило, сопровождаются сдавлением спинномозговых корешков (что вызывает соответствующие боли). Кроме того, сами дугоотростчатые суставы хорошо иннервированы, поэтому протекание патологических процессов, с участием этих суставов, сопровождается соответствующими болевыми ощущениями.


На МРТ № 55 наблюдается уплощение физиологического лордоза в поясничном отделе позвоночника. На МРТ № 56 наблюдается гиперлордоз в поясничном отделе позвоночника. На МРТ № 57 наблюдаются нарушения конгруэнтности в дугоотростчатых суставах в сегменте LV—SI (указано стрелкой) вследствие гиперлордоза.


МРТ № 58

На МРТ № 58 наблюдается выраженный спондилоартроз с нарушением конгруэнтности дугоотростчатых суставов.


На снимке МРТ № 58 хорошо видно, как в силу развития выраженных дегенеративных изменений в межпозвонковых дисках (снижение их высоты) происходит уменьшение промежутков между телами позвонков, что сопровождается смещением верхних суставных отростков нижележащих позвонков кверху и несколько кпереди. В нижнем сегменте можно увидеть, как из-за такого смещения сустав упирается в дужку. Также в данном сегменте отчётливо видно, как вследствие смещения суставов образуется не только стеноз межпозвонкового отверстия, но, что не менее важно, происходит перерастяжение суставной капсулы.

Пожалуй стоит несколько расширить тему об иннервации дугоотростчатых суставов, в целях лучшего понимания последующего материала книги. Дугоотростчатые суставы позвоночника богато иннервированы за счёт задней ветви спинномозгового нерва (так называемого нерва Люшка или синувертебрального нерва). Замечу, что каждый дугоотростчатый сустав позвоночника имеет перекрёстную иннервацию от двух спинномозговых нервов, приходящих к данным суставам от одноименного и нижележащего сегмента. Напомню, что в целом у человека 31 пара спинномозговых нервов: 8 шейных, 12 грудных, 5 поясничных, 5 крестцовых и 1 копчиковый.

Нерв Люшка является смешанным нервом, образующимся из менингеальной ветви, отходящей от заднего корешка спинномозгового нерва и веточки из соединительной ветви пограничного симпатического столба. После соединения этих ветвей нерв возвращается через межпозвонковое отверстие обратно в спинномозговой канал и, делясь на ветви, направляется вверх и вниз, встречаясь со своими разветвлениями в области задней продольной связки. Латеральная и срединная веточки задней ветви нерва иннервируют крупные мышечные группы спины, что позволяет адекватно реагировать организму при включении адаптативных механизмов. Кроме того, синувертебральный нерв иннервирует целый ряд структур: связочный аппарат позвоночно-двигательного сегмента, заднюю продольную связку, твердую мозговую оболочку, сосуды спинного мозга, оболочку корешкового кармана спинномозгового нерва, капсулы дугоотростчатых суставов.

Вследствие нарушения нормальной работы (перерастяжения) суставной капсулы раздражаются (срабатывают) рецепторы, которые «включают» целый защитный механизм. Этот механизм, в свою очередь, вызывает напряжение определённых групп мышц с целью «обездвижить» позвоночно-двигательный сегмент на период адаптации. Вообще дугоотростчатые суставы позвоночника снабжены множеством рецепторов. Чтобы вы имели представление, приведу в пример ноцицепторы («болевые рецепторы»), механорецепторы. Ноцицепторы (рецепторы боли) — это чувствительные нервные волокна, отслеживающие механические, тепловые и химические воздействия. Их раздражение вызывает ощущение боли. Они стимулируются химическими веществами, выделяющимися при повреждении или воспалении клетки. Ноцицепторы находятся также на суставных поверхностях, надкостнице. В случае превышения генетически установленного болевого порога ноцицептор передаёт сигнал в спинной, а далее в головной мозг.

Механорецепторы — это окончания чувствительных нервных волокон, реагирующие на механическое давление или иную деформацию, действующую извне. Механорецепторы делятся на три типа. Механорецепторы первого типа располагаются пучками (по 3–8) в наружном слое суставной капсулы, второго типа — в её глубоких слоях; третий тип — типичные рецепторы связок. Основная функция всех видов механорецепторов — контроль напряжения иннервируемых структур и торможение болевой активности при нормальной работе сустава. Начальная стадия дегенерации межпозвонкового диска естественно сопровождается растяжением суставной капсулы дугоотростчатых суставов, вследствие развития сегментарной нестабильности, что приводит к возбуждению механорецепторов второго типа с подавлением ноцицептивных импульсов и блокированием болевого синдрома. Это, в свою очередь, приводит к тому, что манифестация остеохондроза происходит на более поздних стадиях своего развития, когда организм уже не в состоянии противостоять болезни. Проще говоря, в силу защитных сил организма человек начинает обращать особое внимание на проявление остеохондроза только тогда, когда в позвоночнике происходят серьёзные деструктивные изменения, то есть, как правило, уже в запущенной стадии.

Так что не стоит легкомысленно относиться к процессам, происходящим в позвоночнике, думать — «поболит, поболит да перестанет». Так рассуждать, это всё равно что, как говаривали в Древней Руси, «хвалиться победой, едучи на рать». Помните, что в битве вашего организма важно не количество выпитых вами обезболивающих таблеток, а своевременная диагностика и правильно выбранный метод лечения. Здесь как на войне, нельзя ошибиться дважды. Однако, как показывает практика, судьба учит данному «военному искусству» даже побеждённых. Здесь как в жизни, хочешь побеждать — научись терпению, а одержав победу — умей сохранить и пользоваться ею.

Лечение остеохондроза

Плохих методов лечения не бывает, при условии, что они действительно лечат.

Будьте бдительны!
Я уже неоднократно упоминал в данной книге, что мы живём в потребительском обществе, где зачастую люди зарабатывают деньги на глупости человеческой. В нашем обществе, от семейного института до государственного, к сожалению, по-прежнему главенствуют слова Цицерона: «Деньги — нерв войны». Безусловно, это понятие навязано массам и не свойственно лучшим побуждениям человека. Однако оно живо в обществе с одной стороны за счёт недобросовестных людей, которые поставили на службу своей наживы обман, хитрость и подлость, а с другой стороны за счёт глупости, из-за которой человек, вместо обогащения знаниями и расширения своего кругозора, беспечно доверяет любому встречному, обольстившему его красивым словцом.

Подобная ситуация наблюдается практически повсюду: в магазинах, когда домохозяйке подсовывают некачественный, залежалый товар; на станции СТО, когда некоторые недобросовестные техники пытаются озадачить автомобилиста несуществующими проблемами в машине; в аптеках, когда фармацевт пытается убедить пенсионера купить биологические активные добавки, которые во многих случаях, после соответствующей экспертизы, таковыми вовсе не являются. Обман сидит на обмане и обманом понукает. Однако парадокс в том, что даже обманщик мечтает жить в обществе, где по отношению к нему поступали бы честно. Похоже, что время идёт, а ничего в этом мире не меняется. Согласно Федру, когда-то Эзоп ходил днём с зажжённым светильником и на вопрос, зачем он это делает, отвечал: «Ищу Человека».

Та же ситуация наблюдается и в медицине, в частности в вертебрологии. О лечении остеохондроза позвоночника написано много как хорошей, грамотной (в смысле полезной) литературы, так и литературы из серии обмана потребителя, которая несёт откровенный вред для здоровья. В последней в основном пишут о разновидностях болей и предлагают свои средства и методы обезболивания. Но боль — это следствие. А почему бы обывателя не ознакомить доходчивым языком с разнообразием возможных причин происхождения тех или иных заболеваний позвоночника, научить хотя бы в общих чертах разбираться в снимках МРТ, КТ, рентгена позвоночника, показать преимущества и недостатки того или иного способа лечения, объяснить элементарные законы физики относительно распределения и воздействия нагрузок при протекании патологических процессов в позвоночнике? Такие книги есть, но их крайне мало. А в основном, к сожалению, судя по медицинской популярной литературе, предназначенной для обывателя, имеющейся сейчас на книжном рынке, медикам-писателям не выгодно это делать. Им легче, как в той притче, одномоментно дать голодному рыбу, чем научить его пользоваться удочкой.

Так что разобраться в этом потоке информации и отделить зёрна от плевел, хорошие и полезные советы от плохих, а порой и просто «вредных», людям бывает не просто. Ведь в подобных публикациях, в рекламах на радио и телевидении даже «вредные» советы подаются в такой красочной, многообещающей форме, что человеку, падкому на различные соблазны нынешнего общества, просто трудно не поддаться на такую прельщающую иллюзию. Самый «доходчивый» обман можно увидеть в некоторых телевизионных рекламах. Например, как можно удержаться и не купить просто «волшебный пояс», при ношении которого «соли от остеохондроза» мгновенно рассасываются. Ведь от такого «волшебства» пожилая женщина в рекламе на глазах трансформируется в молодую особу, гибкую как лань. (Однако, учитывая какое количество людей ввела в обман эта женщина, согласившись просто поучаствовать в данной рекламе, ланью может она и станет… в следующей жизни, если исходить из буддистских канонов о реинкарнации.) Или другая телевизионная реклама, где тебя убеждают в том, что если ты наденешь специально разработанный в «секретном институте космонавтики» пояс для «космонавтов», подключишь к нему насос, надуешь данный пояс, то тут же тебе будет результат — все твои диски будут вправлены на место! Кстати, после такой процедуры у некоторых горе-покупателей, которые получили вместо обещанного облегчения серьёзные осложнения, кое-что всё-таки действительно очень быстро было «вправлено на место», а именно с их слов «собственные мозги». Или вот ещё один пример, широко рекламируемый по телевидению: если купишь пару полосок пластмассы на резиночках, оденешь и поносишь какое-то время, то можешь забыть о своём остеохондрозе, спина больше болеть не будет. Во всяком случае, так обещают в рекламе довольно известные люди (или как их назвал мой сосед-пенсионер — «обещалкины»), которые якобы вылечили свой остеохондроз таким методом. Как же им можно не поверить? Оказывается можно, если знаешь как на том же телевидении или радио делается реклама под заказ, как заставляют людей, исполняющих в рекламе ту или иную роль, выражать своё искреннее восхищение тем или иным «лечебным супер-средством», когда актёр прекрасно понимает, что это обман, понимает, что большую часть хвалебных од о данном средстве придумали либо заказчик, либо режиссёр, выполняя свою работу, либо он сам, следуя актёрскому искусству импровизации.

Самое парадоксальное, что на эту рекламу попадаются даже «бывалые» потребители. Почему это происходит? Да потому, что когда у человека случаются внезапные, серьёзные проблемы со спиной, он начинает верить «всему и вся». А если бы он владел хотя бы элементарными знаниями в этой области и понимал, что физику никто не отменял, то он бы не только уберёг своё здоровье от ещё больших осложнений, но и благодаря этим знаниям нашёл бы грамотных специалистов в своём городе, прошёл диагностическое обследование и разбирался бы в том, что ему назначают в качестве лечения и почему это необходимо. То есть, человек держал бы под относительно грамотным контролем весь ход лечения своего позвоночника, таким образом не позволяя обмануть или ввести себя в заблуждение недобросовестными людьми. В конце концов, это его здоровье, от качества которого зависит его жизнь.

Методы лечения остеохондроза: «за» и «против»
Надеюсь, что вышеизложенный материал данной книги помог вам в общих чертах разобраться в вопросах, что такое остеохондроз позвоночника, причины его возникновения и прогрессирования. Для лучшего понимания текущей темы напомню некоторые основные моменты. Как вам уже известно, остеохондроз, как правило, начинается с дегенерации межпозвонкового диска, которая приводит к нарушению биомеханики. Ведь при развитии дегенеративно-дистрофического процесса в межпозвонковом диске его сопротивляемость к нагрузкам резко уменьшается, высота снижается, возрастает нагрузка на дугоотростчатые суставы, порождая нестабильность. Эти изменения в своей совокупности приводят к нарушению осевой нагрузки на весь позвоночник, что, естественно, вызывает в нём ответные приспособительные реакции, которые и изменяют биомеханику во всём позвоночнике.

Так что нужно сделать, в первую очередь, для того, чтобы остановить развитие остеохондроза? Ответ очевиден — остановить дегенерацию в межпозвонковом диске и восстановить биомеханику позвоночника. Но для того чтобы остановить дегенерацию в поражённом межпозвонковом диске (а тем более, если она осложнена грыжей, да ещё, например, с секвестром), необходимо, в первую очередь, значительно снизить нагрузку на поражённый диск и при этом не только сохранить, но и улучшить его питание.

Как вы помните, межпозвонковый диск не имеет собственных сосудов, которые бы его питали, поэтому он «питается» за счёт поступления через гиалиновую (замыкательную) пластинку питательных веществ из тела позвонка. Напомню, что наиболее интенсивное и полноценное питание межпозвонкового диска происходит во время ходьбы. Ходьба, как я уже говорил, это исходный способ локомоции(!), своего рода череда остановок падения. Каждый шаг, который мы делаем, по сути, является остановкой падения. В момент остановки падения на межпозвонковый диск действуют силы тяжести нашего тела, которые его сжимают. Однако в следующий момент, когда мы начинаем делать шаг и находимся как бы во взвешенном состоянии, межпозвонковый диск разгружается. Это двигательное действие заставляет «работать» межпозвонковый диск как кузнечные меха, только в данном случае вместо воздуха через межпозвонковый диск «прокачиваются» питательные вещества.

Так вот, для того чтобы снизить патологическую нагрузку с поражённого межпозвонкового диска, необходимо восстановить биомеханику как всего позвоночника в целом, так и поражённого межпозвонкового диска. Невозможно восстановить биомеханику в одном сегменте, если есть нарушения во всём позвоночнике, как невозможно восстановить биомеханику всего позвоночника, если есть дегенеративно-дистрофические изменения хотя бы в одном межпозвонковом сегменте. На первый взгляд получается замкнутый круг проблем, образно говоря круг, по которому ходят как врачи-вертебрологи (невропатологи, мануальные терапевты, хирурги,реабилитологи и так далее), пытаясь решить эту проблему, так и пациенты, совершая обход данных специалистов.

Подобное хождение по кругу мне напоминает суфийскую философию про этапы пути совершенствования. А именно, после подготовительного этапа начинаются три ступени познания. Первая ступень обозначается как «уверенное знание» и объясняется сравнением: «Я твёрдо знаю, что яд отравляет, огонь — жжёт». Вторая ступень обозначается как «полная уверенность» или «опытное знание» и объясняется сравнением: «Я сам своими глазами видел, что яд отравляет, огонь сжигает». И третья ступень обозначается как «истинная уверенность» и объясняется сравнением: «Я сам принял яд, испытал его действие; я сам горел в огне и, таким образом, убедился в его способности жечь». То есть, три ступени заключают в себе ступени познания — «знать, видеть, быть». Причём, в данной философии считается, что совершенный человек, овладев знаниями, обязан привести в соответствие с ними, в первую очередь, свой нравственный, а потом уже и житейский опыт. Иначе знание, отделённое от личной нравственности данного человека, не только бесполезно, но и губительно. Оно ведёт к лицемерию!

Любопытно, что суфийские философы не отрицали значения логического познания, однако утверждали, что оно ограничено, так как ему доступны лишь атрибуты (признаки, свойства, качества), а не суть. Суфии считали, что за восприятием ума есть другая форма восприятия. Они называли её откровением. Так вот, на сегодняшний день вышеописанная проблема вертебрологии имеет вполне успешное решение, подтверждённое практической деятельностью и документальным материалом. Однако об этом мы поговорим чуть позже, в следующей главе. А пока перейдём к наиболее распространённым на сегодняшний день методам лечения остеохондроза.

Медикаментозный метод лечения
Не секрет, что главным постулатом медикаментозного метода лечения какой бы то ни было болезни обязаны быть слова: «Лекарства не должны быть опаснее болезни». Проще говоря, польза от лекарств должна превышать риск от возможных их осложнений. Необходимо, чтобы именно врач назначал пациенту необходимые препараты и их дозы, режим приёма с учётом индивидуального подбора лекарств для данного человека в соответствии с его возрастом, состоянием здоровья, с учётом факторов риска и переносимости лекарств в прошлом. Такой подход, безусловно, поможет в некоторой степени предотвратить, к примеру, серьёзные аллергические реакции и другие виды побочного действия данных лекарств — непреднамеренную и вредную реакцию для организма человека, возникающую при использовании лекарств.

Согласно статистике от 30 до 70 % применяемых лекарств в мире вызывают побочные действия, а неблагоприятные побочные реакции от лекарственных препаратов всё ещё находятся в списке основных причин заболеваемости и смертности во всём мире! Ситуация просто парадоксальная: количество лекарств в мире постоянно растёт, но человечество как-то не становится от этого более здоровым, даже наоборот, появляются болезни, которые раньше людям были не свойственны. Если что и растёт по показателям, так это число побочных эффектов от нерационального применения лечебных препаратов. Поэтому к выбору лекарства, его качеству, эффективности, чётким показаниям к применению надо подходить очень ответственно, проконсультировавшись у грамотного, опытного специалиста, который владеет соответствующими знаниями, в том числе и достоверной информацией о побочных действиях лекарственных препаратов.

Медикаментозная терапия при остеохондрозе позвоночника в основном используется в качестве «скорой помощи» при возникновении сильных болей, как средство для временного обезболивания. На первых стадиях развития остеохондроза, если у человека возникают выраженные боли, то медикаментозная терапия, безусловно, наиболее приемлемый метод для организма, чем методы вытяжения или мануальной терапии, поскольку не привносит новых механических нарушений, дополнительно не дестабилизирует поражённые сегменты, не приводит к срыву их адаптивных механизмов. То есть, при наличии болей в позвоночнике, к примеру при сегментарной нестабильности, протрузии, даже при незначительной грыже безопасней (с учётом отдалённых перспектив) использовать медикаментозную терапию в качестве консервативного метода лечения. Только в самом крайнем случае, в безвыходной ситуации, можно использовать хирургию, но ни в коем случае не использовать мануальную терапию и вытяжение! Впрочем, когда вы ознакомитесь с данными методами лечения, вы сами поймёте, почему этого не стоит делать.

Важно помнить, что лекарства не лечат остеохондроз, они лишь временно купируют боль. При начальной стадии развития остеохондроза лекарства облегчают состояние пациента на период адаптации, то есть период, когда в организме происходят приспособительные реакции и он пытается самостоятельно бороться с этой болезнью. Для того чтобы безболезненно пережить этот промежуток времени, применяется медикаментозная терапия, пока состояние повреждённого сегмента немного стабилизируется. Однако если остеохондроз в запущенной стадии, к примеру имеется грыжа межпозвонкового диска значительных размеров, приводящая к грубому сдавлению дурального мешка спинного мозга или спинномозговых корешков, то одними медикаментами здесь делу не поможешь.

Пожалуй, приведу один пример из своей практики, чтобы вы понимали процессы, которые развиваются при соответствующей патологии в организме, если её лечить только медикаментозно. Но вначале поясню некоторые моменты по поводу снимков МРТ. При МРТ-обследовании используют режимы сканирования (Т1- и Т2-), которые позволяют получать основные типы взвешенности изображений (ВИ). В режиме Т1-ВИ структуры, содержащие воду (к примеру та же цереброспинальная жидкость (ликвор)), выглядят на снимке как более тёмные участки (МРТ № 59). А в режиме Т2-ВИ цереброспинальная жидкость (ликвор) и другие жидкости с низким содержанием белка выглядят на снимке как яркий (светлый) участок (МРТ № 60).


На МРТ № 59 от 23.04.2005 наблюдается грыжа межпозвонкового диска в поясничном отделе позвоночника в сегменте LIV-LV.

На МРТ № 60 того же самого пациента от 06.11.2009 наблюдается протрузия межпозвонкового диска в сегменте LIV-LV, частично компенсированная спондилёзом. Данный пациент прошёл лишь курсы медикаментозной терапии. Методы лечения мануальной терапии и вытяжения позвоночника не применялись.


Действительно, грыжа межпозвонкового диска на втором снимке (МРТ № 60) отсутствует. Однако надеюсь вы заметили, что грыжа межпозвонкового диска хоть и компенсировалась спондилёзом, но стеноз спинномозгового канала как был, так и остался. То есть, за это в некотором смысле потерянное время произошло усугубление дегенеративных процессов, как в данном сегменте, так и в других сегментах. Не удивительно, что самочувствие этого пациента за последние два года значительно ухудшилось. Поэтому он вынужден был вновь искать другие центры лечения опорно-двигательного аппарата и таким образом обратился ко мне в клинику.

Так что не стоит обольщаться, что пролечившись медикаментозно, вы раз и навсегда забудете про болезни позвоночника. В мире нет и не может быть лекарств, которые могут остановить дегенеративный процесс, а тем более вылечить межпозвонковый диск, подвергшийся деструктивным изменениям! Почему? Потому что, проще говоря, лекарство — это химическое воздействие. А процесс дегенерации (разрушения) того же межпозвонкового диска происходит в силу биомеханических, конструктивных изменений, которые влекут за собой молекулярную перестройку клеток и межклеточного матрикса пораженного диска. То есть, в данном случае первично действуют законы физики, я бы уточнил, углублённой физики, свойственные живым организмам. Так что лекарствами остеохондроз вылечить нельзя! Это всё равно что, к примеру, при поломке двигателя автомобиля думать, что если ты будешь разными бытовыми химическими средствами (автошампунями) мыть кузов, то от этого сам собой отремонтируется двигатель.

Однако учёные не теряют надежды решить эту проблему. На сегодняшний день изучаются различные направления в терапии дегенеративно-дистрофических изменений межпозвонкового диска с учётом современных достижений в науке. Одним из них, к примеру, является клеточная терапия, где неоднократно предпринимались попытки к стимуляции продукции межклеточного матрикса при помощи химии, а именно введения в межпозвонковый диск веществ, которые по расчётам учёных должны были восстановить матрикс. Но данные опыты оказались малорезультативными и попытки восстановить межклеточный матрикс межпозвонкового диска (чрезвычайно сложного и далеко ещё не изученного биохимического комплекса, весьма организованного вещества) остаются безуспешными. Теперь клеточную терапию пробуют реализовать уже при помощи генной инженерии.

Весь этот процесс напоминает мне одну восточную притчу, в которой испытывающий жажду человек искал воду. Он много раз устремлялся к миражу, принимая его за озеро. Жажда путника была столь велика, что однажды, когда он действительно нашёл озеро, ему показалось, что он способен выпить из него всю воду. Однако этот человек с удивлением обнаружил, что достигнув озера, он не может выпить воды больше, чем позволяет размер его желудка.

Тракционные методы лечениявытяжение
Слово тракция образовано от латинского слова tracto, что означает «тянуть», «тащить». Проще говоря, это вытяжение (лат. extensio). Вытяжение считается одним из основных ортопедических методов лечения, который применяется при повреждении и заболевании опорно-двигательного аппарата и их последствий. Суть данного метода заключается в том, что с помощью длительной или кратковременной тяги, применяемой в качестве противодействия естественному напряжению тканей, окружающих повреждённое место (к примеру сломанную кость), устраняется смещение отломков при переломе или же оказывается растягивающее действие на ту или иную область человеческого тела с целью устранения деформации или контрактуры (ограничения подвижности).

Лечение переломов костей, вывихов суставов с помощью определённых конструкций и аппаратов вытяжения было известно издревле. В своей медицинской практике их использовали такие исторические личности, как знаменитый врач, писатель Древнего Рима Клавдий Гален (II в. н. э.), великий среднеазиатский философ и врач Ибн-Сина (Авицена, XI век), один из выдающихся хирургов Средневековья французский врач Ги де Шолиак (XIV век). Фактически внедрение данного метода в активную практику началось лишь с XIX века, когда известный немецкий хирург, профессор Бернгард Барденгейер опубликовал капитальный труд о повреждениях конечностей, в котором предложил метод лечения переломов посредством вытяжения, сформулировав его основные положения.

В травматологии при свежих вывихах, переломах костей метод вытяжения действительно весьма эффективен. Одним из недостатков метода вытяжения при переломе кости считается длительная вынужденная иммобилизация пациента, которая негативно сказывается на его общем состоянии. Тем не менее, ради того чтобы кость срослась правильно, стоит потерпеть такие временные неудобства.

Однако если в травматологии при переломах костей метод вытяжения вполне себя оправдывает, то при лечении дегенеративно-дистрофических процессов в позвоночнике (тем более осложнённых протрузиями или грыжами межпозвонковых дисков), как показывает практика, тракционные методы лечения оказываются не только неэффективными, но и усиливающими и ускоряющими процессы дегенерации. Обращаю ваше внимание на то, что применение метода вытяжения при лечении остеохондроза позвоночника — вопрос в научных кругах до сих пор спорный, имеющий много весьма существенных нареканий.

Однако об этом, естественно, пациент не услышит ни в современной рекламе про разнообразные методы вытяжения позвоночника (тракционной терапии), ни в самих центрах, где практикуются данные методы. Наоборот, в рекламных буклетах можно прочитать следующее:

— «вытяжение позвоночника является эффективным средством лечения смещения дисков, сопровождающегося их выпячиванием»;

— «является одним из основных методов лечения неврологических проявлений остеохондроза позвоночника»;

— «тракционная терапия позволяет производить безоперационное лечение грыж межпозвонкового диска»;

— «вытяжение проводится, в первую очередь, для устранения болевого синдрома».

Последнее, как правило, выделяется особым шрифтом, чтобы пациент не пропустил главной зацепки для своего сознания «в первую очередь для устранения болевого синдрома», то есть следствия заболевания позвоночника, и не очень задумывался о причинах возникновения своей болезни и тем более о дальнейших последствиях такого «эффективного лечения». Однако давайте подробнее разберёмся, что такое вытяжение позвоночника, за счёт каких механизмов идёт временное устранение болевого синдрома и к каким последствиям это приводит в дальнейшем.

Как вы помните, позвоночно-двигательный сегмент является структурой трёхопорной (межпозвонковый диск и два дугоотростчатых сустава, на которые приходится вся нагрузка от веса вышележащей части тела и мышечных усилий). Чтобы понять суть данного метода, для начала рассмотрим на макете позвоночника, что происходит в процессе вытяжения с межпозвонковым сегментом.


На фото № 4 макета позвоночника наблюдается нормальное взаимоотношение суставных поверхностей в дугоотростчатых суставах.

На фото № 5 — нормальное взаимоотношение суставных поверхностей в дугоотростчатом суставе (увеличенный вариант).


На фото № 6 макета позвоночника наблюдается смещение (подвывих) суставных поверхностей дугоотростчатых суставов.

На фото № 7 наблюдается смещение (подвывих) суставных поверхностей дугоотростчатого сустава (увеличенный вариант).


На фото № 8 макета позвоночника наблюдается перерастяжение дугоотростчатых суставов вследствие вытяжения.

На фото № 9 наблюдается перерастяжение дугоотростчатого сустава (увеличенный вариант).


Фото № 10

На фото № 10 макета позвоночника наблюдается нормальное взаимоотношение суставных поверхностей дугоотростчатых суставов, в норме высота межпозвонкового диска и межпозвонковых отверстий.


Фото № 11

На фото № 11 макета позвоночника наблюдается смещение (подвывих) суставных поверхностей дугоотростчатых суставов. Подобное смещение, как правило, происходит вследствие развития дегенеративно-дистрофических процессов в межпозвонковом диске. При этом уменьшается высота диска, сужается просвет фораминального отверстия (межпозвонкового), что может способствовать ущемлению спинномозговых корешков (нервов) и сосудов.


Фото № 12

На фото № 12 макета позвоночника наблюдается перерастяжение дугоотростчатого сустава вследствие вытяжения, расширение фораминального отверстия, а также растяжение задних отделов фиброзного кольца межпозвонкового диска и сближение вентральных (передних) отделов тел позвонков. Это приводит межпозвонковый диск в клиновидное состояние, что способствует выталкиванию содержимого межпозвонкового диска из передних его отделов в задние.


Дело в том, что взаимоотношение межпозвонкового диска и дугоотростчатых суставов в норме уравновешено (что хорошо видно на фото № 4). По мере развития дегенерации в межпозвонковом диске его высота снижается, соответственно нагрузка на дугоотростчатые суставы чрезмерно возрастает. Вследствие данного процесса суставные поверхности дугоотростчатых суставов начинают смещаться по отношению друг к другу (как бы «соскальзывать») и их синовиальная оболочка, естественно, растягивается. То есть, происходит дестабилизация сегмента с нарушением конгруэнтности (лат. congruens — соответствие, соразмерность, согласованность) суставных поверхностей дугоотростчатых суставов. Это приводит к стенозу (сужению) фораминального отверстия. Последнее неизбежно влечёт за собой сдавление сосудов и спинномозговых корешков (нервов), что соответственно вызывает отёчность, боли (фото № 11).

При вытяжении происходит обратный смещению процесс, то есть в силу анатомического строения позвоночника в первую очередь растягиваются дугоотростчатые суставы позвоночника, особенно в наиболее подвижных его отделах — шейном и поясничном. Какие же процессы при этом происходят непосредственно в межпозвонковом сегменте? При вытяжении задние отделы фиброзного кольца межпозвонкового диска растягиваются, а передний отдел диска в это время сужается за счёт сближения передних отделов тел позвонков. В результате образуется своеобразный «клин» с вершиной кпереди, что способствует выталкиванию содержимого межпозвонкового диска из передних его отделов в область задних отделов (фото № 12). Этот процесс приводит к увеличению нагрузки на перерастянутые задние отделы фиброзного кольца межпозвонкового диска, а как вы помните, именно эти отделы фиброзного кольца наиболее уязвимы для грыжеобразования. Вытяжение, как таковое, способствует микроразрывам тканей диска, образованию микротрещин (предвестников появления межпозвонковых грыж) в задних или заднебоковых перерастянутых отделах фиброзного кольца.

Специалисты, расхваливающие метод вытяжения, расписывают в рекламных буклетах, что благодаря данному методу увеличивается высота диска, а также межпозвонкового (фораминального) отверстия, расширяется пространство для проходящих здесь спинномозговых корешков (нервов), улучшается микроциркуляция, снижается застой венозной крови (отёк) в корешках. Это действительно так, только они почему-то забывают упомянуть, что происходят эти процессы только в период вытяжения, пока растянуты дугоотростчатые суставы. После вытяжения, поражённые дегенеративно-дистрофическим процессом позвоночно-двигательные сегменты возвращаются в то же самое положение патологического состояния, в котором они были до вытяжения, но уже с травмированным фиброзным кольцом межпозвонкового диска. Вытяжение позвоночника только способствует процессу грыжеобразования! Кроме того, при вытяжении происходит травма синовиальных оболочек дугоотростчатых суставов, вследствие их перерастяжения. Так как синовиальная оболочка обильно снабжена рецепторами — нервными окончаниями (и об этом важном моменте упоминалось в теме «Остеохондроз поясничного отдела» и ещё будет более подробно рассмотрено в следующей теме «Мануальные методы лечения»), то неудивительно, что человек при этой «инквизиторской» процедуре в некоторых случаях (например, при наличии спондилоартроза) испытывает боли и дискомфорт. Однако бывает, что люди, при отсутствии таких осложнений, как, например, вышеуказанное заболевание, испытывают временное облегчение после данной процедуры. Почему это происходит?

Метод вытяжения в некоторых случаях действительно приносит кратковременное облегчение пациенту, правда вслед за ним неизбежно наступают серьёзные осложнения, но об этом врачи, располагающие данными сведениями и зарабатывающие на этом методе свой хлеб насущный, как правило, умалчивают. Какие процессы способствуют этой иллюзии «облегчения» во время вытяжения? Во-первых, при перерастяжении дугоотростчатых суставов происходит временная декомпрессия фораминальных отверстий, что и порождает временное ощущение своеобразного облегчения боли. Однако, когда процедура вытяжения позвоночника заканчивается, дугоотростчатые суставы вновь принимают привычное положение. Это законы физики! После данной процедуры, когда человек переходит в вертикальное положение (встаёт на ноги), на него по-прежнему будут действовать всё те же нагрузки! В том числе, что немаловажно, сила гравитации, которая никуда не исчезнет ни во время процедуры, ни после неё, будь человек в вертикальном положении или горизонтальном. То есть, опять-таки действуют законы физики!

Во-вторых, как я уже упоминал, на суставных поверхностях дугоотростчатых суставов находятся много рецепторов. Во время дегенеративного процесса, когда совершается смещение суставных поверхностей дугоотростчатых суставов, происходит перерастяжение суставной капсулы (синовиальной оболочки), поэтому одними из первых подают сигналы о нарушениях в данном сегменте позвоночника её рецепторы (о которых упоминалось в теме «Остеохондроз поясничного отдела»). В ответ на этот сигнал организм запускает целую программу защиты с целью «обездвижить» позвоночно-двигательный сегмент на время действия адаптационных механизмов в повреждённом участке. Ведь боль не даёт возможности нагружать поражённые сегменты позвоночника. Во время этих ограничений организм включает все свои возможности, чтобы приспособить остальные сегменты и системы к новым условиям существования и максимально минимизировать вред от этих изменений. Если устранить боль путём срыва адаптативных механизмов, то это весьма чревато серьёзными последствиями.

В процессе вытяжения рецепторы дугоотростчатых суставов начинают подавать сигналы об изменении условий, соответственно организм начинает реагировать на данные изменения, что в итоге приводит к срыву реализуемой организмом программы по адаптации повреждённого сегмента и защитных механизмов, что в свою очередь создаёт ощущение утраты боли. Однако последнее, как я уже говорил, явление временное. Как только процесс вытяжения прекращается, старые проблемы возвращаются, только в ещё худшем варианте.

Ознакомившись с примерами МРТ-снимков пациентов, прошедших курсы лечения вытяжением, можно проследить, какие последствия бывают после применения метода вытяжения. Вот, к примеру, типичный случай развития дегенеративно-дистрофического процесса после применения данного метода.

История болезни данного пациента довольно типична. В январе 2003 года после падения (подскользнулся, упал на спину) появились боли в пояснице. В феврале ему сделали МРТ (МРТ № 61). В марте того же года данный мужчина поехал по путёвке на курорт лечить спину, где прошёл курс вытяжения позвоночника, после чего к болям в пояснице присоединились и боли в правой ноге. В апреле того же года ему вновь сделали контрольный снимок МРТ, где обнаружили грыжу межпозвонкового диска (МРТ № 62). Вот такой результат после применения метода вытяжения. Как говорится, если бы знал где упадёшь, соломки бы подстелил.


На МРТ № 61 от 22.02.2003 наблюдается снижение высоты межпозвонковых дисков с незначительными протрузиями в сегментах LIV—LV, LV—SI, стеноз первого типа (врождённый), грыжи Шморля в вышележащих сегментах.

На МРТ № 62 от 07.04.2003 того же пациента наблюдается грыжа межпозвонкового диска LIV-LV с сдавлением дурального мешка, абсолютным стенозом на уровне данного сегмента и увеличением протрузии в сегменте LV—SI.


Вот ещё один пример. Произошло это несчастье по причине того, что в течение двух месяцев данной пациентке в одном из специализированных центров врач «вертебролог-вертеброневролог» проводил вытяжения шейного отдела позвоночника с применением петли Глиссона на наклонной плоскости под силой тяжести собственного веса самой пациентки. На жалобы пациентки о том, что после нескольких сеансов самочувствие ухудшилось и усилились боли, врач объяснял, что «это нормально, просто позвонки растягиваются, и межпозвонковые диски становятся на место, поэтому происходит обострение». Но после того как данная пациентка во время очередного сеанса потеряла сознание, ей сделали контрольное МРТ шейного отдела позвоночника (МРТ № 64, была обнаружена секвестрированная грыжа межпозвонкового диска), а затем в срочном порядке направили в нейрохирургию. Этот случай свидетельствует о некомпетентности этого врача «вертебролога-вертеброневролога» и ещё раз подчёркивает, насколько важно в нашем обществе самому пациенту владеть информацией о своём позвоночнике, о процессах, в нём происходящих, и о способах лечения.


На МРТ № 63 наблюдается фрагмент шейного отдела позвоночника. На данном уровне отчётливо видно исправление лордоза, стеноз спинномозгового канала, небольшие протрузии практически компенсированные спондилёзом в сегментах СVVI, СVI—СVII, гипертрофия задней продольной связки на данном уровне.

На МРТ № 64 наблюдается фрагмент шейного отдела позвоночника той же пациентки через два месяца.

На снимке видно, что к имевшимся (на МРТ № 63) проблемам добавилась ещё и грыжа в сегменте СVVI, и секвестрированная грыжа межпозвонкового диска в сегменте СVIVII..

Следующий пример также довольно типичный, как пациент, из-за недостатка знаний, усугубил состояние своего здоровья. Данный пациент периодически испытывал кратковременные боли в поясничном отделе позвоночника. По его словам, они, как правило, возникали «после длительного сидения, в момент вставания» (стартовые боли) и быстро проходили. Пациент обратился в районную больницу по этому поводу. Сделали МРТ (№ 65). Врачи не обнаружили на снимке существенных патологий, поэтому выписали пациенту лекарства и посоветовали меньше сидеть и больше двигаться. Однако, так как эти боли продолжали доставлять пациенту некоторые неудобства, он решил самостоятельно от них избавиться, причём как обещают в рекламе «раз и навсегда». Для этого он, по его словам, «выбрал для себя наиболее удобный способ». То есть, приобрёл широко рекламируемое устройство для вытяжения позвоночника в домашних условиях. На протяжении нескольких месяцев он добросовестно выполнял предписания из инструкции, прилагавшейся к этому устройству. Как это обычно бывает, вначале действительно стало немного легче, но этот эффект длился недолго. Внезапно появились тянущие боли в ноге. Пациент вновь вынужден был обратиться за помощью в больницу, но дома всё равно продолжал вытяжения позвоночника. А после того как боли усилились настолько, что лекарства уже не помогали, ему повторно сделали МРТ (МРТ № 66). Естественно, ознакомившись с результатом обследования, врачи направили его в нейрохирургию. Вот к каким последствиям приводит отсутствие элементарных знаний и слепая вера во «всесильную» рекламу. Если бы данный пациент знал заранее, к чему может привести вытяжение позвоночника при дегенеративно-дистрофических процессах в позвоночнике, то уж точно не стал бы так рисковать своим здоровьем.


На МРТ № 65 наблюдается нормальный физиологический лордоз, снижение высоты межпозвонкового диска в сегменте LV—SI, вследствие развития в нём дегенеративно-дистрофического процесса (остеохондроза).

На МРТ № 66 наблюдается сглаженность физиологического лордоза, грыжа межпозвонкового диска в сегменте LV—SI.


Ещё один показательный пример о том, как молодая девятнадцатилетняя девушка попала к «чудо-новатору» по методам вытяжения позвоночника. Началась данная история с того, что у молодой студентки, вследствие длительной работы на компьютере, стали появляться боли в мышцах шеи и плеч. Она обратилась к врачу. Этот «специалист» после осмотра поставил ей предварительный диагноз — «смещение диска» и направил на МРТ. Заметьте, на первый взгляд врач действовал правильно, направив пациента на МРТ уточнить диагноз. Но как потом оказалось, для него это являлось всего лишь формальностью, а не установлением истинной причины происхождения болей и тем более не заботой о выборе щадящих методов лечения. Впрочем, судите сами.

После результатов обследования, в описании которого была указана только протрузия в сегменте CVI-CVII размером 1,4 мм центральной локализации, данный врач объяснил, что «это и есть смещение диска, который давит ей на нерв» и предложил его вправить, на что девушка, по своей наивности и из-за отсутствия элементарных знаний о развитии патологии в позвоночнике, согласилась. Более того, на её беду (в прямом смысле слова) этот врач оказался новатором-изобретателем. По его словам, он «совершил настоящую революцию в вертебрологии» (сам он травматолог), «изобрёл чудо-устройство, с помощью которого можно навсегда избавить пациента от остеохондроза». Я не утрирую, это действительно слова данного «специалиста». Он стал рассказывать девушке, что «изобретение» настолько эффективное, что к нему даже японцы приезжали с просьбой продать им это «чудо», но не продал (не по причине патриотизма), просто потому, что японцы хотели его обмануть и предложили слишком мало денег, «всего два миллиона евро». В данном случае вы сами понимаете, что ни о какой порядочности и врачебной этике такого «специалиста» говорить не приходится, если в голове вместо знаний науки вертебрологии только подсчёт количества нулей.


На МРТ № 67 от 17.09.2009 наблюдается шейный отдел позвоночника с признаками формирования протрузий в сегментах CV—CVI, CVI—CVII. Физиологический лордоз сохранён, признаков нарушения проводимости ликворных путей не наблюдается.

На МРТ № 68 от 12.10.2009 у той же пациентки наблюдается значительное прогрессирование дегенеративно-дистрофического процесса в шейном отделе позвоночника с осложнениями в виде грыж межпозвонковых дисков CIV-CV, CV-CVI, CV—CVII, сглаживание физиологического лордоза с нарушением ликвородинамики.


В действительности же этим «чудом» оказался всего лишь раздвижной стол с изменяемым углом наклона для растяжения позвоночника. Со слов пациентки, её «положили на этот раздвижной стол, к нижней половине стола привязали ноги и таз в районе талии, а к верхней половине привязали голову под челюсть и затылок (очевидно петлёй Глиссона) и начали крутить какую-то ручку, стол стал раздвигаться и наклоняться вниз». После того как вследствие растяжения шейного отдела позвоночника у данной пациентки появились сильные боли, врач сказал «терпеть» и оставил её в такой «растяжке» на десять минут. После чего пояснил, что таких сеансов «вправления выпавшего диска» ей надо пройти как минимум десять и тогда всё будет хорошо. До десяти сеансов пациентка не дотянула, так как «хорошо» ей уже стало после шестого сеанса, начались синкопические состояния (состояние перед обмороком), боль и онемение в правой руке, головокружение и нарушение координации при ходьбе.

Родители отвезли её к невропатологу. Невропатолог, осмотрев пациентку, дал направление в институт нейрохирургии города Киева. В Киеве девушке сделали повторное МРТ (МРТ № 68 от 12.10.2009). С грамотным нейрохирургом девушке повезло. Ознакомившись с результатами обследования, он сказал, что показания к операции, конечно, есть, но лучше пока воздержаться от этого и посоветовал провести щадящее консервативное лечение, исключая методы вытяжения и мануальной терапии.

Так что хотя инквизиция — дело давно минувших дней, но её «почитатели-новаторы» есть и поныне.

«Инквизиторская» процедура — это самое подходящее слово для методов вытяжения позвоночника при развитии в нём дегенеративно-дистрофических процессов. Разница лишь в том, что в тёмные века людей, понимавших пагубные последствия этих действий для своего здоровья, насильно привязывали к тракционному столу, осуществляя, таким образом, над ними пытки, а в век научно-технического прогресса людей, наивно полагающих, что это им поможет «навсегда избавиться от остеохондроза», привязывают к тракционному столу по их же добровольному согласию.

В своё время, когда я занимался исследованием различных методов лечения остеохондроза, меня просто поражала своей бестактностью изощрённость как некоторых народных умельцев, так и отдельных представителей медицины по рекламированию среди народа самых различных приспособлений для «вправления дисков», «разбивания солей в позвоночнике», «вправления вывихов позвонков», «исправления горбов» и других устройств с броскими названиями, а в некоторых случаях и непременными сопроводительными терминами «личная, новейшая разработка», «исключает даже самый малый травматизм» и так далее. Причём, некоторые из данных приспособлений действительно больше напоминали орудия инквизиторов (см. стр. 212).

В медицинских центрах, занимающихся «лечением остеохондроза и межпозвонковых грыж» методом вытяжения позвоночника реклама более «интеллигентная». Она гласит, что вытяжение производится «на специализированном оборудовании», «с компьютерным контролем нагрузки и времени вытяжения», «с дозированным растяжением». Кроме того, в такой рекламе акценты, как правило, ставятся на фразах: «исключается возможность травматизации позвоночника», «создаются условия для восстановления межпозвонковых дисков и всех структур позвоночника», «безопасное и эффективное вытяжение». В некоторых случаях даже пишут, что после процедуры вытяжения «для исключения малейшей вероятности повреждения тканей межпозвонкового диска» пациенту рекомендуется вставать с тракционного стола «плавно и очень осторожно». Другими словами, как бы пациент ни поднялся с устройства для вытяжения, однако если в последующем состояние его здоровья ухудшится и на МРТ будет явно видно усугубление дегенеративно-дистрофического процесса после процедуры вытяжения, то данный медцентр ответственности за это нести не будет. Ведь предупреждали же человека, что вставать нужно было «плавно и очень осторожно»! Это говорит о том, что специалисты данного центра знают о том, какие последствия бывают после данной процедуры и всё равно продолжают свою деятельность.


Рисунок № 25. Средневековое орудие пыток инквизиции — «дыба-лестница». Палачи растягивали жертву, причиняя ей невыносимую боль.


Рисунок № 26. Самое распространённое средневековое орудие пыток инквизиции — «дыба», на которой палачи растягивали жертву.


Так что не рискуйте своим здоровьем! Методы вытяжения при протрузиях и грыжах межпозвонкового диска строго противопоказаны, так как они способствуют дальнейшей экструзии межпозвонкового диска. Важно знать, что любые методы и способы вытяжения или растяжения позвоночника при дегенерации межпозвонкового диска ведут к грыжеобразованию, а при наличии грыжи межпозвонкового диска — к увеличению грыжевого выпячивания. Поэтому, как бы красиво ни звучала реклама способа вытяжения, на каком бы оборудовании это ни производилось, а суть метода вытяжения остаётся та же.

Казалось бы, на дворе уже XXI век, в медицине накоплен большой опыт проб и ошибок, изучаются процессы на молекулярном уровне, уже пора прийти бы к определённым выводам, пересмотреть устаревшие концепции. Однако многие упорно цепляются за старое, упоминая, что «метод вытяжения при дегенеративно-дистрофических процессах позвоночника использовал ещё сам отец медицины Гиппократ», при этом по привычке, не углубляясь в подробности истории. А последние весьма занимательны при их детальном изучении.

Реформатор античной медицины, древнегреческий врач, хирург Гиппократ родился в 460 г. до н. э. на острове Кос. Занимаясь медицинской практикой, в том числе и разработкой способов лечения переломов и вывихов с помощью вытяжения, желобов, шин, специальных устройств (к примеру, из наиболее известных — «скамья Гиппократа» — деревянная скамья с наклонной плоскостью, использовавшаяся при лечении переломов; прообраз современных ортопедических столов), Гиппократ оставил записи о своей деятельности. Они составляют основу собрания сочинений древнегреческих врачей под общим названием «Corpus Hippocraticum» («Гиппократов сборник»). Один из наиболее полных и точных переводов на русский язык данного сборника был осуществлён в 1936–1944 годах профессором В. И. Рудневым, под редакцией и с комментариями В. П. Карпова («Гиппократ. Сочинения»).

Так вот, в III томе данного сборника в работе Гиппократа «О суставах» можно прочитать, что для исправления кифотических деформаций позвоночника им были предложены следующие методы. Первый метод — «встряхивания» (лестница Гиппократа) заключался в том, что больного привязывали к длинной лестнице либо вниз головой, либо естественным образом вверх головой — «встряхивание ногами вниз». Лестницу предварительно застилали кожаными или шерстяными подушками. Затем данную лестницу, вместе с привязанным к ней человеком, поднимали вверх или приставляли к какой-нибудь башне, крыше дома или вколоченной в землю мачте. А потом… отталкивали и больной с лестницей падал на землю, описав в воздухе большую дугу. Причём, согласно записям Гиппократа, «место, на котором ты делаешь встряхивание, должно быть твёрдым». Как говорится, комментарии к такому способу «лечения» кифоза излишни.

Сам же Гиппократ, пропагандируя этот метод «лечения» горбов, писал, что «изобретение это древнее, и я со своей стороны очень хвалю первого изобретателя и этой, и всякой другой машины, созданных соответственно природе». От себя замечу, что применять этот изуверский метод «лечения» горбов очевидно стали после наблюдения древних врачей, сопровождавших войска в военном походе. Ведь в те времена зачастую при проведении военных операций воины штурмовали башни и неприступные крепости с помощью длинных лестниц, которые, как правило, защитники крепости старались оттолкнуть от своих стен. Очевидно, что на фоне большого количества покалеченных воинов, определённого процента летальных исходов, был отмечен и небольшой процент людей, которые в результате такого падения с лестницы не только остались живы, но и даже в некотором смысле поправили состояние своего здоровья. Но таких же «счастливчиков» были единицы!

Впрочем, Гиппократ, выражая своё восхищение «встряхиванием» (разработанным по его методу) и подробно описывая, как им пользоваться, тут же упоминает о том, что «эти способы больше в ходу у обманщиков»: «Дело в том, что те встряхивания, которые делаются на лестнице, никого никогда не исправили, насколько я знаю; пользуются же ими по преимуществу те врачи, которые желают выхвалиться перед толпой. Действительно, толпа приходит в удивление, когда видит человека или подвешенного, или качающегося, или подвергнутого чему-либо подобному, и об этом неумолкно говорят, нисколько не заботясь, что получится от такого лечения — хорошее или дурное». Так что ничего в мире не изменилось — как были «обманщики», так и остались.


Рисунок № 27. «Лечение» заболеваний позвоночника по Гиппократу методом «встряхивания» («лестница Гиппократа»).


Рисунок № 28. Устройство для «лечения» заболеваний позвоночника по Гиппократу с помощью дубовой доски и вытяжения.


Рисунок № 29. «Гиппократово ложе». Устройство, используемое для растяжения позвоночника. Схема рисунка из византийского издания работ Клавдия Галена.


Если лестница не помогала исправить человеку горб, то был другой метод «лечения» — метод вытяжения, описанный Гиппократом в пункте «Искривление позвоночника вследствие внешних причин и способы лечения». Гиппократ предлагал для исправления кифоза соорудить следующее устройство по вытяжению позвоночника (по сути, тракционный стол), которое изображено на рисунке.

Описывая данное устройство, Гиппократ даёт следующие рекомендации. «Больному, если возможно, следует сделать паровую ванну или вымыть его в большом количестве горячей воды». Для справки: на сегодняшний день специалистам хорошо известно, что при наличии воспалительных процессов, выраженных болей в позвоночнике на период обострения строго противопоказаны термопроцедуры (грелка, парные, сауны), так как после них усиливается отёчность воспалённых тканей, приводящая к ещё большему обострению. Однако вернёмся к сочинениям Гиппократа. «Потом его укладывают на доску лицом вниз во всю его длину» и соответствующим образом связывают ремнями, растягивая ремни между двух палок. В этом положении делается вытяжение. «Никакого большого вреда вытяжение не причинит, если оно удобно будет подготовлено, разве кто-нибудь намеренно захочет вредить». «Далее, врач или какой другой сильный и опытный человек, положив одну руку ладонью вниз на горб, а другую — сверху первой, станет давить книзу». «Не будет также вреда, если кто-либо сядет на горб больного, в то время как тот подвергается вытяжению, и, приподнимаясь, будет давать толчки. Ничто не препятствует и наступить ногой на горб, производя умеренные надавливания». Что можно сказать по этому поводу? Этот способ, безусловно, если и хорош, то только не в лечении, а в усугублении дегенеративно-дистрофических процессов в позвоночнике. Пациент навряд ли станет здоровее от таких процедур, да и горб, естественно, у него от этих манипуляций не исчезнет. Но зато у него появится перспектива стать «вечным пациентом Гиппократа»!

Если же «лестница Гиппократа» и «гиппократово ложе» не помогло больному в лечении горба (кифоза), то описывается следующий способ «лечения», о действии которого сам Гиппократ излагает: «Однако самое действительное из давлений следующее». Далее древнегреческий реформатор медицины описывает ещё одно своё устройство для лечения горбов (по сути, опять-таки тракционный стол, только на сей раз пациента подвергали не только насильственному растяжению позвоночника по оси, но и компрессии на вершину деформации массивной доской), приведённое на рисунке № 28 (см. стр. 216)

Соответственно рекомендации Гиппократа: «…горб должен приходиться как раз против выемки, проделанной в стене, чтобы давление выше помещающейся доски простиралось главным образом на место выступа позвонков. Когда доска будет на своём месте, пусть одинкто-нибудь или… двое давят вниз на наружную часть доски, в то время как другие производят вытяжение тела по длине, как было сказано — одни в одном, другие в другом направлении. Позволительно также делать вытяжение при помощи воротов, которые вкапываются в землю возле толстой дубовой доски или укрепляются в самой доске, безразлично, — будут ли перпендикулярные и немного возвышающиеся подставки этих воротов размещены на каждом конце доски, или осями они будут утверждены на каждом её краю. Эту тягу легко регулировать в сторону усиления и ослабления, и она имеет такую силу, что если бы кто захотел воспользоваться ею для повреждения, а не для лечения, он смог бы получить очень сильное действие, ибо, растягивая только в ту и в другую сторону и не прилагая какой-нибудь другой силы, можно произвести вытяжение, но и не растягивая, а только производя давление доской, указанным способом можно достичь достаточного вправления. Хороши такие силы, которые можно применять и в более сильной, и в более слабой мере, регулируя их по собственному желанию; к тому же они действуют сообразно расположению частей: во-первых, давление заставляет выступающие кости вернуться на своё место; во-вторых, поскольку растяжения естественны, они приводят кости, оказавшиеся сближёнными, к их природному положению, раздвигая их. Что касается меня, я не знаю лучших и более правильных способов применения силы». Вот так и «лечили» пациента с кифозом в древности: сначала с высоты бросали с лестницей, затем «прыгали» и топтались по больному месту, а потом ещё бедолаге доставалось доской по горбу. По крайней мере, «Отец медицины» честно изложил то, что знал сам, а его «дети» (последователи метода вытяжения) лишь несколько усовершенствовали данные устройства и продолжают жить и работать согласно выражению Гиппократа: «Жизнь коротка, путь искусства долог, удобный случай мимолётен, опыт обманчив, суждение трудно».

Для чего я так подробно изложил эти детали из истории? Для того, чтобы вы, уважаемые читатели, понимали, что ссылка даже на такого «бесспорного авторитета», как Гиппократ, который описал в своём трактате и много полезного для дальнейшего развития медицины (например, представления о целостности организма, этиологию различных болезней, их течение, прогноз развития, изложив как наблюдения из собственного опыта, так и богатого опыта медицины его времени, в том числе медицины стран Египта, Малой Азии, Ливии, Скифии), не всегда уместна. Ведь в качественной медицине, независимо от мнения любого авторитета, приоритетом для медика должно быть здоровье его пациента.

Мануальные методы лечения
Должен заметить, что как таковая коррекция позвоночника с помощью ручного воздействия была известна с давних времён. Почти у каждого народа имелись свои мастера врачебного дела, которые пытались помочь людям, страдающим заболеваниями опорно-двигательного аппарата. Зачастую войска в военных походах сопровождали костоправы или непосредственно лекари, которые владели в числе других врачебных навыков опытом вправления суставов и лечения переломов костей. Методы коррекции позвоночника в прошлом в основном формировались на практике, с помощью проб и ошибок. Поэтому их по праву можно назвать «делом случая». Кроме того, надо учитывать, что в процессе познания о фактическом результате лечения опорно-двигательного аппарата приходилось говорить лишь при исправлении явных патологий, к примеру наличия вывиха плечевого сустава, челюсти, костей рук или ног. Однако, как таковая ручная коррекция при скрытых заболеваниях того же позвоночника осуществлялась практически «вслепую» и была ориентирована на временное устранение боли, без учёта и понимания истинных причин, вызвавших данное заболевание. Это естественно, так как даже на сегодняшний день учёным, изучающим на молекулярном уровне развитие процессов в клетках и тканях позвоночника, известно уже многое, но далеко ещё не всё. Что тогда говорить о том времени, когда у лекарей были примитивные знания даже в области анатомии? Поэтому опыт древних врачей, занимающихся ручной коррекцией позвоночника, строился в основном на наблюдениях: помогло — хорошо, не помогло — пробовали по-другому. Зачастую одни и те же методы применялись к больным с одинаковыми симптомами и местом локализации боли. Однако, как говорилось в главе «Что может скрываться за болями в спине?» причина происхождений болей может быть абсолютно разная. Если её не установить, то вместо лечения вполне можно оказать больному по-истине «медвежью услугу». Вот так в разных странах путём проб, с учётом опыта и ошибок, со временем были выделены различные способы ручной коррекции позвоночника, которые временно устраняли болевые синдромы, позволяя пациенту какое-то время сохранять трудоспособность.

Начиная с XIX столетия в США стали один за другим открываться различные школы, где обучали по сути старым методам лечения позвоночника с помощью ручного воздействия, однако с попыткой осветить значение данных манипуляций в свете новомодной на то время научной трактовки. Так, в 1874 году в городе Кирксвилл (штат Миссури, США) Эндрю Стилл основал школу остеопатов. Остеопатия (osteopath) — от греч. osteo — кость, медицинская приставка — patho — относящийся к болезни. Стилл изучал медицину, был хирургом в гражданскую войну, занимался частной практикой. Он синтезировал методики древних способов ручной коррекции позвоночника и на их основе разработал свой метод, направленный на устранение боли. Так зародилась современная «длиннорычаговая» школа мануальной терапии. В 1895 году Даниель Дэвид Палмер (D. D. Palmer) — торговец, который увлекался нетрадиционными методами лечения, открыл школу хиропрактиков (от греч. chiropraxis: cheir — рука, praxis — действие). Так зародилась современная «короткорычаговая» мануальная терапия и теория «сублюксаций» (лат. subluxatio — подвывих), которая жива и по сей день. Надо отметить, что школы в основном строились на бизнес-основе, где наряду с изучением анатомии преподавали курсы «деловой практики», то есть обучали, как можно выгодно «продать» свои «навыки». Курс обучения обычно длился две недели. На курсы набирали любителей нетрадиционной медицины, которые были способны оплатить данное обучение. Естественно, ни о каком врачебном профессионализме там не было речи. Возросшее количество выпускников данных школ и их деятельность способствовали снижению авторитета и гонораров представителей официальной медицины. Поэтому изначально оба направления находились в весьма сложных отношениях с официальной медициной. Вместо научных дискуссий велись судебные и гражданские процессы.

В современном мире хотя и несколько изменилось отношение официальной медицины к мануальным методам лечения (лат. manus — рука, греч. therapeia — лечение), но всё-таки традиционные основы, заложенные ещё в те времена, сохранились до сих пор. Главной из них является избавление пациента от боли, к чему в основном сегодня апеллируют в свою защиту мануальные терапевты разных направлений. Хотелось бы привести весьма интересный комментарий Николая Андреевича Касьяна (академика, народного врача СССР, заслуженного доктора Украины, потомственного костоправа), который он дал в своей работе «Мануальная терапия при остеохондрозе позвоночника»: «К одной из самых ранних теорий механических факторов, вызывающих клиническую картину заболеваний позвоночника, относится теория «сублюксации». В соответствии с тем временем она носит дилетантский характер и не может объяснить возникновение болей на разных уровнях позвоночника. В современном понимании, согласно теории «сублюксации», подвывихи позвонков приводят к уменьшению межпозвонковых отверстий и сдавлению спинномозговых нервов с последующим развитием различных синдромов, в том числе болевого. Целью лечения подвывиха является нормализация межпозвонковых соотношений и устранение болевого синдрома. В этой теории очень много неясного. Снижение высоты межпозвонкового диска естественно сопровождается развитием патологической подвижности межпозвонковых суставов, натяжением их капсулы, возникновением подвывихов. Суставные отростки начинают выполнять несвойственную им функцию осевой нагрузки, и постепенно развивается спондилоартроз. Однако, даже после успешной манипуляции, высота межпозвонкового диска не увеличивается и биомеханические условия остаются прежними». Вполне с ним согласен, поскольку если биомеханические условия остаются без изменений, то ни о каком лечебном эффекте и речи быть не может, потому что дегенеративно-дистрофический процесс не только не остановлен (не говоря уже «устранён»), а наоборот, во многом усугублён. Подобные последствия, к сожалению, наблюдаются и после других методов «лечения», использующих элементы мануальных методов воздействия на сегменты позвоночника.

Или вот другое мнение знаменитого клинициста-невролога, создателя вертеброневрологии, профессора Якова Юрьевича Попелянского: «Хиропракты видят в манипуляционной терапии непосредственное воздействие на сублюксированные суставы. Под сублюксацией они понимают заклинивание, фиксацию сустава в экстремальном, но физиологическом положении. Указанная патогенетическая ситуация, по данным K. Lewit (1973), должна закончиться эффектом репозиции при соответствующем лечении возвращением в нейтральное положение (суставных поверхностей). Такой эффект, однако, наблюдается лишь в суставах краниовертебральной области. В других же отделах репозиционный эффект, если он и имеется при таком варианте сублюксации, не сопровождается восстановлением функции или другим существенным клиническим результатом». Более того, хиропрактика, остеопатия, краниосакральная терапия, ПИР (постизометрическая релаксация) и другие, в том числе и некоторые народные методы и способы «лечения» позвоночника, по сути своей направлены на срыв адаптативных механизмов. При дегенеративнодистрофических процессах в межпозвонковых дисках применение таких методов неизбежно ведёт к более быстрому прогрессированию данной патологии.

Однако, как в далёком XIX веке, так и в нынешнем XXI веке существует немало принципиальных защитников мануальных методов лечения. Вот, к примеру, высказывание академика, профессора Алексея Александровича Коржа и его соавторов (на которое активно ссылаются и по сей день), сделанное ещё в 1980 году в аналитическом обзоре на данную тему: «…больному безразлично, знает ли врач, каким образом он устраняет боль и обоснованны ли его действия научно. Ему нужен результат действия — избавление от болей». В связи с этим хотелось бы задать соответствующие вопросы непосредственно пациенту. Вам действительно безразлично, знает ли врач, что он делает с вашим позвоночником? Знает ли врач, что будет с вашим здоровьем после его манипуляций через месяц, через год? Или вам действительно всё равно, что с вами будет потом и какую цену придётся платить за временное облегчение болей?

Ряд пациентов, из-за отсутствия своевременной информации, уже ответили на эти вопросы своим печальным опытом и подорванным здоровьем. Предлагаю вашему вниманию ознакомиться с некоторыми материалами из моего документального медицинского архива.


На МРТ № 69 наблюдается сглаженность физиологического лордоза поясничного отдела позвоночника, протрузия в сегменте LV— SI компенсированная спондилёзом, эпидурит на этом же уровне.

На МРТ № 70 того же пациента, наблюдается состояние после четырёх сеансов мануальной терапии, в сегменте LV—SI — секвестрированная грыжа межпозвонкового диска с каудальной миграцией секвестра, абсолютный стеноз спинномозгового канала, сглаженность физиологического лордоза, эпидурит.


Началась данная история с того, что вследствие развития протрузии и эпидурита у пациента появились боли в поясничном отделе позвоночника. По совету знакомых он обратился в центр мануальной терапии. Врач данного центра (мануальный терапевт), осмотрев его и выслушав жалобы, отправил на МРТ-обследование (№ 69). Исходя из результатов обследования, тот же врач назначил пациенту 12 сеансов мануальной терапии. Уже после четвёртого сеанса у больного появилась резкая боль в ноге и онемение. Сделали повторное МРТ (№ 70). Мануальный терапевт ознакомился с его результатом, направил данного пациента в нейрохирургию (но это уже другая история).

На первом МРТ № 69 отчётливо было видно, помимо протрузии, наличие эпидурита. Следовательно, этот пациент нуждался в медикаментозной терапии под контролем невропатолога, к кому и следовало бы направить больного после МРТ-обследования. В данном случае категорически нельзя было лечить методами вытяжения или мануальной терапии. Ведь при применении данных методов результат можно было легко спрогнозировать! Опять-таки это показательный случай, когда «специалисты» посылают человека на МРТ, однако оценивают снимки непрофессионально. В противном случае они могли бы составить элементарный прогноз последствий своего «лечения». Кстати, большинство подобных «специалистов» оказывают лишь единовременную помощь и не отслеживают здоровье пациента на протяжении как ближайшего, так и отдалённого периодов времени (месяцев, лет) после своего лечения.

Что же касается этого случая, то не думаю, что данные специалисты сделали эти манипуляции умышленно, ради наживы на здоровье этого человека. Скорее всего — по незнанию азов вертебрологии и соответственно выбора метода лечения. Это и привело к тому, что теперь жизнь пациента значительно осложнилась, а здоровье после такой «помощи» несоизмеримо усугубилось. «Ne noceas, si juvare поп рotes» — «Не вреди, если не можешь помочь».

Следующий случай свидетельствует о том, как до сих пор живы некоторые изначальные традиции американской школы «народных мануальщиков XIX века».

Данный пациент, решив избавиться от болей в спине, обратился за помощью к «костоправу». Но, как оказалось впоследствии, от костоправа там было, как говорится, только одно название. Этот «специалист», американского образца XIX века, ощупав пациента, сказал, что выпал диск и что сейчас он его вправит. Положив пациента на пол (на живот), начал поочерёдно поднимать ноги, одновременно надавливая на поясницу, потом, положив на бок, провёл «скручивание». Таким образом, выполнив несколько манипуляций из «набора» обычной мануальной терапии, перешёл к «собственным разработкам». Он попросил пациента сесть на пол и вытянуть вперёд ноги, а поясницу прогнуть назад. Потом начал резкими, сильными толчками давить ему на плечи. Затем, попросив пациента подняться и, обхватив его руками под мышками, приподнял и сильно встряхнул. После данных манипуляций этот «специалист» по-деловому объявил, чтобы пациент пришёл на следующий день ещё для одного такого же сеанса.

После второго сеанса боли у пациента усилились. Он обратился в районную больницу. Участковый травматолог направил больного на МРТ. Но вопреки здравому смыслу пациент отправился с результатами обследования (МРТ № 71) не к травматологу, а опять к тому же «костолому». Тот, внимательно посмотрев снимки, сказал, что ему «всё ясно», грыжа межпозвонкового диска «выпала вовнутрь, в живот» и что «обычно хватает одного-двух сеансов, но тут дело серьёзное и просто необходимо провести ещё один, а может и два сеанса». Пациент, по наивности своей, согласился. Всё повторилось как и в первые два раза, только этот «специалист» значительно усилил силу своего воздействия, когда посадил его на пол и начал толчками давить на плечи, очевидно, чтобы диск уж точно «вышел из живота и зашёл куда надо». Это называется: «сила есть, ума не надо». После нескольких таких толчков пациент почувствовал резкую боль («как разряд тока»), прошедшую от копчика до головы, ноги онемели. Через несколько дней у данного больного развились тазовые нарушения. Сделали повторное МРТ № 72. Результат более чем удручающий: компрессионный перелом тела позвонка LII, секвестрированная грыжа межпозвонкового диска в сегменте LV-SI, абсолютный стеноз спинномозгового канала.

На МРТ № 71 наблюдается сглаженность физиологического лордоза, грыжа межпозвонкового диска в сегменте LV—SI, спондилёз на том же уровне, множественные грыжи Шморля, стеноз.

На МРТ № 72 наблюдается помимо всего выше перечисленного ещё и компрессионный перелом тела позвонка LII и секвестрированная грыжа межпозвонкового диска в сегменте LV—SI, абсолютный стеноз спинномозгового канала.


На МРТ № 73 — увеличенный фрагмент МРТ № 71 на уровне сегмента LI—LII, на котором наблюдается травма замыкательной пластинки LII позвонка, как следствие первых двух сеансов у этого «специалиста».

На МРТ № 74 наблюдается увеличенный фрагмент МРТ № 72 на уровне сегмента LI—LII, на котором наглядно видны последствия третьего сеанса «вправления диска», и как следствие — компрессионный «пролом» тела позвонка LII и его замыкательной (гиалиновой) пластинки и внутренний разрыв межпозвонкового диска.

Причина этой трагедии в элементарной безграмотности, причём не только того «аборигена-специалиста» образца XIX века, а и самого пациента. Ведь порой даже элементарные знания или хотя бы наличие здравого смысла одной из сторон способны уберечь человека от совершения роковой ошибки, повлекшей за собой тяжёлые последствия.

Вот ещё один аналогичный случай с той лишь разницей, что такого же уровня «специалист», проводивший схожие манипуляции с пациенткой, именовал себя не «костоправом», а «мануальным терапевтом». Но здесь как в математике: «от перемены мест слагаемых значение суммы не меняется».


На МРТ № 75 наблюдается состояние поясничного отдела позвоночника после нескольких месяцев лечения методом вытяжения: сглаженность физиологического лордоза, стеноз спинномозгового канала, грыжа межпозвонкового диска в сегменте LIV-LV, эпидурит на данном уровне, снижение высоты межпозвонкового диска в сегменте LV-SI вследствие развития в нём дегенеративно-дистрофического процесса, жировая дегенерация в телах смежных позвонков данного сегмента, спондилёз на данном уровне.

На МРТ № 76 наблюдается состояние поясничного отдела позвоночника той же пациентки после нескольких сеансов лечения у мануального терапевта: кифотизация физиологического лордоза, абсолютный стеноз спинномозгового канала, грыжа межпозвонкового диска в сегменте LIV-LV, эпидурит на данном уровне, снижение высоты межпозвонкового диска в сегменте LV—SI, компрессионный перелом тела позвонка LV, усугубление дегенеративных процессов в сегменте LV—SI.


Следующий пример наглядно показывает, как уже два разных мануальных терапевта участвовали в лечении пациента и, соответственно, какие результаты показали МРТ-обследования.

Весной 2001 года данный пациент почувствовал боли, скованность в поясничном отделе позвоночника. Друг посоветовал «хорошего мануальщика». После первого курса (12 сеансов) пациент, по его выражению, «просто летал», однако через два месяца «крылья подрезало». Прошёл ещё курс мануальной терапии, стало легче, но боли полностью не прошли. Осенью того же года повторил курс лечения, боли только усилились, однако лечение продолжил.

В январе 2002 года пациенту сделали МРТ (№ 77). Мануальный терапевт, проводивший данное лечение, ознакомившись с результатами обследования, объяснил, что в связи с наличием протрузий и грыжи межпозвонковых дисков дальнейшее применение мануальной терапии противопоказано, а также противопоказаны вытяжение позвоночника, йога, интенсивные нагрузки и т. д. В общем-то дал рекомендации, на удивление, довольно грамотные. Только непонятно в таком случае, почему он до лечения не провёл диагностическое обследование пациента и почему продолжал применять мануальную терапию после явного ухудшения состояния пациента?!


На MPT № 77 от 2002 года, наблюдается выраженный дегенеративно-дистрофический процесс, осложнённый протрузиями в сегментах LII—LIII, LII—LIv, LV—SI и грыжей межпозвонкового диска в сегменте LIv-Lv.

На МРТ № 78 от 2007 года отмечается прогрессирование дегенеративного процесса, снижение высоты межпозвонковых дисков, увеличение грыжи межпозвонкового диска в сегменте LIv-Lv.

На МРТ № 79 от 2010 года наблюдается дальнейшее прогрессирование дегенерации и образование секвестрированной грыжи межпозвонкового диска с каудальной миграцией секвестра в сегменте LIv-Lv


После медикаментозного лечения в стационаре самочувствие пациента улучшилось. В дальнейшем, по мере необходимости, он подлечивался амбулаторно и два раза лежал в стационаре. После очередного обострения в 2007 году сделали МРТ (№ 78), на котором наблюдалось прогрессирование дегенеративного процесса, но довольно умеренное. Новый год (2010) данный пациент встречал в кругу друзей, где уже другой друг расхвалил ему ещё одного специалиста в области мануальной терапии, который за два сеанса «поднял» его жену. Четвёртого января прошёл один сеанс у этого «специалиста». По словам пациента, ему «стало легче». Пятого января он прошёл ещё сеанс у данного специалиста. Вначале было «легко, хорошо», но вечером того же дня почувствовал боли. Утром встать уже не смог.

Сделали МРТ (№ 79), диагностировали секвестрированную грыжу межпозвонкового диска в сегменте LIV-LV. Надеюсь, что вы, уважаемый читатель, уже сами понимаете, что применение мануальной терапии в качестве лечения данной патологии было серьёзной ошибкой, которая привела к значительным осложнениям. Но тем не менее, этот случай очень показателен в плане адаптативных механизмов и компенсаторных возможностей организма и того, что происходит в случае их срыва. Всё-таки с 2002 года по 2007 дегенерация развивалась под «контролем» и если бы не «друзья» с их «медвежьей услугой», то возможно не было бы таких последствий.

В чём причина в данном случае резкого образования секвестрированной грыжи межпозвонкового диска? Основная причина таится в срыве адаптивных механизмов. Дегенерация в межпозвонковых дисках развивается как бы по спирали, где на каждом её витке срабатывают защитные (адаптивные) механизмы. Организм постепенно включает данные механизмы, которые «тормозят» и берут под контроль этот процесс. Затем подключаются компенсаторные механизмы. Так происходит адаптация и компенсация, постепенно приспосабливающая организм уже к новым условиям существования. Однако когда происходит срыв адаптивных механизмов (мануальная терапия, вытяжение и т. д.), влекущий за собой нарушение компенсаторных возможностей организма, то дегенерация развивается уже не по спирали, а по прямой — происходит её стремительное, бесконтрольное и неуправляемое развитие.

Следующий пример в продолжение нашей темы, как пациент поддался рекламе и обратился к мануальному терапевту, который гарантировал «полное избавление от болей». Данный пациент по профессии строитель. Испытывал периодические боли в поясничном отделе позвоночника с 1996 года. Неоднократно проходил медикаментозное лечение под наблюдением невропатолога. Диагностические обследования позвоночника в этот период лечения не проводились. В августе 2002 года во время санаторно-курортного лечения, по назначению лечащего врача, прошёл курс вытяжения позвоночника, после которого началось обострение, появилась боль и онемение в правой ноге. Во время стационарного лечения в неврологическом отделении провели МРТ-обследования (МРТ № 80) и порекомендовали проконсультироваться у нейрохирурга. Пациент проконсультировался у нейрохирурга, но от предложенной операции отказался. Под контролем специалистов лечился медикаментозно. В марте 2010 года, соблазнившись рекламой, данный пациент решил «навсегда избавится от болей в позвоночнике» и обратился к мануальному терапевту, который гарантировал «полное избавление от болей». Результатом этого «гарантированного лечения» (результат отображен на МРТ № 82) стала секвестрированная грыжа межпозвонкового диска и, естественно, значительное ухудшение самочувствия данного пациента.


На МРТ № 80 от 04.09.2002 года, наблюдается исправление физиологического лордоза, грыжа межпозвонкового диска в сегменте LIV—LV, стеноз спинномозгового канала на данном уровне, компенсированная спондилёзом протрузия в сегменте LV—SI

На МРТ № 81 того же пациента от 19.07.2007 наблюдается практически аналогичная с 2002 годом картина, с той лишь разницей, что грыжа межпозвонкового диска в сегменте LIv-Lv частично компенсировалась спондилёзом.

На МРТ № 82 того же пациента от 02.04.2010 наблюдается исправление физиологического лордоза, компенсированная спондилёзом грыжа межпозвонкового диска в сегменте LIV-LV, секвестрированная грыжа межпозвонкового диска в сегменте LV—SI абсолютный стеноз спинномозгового канала на данных уровнях.


На увеличенных фрагментах (МРТ № 83, МРТ № 84,МРТ № 85) наблюдается сегмент LIV-LV, на котором видно, как грыжа межпозвонкового диска компенсируется спондилёзом (обрастает костными наростами, исходящими из тел позвонков). При этом заметьте, грыжа сохраняет свои границы, что даже при визуальном сравнении отчетливо наблюдается по стенозу спинномозгового канала на данном уровне (отмечено стрелочками). Это ещё один пример того, как грыжи межпозвонкового диска могут, по выражению мануальных терапевтов, «уходить» сами по себе. Несмотря на то, что грыжа межпозвонкового диска у данного пациента компенсировалась спондилёзом, но стеноз спинномозгового канала от этого не уменьшился и самочувствие не улучшилось.


Так что если вы увидите многообещающую рекламу, в которой говориться, что специалисты занимаются безоперационным лечением грыж, то надо понимать, что лечением-то они занимаются, но вылечивают ли? Это вопрос. А для того чтобы убедиться в искренности намерений специалистов подобных медицинских центров, необходимо прежде всего ознакомится не только с отзывами о субъективных ощущениях их пациентов, но и с объективными результатами обследования, зафиксированными на МРТ-снимках, к примеру до и после лечения их пациентов с аналогичными заболеваниями, а также, по возможности, результатами отдаленных последствий такого лечения.

Типичными травмами в качестве последствий мануальных методов воздействия на позвоночник является гемартроз (от греч. haima — «кровь», arthron — «сустав») дугоотростчатых суставов, то есть кровоизлияние в полость дугоотростчатых суставов.


На МРТ № 86 наблюдается кровоизлияние (тёмное пятно на МРТ) в полость левого дугоотростчатого сустава — как следствие после лечения у мануального терапевта, который пытался «вправить выпавший диск».

На МРТ № 87 наблюдаются кровоизлияния в полости обеих дугоотростчатых суставов. Этот случай связан уже с другим пациентом, другим мануальным терапевтом, однако с тем же неутешительным результатом — снова кровоизлияние!


К сожалению, такие осложнения после мануальной терапии встречаются довольно часто. Их причина банальна — всего лишь попытка мануального терапевта устранить у пациента так называемую сублюксацию или «функциональный блок». Зачастую результат такого воздействия — кровоизлияние в полость травмированных дугоотростчатых суставов. Напомню, что внутренний слой суставной капсулы дугоотростчатых суставов имеет множество синовиальных ворсинок, богатых кровеносными сосудами. После травмы, когда кровь заполняет полость суставов, у пациента возникает боль, ограничение и болезненность движений вплоть до утраты способности пациента самостоятельно передвигаться.

Вроде бы уже XXI век, однако до сих пор происходят столь досадные инциденты, наносящие вред здоровью пациента. В чём причина? Не зря я упомянул, что теория «сублюксаций» школы хиропрактиков XIX века жива и до сих пор на ней пытаются построить теорию мануальной терапии. Но эти попытки безуспешны и будут таковыми в дальнейшем, поскольку это равносильно «построить дом на песке». Напомню, что данное выражение стало известным благодаря евангельской притче о «человеке безрассудном», построившем «дом свой на песке» (Матф. 7: 26–27), где говорится о последствиях такого безрассудного поступка — «и пошёл дождь, и разлились реки, и подули ветры, и налегли на дом тот; и он упал, и было падение его великое». Такие же катастрофические последствия, но только применительно к здоровью пациента, уже наблюдаются и здесь как расплата за применение мануальной терапии, которая даже теоретически несостоятельна.

Так в чём конкретно заключается «корень зла»? Если вы прочтёте несколько разных руководств по мануальной терапии, то заметите, что практически во всех этих книгах делается акцент на том, что во время проведения манипуляции по устранению сублюксации обязательно должен быть хруст (щелчок), это якобы говорит о правильности проведённой манипуляции. Вот и крутят мануальные терапевты, пока не хрустнет.

Более того, некоторые мануальные терапевты с гордостью отмечают тот факт, что во время скручивания или другой манипуляции, после того как «что-то хрустнет», во многих случаях пациент отмечает значительное облегчение боли (и это тоже факт). На вопрос удивлённого пациента: «Что же произошло в позвоночнике?», как правило отвечают: «Это диски становятся на место». Не стоит ожидать от таких мануальных терапевтов рационального ответа на свой закономерный вопрос, поскольку по их первоначальному ответу понятно, что они сами толком не знают, что конкретно происходит в позвоночнике благодаря таким манипуляциям. В книгах, по которым они обучались, было написано чёрным по белому, что должен быть хруст, после которого больной испытывает облегчение (естественно, временное). Это произошло. Чего же от «мануальщика» требовать более?

Но какова на самом деле природа такого хруста? Почему пациент после хруста испытывает лёгкость? По первому вопросу существует много предположений и догадок вплоть до таких, как современная теория «вспенивания», высказанная британскими медиками, согласно которой во время манипуляции при резком растяжении ткани сустава, падения внутри него давления происходит «вспенивание» внутрисуставной жидкости и пузырьки, лопаясь, создают этот специфический звук. На самом деле всё происходит несколько иначе. Просто британские медики в своей капиталистической стране не имели таких возможностей, которые имели некоторые медики в бывшем социалистическом Советском Союзе (на тот момент одной из лидирующих в мире стран по передовым научным технологиям). Поэтому им пришлось заново изобретать «колесо», не зная, что уже давно изобретён «велосипед». В своё время, когда я досконально изучал методы мануальной терапии, эффекты воздействия данного метода и последствия, меня также заинтересовала природа данного явления. Благо в советские времена (когда медицина для населения была бесплатная, а у медиков и учёных тяга к знаниям только поощрялась) у меня были возможности заниматься лабораторно-экспериментальными исследованиями, в том числе исследовать причину акустического эффекта вследствие травматизации капсулы сустава.

Механизм возникновения хруста в дугоотростчатых суставах заключается в следующем. Во время манипуляции в данном суставе вначале при максимальном сближении суставных поверхностей с одной стороны сустава возникает зона локального напряжения. Для тех, кому трудно представить этот процесс вследствие отсутствия соответствующего опыта или наглядного анатомического пособия, приведу образное сравнение. Представьте себе, что ваша комната — это герметически замкнутая суставная полость дугоотростчатого сустава (вид изнутри), выстланная синовиальной мембраной (как вы помните, снабжённой множеством синовиальных ворсинок, богатых кровеносными сосудами). Потолок и пол — это суставные поверхности данного сустава. А стены комнаты — это стенки суставной капсулы, которая обладает определённой степенью эластичности, достаточной для того, чтобы демпфировать (нем. dampfen — приглушать) нагрузки, но в то же время обладает и прочностью, удерживая суставные поверхности по отношению друг к другу. Вместо воздуха в данной комнате всё до капельки заполнено несжимаемой, прозрачной, желтоватой синовиальной жидкостью (синовия; от греч. syn — «вместе», лат. ovum — «яйцо»). Она увлажняет суставные хрящевые поверхности (в нашем случае потолок и пол), а также внутреннюю оболочку суставной сумки (стены комнаты). Жидкость находится под определённым давлением, которое с одной стороны гасит нагрузки, с другой — не позволяет суставным поверхностям (в нашем образном примере, полу и потолку) сомкнуться, плотно удерживая их на определённом расстоянии друг от друга, но сохраняя при этом их функциональную подвижность, что позволяет совершать движение сустава. То есть обеспечивает амортизацию сустава и его подвижность.

Так вот, во время манипуляций мануального терапевта (внешней силы, воздействующей на потолок) происходит сдавление суставных поверхностей с одной стороны (в нашем образном сравнении потолок, к примеру с левой стороны комнаты, прижимается к полу). Жидкость, естественно, по законам физики, смещается в противоположную от локального напряжения сторону, слегка выпячивая соответствующую стенку суставной капсулы (правую стенку комнаты). Затем, с ещё большим усилием и с определённым напряжением мануальный терапевт начинает резко перемещать нагрузку в другую сторону (внешняя сила, прижимающая потолок к полу, перемещается слева направо). В момент манипуляции сустав «перекатывается» через несжимаемую внутрисуставную жидкость, перенося локальное напряжение в противоположную сторону данного сустава (к правой стенке комнаты). В этот момент жидкость соответственно перемещается под большим давлением на большой скорости в противоположную сторону (от правой стенки комнаты в левую), ударяясь о стенку капсулы (левую стенку) и растягивая её. В момент гидроудара при значительном прогибе суставной капсулы и получается характерный хруст — образовавшаяся звуковая волна (в слышимом человеческим ухом диапазоне частот). Напомню, что гидравлический удар образуется из-за резкого скачка давления в данной жидкости и вызван очень быстрым изменением скорости потока этой жидкости за очень малый промежуток времени. Именно такой гидроудар с характерным звуком, образовавшийся после соответствующих манипуляций мануального терапевта и порождает микротравматизацию суставной капсулы с микронадрывами, участками перерастяжения, микротрещинами (в том числе с участками кровоизлияния, которые хорошо видны в лабораторных условиях под микроскопом на соответствующих образцах данной ткани). А при значительных кровоизлияниях это уже можно наблюдать при диагностическом обследовании (МРТ).

Для общего понимания самого этого явления проведу образную параллель акустического «хлопка» с механизмом встряхивания какой-либо плотной ткани, к примеру ковра, подстилки и так далее. То есть, когда два человека берутся за углы ткани с противоположных сторон, затем поднимают ткань вверх, сближая руки, а потом резко опускают ткань, разводя руки в стороны. В результате происходит своеобразный хлопок ткани. Чем больше и резче будет сделан прогиб данной ткани, тем чётче будет слышен звук хлопка в воздухе. Так и в случае прогиба стенки суставной капсулы, которая играет важную роль при образовании звуковой волны в жидкой среде.

Далее внешнее давление мгновенно снимается (после характерного хруста действия мануального терапевта прекращаются). Часть жидкости в суставной капсуле от ударной волны начинает двигаться в направлении, обратном первоначальному направлению движения жидкости, а другая часть всё ещё следует за основным потоком внутри сустава. В этот момент молекулы сталкиваются, образуя своеобразные микрозавихрения, порождающие микроскопические пузырьки (согласно явлению кавитации), которые и увидели британские коллеги, посчитав их причиной хруста. Кавитация (от лат. cavitas — пустота) — это образование в капельной жидкости полостей, заполненных газом, паром или их смесью (так называемых кавитационных пузырьков, или каверн), вследствие местного понижения давления в жидкости, которое может происходить либо при увеличении её скорости (гидродинамическая кавитация), либо при прохождении акустической волны большой интенсивности во время полупериода разряжения (акустическая кавитация). В физике известен эффект разрушительного действия кавитации (например, на поверхность гидротурбин, гребных винтов, акустических излучателей и др.), когда кавитационный пузырёк, перемещаясь с потоком жидкости в область с более высоким давлением (или во время полупериода сжатия), быстро сокращается (захлопывается), что сопровождается звуковым импульсом. Если явление кавитации развивается так, что в случайные моменты времени возникает и сокращается сразу множество пузырьков, то возникает сильный шум.

Однако в нашем случае данные микроскопические пузырьки в суставной капсуле образуются весьма в малом количестве, к тому же они, не успевая возникнуть, почти сразу же и исчезают, поэтому эти пузырьки никак не могут служить причиной возникновения звуковой, ударной волны такой силы. В противном случае, если «пузырьковая теория» возникновения звуковой волны была бы верна, то характерный хруст воспроизводился бы сразу же после данной манипуляции при повторе действий. Однако в действительности звука в этом случае не наблюдается, хотя и происходят те же явления гидроудара и кавитации. Почему? Да потому, что после первичного гидроудара (когда рецепторы капсулы передали информацию об этом событии), происходит ответное спазмирование данного участка, соответственно стенки капсулы в этот момент уже напряжены и нет такого значительного прогиба суставной капсулы, как было первоначально до первой манипуляции. Поэтому подобный хруст сразу же после манипуляции повторить невозможно. Необходимо определённое время для того, чтобы спало напряжение капсулы. Кроме того, если бы «пузырьковая теория» была верна, то выделилась бы такая энергия, которая бы разрушила сустав. В этом случае мануальному терапевту хватило бы одной-двух манипуляций, чтобы человек навсегда остался без данных суставов.

Однако природа весьма продуманно и предусмотрительно создавала живые системы. Суставная капсула — это удивительное её творение, которому не чужды законы физики. Однако всё происходит в таких рамках, что позволяет суставу не только выдерживать значительные нагрузки, но и при этом относительно безопасно осуществлять свои прямые функции. Если брать явление кавитации в суставной капсуле, то оно образуется не только при вышеприведённом воздействии, но, например, при резких наклонах туловища, при прыжках с высоты, при резком подъёме тяжести и так далее. Но характерный звук «хруста» (щелчка) при данных явлениях отсутствует. Ошибка британских коллег заключается в том, что они изучали этот процесс на смоделированном приборе, изображающем физиологию сустава при сгибах и растяжении. Однако физика живого сустава гораздо более сложная, чем знания человека (при всём к нему уважении), сконструировавшего данный прибор.

Замечу, что хруст суставов бывает разный. Подобное явление, только в несколько других масштабах и иных физических расчётах, происходит при хрусте фалангами пальцев. Причём, так же как и в вышеописанном случае, после данного акустического эффекта вторая попытка проделать то же самое сразу с тем же пальцем не будет иметь успеха вследствие естественных физических законов. Ведь сразу после «хруста» возникает микротравматизация капсулы сустава, что вызывает её временное напряжение. В народе достаточно любителей «похрустеть косточками». Однако, если вы слышали рекомендации от старшего поколения о том, что хрустеть суставами вредно, то теперь, надеюсь, ознакомившись с данным процессом более обстоятельно, сами понимаете, что это действительно вредно. Привычка насильно «восстанавливать» таким образом суставные поверхности чревата дестабилизацией сустава, дополнительной нагрузкой на него, вывихами, подвывихами и другими неприятностями, особенно у тех, кто предрасположен к артритам. Так что берегите свои суставы от необдуманных действий вашей головы и может быть они прослужат вам долгую, исправную службу.

ЭКСПЕРИМЕНТ

Для лучшего понимания последствий применения метода мануальной терапии при лечении дегенеративно-дистрофического процесса, а также непосредственно тех процессов, которые происходят в дугоотростчатых суставах позвоночника после «устранения сублюксации», предлагаю вашему вниманию ознакомиться с одним из показательных экспериментов, который приведён ниже и описан в свободной форме.

Целью данного эксперимента являлось установление объективных изменений, визуально наблюдаемых на МРТ-снимках у пациента (волонтёра) с выраженным дегенеративно-дистрофическим процессом в межпозвонковых дисках поясничного отдела позвоночника, осложнённого спондилоартрозом дугоотростчатых суставов, при лечении методом мануальной терапии.

Пациент: мужчина, 49 лет. Впервые почувствовал боли в поясничном отделе позвоночника в возрасте 19 лет во время прохождения срочной службы в армии. Потом обострения бывали один раз в два-три года, как правило, осенью или весной. Последние несколько лет обострения стали частым явлением, а боли — более выраженными и продолжительными. В качестве лечения больной выбрал метод лечения мануальной терапией. До этого лечение данного пациента методами мануальной терапии или вытяжения позвоночника не проводилось.

Мануальный терапевт: врач, занимающийся частной практикой, стаж работы в качестве мануального терапевта — 17 лет.

Диагностическое обследование позвоночника пациента производилось на МРТ-оборудовании: SIEMENS «MAGNETOM CONCERTO» 0,2 Т (магнитно-резонансный томограф на основе использования постоянного магнита с напряжённостью поля 0.2 Тл с трёхстороннимдоступом к пациенту).

ПЛАН ПРОВЕДЕНИЯ ЭКСПЕРИМЕНТА

1. Провести МРТ-обследование поясничного отдела позвоночника до лечения методом мануальной терапии.

2. Провести МРТ-обследование сразу после проведения лечения методом мануальной терапии.

3. Провести МРТ-обследование после трёх сеансов мануальной терапии, с равным интервалом времени между сеансами (24 часа).

РЕЗУЛЬТАТ ЭКСПЕРИМЕНТА


На МРТ № 88 наблюдается состояние до лечения методом мануальной терапии: дегенеративно-дистрофический процесс во всех межпозвонковых дисках поясничного отдела позвоночника, спондилёз, остеофитоз, спондилоартроз дугоотростчатых суставов в сегментах LIII-LIV, LIV-LV, LV-SI а также стеноз фораминальных отверстий в данных сегментах.

На МРТ № 89 наблюдается состояние того же пациента сразу после проведения лечебного сеанса мануальной терапии (в течение одного часа).


Во время проведения манипуляций мануальным терапевтом пациент слышал характерный «хруст» в дугоотростчатых суставах позвоночника. Мануальный терапевт пояснил, что данный «хруст» говорит о том, что соотношения суставных поверхностей в дугоотростчатых суставах восстановлены, сублюксация устранена. Пациент также отметил, что после сеанса мануальной терапии он почувствовал явное облегчение боли, лёгкость, подъём настроения.

Объективно положительных изменений при визуальном сравнении МРТ-снимков до и после проведения лечебного сеанса мануальной терапии не наблюдается. Стеноз фораминальных отверстий без изменений, соотношения суставных поверхностей дугоотростчатых суставов — без изменений.

Объективно отрицательные изменения при визуальном сравнении МРТ снимков до и после проведения лечебного сеанса мануальной терапии наблюдаются и проявляются кровоизлиянием в полость дугоотростчатых суставов в сегментах LIII-LIV, LIV-LV, LV-SI


На МРТ № 90 наблюдается состояние того же пациента после проведения трёх лечебных сеансов мануальной терапии с 24-часовым интервалом между сеансами.

Объективно положительных изменений при визуальном сравнении МРТ-снимков до и после проведения трёх лечебных сеансов мануальной терапии не наблюдается.

Объективно отрицательные изменения при визуальном сравнении МРТ-снимков до и после проведения трёх лечебных сеансов мануальной терапии наблюдаются и проявляются значительным кровоизлиянием в полость дугоотростчатых суставов в сегментах LIII-LIV, LIV-LV, LV-SI.


Для лучшего визуального сравнения приводятся соответствующие увеличенные фрагменты (МРТ № 91, МРТ № 92, МРТ № 93) снимков МРТ (МРТ № 88, МРТ № 89, МРТ № 90), на которых наблюдаются фораминальные отверстия и дугоотростчатые суставы сегментов LIII-LIV, LIV-LV, LV-SI.

Вывод: исходя из объективного визуального наблюдения, согласно снимкам МРТ-обследования и их сравнения, можно сделать вывод, что применение мануальной терапии в данном конкретном случае положительных изменений не дало. Кровоизлияние в полости дугоотростчатых суставов поясничного отдела позвоночника после применения мануальной терапии можно считать отрицательным результатом.

Это одно из десятков таких исследований, которые я провёл в своё время, когда изучал последствия различных воздействий на позвоночник методами мануальной терапии. В большинстве случаев после подобного «устранения сублюксации» происходит кровоизлияние в полость дугоотростчатых суставов. У других исследователей, насколько мне удалось выяснить, также имелись аналогичные результаты. Более того, такой процесс наблюдался и при смертельных травмах, которые были зафиксированы при проведении аутопсии (патологоанатомическая или судебно-медицинская процедура посмертного вскрытия человека, с целью установления причины смерти). E. Emminger (1967), также упоминавший о подобных случаях, основываясь на морфологических исследований, пишет: «…устранение мануальным путём сублюксации сопровождается надрывом капсулы, кровоизлиянием в богато кровоснабжаемые периартикулярные ткани». Так что манипуляции мануального терапевта, при которых происходит хруст вашего позвоночника, — это далеко не безопасная процедура для организма. Помните об этом, когда на вашем жизненном пути повстречается «мануальщик образца XIX века» и будет вам рассказывать о том, что ваши «диски таким образом стали на место», «суставы восстановлены» и «сублюксация устранена».

Теперь давайте разберёмся, почему во время манипуляции мануального терапевта после хруста (в большинстве случаев) пациент испытывает необычайную лёгкость, почти эйфорию, после которой «проходит боль», «улучшается настроение» и так далее. Ответ простой: виновниками такого внезапно нахлынувшего состояния «облегчения боли» являются в основном эндорфины и энкефалины — биологически активные химические соединения с морфиноподобным действием, которые вырабатываются, в том числе при стрессах, и являются природными опиоидными пептидами, проще говоря «природными наркотиками».

Как происходит данный процесс? Обратимся к наблюдениям учёных за удивительно сложным, до конца ещё не изведанным миром биохимии организма, в частности к нейробиохимическим исследованиям. Однако вначале напомню следующую информацию. Как вам уже известно, в повседневной жизни, когда человек ходит, бегает, прыгает, поднимает тяжести, сгибает и разгибает туловище, в позвоночнике вся нагрузка распределяется только на три опоры в каждом позвоночно-двигательном сегменте: межпозвонковый диск и два дугоотростчатых сустава. Межпозвонковый диск, несмотря на то, что имеет сложную структуру, как химическую, так и механическую, практически не имеет нервных окончаний. В отличие от него дугоотростчатые суставы весьма хорошо иннервированы, то есть снабжены, как вы помните, механорецепторами (от греч. mechane — машина; рецепторы, воспринимающие механические раздражения извне), ноцицепторами (рецепторами боли; приставка ноци-, обозначает боль или какое-либо повреждение), проприоцепторами (лат. proprius — собственный, лат. receptor — принимающий; раздражаются при сокращении, напряжении или растягивании мышц) и так далее. Можно сказать, дугоотростчатые суставы просто «напичканы чувствительными датчиками», которые реагируют на изменения химического состава, температуры, механического давления, растяжения и другие раздражения, а также на их интенсивность.

А теперь вспомните механизм возникновения хруста и его последствия (кровоизлияние в полость дугоотростчатых суставов) и представьте себе, что это событие означает для весьма чувствительных по своей природе рецепторов («датчиков»). Ведь у последних нет «глаз» и они не видят, были ли это манипуляции мануального терапевта или воздействие дубиной по позвоночнику. Они всего лишь чётко реагируют на ситуацию. Для рецепторов это событие граничит с воздействием экстремальных факторов. Оно сигнализирует о нарушении функционального баланса, который ведёт к срыву адаптивных механизмов. Для нервных окончаний даже микрокровоизлияние в полость дугоотростчатых суставов равносильно местной аварийной ситуации в данном участке организма!

В связи с этим событием рецепторы моментально посылают сигналы в головной и спинной мозг. Напомню, что нервная система обеспечивает очень быструю связь между отдалёнными друг от друга частями тела и по своей сложности гораздо превышает даже весьма непростую иммунную систему организма. Мозг, приняв информирующие афферентные импульсы (лат. afferens — приносящий), расшифровав их, создаёт и посылает ответные управляющие эфферентные импульсы (от лат. efferens, efferentis — выносящий) по запуску новой «программы» для данного участка, ликвидации последствий. В том числе «включается» повышенная защита от стрессорных повреждений и запускается механизм активной выработки регуляторных пептидов нервной ткани, в том числе энкефалинов и эндорфинов с целью уменьшения болевых ощущений.

Энкефалины и эндорфины (эндогенные опиатные пептиды) синтезируются в нейронах головного мозга (преимущественно в лимбической системе, гипофизе, гипоталамусе), некоторых клетках кишечника, а также имеются в спинном мозге (содержащем также опиатные рецепторы, проводящие пути, участвующие в передаче болевых импульсов). Данные нейропептиды обладают способностью функционировать в качестве нейромедиаторов, нейромодуляторов, уменьшать боль (морфиноподобным анальгезирующим действием), влиять на эмоциональное состояние, поведенческие реакции. Биосинтез пептидов осуществляется под контролем центральной нервной системы (ЦНС), поэтому эти биорегуляторы поступают в кровь или спинномозговую жидкость по мере необходимости.

Повышенный выброс опиоидных пептидов (являющийся ответом организма на внешнее воздействие, которое повлекло за собой нарушение функционального баланса) вызывает состояние эйфории, резкого улучшения настроения, физического и психического «благополучия», как говорят в народе, состояние «беспричинной радости». Таким образом возникает защитная эмоциональная реакция на стресс, которая всего лишь на некоторый период временно обезболивает или приглушает болевые ощущения в поражённом участке. Продолжительность жизни данных регуляторных пептидов довольно короткая. Потом происходит их инактивация, деградация (процесс упрощения, обратного развития) и удаление из системы циркуляции. Остатки аминокислот, из которых они были в основном построены, вновь используются для других биохимических синтезов в организме. Поэтому чувство «облегчения» после соответствующего «хруста», травмирующего суставную капсулу дугоотростчатых суставов, явление временное. Выделение эндогенных опиатных пептидов не избавляет от «старой проблемы» — дегенеративно-дистрофических нарушений в позвоночнике!

Согласно нейробиохимическим исследованиям было установлено, что привыкание людей к какому-либо раздражителю (или агенту) связано с изменёнными уровнями концентрации эндогенных опиатных пептидов в организме. На основе подобных исследований изучается проблема наркомании, восприимчивость и зависимость от наркотиков. Более того, как я уже упоминал, эндогенные опиатные пептиды влияют и на поведенческие реакции. Экспериментальным путём было установлено, что введение данных пептидов (к примеру, вэндорфина) животным в дозах, которые были меньше, чем необходимы для обезболивания, вызывали у них специфическое поведение. Например, у кошек наблюдались приступы ярости, у крыс — состояние, подобное кататонии (психическое расстройство с преобладанием двигательных нарушений).

Любопытен и другой факт. Было замечено, что во время продолжительной непрерывной тренировки, длительных нагрузок, к примеру во время бега (марафонского бега, бега на лыжах и так далее), когда обычно поднимается болевой порог, у бегуна начинают вырабатываться эндорфины, вследствие чего появляется необычное состояние эйфории. Выдвигаются разные спорные теории о причинах, порождающих выработку этих биорегуляторов. До недавнего времени одной из доминирующих считалась теория о выработке эндорфинов в качестве ответной реакции организма на выделение адреналина, на боль в мышцах. Однако последние исследования говорят о её несостоятельности. Тогда какова причина? А причина в том, что при аналогичных нагрузках гораздо в большей степени, чем мышечная боль, на выработку эндорфинов влияет длительное раздражение чувствительных рецепторов в дугоотростчатых суставах позвоночника! И опять-таки мы возвращаемся к тайнам (так до конца и не исследованным) дугоотростчатых суставов.


На МРТ № 94 наблюдается позвоночно-двигательный сегмент в стадии развития дегенерации. Высота межпозвонкового диска ещё сохранена, однако уже наблюдается разрушение пульпозного ядра, нарушение гидратации и так далее. В общем, явные признаки развития дегенеративно-дистрофического процесса. Конгруэнтность дугоотростчатого сустава пока ещё не нарушена, суставная капсула визуально целая, но с явными признаками травматизации за счёт перерастяжения. Несмотря на такую травматизацию, вследствие нестабильности, выраженную дегенерацию, человек не чувствует боли из-за работы вышеупомянутых рецепторов в дугоотростчатом суставе, благодаря сигналам которых запускается механизм выработки эндогенных опиатных пептидов. То есть, получается своеобразный феномен: наблюдается постоянная травматизация, а боли человек не чувствует.

Однако когда, к примеру, речь идёт не только о травматизации дугоотростчатого сустава за счёт перерастяжения суставной капсулы, а о стенозе фораминальных отверстий с ущемлением спинномозгового корешка, то здесь уже пациент чувствует явную боль, поскольку организм не справляется с данной ситуацией. Своей «болью», в качестве сигнала «тревоги», он «даёт знать» человеку о наличии серьёзной проблемы.


На МРТ № 95 и МРТ № 96 наблюдается практически идентичная картина дегенеративно-дистрофического процесса в поясничном отделе позвоночника у двух разных людей. Исправление физиологического лордоза, значительное снижение высоты межпозвонкового диска в сегменте LV—SI. За счёт сглаживания лордоза суставные поверхности дугоотростчатых суставов, подобно створкам раковины моллюска, раскрываются, суставная капсула растягивается, работа сустава извращается.

В данных случаях в сегментах LV—SI отмечается значительное снижение высоты межпозвонковых дисков, что приводит к образованию подвывиха в дугоотростчатых суставах, который сопровождается смещением верхних суставных отростков нижележащих позвонков кверху и несколько кпереди, стремлением упереться в дужку вышерасположенного позвонка. В нижнем сегменте (МРТ № 96) отчётливо видно, что вследствие подвывиха и смещения суставов образуется не только стеноз межпозвонкового отверстия, но (что важно) происходит и перерастяжение суставной капсулы. В такой ситуации даже сигналы рецепторов дугоотростчатых суставов уже не в состоянии «погасить» возникшую боль.

Так что у организма свои правила и не всегда можно беспечно рассчитывать на эндорфины. Кстати, в популярной литературе (с лёгкой руки журналистов) часто пишут о том, что эндорфины являются «гормонами счастья». Это утверждение не имеет под собой оснований. Эндорфины, так же как и другие подобные вещества в организме, которые открыты на сегодняшний день, являются всего лишь химическими соединениями, концентрация которых меняется эпизодически под влиянием внешних или внутренних факторов. Как известно, концентрация гормонов (от греч. hormao — возбуждаю, привожу в движение; биологически активные вещества, выполняющие важные биохимические и физиологические регуляторные функции) подвержена периодическим колебаниям, ритм которых может зависеть как от внутренних факторов, так от внешних (в том числе от времени дня, месяца, времени года). Всё это находится под сложным контролем ЦНС.

Конечно, на сегодняшний день некоторые учёные не теряют надежды искусственным путём синтезировать природные наркотики организма. В прессе муссируется тема, что в случае успеха это улучшит жизнь людей. Однако данное мнение ошибочно. Это будет способствовать только привыканию и зависимости людей от нового синтезированного «продукта» как от очередного наркотика. В конце концов этот эксперимент закончится тем, чем в своё время закончился классический эксперимент учёных над крысами. В данном опыте в мозг крысам вживляли электроды, стимулирующие определённые участки гипоталамуса, участвующие в выработке эндорфинов. Электроды связывались с педалями, нажав на которые грызуны могли самостоятельно приводить их в действие. Так вот, крысы, установив связь между педалью (провоцирующей разряд) и удовольствием (выделением эндорфинов), отказывались от пищи, питья, размножения, привычной деятельности и занимались постоянным нажатием данной педали. Через некоторое время, как факт, эти крысы умирали от жажды или от истощения. Причина такого «крысиного удовольствия» — стимуляция выработки эндорфинов под действием электрических разрядов.

Однако человек — это гораздо более сложно организованное существо, чем животные. Конечно, прорыв науки последнего столетия, успехи нейробиохимических исследований организма человека бесспорны. И всё же это только начало большого пути. Новые открытия порождают лишь новые вопросы и обнаруживают ещё большие пласты неисследованных горизонтов. Современное состояние нейробиохимических исследований можно охарактеризовать лишь как поиск подходов к таким серьёзным проблемам, как работа интегральных функций мозга. Как я уже упоминал, организм человека находится под сложным контролем ЦНС и очень многое в нём зависит от мысли человеческой, природа которой, очевидно, лежит гораздо глубже молекулярной биохимии. Но если когда-нибудь учёным удастся расшифровать и эту тайну человека, то возможно общество осознает, почему, к примеру, когда человек бескорыстно творит добро, то чувствует себя по-настоящему счастливым, получает истинное удовольствие, удовлетворение от прожитой жизни и это состояние сознания несопоставимо с примитивным удовлетворением элементарных потребностей организма или эгоистическими удовольствиями. Я почему-то уверен, что эти эволюционные открытия в науке в сущности своей окажутся давно забытой древней мудростью, известной в различных очагах древних цивилизаций, сохранивших крупицы знаний для своих потомков — современного человечества. Как говорил Сократ: «В каждом человеке — солнце. Только дайте ему светить».

Думаю, что с высоты эволюционных открытий будущего науки будут более понятны и поступки людей, которым только кажется, что они совершают добро. Взять хотя бы образ мышления мануального терапевта, скажем так лучшего из представителей этой профессии. Ведь человек действительно искренне верит в то, что он помогает своему пациенту. Представьте, что чувствует мануальный терапевт после того, как он «убрал» боли, к примеру в поясничном отделе позвоночника своего пациента. Боли, которые мучили того не один день, а порой и не один месяц. Естественно, он будет чувствовать гордость за свой труд и радость за больного, всего лишь устранив сублюксацию в дугоотростчатых суставах позвоночника, ведь он «избавил своего пациента от страданий»! Откуда человеку знать, что от этих манипуляций биомеханика позвоночника данного пациента только усугубилась и что дегенеративно-дистрофические изменения теперь будут прогрессировать намного быстрее? Он ведь даже не догадывался, «творя добро», что изменения, привнесённые им в поясничный отдел позвоночника пациента, отразятся даже на положении позвонков в шейном отделе и неизбежно спровоцируют развитие дегенерации и в них. А это, в свою очередь, может способствовать развитию болезней, на первый взгляд вроде и не связанных с позвоночником. Ведь эта информация мануальному терапевту неведома, поэтому он и тешит себя мыслью, что честно отработал свой кусок хлеба. Это, повторяю, относится к лучшим представителям этой профессии — людям, у которых есть желание помочь пациентам и разобраться в тонкостях своей профессии. Остальные, как правило, прикрывают своё незнание непомерными амбициями и ссылкой на корифеев науки, вроде Гиппократа. Так что «виноватых нет, есть пострадавшие». Ведь в теории наука вертебрология — это ещё и целый некрополь различных гипотез. На практике же многие из предположений выглядят вовсе не так, как желали бы видеть теоретики. Вот и получается «чёрный юмор», как сказал Томас Гексли: «Вечная трагедия науки: уродливые факты убивают красивые гипотезы».

Укрепление мышечного корсета
Подобная «трагедия» наблюдается и с методами «лечения» остеохондроза (и его осложнений) с помощью упражнений, направленных на укрепление мышечного корсета. Существует гипотетическое предположение, что остеохондроз прогрессирует из-за «слабости мышц», поэтому считается, что достаточно их укрепить (закачать) и «мышцы начнут лучше удерживать позвоночные сегменты», «межпозвонковые диски будут разгружаться, восстанавливаться», так как «часть нагрузки возьмут на себя мышцы, играя роль антигравитационного воздействия на позвоночник». При этом считается, что произойдёт «полная реабилитация позвоночника», так как снимутся болевые синдромы и, следовательно, «излечится остеохондроз».

Как говорится, мечтать не вредно. Медицина, хотя и является на данном этапе наукой во многом «приблизительной», а всё же в ней уже чётко просматривается связь с точными науками и их законами. Очевидно вышеупомянутые заявления о том, что мышцы способны играть роль силы «антигравитационного воздействия на позвоночник» говорят о том, что заявители сей гипотезы явно далеки от знания не только законов физики, но и от элементарной анатомии (миологии — учения о мышцах) человеческого тела. Иначе они бы знали, что в человеческом теле нет мышц, которые бы приподнимали позвоночные сегменты вверх и таким образом уменьшали бы компрессионные нагрузки на поражённые дегенеративно-дистрофическим процессом межпозвонковые диски. Учитывая законы физики, все мышцы «тянут» позвоночник вниз. А так как опора позвоночника — это элементы позвоночного сегмента (межпозвонковый диск и два дугоотростчатых сустава), то при укреплении мышечного корсета позвоночника возрастает компрессионная нагрузка на опорные структуры позвоночника. Если в последних есть дегенеративно-дистрофические изменения, то это неизбежно приведёт к более быстрому прогрессированию данной патологии.

Это равносильно следующей ситуации. К примеру, вы являетесь автомобилистом и обнаружили, что в машине есть проблемы с шаровой опорой (важной опорной деталью подвески автомобиля). Вы обращаетесь за помощью к автослесарю. А он, вместо реального ремонта и замены данной детали, советует вам в качестве альтернативы максимально нагрузить машину кирпичами и с таким грузом покататься по бездорожью. Естественно, вы, выслушав советы такого «знатока» машин, развернётесь и поедете от этой автомастерской и её специалистов как можно дальше. Почему? Потому что прекрасно понимаете, что если последуете такому «совету», то не только ускорите процесс разрушения шаровой опоры, но и заодно испортите и многие другие детали машины. Таким образом, ваша машина выйдет из строя гораздо быстрей, чем если бы вы потихоньку ездили на ней с её нынешними проблемами. Здесь ситуация ясна. То же самое наблюдается и при процессах, происходящих в позвоночнике во время укрепления мышечного корсета. Только в данном случае, в отличие от машины, опорными структурами, как я уже упоминал, являются межпозвонковый диск и два дугоотростчатых сустава. Если их дополнительно нагружать в попытке укрепить мышечный корсет, — процесс разрушения в данных опорах ускорится.

Откуда же родилась такая идея закачки мышечного корсета? Логично предположить, что первичным источником для разработки этой идеи послужили книги по лечебной физкультуре (ЛФК). Лечебная физкультура известна издревле: лечебные гимнастики, поддержание здорового образа жизни в качестве профилактики болезней были популярны, к примеру, в Древнем Китае, Древней Индии, Древнем Египте, Древней Греции. В движении усматривали целую философию жизни. К примеру, один из создателей оздоровительной гимнастики знаменитый китайский медик Хуа То, живший в в Ханьскую эпоху (эпоха Троецарствия), считал: «Тело требует упражнений, но не до изнеможения, ибо упражнения предназначены для того, чтобы устранять дурной дух из организма, способствовать кровообращению и предотвращать недуги», «Если ручка двери часто движется, она не ржавеет, так и человек, если он много двигается, то не болеет». Древние лекари с помощью лечебной гимнастики пытались помочь восстановить здоровье пациентов при разных заболеваниях. К примеру, в монастырях пользовалась успехом трудотерапия, особенно при лечении психических заболеваний. Но главная цель лечебной физкультуры, безусловно, была профилактическая.

В современном мире ЛФК полезна для здоровых людей в качестве профилактики, то есть предупреждения развития заболеваний. Это та же лечебная гимнастика, дозированная ходьба, плавание, спортивные игры, туризм, терренкур и так далее. Всё то, что способствует здоровому образу жизни. Кроме того, в современной медицине метод ЛФК является весьма полезным, особенно в реабилитационный период для пациента, например, после травмы или операции. Он предполагает определённую двигательную активность, имеется в виду разработка движений в суставе после снятия гипса, обучение ходьбе после травмы или соответствующей операции, применение лечебно-профилактического массажа и так далее. Одним из ярких примеров удачной реабилитации (от лат. rehabilitatio — восстановление) является случай, произошедший с Валентином Ивановичем Дикулем — человеком, который после травмы позвоночника и перспективы остаться инвалидом на всю жизнь, смог стать на ноги и вернуться к активной жизни.

Для тех, кто ещё не знает об этом легендарном человеке: в 1962 году, в возрасте почти пятнадцати лет, во время исполнения своего первого циркового номера воздушной гимнастики, из-за лопнувшей стальной перекладины, к которой крепилась страховка, Валентин Иванович Дикуль упал с 13-метровой высоты. При падении он получил, исходя из официального диагноза врачей, «компрессионный перелом позвоночника в поясничном отделе, черепно-мозговую травму» и множество локальных переломов. Однако полного разрыва спинного мозга не было! После травмы ноги паренька не двигались и он мог остаться инвалидом. Это теперь медикам известно (в том числе и благодаря примеру Дикуля), что при таких травмах благоприятный исход вполне возможен, да и спинной мозг после травмы восстанавливается, пусть и очень долго, порой годами, но при правильной реабилитации можно добиться многого. Но в те годы ни врачи, ни Валентин Иванович этого не знали. Однако этот 15-летний пациент стремился во что бы то ни стало выздороветь и делал для этого всё возможное и невозможное, разрабатывая мышцы движениями и физическими упражнениями. Благодаря упорным тренировкам, он смог из инвалидной коляски встать на костыли, а затем и вовсе смог вернуться на арену в качестве силового жонглёра, не уступая в мастерстве здоровым артистам: жонглировал «пушечными ядрами» весом по 45 кг, подбрасывал гири весом в 80 кг, раскручивал штангу в 120 кг и так далее. Как говорится, если пациент хочет жить — медицина здесь бессильна. Самое главное, что этот человек не сдался! Теперь Дикуль — это не просто фамилия, это луч надежды для тысяч людей, прикованных к инвалидным коляскам, живой пример для тех, кто волей судьбы попал в аналогичную ситуацию. В 1988 году был открыт центр Дикуля — «Российский центр реабилитации больных со спинномозговыми травмами и последствиями детского церебрального паралича». В последующие годы под научным руководством Валентина Ивановича были открыты ещё несколько центров, ряд реабилитационных клиник в России, Израиле, Германии, Польше, Америке и т. д.

Это замечательный пример, как после травмы с помощью реабилитации можно встать с инвалидной коляски. Однако люди часто путают грешное с праведным. Современные пропагандисты метода укрепления мышечного корсета часто ссылаются на методику Дикуля по реабилитации больных со спинномозговыми травмами, утверждая, что подобная закачка мышц помогает и при лечении дегенеративно-дистрофических заболеваний. Это «приравнивание» равносильно одному старому анекдоту. Как-то в селе люди столпились возле большого дерева, чтобы помочь мужчине, который находился вверху на дереве и никак не мог с него слезть, призывая о помощи. Мимо проходил прохожий. Остановившись, он сказал, что знает, что надо делать и попросил кинуть пострадавшему один конец верёвки, чтобы тот обвязал её вокруг пояса. Когда это было сделано, то прохожий попросил мужиков потянуть за второй конец верёвки. Так и сделали. В результате пострадавший свалился с дерева и разбился. Когда люди стали возмущаться неразумным советом прохожего, тот ответил: «Так я думал, что это поможет. Вчера так же одного мужика из колодца вытянули, так тот живой остался». Так и с укреплением мышечного корсета (как с верёвкой из анекдота): в случаях реабилитации больных со спинномозговыми травмами (без разрыва спинного мозга!) это помогает (вытаскивает человека из колодца), а в других случаях — при дегенеративно-дистрофических заболеваниях позвоночника, особенно если это связано с наличием межпозвонковых грыж, — инвалидизирует!

Укрепление мышечного корсета ориентировано, в первую очередь, на снятие боли, а не на устранение дегенеративно-дистрофического процесса в позвоночнике. Если правильно подобрать упражнения на растяжение под нагрузкой или «тяговые» и ротационные на тренажёрах, даже простые приседания со штангой, то данные упражнения способны во многих случаях значительно снизить болевые ощущения или же на некоторое время убрать их полностью. Это происходит по той же причине, что и при различных методах растяжения или вытяжения позвоночника. Даже если упражнения подобраны таким образом, что не позволяют восстановить соотношения суставных поверхностей дугоотростчатых суставов (убрать «сублюксацию»), а наоборот усиливают их «сползание» и перерастяжение суставной капсулы (приседание со штангой), значительно нагружая её, то всё равно происходит раздражение рецепторов, которые, как вы уже знаете, причастны к запуску «программы» по производству тех же эндогенных морфинов — эндорфинов и других опиоидных пептидов. Однако усиленная травматизация поражённых сегментов, как вы уже наблюдали на снимках МРТ, ускоряет процессы дегенерации в позвоночнике. То есть значительно сокращает сроки «эксплуатации» позвоночника и облегчает путь к инвалидности. Если кто ещё в этом сомневается и свято верит в рекламу «лечения» данным методом при дегенеративно-дистрофических процессах, пусть сделает контрольный снимок МРТ спустя, к примеру, месяц (не говоря уже о больших сроках) после укрепления мышечного корсета и самолично убедится в достигнутых «результатах».

Так что вышеописанные методы вполне можно отнести к профилактическим методам, поскольку, по сути, они направлены на то, чтобы предупредить развитие остеохондроза, но ни в коей мере не как лечебные мероприятия при развитии дегенеративного процесса в позвоночнике. То же можно сказать касательно мануальной терапии. Данный метод эффективен только тогда, когда есть основания к его применению, например при травматическом подвывихе в дугоотростчатом суставе. Но применение данных методов при выраженных дегенеративно-дистрофических изменениях в межпозвонковых дисках, а тем более осложнённых протрузией или грыжей, абсолютно не обоснованно, так как неизбежно ведёт к более быстрому прогрессированию этих патологий. Поэтому надо понимать, какова будет в дальнейшем расплата вашим здоровьем, если вы решитесь устранить болевые синдромы данными методами. Ведь одно дело подвергать здоровье такому риску осознанно, вследствие каких-либо личных обстоятельств, и другое дело — необдуманно, не догадываясь о последствиях.

Тем не менее должен заметить, что эти методы — мануальная терапия, ЛФК, укрепление мышечного корсета, несмотря на имеющиеся недостатки, будут востребованными ещё довольно длительное время. Это обусловлено рядом объективных причин, среди которых рост числа заболеваний опорно-двигательного аппарата среди населения, наблюдаемый практически по всему миру, общество, в котором мы живём, темпы развития медицины в изучении данных патологий. В связи с этим хотелось бы, чтобы эти методы перестали быть предметом споров и заняли своё достойное и заслуженное место в вертебрологии. А это возможно только в условиях непредвзятого аналитического осмысления положительных и отрицательных результатов, причём не только ближайших, но и главное отдалённых последствий лечения упомянутыми выше методами. В вертебрологии в каждом конкретном случае приоритеты должны отдаваться тем методам и способам, которые будут наиболее эффективны в плане лечения и безопасны даже в отношении отдалённых последствий для каждого пациента.

Хирургическое лечение
Несмотря на то, что грыжи межпозвонкового диска относительно редко требуют хирургического вмешательства и операционные способы удаления грыж должны применяться только в исключительных случаях, в сознании нынешнего общества, к сожалению, всё происходит с точностью до наоборот. На сегодняшний день это самый распространённый способ «лечения», а точнее не лечения, а удаления грыж межпозвонкового диска. Почему существует такой парадокс? Во-первых, потому что в сознании многих врачей существует устаревшее, закоренелое мнение, что грыжа межпозвонкового диска не лечится и её можно удалить только хирургическим способом. И если ранее перепуганных пациентов «загоняли» в хирургию недобросовестные невропатологи, обрисовывая пациенту в самых мрачных тонах удручающую картину его здоровья, если он не сделает операцию, то теперь этим уже занимаются даже некоторые специалисты из диагностических центров.

Во-вторых, даже если человеку попался добросовестный врач, который за неимением информации о нехирургических способах лечения грыжи межпозвонкового диска направляет пациента на консультацию к хирургу, очень важно насколько самому пациенту повезёт с хирургом. Ведь добросовестные хирурги не будут советовать пациенту ложиться на операцию при наличии «любой грыжи» или незначительных проблем в позвоночнике (например, при наличии протрузии или «для профилактики грыжеобразования»), а только в том крайнем случае, когда есть 100 % показания к операции. Например, при секвестрированной грыже межпозвонкового диска, когда произошло серьёзное повреждение структур спинного мозга и, как следствие, идёт процесс прогрессирования болезней центральной нервной системы. В этом случае вертеброгенные заболевания нервной системы довольно сложны в лечебном плане и часто приводят к инвалидизации больных. В таких ситуациях хирургическое вмешательство абсолютно оправдано! Как говорится, из двух зол выбирают меньшее. На сегодняшний день почти каждый хирург, практикующий в области вертебрологии, знает, что хирургическое удаление грыж межпозвонкового диска влечёт за собой рецидивы, а также различные постхирургические осложнения. Повторные операции ещё больше нарушают биомеханику позвоночника и дестабилизируют компенсаторные механизмы, что в дальнейшем, в большинстве случаев, приводит к инвалидизации пациента.

Это является актуальной проблемой в хирургии позвоночника, проблемой, которая ещё ждёт своего научного и практического разрешения. Как-то, присутствуя на научной дискуссии по данным вопросам, один знакомый высококвалифицированный хирург с большим опытом работы, которого я глубоко уважаю не только как специалиста, но и как человека, привёл в разговоре со мной один достаточно ёмкий, сравнительный пример, что такое хирургическое удаление грыж межпозвонкового диска. Он сравнил позвоночник человека с многоэтажным жилым домом, у которого вследствие проседания грунта (дегенеративно-дистрофических процессов в позвоночнике) и соответственно образования опасного угла наклона, перекоса здания (нарушения биомеханики позвоночника) произошло выпячивание стенки (грыжа диска) на первом этаже (в большинстве случаев грыжи диагностируются в поясничном отделе), которая перекрыла вход в подъезд. Вызванная жителями этого дома бригада МЧС (бригада ассистентов во главе с хирургом) оперативно производит «вырубку» выпятившейся стены (грыжи диска), которая перекрыла вход в подъезд. Выбор способов вырубки стены сопоставим с выбором хирургических методов устранения грыжи межпозвонкового диска. Однако, несмотря на такое оперативное вмешательство, даже при условии, что оно будет выполнено безукоризненно, перекос фундамента и самого здания останется неизменным. То есть, ликвидируется всего лишь следствие. Основная же причина остаётся и дегенеративно-дистрофический процесс продолжает прогрессировать! Операции на позвоночнике по удалению грыж межпозвонкового диска комплексно проблемы не устраняют! Поэтому ещё в те годы мы пришли к выводу, что надо разрабатывать принципиально новую, инновационную концепцию фундаментального решения данного вопроса, вести научные, перспективные исследования в этом направлении для того, чтобы не только уметь составлять точный прогноз развития и течения дегенеративно-дистрофического процесса в позвоночнике, но и максимально оптимизировать лечебные программы с наименьшим риском для пациентов.

Для того чтобы вы лучше понимали ответственный труд хирургов, немного разбирались в вопросах и проблемах, связанных с результатами хирургического лечения, приведу из своего документального медицинского архива несколько показательных снимков МРТ из истории болезни пациентов до того, как они посетили мою клинику. Естественно, ни фамилии данных пациентов, ни фамилии оперировавших их хирургов не указываю из этических соображений. Уверен, что данные снимки будут интересны как пациентам, так и специалистам, практикующим в области вертебрологии.


МРТ № 97

На МРТ № 97 у шестнадцатилетней пациентки наблюдается секвестрированная грыжа межпозвонкового диска в сегменте LIV-LV.


На МРТ № 98 у той же пациентки наблюдается послеоперационный рецидив грыжи межпозвонкового диска в сегменте LIV—LV

На МРТ № 99 у той же пациентки наблюдается рецидив после двух операций, секвестрированная грыжа межпозвонкового диска LIV—LV


Этот случай, к сожалению, далеко не единственный. У данной пациентки, молодой девушки, впервые появились боли в поясничном отделе позвоночника в возрасте 15 лет. Родители обратились в районную больницу, где девушку пролечили медикаментозно. Боли прошли. Практически полгода она чувствовала себя хорошо. После физической нагрузки боли возобновились. Но на этот раз родители, поддавшись рекламе, решили вместо районной больницы обратиться в частный медицинский центр. Девушку осмотрел врач и, не удосужившись отправить пациентку на диагностическое обследование, просто предложил родителям приобрести в данном медцентре специальное приспособление для вытяжения позвоночника под собственным весом (с регулируемым углом наклона по отношению к полу и регулируемым положением ручек захвата на нём для рук). Вдобавок к этому приспособлению в медцентре выдали обучающую брошюру с описанием комплекса силовых упражнений на этом устройстве для укрепления мышечного корсета и на этом их «лечение» закончилось. Первое время занятий на данном приспособлении действительно давали девушке временное облегчение. Но вскоре начался обратный эффект.

После появления сильных болей в ноге родители всё-таки обратились в больницу, где врачи провели обследование девушки и диагностировали секвестрированную грыжу межпозвонкового диска (МРТ № 97). Пациентку направили на консультацию к нейрохирургу. В нейрохирургии ей и её родителям категорически заявили, что необходима срочная операция. На вопрос родителей — «можно ли обойтись без операции», ответили однозначным «нет», пояснив, что грыжи межпозвонковых дисков без операции вылечить невозможно! Также доходчиво объяснили, что если не прооперировать, оставить грыжу таких размеров, то возникнет масса различных осложнений, из-за которых о будущем материнстве данной девушке можно будет только мечтать. Естественно, что после таких «аргументов» родители согласились на операцию без всяких колебаний.

Хирурги, с целью минимизировать постхирургические осложнения, так как пациентка была ещё слишком молода, провели наиболее щадящую операцию — лазерное выпаривание грыжи межпозвонкового диска. Операция прошла успешно. Пациентка на протяжении месяца чувствовала себя хорошо, соблюдала режим. Обострение произошло неожиданно. Сделали повторное МРТ (№ 98), диагностировали рецидив грыжи межпозвонкового диска. К сожалению, это закономерный результат, который можно было легко спрогнозировать ещё до операции, так как выраженные дегенеративные изменения в сегменте LIV-LV при значительной его высоте, нестабильности данного сегмента, нарушения биомеханики в позвоночнике неизбежно ведут к аналогичным результатам.

Данной пациентке провели повторную операцию, на этот раз уже «микродискэктомию». После второй операции боли уменьшились, но полностью не прошли. Онемение в ноге усилилось, стопа повисла (парез стопы). Врачи пояснили, что после операций на позвоночнике «такое бывает и скоро пройдёт». Лечили медикаментозно, а также при помощи физиотерапии.

Но улучшения не наступало. Провели обследование МРТ (№ 99), на котором вновь выявили рецидив грыжи межпозвонкового диска. В таком состоянии родители привели девушку ко мне в клинику.

Следующий случай постхирургического рецидива не менее удручающий, несмотря на то, что пациент оперировался по новым технологиям.


На МРТ № 100 наблюдается грыжа межпозвонкового диска LIV-LV Состояние до операции. На МРТ № 101 наблюдается послеоперационный рецидив грыжи межпозвонкового диска в сегменте LIV-LV.

Несколько лет назад у данного парня диагностировали грыжу межпозвонкового диска (МРТ № 100). Врачи сказали, что надо срочно оперироваться, однозначно, иначе будут проблемы как с ногами, так и с органами таза. Естественно, это сообщение вызвало страх у молодого парня, тем более его убедили, что грыжи межпозвонкового диска без операции, то есть консервативно, не лечатся. Парень согласился на операцию. Со слов пациента, практически год после операции он чувствовал себя неплохо, «побаливало иногда, но в пределах терпимого». Состояние было относительно удовлетворительное. Однако позже боли начали усиливаться, перешли на ноги. Ещё один год пациент лечилсяконсервативно. Лежал в неврологическом отделении, затем лечился в санатории. Физических нагрузок после операции не было. То есть, по сути, применялись медикаментозные методы лечения, физиотерапия. Методы вытяжения позвоночника и мануальной терапии не применялись. И всё же, несмотря на такой щадящий подход в лечении, боли возобновились. Сделали повторное МРТ (№ 101), диагностировали рецидив грыжи межпозвонкового диска. Естественно, предложили повторную операцию. На этот раз пациент отказался. Через знакомых узнал о методе вертеброревитологии и обратился ко мне в клинику.

Хочу обратить ваше внимание на такой факт: оперировался данный пациент в Москве «по новым технологиям», где после обычной малоинвазивной операции, с целью профилактики рецидивов, ему провели специальным лазером прогревание остатков межпозвонкового диска. К сожалению, я уже не раз сталкивался с последствиями такого «прогревания». Должен сказать, что сложно работать с позвоночником таких пациентов, восстанавливая его биомеханику, и в частности с такими сегментами, в которых межпозвонковые диски после хирургического вмешательства были повреждены подобным прогреванием.

Проблема термостабильности тканей межпозвонкового диска исследуется давно и, как говорится, «стара как мир». Лазерное прогревание — это всего лишь очередная модификация данной технологии, с применением нового оборудования, но того же старого, не исследованного до конца способа решения данной проблемы. Повторяю, это ещё находится в стадии изучения. Не следует обольщаться и предварительными результатами современных исследований. Ведь исследования проводятся на опытных образцах тканей диска. Но это ещё далеко не означает, что именно так ткани диска будут вести себя в условиях сложной системы функционирования живой материи (в которой, как вы помните, далеко ещё не всё изучено даже на уровне молекулярной биохимии) и главное — при биомеханических нарушениях в позвоночнике. Ведь межпозвонковый диск, образно говоря, всего лишь звено в цепи. Если позвоночник (цепь) будет подвергаться биомеханическим нарушениям (деформации), то это неизменно отразится на диске, какими бы методами данный диск не пытались восстановить (предполагаемыми генетическими, нынешними лазерными, крио- и так далее). Проблему надо решать в комплексе! Однако об этом подробнее в следующей главе.

Ещё несколько слов о лазерном прогревании повреждённых тканей межпозвоночного диска. Почему в рекламах расхваливают эффективность данного метода? Дело в том, что после обработки (нагревания) лазером межпозвонкового диска, в ответ на термотравму тканей, происходит гипергидрация данного диска, он как бы отекает изнутри, набухает. И в общем-то первое время создаёт впечатление интенсивно выздоравливающего диска (на чём и держится реклама). На самом деле, через относительно небольшой период времени, ткани диска разрушаются (отёк спадает, остаются лишь мёртвые клетки). Возникает рецидив болезни, поэтому, как правило, через полгода рекомендуют опять обработать лазером оставшиеся живые клетки, и снова отёк и иллюзия выздоровления. Вполне закономерно, что через некоторое время в результате подобных манипуляций как правило рецидивов уже не возникает, так как диск безвозвратно разрушается. Как сказал один из выдающихся нейрохирургов с мировым именем по поводу данного метода: «Только глупец может ожидать появление цыплят, высиживая варёные яйца». В принципе врачи, рекламируя данный метод, среди многих обещаний о «восстановлении диска», говорят и вполне честно о том, что после применения лазерного прогревания диск фибротизируется и васкуляризируется, правда без расшифровки, что это означает. А по сути это означает, что ткани диска отмирают и процесс переходит в стадию сращивания тел позвонков между собой, что, естественно, влечёт за собой биомеханические нарушения в позвоночнике и ускоряет процесс дегенерации в других сегментах позвоночника.

Сейчас метод лазерного прогревания сделали «модным», называя его «новым». Но когда возрастёт число нареканий на данный метод, то очевидно его заменят другим «высокотехнологичным», «новым», «модным» методом обработки поражённых тканей межпозвонкового диска с помощью криодеструкции, то есть с помощью зоны замораживания поражённого участка ткани. Вернее сказать не «новым», а хорошо забытым старым методом, поскольку о подобных методах воздействия на ткань, о криоисследованиях известно уже давно. Криохирургическое лечение безусловно эффективно во многих областях нейрохирургии, к примеру при лечении больных с эпилепсией, различными экстрапирамидными гиперкинезами, для деструкции опухолей головного мозга и сосудистых мальформаций. Однако данное лечение, так же как и лазерное прогревание, будет бесполезно, если его применять с целью восстановления поражённого межпозвонкового диска, поскольку и в данном случае этот метод фундаментально не решит поставленной задачи.

Чтобы вы лучше понимали, как выглядит позвоночник когда в позвоночном сегменте уже нет диска и происходят вышеупомянутые процессы фибротизации и васкуляризации (относящиеся к последней стадии развития дегенеративно-дистрофического процесса), приведу ещё один снимок пациента после многократных хирургических вмешательств.


МРТ № 102


На МРТ № 102 хорошо видно, как после многократных хирургических вмешательств образуется множество послеоперационных рубцов, спаек и других проблем в позвоночнике. То есть, созданы все условия для фибротизации (перерождения ткани диска, образования фиброзных волокон) и васкуляризации (лат. vas — сосуд; формирования новых капилляров, в данном случае при процессе сращивания костной ткани). Всё это способствует сращиванию двух смежных тел позвонков, лишённых диска. В свою очередь это исключает подвижность в данном сегменте, приводит к стенозу фораминальных отверстий (как вы помните, это отверстия, через которые проходят нервные корешки и сосуды). Вдобавок ко всему, послеоперационные спайки и рубцы в спинномозговом канале могут способствовать развитию воспалительных процессов, о которых уже упоминалось выше. Нарушение функциональной способности данного позвоночного сегмента ведёт к ещё большим биомеханическим нарушениям в позвоночнике, соответственно частичной утрате его рессорных свойств, а следовательно, значительному снижению сопротивляемости к разнообразным вертикальным нагрузкам.

Как правило, в таких случаях, когда межпозвонковый диск безвозвратно утрачен или при наличии «необратимых изменений анатомической структуры межпозвонковых дисков», хирурги предлагают сделать другую операцию с использованием ортопедических методов оперативного лечения (тотальная дискэктомия с межтеловым спондилодезом). Дискэктомия (discectomia; discus intervertebralis — межпозвонковый диск; ectomia от греч. ektome — вырезание, иссечение, удаление) — хирургическая операция удаления межпозвонкового диска. Спондилодез (spodylodesis; от греч. spodylos — позвонок, desis — связывание) — операция, направленная на обездвижение какого-либо сегмента или отдела позвоночника; межтеловой спондилодез — хирургическое соединение тел позвонков по типу слияния. Данная операция предусматривает полное (тотальное) удаление дегенерирующего межпозвонкового диска и последующее его замещение имплантантом (неподвижной или подвижной конструкции, хотя разница по последствиям невелика). Естественно, после такой операции рецидива грыжи межпозвонкового диска в данном сегменте просто не может быть, так как нет и самого диска (но это не исключает грыжеобразование в других сегментах позвоночника вследствие нарушения его биомеханики). Основной целью данной операции является сохранение высоты дискового промежутка и размеров межпозвонковых отверстий. Конечно, живой диск это не заменит и полноценной функциональной подвижности в данном сегменте также не вернёт (соответственно, всего лишь незначительно стабилизирует нарушенную работу мышц, связок). Безусловно, глобально это проблемы позвоночника не решит, поскольку биомеханические нарушения в позвоночнике по-прежнему будут иметь место. Как говорится, одно звено сломано — вся цепь порвана.

Следующий пример показывает состояние поясничного отдела позвоночника через два года после проведённой ламинэктомии. Ламинэктомия (лат. lamina — пластинка, греч. ektome — иссечение) — хирургическая операция: вскрытие позвоночного канала путём удаления дуг позвонков.


МРТ № 103


На МРТ №°103 наблюдается грыжа межпозвонкового диска в сегменте LIV-LV, частично компенсированная спондилёзом, гипертрофия задней продольной связки и выраженный эпидурит на данном уровне. В сегменте LV-SI наблюдается протрузия межпозвонкового диска, компенсированная спондилёзом. На уровне этих же сегментов наблюдается рубцовоспаечный процесс, как следствие перенесённой хирургической операции — ламинэктомии, проведённой в сегментах (LIV-LV, LV-SI), с целью устранения грыжи межпозвонковых дисков и декомпрессии спинномозговых корешков на данных уровнях.


Приведённый ниже случай является показательным примером, как пациентка попала к недобросовестному хирургу, который сделал ей абсолютно необоснованную операцию.


На МРТ № 104 наблюдается начальная стадия дегенеративного процесса в шейном отделе позвоночника, протрузия межпозвонкового диска в сегменте CVI—CVII.

На МРТ № 105 наблюдается состояние после проведённой тотальной дискэктомии с передним межтеловым спондилодезом в сегменте CV—CVII, выпрямление физиологического лордоза, абсолютный стеноз спинномозгового канала с блоком ликворных путей, секвестрированные грыжи (с краниальной миграцией секвестров) в сегментах CIV-CV, CV-CVI, CVII-ThI.

Состояние пациентки после операции ухудшилось, а в течение последующего года — значительно усугубилось. В данном конкретном случае не совсем понятно, зачем сделали эту операцию? Дооперационные жалобы больной были больше сосудистого характера. Прямых показаний к операции просто не было! Если бы данная пациентка прошла медикаментозное лечение у невропатолога, без хирургического вмешательства, то сейчас её здоровье было бы намного лучше, да и будущее бы не вызывало опасений в плане последующих осложнений.

Вот ещё трагический случай во время проведения необоснованной операции.


На МРТ № 106 состояние шейного отдела пациентки до операции. Наблюдается сглаженность физиологического лордоза, ликворные пути свободны, компенсированные протрузии межпозвонковых дисков в сегментах СIII—СIV

На МРТ № 107 состояние шейного отдела той же пациентки после дискэктомии с межтеловым спондилодезом в сегменте CV—CVI, кроме того наблюдается травма спинного мозга на данном уровне хирургической фрезой.


Если до операции у данной пациентки были незначительные вертебробазилярные нарушения, то после… Травма спинного мозга хирургической фрезой — это, конечно, трагическая случайность. Ведь от ошибок никто не застрахован и добросовестный врач никогда не даст гарантии на положительный исход любого вида лечения. Но в данном случае проведение самой операции было абсолютно необоснованным, фактически она превратила нормального человека в инвалида.

Следующий пример также демонстрирует, какие бывают последствия после дискэктомии с межтеловым спондилодезом.


На МРТ № 108 состояние шейного отдела позвоночника пациента через 11 месяцев после дискэктомии с межтеловым спондилодезом в сегменте СIV—СV Наблюдается постхирургическая травма спинного мозга на данном уровне хирургической фрезой, кифозирование физиологического лордоза, стеноз позвоночного канала с блоком ликворных путей.

На МРТ № 109 состояние шейного отдела позвоночника того же пациента через 23 месяца после дискэктомии с межтеловым спондилодезом в сегменте CIV-CV Наблюдается усугубление стеноза (абсолютный стеноз), спондилолистез (смещение вышележащего позвонка по отношению к нижележащему) СII— СIII, секвестрированная грыжа межпозвонкового диска CV—CVI.


На данных снимках наглядно отображается, как подобные операции усугубляют биомеханические нарушения и тем самым способствуют развитию дегенеративно-дистрофического процесса в других сегментах позвоночника. Во время операции грыжу межпозвонкового диска в данном сегменте убрали. Но причины, которые как раз и спровоцировали образование грыжи, а именно биомеханические нарушения (дегенерация выше- и нижележащих межпозвонковых дисков, стеноз, кифоз), как были, так и остались! Несмотря на то что отдалённые последствия этой операции легко прогнозировались и полученный результат, как факт, абсолютно закономерен, подобные операции, к сожалению, как делались, так и делаются и, пожалуй, самое печальное, что и будут делаться дальше.

Случаи послеоперационных рецидивов грыж межпозвонкового диска бывают разные, но причины, как правило, идентичны. Вот одна из типичных ситуаций. Врачи во главе с хирургом после хирургической операции пациента по поводу грыжи межпозвонкового диска в сегменте LV-SI в качестве профилактики посоветовали ему заниматься вытяжением позвоночника под собственным весом и укреплением мышечного корсета путём выполнения специальных упражнений на наклонной плоскости. Результат усердия пациента, последовавшего такому совету, можно наблюдать на МРТ № 110 (см. стр. 286).

Исходя из анатомического и физиологического строения позвоночника человека и неизбежного действия законов физики, результат от такой «профилактики» вполне прогнозируем. Поэтому логично предположить, что врачи, посоветовавшие данному пациенту такую «профилактику», спровоцировавшую секвестрированную грыжу межпозвонкового диска в сегменте L^ — Ly, просто не знали о её последствиях. Если бы здоровье пациента позволило бы продолжить эти упражнения, то аналогичные осложнения неизбежно образовались бы и в вышележащих позвоночнодвигательных сегментах.


На МРТ № 110 наблюдается состояние поясничного отдела позвоночника: секвестрированная грыжа межпозвонкового диска в сегменте LIV-LV с разрывом задней продольной связки, абсолютный стеноз спинномозгового канала.


Но не спешите обвинять хирургов. Как бы это странно не звучало, это не их вина — они всего лишь удаляют часть ткани организма (грыжу). Ведь профессия хирурга заключается в знании и умении оказать пациенту своевременную хирургическую помощь, а вот послеоперационным восстановлением и «профилактикой» должны заниматься врачи-реабилитологи. Даже самые лучшие хирурги в мире, в совершенстве владеющие своей специальностью, за пределами операционной становятся обыкновенными людьми, которым, как и многим, свойственен относительный процесс познания. Требовать от них большего, это значит требовать от человека абсолютного процесса познания. Если вы считаете, что на это способен любой человек, попробуйте начать с себя. Гораздо хуже, когда врачи-реабилитологи в качестве «профилактики» дают такие «советы», вот это уже можно назвать профессиональной безграмотностью.

Вот ещё случаи послеоперационных рецидивов грыж — естественной реакции организма, когда проблема решается однобоко — всего лишь с помощью хирургической операции в поражённом сегменте без общего восстановления биомеханики позвоночника.


На МРТ № 111 поясничного отдела позвоночника отмечается рецидив — грыжа межпозвонкового диска LIV-LV после трёх операций. Даже если прооперировать в четвёртый раз, то это всё равно не решит проблемы и не добавит здоровья данному пациенту, так как неизбежно возникнут осложнения в вышележащих сегментах LI—LII LIII—LIV в силу биомеханических нарушений в позвоночнике и выраженных дегенеративно-дистрофических изменений в указанных сегментах.

На МРТ № 112 поясничного отдела позвоночника отмечается рецидив — секвестрированная грыжа межпозвонкового диска в сегменте LIV-LV после четырёх операций. Здесь, как говорится, без комментариев.


К сожалению, в жизни бывает так, что даже профессиональный специалист иногда вместо пользы может принести серьёзный вред пациенту, исключительно из-за шаблонного подхода. Как ни парадоксально это звучит, но это так. Приведу один пример по этому поводу. Ко мне на приём привели женщину. Привели в буквальном смысле этого слова под руки, при этом она ещё дополнительно опиралась на тросточки. Первое о чём я подумал, когда увидел, с какой осторожностью её ведут и как она переставляет ноги, что у данной пациентки как минимум перелом позвоночника с травмой спинного мозга или как максимум — опухоль в спинномозговом канале. Но в данном случае причина оказалось совсем иной.

На протяжении последних десяти лет у пациентки периодически возникали боли в поясничном отделе позвоночника. Она к ним привыкла и не переживала по этому поводу, так как боли были умеренные, быстро проходили и довольно легко переносились. Но полтора года назад, после физической нагрузки, появились сильные, тянущие боли в ноге. Женщина вынуждена была обратиться в больницу по месту жительства. Пациентку направили к невропатологу, который, осмотрев её, сделал предположение, что возможно у неё «грыжа межпозвонкового диска» и направил женщину на МРТ.

Так вот, сделав МРТ (МРТ №№ 113–115), женщина вернулась со снимками к невропатологу. Он ознакомился с результатами обследования и вместо того чтобы назначить ей консервативные методы лечения при таком диагнозе, направил её… на консультацию к нейрохирургу. Нейрохирург между прочим специалист высокого класса, с большим опытом работы, спасший много человеческих жизней. Однако и он, ознакомившись с результатами обследования, осмотрев пациентку, сделал вывод, что необходима срочная операция по удалению грыжи межпозвонкового диска в сегменте LIV-LV.


На MPT № 113 (в режиме Т2-ВИ) и МРТ № 114 (в режиме Т1-ВИ) наблюдается небольшая, частично компенсированная спондилёзом протрузия в сегменте LIV-LV.

На МРТ№ 115, помимо протрузии, хорошо виден спондилоартроз дугоотростчатых суставов в трёх нижних сегментах поясничного отдела позвоночника, а также стеноз фораминального отверстия на уровне LIV-Lv. Это и послужило истинной причиной люмбоишиалгии — появления тянущих болей в ноге. То есть, имеются все показания к применению обычных консервативных (нехирургических) методов лечения.


После операции у данной пациентки боли в ноге не уменьшились. Но зато добавились боли в поясничном отделе позвоночника. Оперировавший её хирург пояснил, что после операции на позвоночнике боли могут присутствовать ещё длительное время, что необходимо принимать лекарства и постепенно воспаление спадёт и всё будет хорошо. Но «хорошо» в течение трёх месяцев так и не наступило, а вот боли усилились, и лекарства практически уже не действовали. Для того чтобы разобраться в причинах, вызывающих эти боли, повторно сделали МРТ.


На МРТ № 116 (в режиме Т2-ВИ) и МРТ № 117 (в режиме Т1-ВИ) той же пациентки наблюдается состояние через три месяца после хирургического вмешательства.

На МРТ № 117 в режиме Т1-ВИ отчётливо видно, что был прооперирован межпозвонковый диск в сегменте LIII—LIV вместо диска в сегменте LIV-LV В передней части тела позвонка LIV наблюдается очаг воспаления, реактивный асептический дисцит (частая и можно сказать естественная реакция тканей на операцию, вследствие развития аутоиммунных реакций).


Нейрохирург, ознакомившись с результатами обследования МРТ и увидев, что произошла ошибка (был прооперирован не тот межпозвонковый диск), настоял на проведении ещё одной операции. Естественно, пациентка не хотела идти на вторую операцию на позвоночнике, так как уже была напугана результатами первой операции. Однако лекарства не помогали, а боли, по её словам, «просто сводили с ума». В общем, она согласилась на повторную операцию.

После повторной операции боли немного уменьшились, но ненадолго. Менее чем через две недели они возобновились с новой силой. За последние десять месяцев данная пациентка трижды (практически по месяцу) лежала в больнице. Острые боли ушли, но появились онемение в ногах и тазовые расстройства. Снова сделали МРТ.


На МРТ,№ 118 (в режиме Т2-ВИ) и № 119 (в режиме Т1-ВИ) той же пациентки наблюдается состояние после двух операций.

На МРТ№ 119 в режиме Т1-ВИ отчётливо видно (по следу), что хирург пытался исправить свою предыдущую ошибку и прооперировал на этот раз протрузию межпозвонкового диска в сегменте LIV-LV Также наблюдаются последствия спондилодисцита, образовавшегося после операций, вследствие развития которого произошла деструкция замыкательных пластин в сегменте LIII—LIV и деформация тела LIV позвонка. А также произошло послеоперационное образование грыжи межпозвонкового диска в сегменте LIII-LIV. На данных снимках наблюдается выраженный рубцовоспаечный процесс на уровне прооперированных сегментов, который опутал своими тяжами дуральный мешок и спинномозговые корешки, чем, собственно, и объясняется столь тяжёлое состояние данной пациентки.


Конечно, печально, что всё так произошло. Но это жизнь, а в жизни, как говорится, и на старуху бывает проруха. Анализируя данный случай, я ещё раз убедился, что как бы ни был высок профессионализм специалиста, а к каждому делу, даже привычному, необходимо подходить не индифферентно и шаблонно, а с новизной взгляда, присущей пытливому исследователю. Особенно это касается области медицины, где за каждым случаем стоит судьба человеческая. Ведь каждый человек индивидуален и требует к себе такого же индивидуального подхода в лечении, поэтому шаблонность опасна даже для специалиста экстра-класса.

Хирург, оперировавший данную пациентку, специалист экстра-класса, профессионал, проведший сотни операций по поводу грыж межпозвонкового диска. Да, он допустил ошибку, случайно прооперировав не тот межпозвонковый диск. Но, как говорится, не ошибается лишь тот, кто ничего не делает. В остальном же одной из причин данной трагедии, на мой взгляд, был шаблонный подход к делу. Я специально уточнил у пациентки, что она сказала хирургу, когда впервые попала к нему на приём. Она подтвердила мои предположения. Во-первых, она пришла к нему с жалобами на тянущие боли в ноге, то есть с симптомами люмбоишиалгии (причиной возникновения которой в большинстве случаев как раз и является грыжа межпозвонкового диска). Во-вторых, первое, что она сказала хирургу, это то, что у неё грыжа межпозвонкового диска. В-третьих, самое главное, надо учитывать, что хирург в силу своей специальности смотрит на заболевания, в том числе и позвоночника, «через остриё своего скальпеля». Когда к нему в кабинет вошла данная пациентка с явными признаками люмбоишиалгии, да ещё и заявила, что у неё грыжа межпозвонкового диска и что невропатолог направил её на операцию (подчёркиваю — на операцию, а не консультацию), становится понятным, почему произошло такое печальное недоразумение. Просто в такой ситуации мозг профессионала сработал по привычной для него схеме. И хирург, толком не рассмотрев МРТ и не разобравшись в данном конкретном случае, по «привычке» назначил операцию.

Не думаю, что данный хирург так поступил из-за меркантильных интересов и тем более специально нанёс вред своему пациенту, хотя подобные случаи в современном мире, к сожалению, не редкость. Лично я не знаком с данным хирургом, но я видел его качественные работы по снимкам МРТ, так как у меня уже не раз лечились пациенты, которых он оперировал, с послеоперационными рецидивами грыж межпозвонковых дисков. У данных пациентов в большинстве случаев я наблюдал очень аккуратный шов и оптимальную локализацию разреза. Это говорит о многом.

Но здесь у читателя может возникнуть естественный вопрос, раз этот хирург столь профессионален, то почему возникают послеоперационные рецидивы грыж межпозвонковых дисков? Отвечаю с полной ответственностью, что вины хирургов в возникновении послеоперационных рецидивов нет и быть не может по одной простой причине — хирург удаляет, а не лечит! Хирург устраняет следствие дегенеративно-дистрофического процесса — всего лишь маленький фрагмент пульпозного ядра, который, выпав через разрыв в фиброзном кольце, сдавливает спинномозговой корешок или непосредственно спинной мозг. В этом и заключается его профессиональная работа. Хирург не лечит и не может лечить остеохондроз (дегенеративно-дистрофический процесс), который является первопричиной образования и грыж, и протрузий, и всех остальных осложнений, связанных с этим заболеванием позвоночника. Хирургия — это, в первую очередь, грубое вмешательство в хрупкую систему человеческого организма с чрезвычайно сложными процессами, которые до сих пор далеко не изучены. Поэтому хирургические вмешательства и операционные способы удаления грыж межпозвонкового диска должны применяться только в исключительных случаях в качестве экстренной, локальной помощи организму.

Но, как бы там ни было, жизнь есть жизнь. Большую её часть человек зарабатывает свой собственный опыт, а потом оставшуюся часть жизни на него опирается. Порой за серостью будней он утрачивает чувство новизны восприятия, которое свойственно его далёкой молодости — той поры, когда ещё нет столь прочной опоры в виде двух костылей под названием «Практика» и «Личный опыт», и исследователь жизни вынужден перед каждым своим шагом «ощупывать пространство» лишь лёгкой тросточкой под названием «Теория». Однако постоянное совершенство тем и прекрасно, что даёт возможность пытливому исследователю раскрывать всё новые горизонты познания с вершины своего опыта, благодаря незаангажированному взгляду на мир, его процессы и сущность.


Вертеброревитология

«Деяние есть живое единство теории и практики».

Аристотель
Если проследить историю становления медицины, то те способы лечения позвоночника, которые вы имели возможность рассмотреть в предыдущих главах, можно назвать традиционными, исторически сложившимися методами лечения. Однако, если сопоставить их со смыслом самого определения понятия «лечения» (лат. curatio; греч. therapeia) как системы мероприятий, направленных на восстановление здоровья, предупреждение осложнений заболевания и устранение тягостных для больного проявлений болезни, то к вышеперечисленным методам относится разве только последнее — устранение болевых синдромов. Поэтому сегодня эти методы лечения (мануальная терапия, вытяжение, хирургия и так далее) дегенеративно-дистрофических процессов в позвоночнике можно вполне обоснованно назвать симптоматическим лечением, то есть лечением, направленным на устранение отдельных проявлений (симптомов) заболевания. Как известно, нарушения в одном позвоночно-двигательном сегменте неизбежно приводят к нарушениям в других сегментах и, соответственно, биомеханике позвоночника в целом. Следовательно, основная задача лечения, а именно восстановление как повреждённых позвоночно-двигательных сегментов, так и биомеханики позвоночника в целом, и, главное, предупреждение последующих осложнений данными методами, не решена. Но, как говорится, на безрыбье и рак — рыба. Эти методы названы «лечебными», поскольку до нынешнего времени им не существовало альтернативных методов, которые бы предполагали не симптоматическое лечение, а скорее патогенетическое, а точнее этиотропное лечение. Напомню, что патогенетическое лечение (пато-, греч. pathos — «чувство, переживание, страдание, болезнь»; genesis — «происхождение, возникновение») направлено на блокирование механизмов развития болезни, а этиотропное лечение (этио- от греч. aitia — «причина», tropos — «поворот, направление») — лечение, направленное против причины заболевания. Таким методом на сегодняшний день по праву можно назвать метод вертеброревитологии, о чём свидетельствуют, в первую очередь, объективные (как ближние, так и отдалённые) результаты лечения, подтверждённые снимками МРТ.

Вертеброревитология — метод ручной коррекции позвоночника, основной целью которого является оптимизация условий для активизации репаративного ответа, направленного на полную репарацию ткани дегенерирующего межпозвонкового диска, осложнённого экструзией секвестров пульпозного ядра, до полной реституции. Слово вертеброревитология означает: вертебро (лат. vertebra) — «позвонок, позвоночник»; ре (лат. re — приставка, указывающая на повторное, возобновляемое действие) — возобновление; вита (лат. vita) — жизнь; логия (от греч. logos — «слово, учение») — наука. То есть, в дословном переводе вертеброревитология — это наука, дающая вторую (возобновляемую) жизнь (здоровье) позвоночнику. Вертеброревитология включает в себя несколько запатентованных методов, направленных на лечение дегенеративно-дистрофических заболеваний позвоночника, а также послеоперационных рецидивов экструзии пульпозного ядра (грыжи диска). Основателем и разработчиком данного метода является ваш покорный слуга.

Конечно, сегодня вертеброревитология — это отечественные и зарубежные патенты, рацпредложения и тысячи пациентов, вернувших утраченное здоровье благодаря этому методу. Однако путь становления и утверждения данного метода был не из лёгких. Но, как говорится, при достижении высокой цели лёгкого пути не бывает, при качественном результате — труд всегда тяжкий. Научно-исследовательский процесс по проблемам позвоночника у меня, как и у многих моих коллег, начинался с изучения накопленного обширного опыта, то есть научных трудов по медицине. Должен отметить, что в них удивительно чётко прослеживалась и передавалась одна и та же мысль о необратимости патологических изменений в межпозвонковом диске и о том, что единственно возможным решением проблем, связанных с дегенеративно-дистрофическим развитием в позвоночнике, является хирургия как наиболее приемлемый метод лечения в официальной медицине. Эта теоретическая мысль столь настойчиво и безапелляционно вбивалась авторами в ум читателей, что казалось, любое возражение по данному поводу равнозначно было покушению на незыблемое авторитетное мнение корифеев науки. По-человечески их можно понять. Эти люди посвятили изучению данного вопроса большую часть своей жизни, веря в непоколебимость утверждений, которые в своё время так же были им привиты другими теоретиками. Поэтому любое оспаривание основных принципов, на которых построены их работы, для данных авторов было бы равносильно расшатыванию основ смысла их жизни и деятельности. Только настоящие учёные и исследователи лояльно воспринимают подобные «дискуссии», поскольку они не прекращают поиск истины и не теряют надежду на более эффективное решение поставленной цели и задачи. Это правильно, потому что наука требует беспристрастного подхода в изучении какой-либо проблемы. Излишняя амбициозность, особенно если она связана с теоретической частью, может только повредить делу. Опыт и практика порождают факты. А факты, как известно, вещь упрямая.

Так вот, вопросов по ходу изучения проблем, связанных с заболеваниями позвоночника, было достаточно много. Например, почему происходили различные осложнения и рецидивы после хирургических операций на позвоночнике, если теория провозглашает хирургический метод лечебным? Насколько целесообразно применение хирургических способов лечения при дегенеративно-дистрофических процессах в межпозвонковых дисках? Случилось так, что в процессе поиска ответов на данные вопросы я столкнулся с научными работами целой плеяды замечательных учёных-практиков, которые в поиске истины исходили в основном из фактов, а не из личных амбиций. Это хорошие в описательном плане работы зарубежных авторов S. G. Lipson и H. Muir. Данные авторы в своих исследованиях убедительно показали экспериментально, что межпозвонковый диск после повреждения способен к репарации (лат. reparatio — восстановление) повреждённой ткани. Особо хочу выделить работы одного из самых выдающихся хирургов-вертебрологов, профессора Якова Лейбовича Цивьяна, о котором я уже неоднократно упоминал в данной книге. Он является автором целого ряда новых методов оперативного лечения заболеваний позвоночника, которые нашли самое широкое распространение. Кстати говоря, переделывая (порой не в лучшую сторону) данные методы выдающегося советского хирурга, на них продолжают защищать диссертации и патентовать «свои методы» многие хирурги и по сей день (в некоторых случаях даже как-то забывая упомянуть имя истинного автора данных методик). Так вот, в первую очередь меня впечатлило заявление знаменитого хирурга Цивьяна о том, что, цитирую: «…хирургия остеохондроза позвоночника не может быть отнесена к методам патогенетического лечения болезни. В большинстве случаев необходимость оперативного вмешательства доказывает несостоятельность современной терапии дегенерации межпозвонковых дисков и невозможность комплексного, по-настоящему патогенетического лечения патологии». На этом фоне идея о полной репарации ткани межпозвонкового диска показалась мне ещё более эволюционной и перспективной.

Как часто бывает в жизни, если ты что-то упорно ищешь, то «это» обязательно тебя найдёт. Дальнейшее изучение данной проблемы вывело на работы профессора Льва Давидовича Лиознера, выдающегося советского учёного-биолога, изучавшего проблему регенерационных процессов — восстановления органов и тканей у животных и человека. В своей работе «Внутриорганная регенерация и её разновидности» он высказал убеждение в том, что: «Любой ткани организма без исключения свойственна способность к репаративной регенерации в той или иной форме. И если рассматривать процесс в его не далеко зашедших стадиях, то при оптимизации условий, на определённом для каждой ткани уровне возможна и полная репаративная регенерация — реституция». В этом просматривалось вполне рациональное зерно!

Давайте рассмотрим более подробно, что же такое регенерация тканей. Слово регенерация возникло от позднелатинского слова regeneratio, что означает «возрождение, возобновление». А это слово в свою очередь произошло от латинской приставки re — «опять, вновь» и generatio — «рождение». Процесс регенерации, как способность организма к обновлению, восстановлению утраченных или повреждённых тканей, органов, можно наблюдать в природе как у растений, так и у животных и человека.

Например, у растений вы, очевидно, не раз наблюдали этот процесс, начиная от глобального обновления листьев на деревьях весной и до частных садоводческих операций по выращиванию нового растения из отрезков корня старого растения или из листовых черенков и так далее. Регенерация некоторых растений возможна даже из изолированных клеток, из отдельных изолированных протопластов (от греч. protos — «первый» и греч. plastos — «вылепленный, образованный»; содержимое клетки со всеми её включениями), из небольших участков их многоядерной протоплазмы (протоплазма — содержимое живой клетки: её цитоплазма и ядро). В мире животных процесс регенерации чаще всего можно наблюдать у беспозвоночных. Например, у дождевого червя, когда из его двух половинок образуется два целых червя, или у морской звезды, когда на месте её оторванного луча вырастает новый, или у раков и крабов, у которых растут новые клешни на месте утраченных, и так далее.

Кстати говоря, изучая регенерацию ног рака, французский естествоиспытатель (внесший свой научный вклад в области математики, физики, ботаники, зоологии) Рене Антуан Реомюр — член Парижской академии наук (1708), иностранный почётный член Петербургской академии наук (1737) — попытался одним из первых научно разобраться в данном вопросе, опубликовав свою работу, посвящённую этой проблеме, ещё в 1712 году. Именно он ввёл в научный мир понятие «регенерация». Должен заметить, долгое время считалось, что регенерация свойственна только низшим живым организмам. Однако и это «незыблемое» мнение вскоре было поколеблено и разрушено новыми открытиями в науке, когда учёным стало известно, что регенерация в той или иной степени также свойственна позвоночным животным. Способностью к регенерации не только отдельных тканей, но и целых органов обладают хвостатые земноводные. Особенно удивил и продолжает удивлять учёных своей просто феноменальной способностью к регенерации тритон — одна из древнейших амфибий (от греч. amphibios — ведущий двойной образ жизни; от греч. amphi — вокруг, с обеих сторон, bios — жизнь) первичноводных позвоночных из низшей группы отряда хвостатых земноводных. Этот представитель семейства саламандры, «завсегдатай» в экспериментальных лабораториях по изучению процессов регенерации, обладает способностью регенерировать утраченные части тела, например, конечности, хвост, восстанавливать повреждённые глазные ткани, ткани сердца и даже спинного мозга. В процессе изучения регенерации был установлен ещё один важный факт: регенерация связана с возрастом. Чем моложе особь, тем быстрее происходит данный процесс, чем старее особь, тем хуже происходит процесс регенерации или вообще не наблюдается. Это связано с процессами, происходящими в клетках. Теплокровные животные также обладают способностью к регенерации, однако у них, в отличие от холоднокровных животных, программа регенерации оказалась подавленной. Почему данный процесс не столь активен у высокоорганизованных животных — эту загадку пытаются разгадать учёные-биологи на современном этапе.

Человеку также свойственна регенерация, только её принцип несколько отличается от животных. Этот процесс мы можем наблюдать, к примеру, когда растут волосы, при заживлении порезов, незначительных ожогов, ран, то есть когда идёт процесс образования новых структур взамен погибших в результате повреждения. Медики давно заметили, что печень обладает способностью к частичной регенерации. Однако почему не регенерируют целые органы, например конечности, до сих пор остаётся вопросом. Природа, очевидно, поэтапно раскрывает свои секреты. Вначале долгое время считалось, что этим удивительным свойством восстановления обладают только два вида клеток в организме человека — это клетки крови и печени. Многие из вас, наверное, слышали о так называемых стволовых клетках (или камбиальных клетках (лат. cambium — обмен, смена)). Это клетки, которые входят в состав обновляющихся тканей животных и человека. У позвоночных они обнаружены, например, в эпителиальной, кроветворной, костной тканях. При соответствующих условиях они обеспечивают для организма обновление, а также пополнение новыми клетками при гибели старых. Сейчас специалисты, изучая ДНК, пытаются выяснить, каким образом можно заставить человеческий организм «запустить» программы по репарации органов. Напомню, что молекула ДНК (дезоксирибонуклеиновой кислоты) — это высокополимерное соединение, в котором хранится генетический код, являющийся основой наследственности. Процесс изучения идёт не так быстро, как хотелось бы. Но с другой стороны это и правильно, поскольку организм человека устроен слишком сложно и поспешные выводы, тем более на современном этапе развития медицины, могут привести к большой беде, к примеру иммунному сдвигу, генетической мутации и так далее.

Процесс регенерации может происходить на разных уровнях организации: на системном, органном, тканевом, клеточном, внутриклеточном. Действие совершается путём прямого и непрямого деления клеток, внутриклеточных органелл и их размножения. Важную роль в данном процессе, в частности в регенерации соединительной ткани, играют клетки фибробласты и их разновидности (хондробласты, остеобласты, кератобласты и другие). Напомню, что греч. blastos означает росток, зародыш, побег и является частью сложных слов, указывающей на отношение к зародышу, ростку, растущей клетке, ткани. Не менее важно при регенерации — как протекают процессы пролиферации. Пролиферация (от лат. proles — «отпрыск, потомство» и ferre — «нести») — разрастание ткани животного или растительного организма путём новообразования и размножения клеток. Она может быть физиологической (например при процессах естественной физиологической регенерации) и патологической (например при процессах развитии опухоли).

В медицине различают физиологическую, репаративную (восстановительную) и патологическую регенерацию. Под физиологической регенерацией подразумевается непрерывное обновление структур (например процесс клеточного, внутриклеточного обновления, наружного слоя кожи и так далее). Особо хочу обратить ваше внимание на репаративную регенерацию. За счёт репаративной (восстановительной) регенерации происходит восстановление тканей при травмах, процессах дегенерации и других патологических состояниях, сопровождающихся массовой гибелью клеток. В основе репаративной регенерации лежат те же механизмы, что и при физиологической. Разница лишь в интенсивности их проявлений. То есть, другими словами, репаративная регенерация — это естественная реакция организма на повреждение, которая характеризуется усилением физиологических механизмов воспроизведения специфических тканевых элементов того или иного органа.

Различают полную и неполную регенерацию. Полная регенерация (реституция) — это когда в процессе репаративной регенерации утраченная часть замещается равноценной, специализированной тканью. Неполная регенерация (субституция) — это когда на месте дефекта разрастается неспециализированная соединительная ткань, которая в дальнейшем подвергается рубцеванию (заживление посредствомрубцевания). Слово субституция (от лат. substitutio — «подстановка») означает замещение одного другим, обычно функционально сходным. Бывает и такое, что при неполной регенерации функция восстанавливается за счёт интенсивного новообразования ткани (аналогичной погибшей) в неповреждённой части органа. Данный процесс новообразования происходит либо путём усиленного размножения клеток, либо за счёт внутриклеточной регенерации, а именно восстановления субклеточных структур при постоянном числе клеток (сердечная мышца, нервная ткань).

Учёные выяснили, что эффективность процесса регенерации определяется условиями, в которых протекает данный процесс. Ослабить, усилить или качественно изменить процесс регенерации могут разнообразные факторы: особенности обмена веществ, возраст, питание (трофика), состояние нервной и эндокринной систем, интенсивность кровообращения в повреждённой ткани, сопутствующие заболевания, общее состояние организма и так далее. В отдельных случаях по разным причинам процессы репаративной регенерации могут протекать вяло и приобретать затяжной характер или вообще качественно извращаться. Это может привести к патологической регенерации. Она проявляется, к примеру, в виде нарушения срастания переломов костей (при отсутствии совмещения обломков разрастается хрящевая ткань, образуя ложный сустав), длительно незаживающих язв, избыточного разрастания тканей или перехода одного типа ткани в другой (на месте глубоких ожогов может быть разрастание плотной соединительной рубцовой ткани) и так далее.

Человеческий организм уникален и по своей организации и сложности происходящих в нём процессов. На протяжении всей его жизни в нём постоянно происходят процессы восстановления и обновления. Физиологическая и репаративная регенерации играют важную роль, являются, по сути, структурной основой всего разнообразия проявлений жизнедеятельности организма как в норме, так и в патологии. Полагать, что у человека несовершенны механизмы регенерации, было бы грубейшей ошибкой. Просто на сегодняшний день они недостаточно изучены. В течение каждого дня в клетках организма человека происходит множество повреждений ДНК. Если бы они вовремя не устранялись, благодаря репарации, последствия были бы весьма печальны. Природа продумала все детали данного процесса до мелочей. В клетке существуют системы репарации ДНК, так называемые ферментативные механизмы, которые обнаруживают и соответственно исправляют возникшие повреждения. Если же данные системы по какой-либо причине сами повреждаются или накапливаются повреждения ДНК, то включается механизм программированной и регулируемой гибели клеток — апоптоз (от греч. apoptosis — отпадающий; листопад). Таким образом, уничтожаются клетки, завершившие свою роль, а также клетки, размножение которых может быть весьма опасным для организма (могут привести к развитию раковой опухоли). Но если случаются такие повреждения клеток, в результате которых нарушаются функции аппарата апоптоза, то развивается некроз (омертвение клеток, сопровождающееся необратимым прекращением их функций). При данном процессе клетка разрушается, и её содержимое оказывается в межклеточном матриксе, где происходит химическая реакция разложения этого вещества водой при участии полимеров повреждённой клетки, а также соседних клеток и межклеточного матрикса. Воспаление, как таковое, вызывают как раз продукты распадающихся клеток. На основе подобного обновления (репарации) органов на клеточном и внутриклеточном уровне обеспечивается возможность обширного диапазона приспособительных механизмов и функциональной активности в меняющихся условиях среды, а также восстановление и компенсация функций, нарушенных в результате действия различных патогенных факторов. Обновление внутриклеточных структур является универсальной формой регенерации, которая присуща всем без исключения органам человека.

На тот момент, когда я начал научно-исследовательскую работу, посвящённую детальному (экспериментальному, клиническому) изучению каждой стадии развития дегенеративно-дистрофического процесса в межпозвонковых дисках и соответственно выработке принципов и методов целенаправленного лечебного воздействия на межпозвонковый диск, было уже известно немало сведений о патологических процессах, происходящих в диске. Например, по результатам предварительных морфологических, биохимических (гистохимических) исследований было установлено, что уровень физиологической регенерации в ткани межпозвонковых дисков слишком мал за счёт малоклеточности самих хондроцитов и хондробластов. Напомню, что хондроциты — это зрелые клетки фиброзного кольца и пульпозного ядра межпозвонкового диска, образующиеся из хондробластов, а хондробласты — это молодые клетки хрящевой ткани, образующиеся при обновлении данной ткани, активно формирующие межклеточное вещество (о них уже упоминалось в главах «Межпозвонковый диск», «Начало развития остеохондроза»). Хондроциты способны к длительному существованию, а также функционированию только лишь в оптимальных условиях окружения малоизменяющимся межклеточным матриксом. Так вот, количество клеточных элементов фиброзного кольца в наружных его отделах составляет до 500 клеток на 1 мм2 среза ткани. Однако их число резко падает к зоне перехода в пульпозное ядро — до 40 клеток на 1 мм2 плоскости среза. Иными словами, пульпозное ядро, на клетки которого возлагается основная ответственность по регенерации межпозвонкового диска, является одной из самых малоклеточных тканей организма. К тому же небольшое число хондроцитов в единице объёма ткани не может противодействовать повышенному износу основного вещества, следовательно, при чрезмерной постоянной нагрузке это может спровоцировать развитие патологии. Возникает вопрос: как создать условия для активной регенерации компонентов основного вещества дегенерирующего межпозвонкового диска, чтобы полноценно восстановить диск и его функции? Экспериментальное использование различных препаратов, стимулирующих регенерацию клеток межпозвонкового диска (в том числе и их внутридисковое введение, вплоть до очищенных стволовых клеток), положительных результатов не принесло и поставленную задачу не решило.

Более того, не последнюю роль в процессе восстановления диска играет межклеточный матрикс. Как вы помните, это межклеточное вещество выполняет самые разнообразные, жизненно важные для клеток функции, является основой соединительной ткани. Биохимиками было установлено, что постепенное изменение состава межклеточного матрикса коренным образом меняет функциональные свойства межпозвонкового диска и его биомеханическую прочность. Это добавило пессимизма в гипотезу о совершенной необратимости патологических изменений межпозвонкового диска в качестве факта, который якобы говорил о том, что любые попытки остановить дегенерацию межпозвонкового диска, а тем более добиться полной репаративной регенерации в нём (да ещё если данный процесс осложнён грыжей межпозвонкового диска), обречены на абсолютный провал. Таким образом, возникла ещё одна, казалось бы неразрешимая задача.

Другой важный момент — это питание диска. Как известно, межпозвонковый диск — это самая аваскулярная (без кровеносных сосудов) ткань в организме человека, постоянно находящаяся в зоне компрессионной нагрузки в десятки, а порой и в сотни килограммов. Облитерация (заращение полости или просвета какого-либо сосуда, трубчатого органа) сосудов межпозвонкового диска завершается в возрасте 4–8 лет. А после периода созревания отдельные капилляры сохраняются лишь в периферических отделах фиброзного кольца. Поступление метаболитов (веществ, образующихся в процессе метаболизма — обмена веществ) в межпозвонковый диск осуществляется благодаря активной диффузии через замыкательные пластинки. Было установлено, что единственным активным стимулятором поступления питательных веществ в межпозвонковый диск является дозированная нагрузка (ходьба пешком). Обращаю ваше внимание: не воздействие статических поз или больших напряжений, а именно дозированная нагрузка, благодаря естественному, исходному способу локомоции для человека — ходьбе! Активная диффузия, поступление метаболитов в межпозвонковый диск (питание диска) начинается через 15–20 минут после начала непрерывной, спокойной ходьбы прогулочным шагом, которая должна продолжаться 1,5–2 часа (для достаточного суточного питания дисков).

Такую ходьбу ничем заменить нельзя! Ходьба при помощи тренажёров («беговой дорожки» и так далее) для данных целей неэффективна, так как нет перемещения в пространстве на расстояние, несколько по-иному работают мышцы, распределяются нагрузки и так далее. В общем, природу не обманешь!

И наконец, наиболее важным фактором и казалось бы неразрешимой задачей на пути решения проблемы восстановления диска являлась основная проблема вертебрологии, о которой неоднократно уже упоминалось в данной книге. Согласно клиническим наблюдениям было замечено, что однажды возникнув, дегенеративно-дистрофический процесс в одном из сегментов позвоночника неизбежно втягивает в патологический процесс не только позвоночник, но и весь опорно-двигательный аппарат человека, изменяя его биомеханику, следовательно порождая новые очаги патологии. Получается своеобразный «порочный круг», который своими витками на первый взгляд просто перечёркивает возможность процесса регенерации межпозвонкового диска.

Исходя из всего вышеперечисленного, при разработке метода вертеброревитологии необходимо было отыскать такой оптимальный вариант, который бы решал и одновременно совмещал все поставленные задачи для оптимизации условий активизации репаративного ответа, направленного на полную реституцию ткани дегенерирующего межпозвонкового диска. А именно: 1) снятие нагрузки с дегенерирующего диска при сохранении повседневной активности пациента; 2) восстановление диска и его полноценного питания; 3) одновременное восстановление биомеханики позвоночника. Решить поставленные задачи это было всё равно, что найти методы решения многомерных экстремальных задач, с учётом биохимической индивидуальности человека. Последнее, в переводе со сленга биохимиков, означает своеобразную неповторимость состава, процентного соотношения, активности разнообразных биологически активных веществ и соединений в организме человека (имеется в виду белков, гормонов, ферментов и тому подобное). Другими словами, о каждом человеке можно сказать, что по своей биохимической природе он настолько индивидуален, что в мире нет абсолютного аналога его организма ни в прошлом, ни в настоящем, ни в будущем. Это также свидетельствует о том, что схожая патология у каждого человека протекает своеобразно и имеет свои индивидуальные отличия, которые необходимо учитывать при лечении.

Так что задачи стояли весьма непростые. Это даже нельзя сравнить с вычислением пределов из высшей математики по правилу (методу) Лопиталя (раскрытие неопределённостей вида 0/0 и бесконечность на бесконечность), хотя, к слову сказать, и этот метод не во всех случаях позволяет вычислить предел. Кстати, о физико-математических расчётах, которые удалось провести вашему покорному слуге в процессе исследования вопроса об активизации репаративного ответа в дегенерирующих межпозвонковых дисках. Теоретические расчёты показали, что для самостоятельного восстановления (активного репаративного ответа) дегенерирующего межпозвонкового диска необходимо снизить (в идеале на 37 %) постоянную нагрузку с данного диска на длительное время при сохранении оптимальных условий (к примеру того же осмоса). Однако этот чисто теоретический расчёт идеального варианта для активации естественной репарации межпозвонкового диска на практике был несколько неприемлем, точнее практически невозможен в условиях гравитационного поля нашей планеты — Земли. Поэтому пришлось создавать другой, образно говоря, «искусственный» способ по воссозданию оптимальных условий для репарации поражённого дегенеративно-дистрофическим процессом межпозвонкового диска, который и стал основой метода вертеброревитологии. Практические результаты показали, что репарация дегенерирующего диска при лечении методом вертеброревитологии происходит от 9 до 18 месяцев.

Так что на разработку метода вертеброревитологии был потрачен не один год. И тем не менее мне удалось добиться решения поставленных задач. Теперь, когда теория полностью подтверждена практическими результатами лечения, я могу с уверенностью заявить, что изменяя (восстанавливая) биомеханические нарушения и оптимизируя (создавая) необходимые условия, можно добиться репаративной регенерации дегенерирующего межпозвонкового диска! Как я уже упоминал, вертеброревитология на сегодняшний день включает в себя несколько запатентованных методов, направленных на лечение дегенеративно-дистрофических заболеваний позвоночника, а также послеоперационных рецидивов экструзии пульпозного ядра (грыжи диска).

Один из первых методов, который был разработан мною, и лёг в основу создания вертеброревитологии — это метод «Нехирургической транспозиции спинного мозга при сколиотических, кифотических и кифосколиотических деформациях позвоночника, осложнённых спондилогенной миелопатией». Данный метод был разработан и внедрён в медицинскую практику как альтернатива хирургическим методам лечения этой патологии. Думаю, что здесь уместно будет пояснить некоторые аспекты. При сколиотических, кифотических и кифосколиотических деформациях позвоночника порой возникают парезы или параличи, вследствие развивающегося ишемического «миелита» — спондилогенной миелопатии, о которой уже упоминалось в данной книге. Напомню, что миелопатия (греч. myelos — мозг (костный мозг, спинной мозг); pathos — страдание, болезнь) означает невоспалительные, дистрофические поражения спинного мозга различной этиологии. Спондилогенная миелопатия — миелопатия, обусловленная сдавлением сосудов спинного мозга костными структурами позвоночника. В основе этого тяжелейшего осложнения, чаще всего свойственного сколиотической болезни, лежит расстройство кровоснабжения спинного мозга, возникающее вследствие нарушения проходимости питающих его артериальных сосудов. Последнее возникает в результате перерастяжения данных сосудов вместе со спинным мозгом, что приводит к сужению просвета растянутого артериального ствола или к прямому сдавлению его деформированными костными структурами позвоночника.

Традиционное консервативное лечение упомянутых спинальных осложнений порой не только малоэффективно, но и опасно. Ведь вследствие перерастяжения и ишемии спинного мозга довольно быстро развиваются необратимые изменения. В таком случае даже оперативное лечение (транспозиция спинного мозга) будет неэффективно. Под транспозицией (лат. transpositio — перестановка) спинного мозга понимается перемещение дурального мешка с его содержимым (спинным мозгом) в новое, более короткое по протяжённости ложе, что приводит к расслаблению растянутых структур спинного мозга, а вместе с ним и кровеносных сосудов и вследствие этого улучшению его кровоснабжения. Если данная манипуляция осуществлена до того как в тканях спинного мозга развились необратимые изменения, то, как правило, происходит полное функциональное восстановление спинного мозга и его сосудов. Таким образом, становится очевидным, что фактор времени при решении вопроса о целесообразности и необходимости оперативного вмешательства играет весьма существенную роль. Кроме того, надо учитывать, что это приводит лишь к относительной нормализации кровоснабжения, но не к устранению главной причины заболевания, повлекшего такие последствия, как, например, спондилогенная миелопатия, кифотическая или сколиотическая деформации позвоночника и так далее, то есть выраженные биомеханические нарушения позвоночника.

Различают открытую и закрытую транспозицию спинного мозга. Открытая транспозиция спинного мозга заключается во вскрытии позвоночного канала путём удаления части его костных стенок и перемещении дурального мешка с его содержимым в новое, более короткое по протяжённости ложе. В зависимости от характера деформации позвоночника и направления перемещения спинного мозга различают боковую, переднюю и переднебоковую транспозицию спинного мозга. Закрытая транспозиция спинного мозга не предусматривает вскрытия просвета позвоночного канала. Укорочение ложа спинного мозга осуществляется за счёт частичного исправления имеющейся деформации позвоночника. Замечу, что ещё Я. Л. Цивьян указывал на следующее: «Операция по транспозиции спинного мозга рассчитана только на устранение осложнений со стороны спинного мозга и не приводит к излечению от основного заболевания — деформации позвоночника».

Основным отличием метода нехирургической транспозиции спинного мозга при сколиотических, кифотических и кифосколиотических деформациях позвоночника, осложнённых спондилогенной миелопатией, от операционных транспозиций спинного мозга является нехирургическое уменьшение угла искривления позвоночного столба путём определённой, поэтапной ручной коррекции позвоночника. При применении специально разработанных техник воздействия на лигаментарно-артикулярный аппарат позвоночника изменяется положение суставов позвоночника с последующей их фиксацией в строго заданном положении за счёт лигаментарного ответа (по типу распорки) с целью создания противодействия углу искривления. Таким образом, без хирургического вмешательства достигается не только укорочение ложа спинного мозга, но и максимально восстанавливаются биомеханические функции позвоночника. При этом исключаются осложнения, неизбежно возникающие при хирургической транспозиции спинного мозга. Более того, достигнутый результат приводит к стойкому устранению имевших место спинальных осложнений. На основе данного метода был разработан поэтапный нехирургический метод ручной коррекции сколиотической болезни позвоночника у подростков путём реабилитации связочно-суставного аппарата позвоночника, который, в свою очередь, позволил в значительной степени углубить и расширить возможности зарождающегося тогда нового направления терапии в области вертебрологии — вертеброревитологии.

Лечение методом вертеброревитологии — это, по сути, ювелирная работа, определённое воздействие, строго рассчитанное, выполняемое в короткие интервалы времени, лечение с такой дозированной точностью, в процессе которого не только предотвращается патологическая регенерация, но и происходит стимуляция активной регенерации (вплоть до реституции) повреждённых тканей межпозвонкового диска. Основной упор делается на постепенное выстраивание определённой биомеханической конструкции позвоночника, при которой активизируются процессы репарации поражённых дегенеративно-дистрофическим процессом межпозвонковых дисков. При создании самой конструкции происходит воздействие на мышцы и связки определённым образом. По типу распорки устанавливаются суставы, сохраняя при этом подвижность, и что важно — это новое положение суставов прочно фиксируется за счёт лигаментарного ответа, то есть сохраняется довольно продолжительное время после сеанса. Соответственно изменяются положения позвонков, что, в свою очередь, создаёт противодействие естественным нагрузкам. Таким образом, на длительное время уменьшается нагрузка на поражённые диски при сохранении естественной двигательной активности в жизнедеятельности человека. Процесс этот довольно длительный, но результаты того стоят.

Очень важно во время сеанса соблюдение минимального как временного, так и физического воздействия на позвоночник. Почему? Потому что любая манипуляция на позвоночнике в первую очередь приводит как к сосудистым, так и ликвородинамическим реакциям (изменениям), которые, соответственно, вызывают изменение тонуса микроциркуляторного русла, водноэлектролитного обмена, местные изменения в клетках, тканях и так далее. Длительная манипуляция на позвоночнике чревата серьёзными последствиями для здоровья. Воздействие на позвоночник при лечении методом вертеброревитологии кратковременное, целенаправленное, строго дозированное и главное — не влекущее за собой срыва адаптативных механизмов, а наоборот, стимулирующее работу данных механизмов, в том числе и активизацию репаративного ответа. Такое воздействие и планомерное построение определённой биомеханической конструкции гармонично встраивается в физиологическую картину организма, что подтверждается результатами лечения. Другими словами — это помощь организму за счёт малых, но активно стимулирующих репарационные процессы доз воздействия на позвоночник при его ручной коррекции.

На серии нижеприведённых фотографий показаны фрагменты манипуляций на позвоночнике при лечении методом вертеброревитологии. Рассматривая снимки, можно увидеть хирургический шов на спине пациента после перенесённой ранее операции ламинэктомии. Основные действия совершаются под руками, поэтому со стороны данный метод не столь зрелищный, как его результаты, зафиксированные на снимках магнитнорезонансной томографии (с которыми вы ознакомитесь немного позже), — напомню, метода обследования, дающего подробное изображение различных структур организма и исчерпывающую информацию о состоянии позвоночника.

Для постороннего наблюдателя сеанс лечения методом вертеброревитологии напоминает глубокий паравертебральный массаж, который длится всего пару минут. Некоторым людям, плохо разбирающимся или не имеющим представления о физических и биохимических процессах, происходящих в живом организме, такая работа на первый взгляд кажется «лёгкой».


Однако подобная «лёгкость» — всего лишь результат многолетней практики в области вертебрологии, детальной отшлифовки профессиональных навыков и знаний. Работа, на самом деле, сложная, требующая не только владения многообразным спектром определённых приёмов, соответствующего опыта работы, понимания происходящих на данный момент физических и биохимических процессов в живом организме, но и детального расчёта последующей рациональной перестройки двигательного стереотипа, осевой нагрузки и иных параметров с учётом индивидуальных особенностей каждого пациента (в первую очередь анатомических, физиологических), патологических изменений в позвоночнике и так далее.

Такой многоплановый расчёт обеспечивает при последующем лечении создание прочной и главное функциональной биомеханической конструкции. Ведь пациент во время лечения методом вертеброревитологии ведёт привычный, подвижный образ жизни, всего лишь с внесением некоторых корректив. Последние исключают различные нагрузки, начиная от активной зарядки, бега и завершая висами, поднятием тяжести и так далее. При этом для активной трофики (питания) межпозвонкового диска соблюдается «золотое правило» — ходьба! Всем своим пациентам я настоятельно рекомендую хотя бы во время прохождения курса лечения ходить как можно больше, а сидеть как можно меньше. Поскольку в комплексе всех этих действий, а именно при лечении методом вертеброревитологии и соблюдении пациентом всех этих элементарных предписаний, идёт довольно активный процесс восстановления как поражённых дегенеративнодистрофическим процессом межпозвонковых дисков, так и биомеханики всего позвоночника в целом.

Приведу некоторые результаты из своего уже достаточно объёмного за многолетнюю практику медицинского архива. Начну обзор с интересного случая — устранения методом вертеброревитологии рецидива грыжи межпозвонкового диска в сегменте LIV-LV (после перенесённой ранее операции ламинэктомии, целью которой являлось удаление грыжи межпозвонкового диска в данном сегменте). С личного разрешения пациента В. В. Кондакова привожу выписку из истории его болезни, описание МРТ, МРТ-снимки до лечения и после одного курса лечения методом вертеброревитологии.


Фото 18. На фото выписка из истории болезни В. В. Кондакова, в которой подтверждается проведение операции ламинэктомии LIV, удаление срединной грыжи диска LIV—LV.


На МРТ № 120 общий снимок магнитно-резонансной томографии, на котором наблюдается рецидив — секвестрированная грыжа межпозвонкового диска LIV-LV — после перенесённой ранее операции ламинэктомии. Состояние поясничного отдела позвоночника до лечения методом вертеброревитологии.


Фото № 19 На фото наблюдается описание снимка МРТ, сделанного после одного курса лечения методом вертеброревитологии. В нём отмечается умеренная дегенерация дисков (LIV—SI). LIV-LV, LV—SI; на уровне LIV-LV состояние после операции, незначительный эпидуральный послеоперационный фиброз.


На МРТ № 121 общий снимок магнитно-резонансной томографии, на котором наблюдается полное отсутствие секвестрированной грыжи межпозвонкового диска в сегменте LIV-LV Состояние поясничного отдела позвоночника после одного курса лечения методом вертеброревитологии.


Для детального ознакомления приведу увеличенные фрагменты данных снимков до и после лечения методом вертеброревитологии.


На МРТ № 122 после ламинэктомии наблюдается рецидив — секвестрированная грыжа межпозвонкового диска LIV—LV

На МРТ №»123 наблюдается полное отсутствие секвестрированной грыжи межпозвонкового диска в сегменте LIV-LV Состояние поясничного отдела позвоночника после лечения методом вертеброревитологии


Вот так, без повторных операций состоялось устранение рецидива грыжи межпозвонкового диска, исключительно благодаря применению метода вертеброревитологии. За этим результатом в действительности стоит нелёгкий труд. Пожалуй, чтобы было более понятно, насколько сложно убрать рецидив грыжи межпозвонкового диска после ламинэктомии, следует подробнее рассказать о последствиях операции. В книге уже упоминалось, что ламинэктомия (лат. lamina — пластинка, гр. ektome — удаление, иссечение) — это хирургическая операция, которая предусматривает вскрытие позвоночного канала путём удаления дужек позвонков. То есть, в данном случае у пациента были удалены дужки четвёртого и пятого поясничных позвонков, для того чтобы произвести оперативный доступ к содержимому позвоночного канала, в частности к грыже межпозвонкового диска в сегменте LIV-LV. Надо отметить, что сама по себе ламинэктомия бесследно не проходит для позвоночника, тем более поражённого дистрофическим процессом (остеохондрозом). Ведь после подобного оперативного вмешательства ещё больше снижается выносливость позвоночника, сопротивляемость к вертикальным нагрузкам. В данном случае это послужило причиной образования рецидива грыжи межпозвонкового диска у этого пациента.

Более того, как известно, после хирургических вмешательств образуются рубцы как конечный этап восстановительного процесса при нарушении целостности тканей. Безусловно, характер и качество рубцов различны и зависят от целого ряда причин. Но возникновение рубцов неизбежно и это принимается как факт. Внешний рубец на коже, как правило, при аккуратно выполненной операции, может принести пациенту разве только некоторые эстетические неудобства. А вот внутренний рубец, который образуется после операции, в связи с нарушением целостности позвоночного канала и его идеально ровных и гладких стенок, это уже серьёзная причина для беспокойства, так как в образовавшийся после ламинэктомии дефект обязательно врастает соединительная ткань, которая, рубцуясь, образует плотный и прочный тяж внутри позвоночного канала. В результате зачастую развивается послеоперационный рубцовоспаечный эпидурит. А при этом процессе, как вы уже знаете из предыдущих глав, вполне возможен захват и «замуровывание» в рубец спинномозговых корешков, соответственно их сжимание и натяжение, что, естественно, будет вызывать боли у человека.

Таким образам, если сложить последствия — вертебральные дегенеративно-дистрофические изменения после ламинэктомии, послеоперационный рубцовоспаечный эпидурит, рецидив грыжи межпозвонкового диска, то получится весьма сложная ситуация. Разрешить её, даже с помощью ещё одной операции, крайне сложно. Да и исход подобных повторных операций далеко не всегда обеспечивает желаемый результат. Поэтому, когда разные специалисты (не только врачи, но и физики, биохимики, занимающиеся спектром вопросов в этой области медицины) видят подобные результаты устранения рецидивов грыж после ламинэктомии, да и другие, не менее впечатляющие результаты, к примеру по регенерации повреждённых дисков после применения метода вертеброревитологии, то всегда с большим интересом исследуют снимки МРТ, общаются с пациентами, уточняют нюансы, анализируют отдалённые результаты лечения и так далее. Ведь для прогрессивных учёных, врачей, которые на деле, а не на словах способствуют развитию науки вертебрологии, по-настоящему заботятся о здоровье своих пациентов, подобные результаты не просто реальное доказательство возможности устранения грыж нехирургическим путём, но и новый виток в науке — доказательство возможности активизации процесса регенерации поражённых дегенеративнодистрофическим процессом межпозвонковых дисков. Безусловно, все прекрасно понимают, что это только первые шаги в этой далеко не исследованной области знаний. Однако для науки перспектива её освоения довольно значима и заманчива — ведь в центре внимания восстановление жизни в почти мёртвой ткани организма! Поэтому опыт работ по вертеброревитологии несомненно представляет для данных специалистов огромный интерес.

Вот, например, один из таких уникальных случаев, связанных с активизацией репаративного ответа межпозвонкового диска после лечения методом вертеброревитологии.


На МРТ № 124 состояние поясничного отдела позвоночника (до применения метода вертеброревитологии): в сегменте LIV-LV наблюдается выраженный дегенеративный процесс в межпозвонковом диске с разрушением пульпозного ядра, снижением его высоты; в сегменте LV-SI наблюдается секвестрированная грыжа межпозвонкового диска с разрывом задней продольной связки, абсолютный стеноз спинномозгового канала.

На МРТ № 125 того же пациента отмечается состояние поясничного отдела позвоночника после двух курсов лечения методом вертеброревитологии: в сегменте LV-SI наблюдается отсутствие грыжи межпозвонкового диска, спондилёз, небольшой участок гипертрофии задней продольной связки (в месте разрыва). Но самое примечательное то, что особо интересует вышеуказанных профессиональных специалистов, — в межпозвонковых дисках отмечен активный процесс репаративной регенерации. А в межпозвонковом диске в сегменте LIV-LV он практически достиг полной реституции!

сегмент LIV-LV (до лечения) сегмент LIV-LV (после лечения)


Примечание: как правило, на качественных снимках МРТ, очень чётко просматривается состояние диска, благодаря цветовой гамме. Тёмные участки межпозвонкового диска соответствуют участкам расположения некротизированных тканей (мёртвых клеток). Светлые участки межпозвонкового диска соответствуют участкам расположения функциональных тканей (живых клеток).

Другой интересный случай — устранение секвестрированной грыжи с соответствующей активацией процесса восстановления межпозвонковых дисков.

К сожалению, в последнее время остеохондроз всё больше охватывает молодое поколение. Повальная гиподинамия — нарушение функций опорно-двигательного аппарата, кровообращения, дыхания, пищеварения и так далее вследствие ограничения двигательной активности — распространённое явление среди молодёжи. Приведённый ниже случай является довольно типичным в моей врачебной практике.


На МРТ № 128 наблюдается состояние поясничного отдела позвоночника после операции: рецидив грыжи межпозвонкового диска в сегменте LV-Sr с отрывом секвестра и его миграции в краниально-дорсальном направлении, разрыв задней продольной связки.

На МРТ № 129 наблюдается состояние поясничного отдела позвоночника после лечения методом вертеброревитологии: отсутствие грыжи межпозвонкового диска в сегменте L — S. В межпозвонковых дисках в сегментах LIV-LV, L — SI наблюдается процесс репаративной регенерации.


На МРТ № 130 наблюдается состояние поясничного отдела позвоночника после двух хирургических операций: рецидив грыжи межпозвонкового диска в сегменте LV-SI.

На МРТ № 131 наблюдается состояние поясничного отдела позвоночника после лечения методом вертеброревитологии.


Рецидив грыжи межпозвонкового диска после двух хирургических операций — и это у молодого человека в возрасте 16 лет! Чрезмерное увлечение компьютером, малоподвижный образ жизни основательно подорвали его здоровье. Всё это привело к тому, что в течение года, начиная с пятнадцатилетнего возраста, он практически не выходил из больниц. После первой хирургической операции на позвоночнике, менее чем через месяц, боли возобновились. Спустя два месяца его вновь прооперировали по поводу рецидива — грыжи межпозвонкового диска. После второй хирургической операции боли наблюдались практически два месяца подряд, потом затихли, но полностью так и не прошли. Через пять месяцев появилась слабость в обеих ногах. Сделали снимки МРТ, диагностировали рецидив грыжи межпозвонкового диска, естественно рекомендовали сделать очередную третью хирургическую операцию. В промежутках между операциями молодой пациент несколько раз находился на стационарном лечении в неврологическом отделении городской больницы. Именно там, после того как у парня была диагностирована очередная грыжа, лечащий врач посоветовал не спешить с третьей операцией и порекомендовал ему обратиться ко мне в клинику. Конечно, этот случай был далеко не простым и пришлось основательно потрудиться как мне, так и самому пациенту над восстановлением его здоровья. Но зато результат порадовал всех тех, кто непосредственно участвовал в этом процессе, и кто косвенно ему способствовал. Можно сказать, ещё одна судьба была изменена и молодой человек спасён от инвалидной коляски.


МРТ № 132МРТ № 133

На МРТ № 132 и МРТ № 133 — увеличенные фрагменты МРТ № 130 межпозвонковых дисков в сегментах LIV-LV и LV—SI до лечения методом вертеброревитологии. Структура межпозвонковых дисков неоднородна.


На МРТ № 134 и МРТ № 135 — увеличенные фрагменты МРТ № 131 межпозвонковых дисков в сегментах LIV-LV и LV—SI, после лечения методом вертеброревитологии.

Наблюдается весьма интересное явление — репаративная регенерация. Обратите внимание, насколько уменьшилось количество некрозной (мёртвой) ткани и увеличилось функциональной (живой) ткани. Примечательно, что хондроциты при регенерации в данной фазе формируют вертикальные и наклонные «колонны» согласно вектору нагрузки на межпозвонковый диск в районе фиброзного кольца. В центре межпозвонкового диска наблюдается не менее интересное явление — начало регенерации пульпозного ядра!


Следующий случай можно назвать абсолютно беспрецедентным в истории науки вертебрологии и новым этапом в развитии вертеброревитологии. С помощью метода вертеброревитологии удалось практически полностью восстановить (по сути заново вырастить) отсутствующий межпозвонковый диск! И это без всяких химических препаратов, а исключительно благодаря естественному восстановлению биомеханики позвоночника — выстраиванию определённой биомеханической конструкции. При построении последней были достигнуты оптимальные условия для активизации резервных возможностей организма, что, в свою очередь, способствовало запуску репаративной регенерации вплоть до реституции диска, который в своё время был практически полностью удалён. Это удивительное явление, сравнимое разве что с реанимацией. Впрочем, всё по порядку.


На МРТ № 136 наблюдается состояние поясничного отдела позвоночника после перенесенной ранее операции по удалению грыжи межпозвонкового диска в сегменте LV-SI (практически полное отсутствие межпозвонкового диска), а также грыжа межпозвонкового диска в сегменте LIV-LV, абсолютный стеноз спинномозгового канала, сглаженность физиологического лордоза.

На МРТ № 137 наблюдается выраженный спондилоартроз со смещением суставных поверхностей по отношению друг к другу (нарушение конгруэнтности) вследствие снижения высоты межпозвонковых дисков в сегментах LIV-LV и LV-SI и сглаженности физиологического лордоза.

На МРТ №°138 наблюдается состояние поясничного отдела позвоночника после лечения методом вертеброревитологии: отсутствие грыжи межпозвонкового диска в сегменте LIV-LV, отсутствие стеноза спинномозгового канала, восстановление физиологического лордоза. И самое главное — восстановлен полностью утраченный межпозвонковый диск в сегменте LV-SI!


Данный пациент, лечение позвоночника которого, по сути, открыло новые горизонты перспектив развития метода вертеброревитологии, — женщина, 1952 года рождения, по образованию — медик. В общем, это не удивительно и даже очень символично. Ведь женщина издревле считалась архетипическим образом (архео — греч. arche — начало, исконный; тип — греч. typos — образец, форма, отпечаток; то есть прообраз, первоначало), великой Богиней Матерью, ответственной за возрождение (регенерацию; от лат. regeeratio — возрождение, возобновление) человечества. Более того, она считалась источником жизненной силы, несущей в себе созидательные функции, и даже, как указывается в мифологии разных народов мира, источником бессмертия, как высшего проявления этой силы. Очевидно не случайно значение женского начала в качестве мудрости (Софии) и высшей добродетели (Марии, Богородицы, Богоматери) символично считается олицетворением прогрессивной науки.

Так вот, касательно этого уникального случая. Данная женщина была прооперирована по поводу грыжи межпозвонкового диска в сегменте LV-SI. Во время операции, с целью профилактики рецидива, был также удален и сам диск. Это, соответственно, привело к нарушению взаиморасположения (конгруэнтности) суставных поверхностей дугоотростчатых суставов, к «соскальзыванию» позвонка LV кзади (ретроспондилолистезу), что в свою очередь привело к уплощению физиологического лордоза. Таким образом, и без того сниженная выносливость позвоночника, пораженного дегенеративно-дистрофическим процессом, каковым и является остеохондроз, приведший к формированию грыжи, усугубилась ещё больше. А это в свою очередь усугубило биомеханические нарушения и ускорило развитие дегенерации в других сегментах позвоночника. Вследствие данного процесса произошло образование новой грыжи межпозвонкового диска в вышележащем сегменте LIV-LV, расположенном над прооперированным сегментом. Делать вторую операцию пациентка категорически отказалась, тем более что, будучи медиком, она прекрасно осознавала, чем это грозит её здоровью. Собственно это обстоятельство и послужило поводом для посещения данной пациентки моей клиники.

Со своей стороны меня заинтересовал этот случай как возможность повысить планку совершенствования метода вертеброревитологии. Ведь на сегодняшний день «убрать» грыжу межпозвонкового диска с помощью данного метода несложно, поэтому уже и не так интересно. А так как именно интерес к познанию и постоянное стремление к совершенству являются истинными двигателями науки (как впрочем и смыслом жизни человеческой), то приходится, как в спорте, постоянно повышать планку самому себе. К тому же на тот момент работа с теоретическими расчётами по этому поводу близилась к завершению. И хотя состояния позвоночника данной пациентки не совсем соответствовало предварительным расчётам для такой научно-экспериментальной работы, всё же я решил начать новый этап в развитии вертеброревитологии именно с данного случая. К тому же пациентка была хорошим, позитивным человеком, в жизни сделала много полезного и доброго для людей, поэтому желание ей помочь было вполне искренним и закономерным.

Однако вначале, пожалуй, поясню, почему состояния позвоночника этой женщины значительно усложняло уже имеющиеся теоретические расчёты. Во-первых, во время операции данной пациентке практически полностью удалили межпозвонковый диск. Если внимательно рассмотрите снимок МРТ № 136, то увидите в сегменте LV-SI, лишь незначительное количество оставшихся живых клеток (фрагментов) пульпозного ядра в вентральной части бывшего диска. Во-вторых, гиалиновые пластинки значительно изменены, наблюдается тенденция к сращению смежных тел позвонков. В-третьих, имеется спондилёз и остеофиты в двух сегментах LIV—LV и LV-SI, а также гипертрофия передней связки на этом уровне. В-четвертых, пожалуй, это самый главный аргумент — наличие спондилоартроза, деформация с разрастанием дугоотростчатых суставов на уровне пораженных сегментов (МРТ № 137). А если учесть, что именно дугоотростчатые суставы служат основной опорой в выстраиваемой биомеханической конструкции по методу вертеброревитологии для оптимизации условий к активизации репаративной регенерации, то, естественно, это могло в значительной степени осложнить весь процесс восстановления межпозвонкового диска (я имею в виду в сегменте Ly — Sj) и свести на нет всетеоретические расчеты.

Но с другой стороны этот случай был весьма привлекателен в первую очередь для чистоты эксперимента, ведь верность теоретических расчётов предстояло проверить в максимально сложных условиях. К тому же случай был довольно редкий. Дело в том, что такие операции, во время которых с целью профилактики рецидива производят тотальное (полное) удаление межпозвонкового диска, без последующего спондилодеза, крайне редки. Поэтому возможность восстановить полностью диск из совершенно случайно оставшихся единичных его клеток представляла для меня особый научный интерес. Ведь в повседневной практике лечения остеохондроза методом вертеброревитологии в основном приходится иметь дело с восстановлением межпозвонковых дисков, поражённых дегенеративно-дистрофическим процессом. Как известно, при развитии остеохондроза, организм в «борьбе за жизнь», сохраняет в изогенных группах наиболее активные и предрасположенные к регенерации клетки поражённого межпозвонкового диска. Естественно, восстанавливать такой диск намного проще, чем из случайно оставшихся клеток на месте удалённого диска. Однако именно последнее доказывает, что даже такие клетки межпозвонкового диска способны к полной репаративной регенерации! Вот почему эта работа столь сложна и интересна как в практическом, так и научном плане!

Прежде чем приступить к данной работе, я просчитал все возможные риски и удостоверился, что грыжу межпозвонкового диска в сегменте LIV—LV я уберу в любом случае, и даже если бы у меня не получилось восстановить межпозвонковый диск в сегменте LV—SI, то это бы не усугубило здоровье данной пациентки. Должен заметить, что труд был довольно кропотливым, но результаты этой сложной работы оправдали ожидания. Поставленная задача была успешно решена: на практике мне удалось доказать свои же теоретические предположения о возможном восстановлении межпозвонкового диска даже в далеко зашедшей стадии дегенерации, то есть вывести из финальной стадии развития дегенерации межпозвонковый диск и восстановить его до полной функциональной состоятельности. Конечно, основная цель была достигнута, однако сама конструкция, на мой взгляд, была построена не совсем идеально. При восстановлении биомеханики позвоночника и создании условий для восстановления межпозвонковых дисков в сегментах LIV—LV и LV-SI мне пришлось установить позвонок LIV под небольшим углом по отношению к позвонку LV, что было обусловлено значительными изменениями (разрастаниями) дугоотростчатых суставов в данных сегментах. Но несмотря на этот эстетический нюанс, «конструкция» получилась довольно стабильная и функциональная (МРТ № 138).

Этот случай свидетельствует о том, как мало наука ещё знает об уникальных возможностях человеческого организма! Есть много талантливых учёных, которые испытывают настоящую жажду поиска, желание помочь людям, совершить прорыв в той или иной области знаний. И порой им не хватает всего лишь самой малости — изменить угол зрения на казалось бы неразрешимую проблему и она будет решена. Например возвращаясь к вопросам о репарации межпозвонкового диска. Долгое время учёные пытались (да и сейчас некоторые из них продолжают экспериментировать) осуществить её активизацию при помощи введения в диск различных химических веществ и препаратов. Однако столь грубое вмешательство в неизученную систему многопланового тонкого взаимодействия и функционирования живой ткани организма не давало и не даст необходимого эффекта. До создания метода вертеброревитологии считалось, что остеохондроз обратного развития не имеет. Стоило только позволить себе изменить угол зрения на данную проблему, подключить не только логику, но и образное мышление, как проблема была успешно решена. Другими словами, изучая процесс, не стоит руководствоваться исключительно штампами и стереотипами чужого мышления, не нужно ставить ограничительные рамки на собственное сознание. Необходимо комплексно, всесторонне и незаангажировано подходить к проблеме. И, конечно же, помнить, что в науке были, есть и будут множество неисследованных граней, открытие которых может послужить толчком к глобальному изменению мировосприятия и, соответственно, открытию неожиданных источников новых возможностей.

Однако вернёмся непосредственно к теме лечения грыж межпозвонкового диска. Следующие случаи из накопившейся документации свидетельствуют об эффективном лечении методом вертеброревитологии секвестрированных грыж даже весьма значительных размеров. В моей повседневной практике такие сложные работы, связанные с устранением грыж, стали уже нормой.


На МРТ № 139 — состояние поясничного отдела позвоночника: рецидив грыжи межпозвонкового диска после хирургической операции. Наблюдается абсолютный стеноз спинномозгового канала, грыжа межпозвонкового диска в сегменте LV-SI , осложнённая массивным секвестром с его миграцией как в каудальном (вниз), так и в краниальном (вверх) направлении. Размер грыжи дорсально — до 14,5 мм, каудально-краниально — до 26,8 мм.

На МРТ № 140 наблюдается состояние поясничного отдела позвоночника после лечения методом вертеброревитологии: отсутствие грыжи межпозвонкового диска в сегменте LV-SI , отсутствие стеноза позвоночного канала.


А вот этот случай запомнился упорством пациента, страх которого перед операцией был столь велик, несмотря на значительные боли, что по сути сами нейрохирурги, уставшие объяснять ему очевидные вещи и знавшие не понаслышке о методе вертеброревитологии, «переадресовали» строптивого пациента ко мне в клинику. Но, как говорится, всё, что ни делается, — всё к лучшему.


На МРТ № 141 наблюдается состояние поясничного отдела позвоночника: секвестрированная грыжа межпозвонкового диска в сегменте LV-SI, абсолютный стеноз спинномозгового канала.

На МРТ №°142 — состояние поясничного отдела позвоночника данного пациента после лечения методом вертеброревитологии: отсутствует грыжа межпозвонкового диска в сегменте LV-SI, более того, наблюдается активизация репаративного процесса в межпозвонковом диске данного сегмента.


Состояние данного пациента было тяжёлым, в течение двух месяцев боли не купировались и он практически не спал. Нейрохирурги настаивали на срочной операции и были правы: показания к операции в данном случае — 100 %. Но пациент испытывал сильное беспокойство и страх по этому поводу, так как после аналогичной операции его родственник утратил способность к самостоятельному передвижению, стал инвалидом и потерял доходную работу. Ну что поделаешь, если человек был свидетелем таких печальных последствий, как говорится в пословице, — только слепой не боится призраков. Как врачи ни объясняли сложность его ситуации, пациент упорно не хотел оперироваться, а лекарства уже практически не действовали. Но нейрохирурги ведь тоже люди, терпение у них хоть и большое, но не «железное». В результате они дали пациенту адрес клиники вертеброревитологии. Как оказалось впоследствии, эта попытка нейрохирургов помочь пациенту была поистине их «соломоновым решением».

Бывали случаи, когда пациенты с большими секвестрированными грыжами проходили всего лишь один курс лечения (24 сеанса), после которого наблюдалось не только устранение грыж, но и происходило довольно быстрое восстановление как межпозвонковых дисков, так и биомеханики позвоночника. Какие обстоятельства этому способствовали? Помимо построения биомеханической конструкции методом вертеброревитологии, этому также способствовали индивидуальные особенности данных пациентов (приемлемые для регенерации возрастные характеристики пациента (до 60 лет), отсутствие лишнего веса, наличие хорошего иммунитета и много других предрасполагающих к данному лечению факторов), соблюдение пациентами элементарных условий для реабилитации (восстановления) позвоночника. Такие случаи, где было достаточно одного курса методом вертеброревитологии, конечно, единичны. Однако они весьма показательны по вариабельности возможностей мобилизации и восстановления человеческого организма.

Вот один из таких случаев. Он связан с моим пациентом — известным певцом, телеведущим да и просто хорошим человеком. Как в этом случае, так и в дальнейшем по этическим соображениям я не буду называть фамилии данных людей, а буду опираться лишь на конкретные результаты.


На МРТ №143 наблюдается состояние поясничного отдела позвоночника данного пациента до оперативного вмешательства: незначительных размеров грыжа межпозвонкового диска в сегменте LV-SI. Была проведена хирургическая операция межпозвонкового диска в сегменте LV-SI с целью профилактики возможных осложнений и дальнейшего прогрессирования грыжи.

На МРТ №144 наблюдается состояние поясничного отдела позвоночника того же пациента после хирургического вмешательства: рецидив грыжи (но уже со значительным секвестром) межпозвонкового диска в сегменте LV-SI, стеноз позвоночного канала и, естественно, соответствующие осложнения, вызванные такой ситуацией (во избежание которых собственно и была проведена операция).

На МРТ №145 наблюдается состояние поясничного отдела позвоночника того же пациента после одного курса лечения методом вертеброревитологии: отсутствие секвестрированной грыжи, стеноза позвоночного канала.


Ещё один довольно тяжёлый случай. Однако, как говорят врачи, пациент и врач предполагают, а природа располагает. Здесь также было достаточно одного курса лечения.


На МРТ №146 в поясничном отделе позвоночника наблюдается секвестрированная грыжа межпозвонкового диска в сегменте LIV-LV с разрывом задней продольной связки.

На МРТ № 147 наблюдается результат после одного курса лечения методом вертеброревитологии.

Этот случай особо запомнился своей сложностью, а также большим желанием данного человека восстановить утраченное здоровье.


На МРТ № 148 наблюдается состояние поясничного отдела позвоночника после хирургических операций: рецидив грыжи межпозвонкового диска в сегменте LV-SI, осложнённой массивным секвестром с краниальной миграцией. Размер грыжи до 15 мм дорсально (кзади) и до 34 мм — краниально (вверх).

На МРТ № 149 наблюдается состояние поясничного отдела позвоночника после одного курса лечения методом вертеброревитологии.


Вот ещё один любопытный результат из этого раздела документальной медицинской информации, который заслуживает внимания.


На МРТ № 150 в поясничном отделе позвоночника наблюдается рецидив грыжи после перенесённых пациентом двух хирургических операций: секвестрированная грыжа межпозвонкового диска в сегменте LV-SI .

На МРТ № 151 наблюдается состояние поясничного отдела позвоночника после одного курса лечения методом вертеброревитологии.


И ещё один пример устранения секвестрированной грыжи межпозвонкового диска.


На МРТ № 152 наблюдается секвестрированная грыжа межпозвонкового диска в сегменте LV-SI.

На МРТ № 153 наблюдается состояние поясничного отдела позвоночника после одного курса лечения методом вертеброревитологии.


Многолетние наблюдения показали, что когда усилиями врача и пациента создаются идеальные условия для регенерации повреждённых дегенеративно-дистрофическим процессом межпозвонковых дисков и в период реабилитации с данным пациентом не происходят, например, случаи травматизации и «срывов», вследствие чрезмерной физической нагрузки, то выстраиваемая, благодаря методу вертеброревитологии, биомеханическая конструкция после последнего сеанса может держаться фактически год, — то есть весь продолжительный период постепенной регенерации вплоть до полной реституции межпозвонкового диска. Это подтверждено результатами МРТ-снимков, в том числе пациентов, живущих в дальнем зарубежье и не имеющих возможности по тем или иным причинам приезжать ко мне в клинику вертеброревитологии на контрольные сеансы. Однако контакт с пациентами не прерывается, что обеспечивает возможность отслеживать состояние их позвоночника в течение длительного периода времени.

Приведу ещё пример, связанный с результатами лечения методом вертеброревитологии.


На МРТ № 154 наблюдается состояние поясничного отдела позвоночника после двух операций в сегментах LIII-LIV и LV-SI секвестрированная грыжа межпозвонкового диска в сегменте LIV-LV, абсолютный стеноз спинномозгового канала.

На МРТ № 155 — состояние поясничного отдела позвоночника после лечения методом вертеброревитологии.

А в этом случае пациента привезли в клинику с целым «букетом» заболеваний позвоночника.


На МРТ № 156 наблюдается состояние поясничного отдела позвоночника после операций: рецидив грыжи межпозвонкового диска в сегменте LIV-LV, абсолютный стеноз спинномозгового канала на этом уровне, спондилёз, эпидурит, арахноидит, наблюдается грыжа межпозвонкового диска в сегменте LV—SI.

На МРТ № 157 — состояние поясничного отдела позвоночника после лечения методом вертеброревитологии. Обратите внимание на процессы репаративной регенерации в межпозвонковых дисках в сегментах LIV-LV и LV-SI после лечения данным методом.


Следующий случай также по-своему уникален. Это ещё одно прямое свидетельство широкого спектра возможностей вертеброревитологии в решении задач, многие из которых на современном этапе медицины считались неразрешимыми.


На МРТ № 158 наблюдается состояние поясничного отдела позвоночника после хирургической операции в сегменте LV—SI и образовавшаяся секвестрированная грыжа межпозвонкового диска в сегменте LIV-LV с каудальной (вниз) миграцией секвестра вдоль тела позвонка LV, сужение просвета спинномозгового канала (стеноз).

На МРТ № 159 — состояние поясничного отдела позвоночника после лечения методом вертеброревитологии: отсутствие грыжи межпозвонкового диска в сегменте LIV-LV, ширина в данном участке спинномозгового канала восстановлена до естественной его нормы.


Конечно, с позиции наблюдателя, неискушённого в тонкостях вариабельности различных коварных патологий, МРТ № 158, после вышерассмотренных грыж значительных размеров, мягко говоря, не впечатляет. Но специалисты, надеюсь, прекрасно понимают, насколько это сложный случай, даже по сравнению с эпизодами наличия больших секвестрированных грыж. Думаю, что подробности этого случая будет интересно узнать также и вам, уважаемый читатель. Дело в том, что у данного пациента по природе довольно суженный спинномозговой канал, то есть, говоря медицинским языком, наблюдается стеноз спинномозгового канала первого типа (врождённый). А здесь ещё и такое осложнение: длительная локализация секвестра грыжи вследствие постоянных воспалительных процессов вызвала гипертрофию задней продольной связки и своеобразно «подпаялась» к ней. Таким образом, подобная патология (секвестр) значительно усугубила ситуацию: практически на 50 % дополнительно сузила и так изначально врождённый узкий спинномозговой канал. Естественно, у пациента появились боли и слабость в обеих ногах.


МРТ № 160

На МРТ № 160 наблюдается увеличенный фрагмент локализации секвестра грыжи в сегменте LIV-LV в узком спинномозговом канале.


В таких случаях у врачей возникает совершенно обоснованный вопрос: «Что делать?» Ведь даже если сделать микрохирургическую операцию по удалению данной грыжи, всё равно послеоперационные спайки и рубцы могут впоследствии продублировать эту ситуацию опасного сужения спинномозгового канала в данном участке. Ситуация казалась бы безвыходная. Нейрохирург, к которому попал на консультацию этот пациент, оказался человеком порядочным. Он безусловно предложил ему свои услуги в качестве экстренной помощи, но в то же время честно объяснил, какая может возникнуть ситуация после операции. Данный пациент оказался человеком умным, с высшим техническим образованием. Оценив ситуацию, он не стал спешить с операцией, а основательно подошёл к вопросу своего здоровья, начав штудировать медицинскую литературу. Должен заметить, когда мы с ним встретились, то он просто удивил меня своей подкованностью в медицинских знаниях. С ним было приятно общаться и как с человеком, и как с пациентом, профессионально подошедшим к вопросам своего здоровья. Честно признаюсь, меня это подкупило. Как говорится, умных людей надо беречь, их нынче мало осталось, и я взялся за этот сложный случай. В результате, несмотря на все вышеперечисленное, всё-таки удалось за два курса устранить секвестр без оперативного вмешательства (МРТ № 159).

Несколько слов хотелось бы сказать и о такой сложной медико-социальной проблеме, как женское и мужское бесплодие, одной из многочисленных причин которого, по моим наблюдениям, могут служить вертеброгенные патологии. Интенсивный рост числа случаев бесплодия наблюдается не только в нашей стране, но и во всём цивилизованном мире. По прогнозам специалистов, эта тенденция, к сожалению, будет только нарастать. По сути на сегодняшний день с данной проблемой сталкивается практически каждая пятая супружеская пара. Над проблемой бесплодия работают многие институты, сотрудники которых пытаются найти новые прогрессивные подходы к решению этой проблемы, повышению эффективности лечения. Приблизительно 15 % всех случаев бесплодия диагностируется как «бесплодие неясного генеза», то есть бесплодие, причину которого установить не удалось при проведении всевозможных диагностических методов обследований репродуктивной системы. Другими словами, данная патология не обязательно может носить гинекологический характер.

Безусловно, вопросами проблем бесплодия должны заниматься специалисты, практикующие в данном направлении. В помощь их исследованиям по этой проблеме, исходя из личного опыта применения вертеброревитологии при лечении остеохондроза позвоночника, я могу лишь подчеркнуть явную связь нарушения репродуктивной функции с вертеброгенной патологией. Конечно, специальных исследований по вопросам женского бесплодия я не проводил. Однако в своей врачебной практике многократно отмечал тот факт, что после лечения остеохондроза позвоночника методом вертеброревитологии пациенткам, имеющим ранее диагноз «бесплодия», удавалось забеременеть. Причём наблюдались даже случаи, когда впоследствии, после лечения позвоночника методом вертеброревитологии, успешно беременели, вынашивали и рожали здоровых детей даже те пациентки, которые до этого неоднократно и безуспешно проводили экстракорпоральное оплодотворение. В принципе ничего удивительного здесь нет, так как иннервация детородных органов связана с позвоночником. А вследствие развития дегенеративно-дистрофического процесса в позвоночнике эта иннервация довольно часто нарушается, что, естественно, приводит к расстройству репродуктивной функции. Таким образом, логичен вывод, что тактика реабилитации репродуктивной функции должна определяться с позиции целостности всего организма, учитывая изменения, возникающие в его различных функциональных системах.

А вот специальные исследования в отношении мужчин мы с коллегами проводили ещё десять лет назад. Даже были рационализаторские предложения на тему «Метод коррекции сексуальных расстройств у мужчин, страдающих поясничным остеохондрозом». Совместно с моими соавторами (ведущими сексологами) по данной теме проводился анализ вертебросексуальных корреляций (лат. correlatio — соотношение; связь, взаимозависимость) при заболеваниях позвоночника и оценка применения метода вертеброревитологии у больных с поясничным остеохондрозом, у которых прослеживались полярные сдвиги — от резкого угнетения либидо до непереносимости сексуальной абстиненции (лат. abstinentia — воздержание). При проведении данного исследования метод вертеброревитологии был применён на 73 пациентах и дал 100 % положительный результат.

Ещё один довольно-таки сложный, но тем и примечательный случай, который связан не только с вышеуказанной темой, но и с наличием у пациентки грыжи межпозвонкового диска, жировой дегенерации тела позвонка вдоль замыкательной пластинки. У этой пациентки был целый «букет» различных проблем со здоровьем, начиная от бесплодия и заканчивая серьёзными проблемами со спиной. Дело в том, что грыжа в данном случае состояла преимущественно из некрозной ткани диска. Да к тому же имелась жировая дегенерация тела позвонка L вдоль нижней уплотнённой замыкательной пластинки. Жировая дегенерация ткани — это ухудшение состояния ткани, вызванное отложением аномально большого количества жира в её клетках. Для межпозвонкового диска, поражённого дегенеративно-дистрофическим процессом, эта ситуация патовая. Образно говоря, это равносильно основательному «засорению» проходов, по которым поступают питательные вещества из тела позвонка в диск. Диск же без питания обречён на гибель.


На МРТ № 161 наблюдается поясничный отдел позвоночника: секвестрированная грыжа межпозвонкового диска в сегменте LV-SI, абсолютный стеноз позвоночного канала. Светлый участок на теле позвонка LV — жировая дегенерация ткани.

На МРТ № 162 наблюдается поясничный отдел позвоночника после двух курсов лечения методом вертеброревитологии: отсутствие грыжи межпозвонкового диска в сегменте LV-SI, отсутствие стеноза позвоночного канала, стабильное состояние практически полностью утилизированного диска в сегменте LV-SI.

На МРТ № 163 наблюдается поясничный отдел позвоночника после двух курсов лечения методом вертеброревитологии: восстановление биомеханики позвоночника, нормальное соотношение дугоотростчатых суставов, фораминальные отверстия в норме.


Вот почему такие случаи считаются весьма сложными. Это практически исключает малоинвазивные хирургические методы не из-за того, что такие операции нельзя провести. Сделать их можно, только рецидив и другие осложнения — гарантированы. Наиболее разумным в таком случае, конечно, была бы тотальная дискэктомия с последующей стабилизацией с учётом биомеханических и дегенеративных изменений в вышележащих сегментах. Однако так сложилось, что данная пациентка отказалась от предложенного оперативного лечения и стала искать «обходные пути», а хирурги не стали настаивать на операции. Поэтому, спустя определённое время, она обратилась ко мне в клинику.

Безусловно, случай сложный. Но как говорится, возобладал профессиональный интерес. Ведь чем сложнее ситуация, тем больше она требует умения, научно-практического подхода в решении данной проблемы, мобилизации знаний и навыков. Пациентка прошла два курса лечения методом вертеброревитологии. За это время мне удалось не только устранить грыжу межпозвонкового диска, но и выстроить такую функциональную биомеханическую конструкцию позвоночника, при которой были восстановлены нормальные соотношения суставных поверхностей, естественные (нестенозированные) размеры фораминальных отверстий. Столь хороший результат лечения позвоночника не замедлил отразиться и на восстановлении репродуктивной функции данной пациентки. Практически сразу после второго курса лечения методом вертеброревитологии женщине наконец-то удалось забеременеть. Более того, она благополучно выносила ребёнка и родила здорового и крепкого малыша. Контрольные снимки были сделаны через полгода после родов (МРТ № 162 и № 163). Они говорят о том, что выстроенная с помощью метода вертеброревитологии биомеханическая конструкция отлично сохранилась, даже с учётом нагрузок и изменений в организме женщины, связанных с вынашиванием плода. На сегодняшний день самочувствие счастливой мамы и малыша хорошее. Как говорится, и слава Богу!

В своей повседневной практике мне приходится сталкиваться с самыми разными людьми и случаями разнообразных патологий позвоночника. Большой процент составляют пациенты, которые уже пытались лечить свой позвоночник, поражённый дегенеративно-дистрофическим процессом, методами вытяжения, мануальной терапии, укреплением мышечного корсета. Слушая истории их мытарств «по докторам», удивляет, с какой лёгкостью люди добровольно усугубляют состояние своего здоровья, даже не задумываясь о тех негативных последствиях для организма, которые их ожидают в ближайшем будущем. И когда начинаешь объяснять по снимкам МРТ состояние их позвоночника на данный момент после пройденного «лечения» вышеперечисленными методами, то человек, как правило, следуя на поводу у своей неизменной, любимой привычки, начинает винить всех и вся, но только не себя. Но спрашивается, чего махать кулаками после драки? Да и причём тут эти врачи, если детально разобраться? Часть из них, уверен, даже не знает, что происходит со здоровьем пациента через год, через два, потому что не занимается отслеживанием таких отдалённых результатов. Другая часть, даже если и знает, то обещает вполне реальное — устранить боль после лечения. С юридической точки зрения они чисты. Боль после лечения во многих случаях уходит (временно, конечно, но уходит), а за отдалённые последствия вам никто ничего не обещал.

Ну что поделаешь, если общество у нас так устроено, всё в нём шиворот-навыворот, не по-человечески. Но ведь всё в руках людей, в руках каждого человека. Уверен, что ситуацию можно исправить. Если люди начнут хотя бы немного человечнее относиться друг к другу, если в сфере той же медицины пациенты станут грамотнее в вопросах собственного здоровья, так сказать профессиональнее относиться к своим заболеваниям, то и врачи никуда не денутся — им придётся повышать уровень своих знаний и изыскивать индивидуально для каждого пациента наиболее приемлемые методы и способы лечения. Спрос на качество порождает соответствующее предложение. Так что обществу и каждой его ячейке нужны не взаимные обвинения и распри, а консолидация усилий. Только в этом случае можно добиться качественного результата! Надеюсь, что так оно и будет. В противном случае, как свидетельствует история, общество, где господствуют распри, обречено на гибель.

Так что на сегодняшний день пока приходится работать в условиях, когда люди озадачены не общим светлым будущим и благими стремлениями, а своим тёмным настоящим и взаимными обвинениями. Приведу ряд случаев из своей врачебной практики, связанных с последствиями лечения методами вытяжения, мануальной терапии, укрепления мышечного корсета, и, соответственно, возможностями вертеброревитологии по их устранению. Надеюсь, что они дадут рациональную пищу для размышления как пациентам, так и специалистам, практикующим в данной области, и помогут сделать соответствующие прогрессивные выводы, которые приведут к новому витку в развитии науки вертебрологии.

О процессах, которые происходят в позвоночнике при применении метода вытяжения, подробнее рассказывалось, как вы помните, в главе «Тракционные методы лечения — вытяжение». Поэтому я не буду повторяться, а лишь констатирую для примера некоторые случаи из моего медицинского архива, в которых удалось устранить соответствующие последствия (как правило, связанные с грыжами межпозвонковых дисков) после применения данных методов.

Итак, наиболее типичный случай образования грыжи диска, осложнённой секвестром после вытяжения позвоночника.


На МРТ № 164 наблюдается поясничный отдел позвоночника: секвестрированная грыжа межпозвонкового диска в сегменте LIV-LV с разрывом задней продольной связки, абсолютный стеноз спинномозгового канала.

На МРТ № 165 состояние поясничного отдела позвоночника после лечения методом вертеброревитологии: отсутствие грыжи межпозвонкового диска в сегменте LIV-LV, отсутствие стеноза спинномозгового канала, восстановление физиологического лордоза.


Обратите внимание на форму позвоночника и расположение позвонков в данном отделе до лечения (МРТ № 164). Вы увидите явное сглаживание поясничного лордоза, клиновидную форму межпозвонкового диска LIV-LV с расширением кзади (где и образовалась секвестрированная грыжа межпозвонкового диска). Как вы помните, наш позвоночник устроен так, что при его растяжении (вытяжении, висе на турнике и так далее) вначале растягиваются суставы, потом задние отделы межпозвонкового диска, а передние его отделы сближаются. Таким образом, содержимое межпозвонкового диска под давлением устремляется от передних отделов к задним. Напомню, что именно задние отделы фиброзного кольца наиболее слабые и легко уязвимые, поэтому именно в них и образуются протрузия или грыжа межпозвонкового диска. Таким образом, при вытяжении позвоночника получается перерастяжение задних отделов фиброзного кольца, что при наличии грыжи межпозвонкового диска способствует ускорению процесса разрыва фиброзного кольца и увеличению размеров грыжи, вплоть до осложнения секвестром. Эти процессы и наблюдаются на МРТ № 164.


На МРТ № 166 (увеличенный фрагмент МРТ № 164) наблюдается помимо секвестрированной грыжи межпозвонкового диска также и спондилёз, то есть хроническое дегенеративно-дистрофическое заболевание позвоночника (формирование костных выростов по краям тел позвонков), что говорит о длительности заболевания и наличии в прошлом (до лечения вытяжением) протрузии. Эти факты свидетельствуют о прямых противопоказаниях к вытяжению позвоночника.

На МРТ № 167 (увеличенный фрагмент МРТ № 165) наблюдается состояние межпозвонкового диска после лечения методом вертеброревитологии. «Клиновидность» межпозвонкового диска устранена в связи с восстановлением биомеханики позвоночника. Оставшийся спондилёз — костный нарост, образовавшийся вследствие «включения» компенсаторных механизмов над выпятившимся межпозвонковым диском, к сожалению, обратного развития не имеет. Однако это «не мешает жить», поскольку главная причина, спровоцировавшая нарушение функций позвоночника и, соответственно, нестерпимые боли у пациента (секвестрированная грыжа диска, вызвавшая абсолютный стеноз спинномозгового канала), была устранена методом вертеброревитологии.


Другой случай связан с устранением последствий после лечения методами мануальной терапии.


На МРТ № 168 наблюдается состояние поясничного отдела позвоночника: секвестрированная грыжа межпозвонкового диска в сегменте LIV-LV с разрывом задней продольной связки, отрывом фрагмента секвестра с его дорсальной миграцией, абсолютный стеноз спинномозгового канала. Такое состояние — последствия лечения протрузии межпозвонкового диска с применением хиропрактической техники манипуляций на позвоночнике (мануальная терапия).

На МРТ № 169 — состояние поясничного отдела позвоночника после лечения методом вертеброревитологии: отсутствие грыжи межпозвонкового диска в сегменте LIV-LV, отсутствие стеноза спинномозгового канала.


Разные люди, разные случаи. В следующем примере столь значительное ухудшение состояния здоровья пациента было спровоцировано его индивидуальными занятиями на приспособлении для вытяжения позвоночника. А всё началось с банального желания избавиться от «стартовых» болей в пояснице.


На МРТ № 170 наблюдается состояние поясничного отдела позвоночника: ретроспондилолистез LV (соскальзывание позвонка относительно другого позвонка), протрузии межпозвонковых дисков в сегментах LII—LIV и LIV-LV

На МРТ № 171 наблюдается состояние поясничного отдела позвоночника: ретроспондилолистез LV увеличение протрузии межпозвонкового диска в сегменте LIII-LIV, образование секвестрированной грыжи межпозвонкового диска в сегменте LIV-LV с разрывом задней продольной связки, абсолютный стеноз на этом уровне.

На МРТ № 172 — состояние поясничного отдела позвоночника в середине первого курса лечения методом вертеброревитологии (после двух недель от начала лечения): наблюдается положительная динамика, выраженная ретрузия секвестра грыжи межпозвонкового диска в сегменте LIV-LV, визуально прослеживается увеличение высоты межпозвонкового диска в том же сегменте, что свидетельствует о начавшемся активном процессе его восстановления, значительное уменьшение стеноза спинномозгового канала на данном уровне.


«Стартовые» боли в пояснице в основном проявлялись, когда данный человек выходил из автомобиля. В течение нескольких минут они ему «мешали распрямить спину». Потом, правда, исчезали и могли вновь напомнить о себе после длительного сидения в кресле или в автомобиле. Но так как пациент в силу своих служебных обязанностей вынужден много сидеть (проводить многочасовые совещания, работать с бумагами и так далее), то, естественно, эти боли его раздражали. Как говорится, чрезмерная бюрократия вредна не только для здоровой экономики страны, но и для здоровья самого бюрократа.

После того как ему сделали снимок (МРТ № 170) и выяснили, что данные боли возникают вследствие развития спондилолистеза, то, естественно, пациенту предложили операцию с целью стабилизации поражённого сегмента. Не поверив нашим эскулапам (нет пророка в своём Отечестве), пациент отправился в знаменитую клинику за границу, где «светилы» зарубежной медицины (в основном наши бывшие соотечественники) также подтвердили необходимость в оперативном разрешении данной ситуации. Однако пациент, хотя досконально и не разбирался в вопросах заболеваний позвоночника, но зато умел делать выводы из чужих ошибок. Менее двух лет назад его коллега после операции на позвоночнике (кстати, в той же зарубежной клинике) променял солидную должность и кресло «большого начальника» на инвалидность, поэтому этот человек оперироваться не стал и решил пойти другим путём.

Приехав домой, он начитался различной рекламы по лечению остеохондроза и его осложнений и выбрал для себя наиболее удобный способ лечения, который вполне устраивал его в режиме служебной деятельности. Обратившись в специализированный медицинский центр по лечению остеохондроза, он приобрёл там специальное приспособление для вытяжения позвоночника и получил от специалистов данного центра комплекс упражнений на нём. Месяц добросовестных тренировок, совмещённых с вытяжением позвоночника (согласно рекомендациям специалистов!) дал свои закономерные результаты. «Стартовые» боли в пояснице при подъёме, из-за которых и началась вся эта история, пациента уже не волновали, поскольку он вообще перестал не только сидеть, но даже ходить.

Естественно, начались и другие проблемы в позвоночнике. Следующий месяц в стационаре неврологии (в хирургию упорно не хотел) дали положительные результаты: острые боли постепенно утихали от воздействия сильных обезболивающих препаратов. Пациент смог вставать на ноги, с посторонней помощью проходить от пяти до десяти метров. Сделали снимок (МРТ № 171), на котором выявили секвестрированную грыжу межпозвонкового диска в сегменте LIV—LV с разрывом задней продольной связки. До этого времени ему не могли провести обследования из-за некупируемых болей, а от наркоза он отказывался. Врачи диагностического центра, проводившие МРТ-обследование, посоветовали ему обратиться ко мне.

В этот же день, когда больного привезли ко мне на приём, я взялся за эту работу. Через две недели лечения методом вертеброревитологии данный пациент смог самостоятельно приезжать на автомобиле (за рулём). По своей инициативе он сразу сделал ещё одно МРТ (результат интересный, МРТ № 172), на котором можно наблюдать процесс обратного движения грыжи, то есть когда фрагменты выпавшего межпозвонкового диска «заходят» обратно в межпозвонковый диск. Другими словами — процесс ретрузии секвестра грыжи межпозвонкового диска в сегменте LIV-LV а также активный процесс восстановления самого диска.


На МРТ № 173 (увеличенный фрагмент МРТ,№ 171) наблюдается секвестрированная грыжа межпозвонкового диска в сегменте LIV-LV с разрывом задней продольной связки, абсолютный стеноз на этом уровне.

На МРТ № 174 (увеличенный фрагмент МРТ № 172) наблюдается состояние межпозвонкового диска в середине первого курса лечения методом вертеброревитологии (после двух недель от начала лечения): положительная динамика, выраженная ретрузия секвестра грыжи межпозвонкового диска в сегменте LIV-LV


Вот ещё одни снимки МРТ другого пациента, которые наглядно демонстрируют процесс ретрузии грыжи диска.


На МРТ № 175 наблюдается состояние поясничного отдела позвоночника: компенсированная протрузия, грыжа Шморля в сегменте LIV-LV, спондилёз, гипертрофия задней и передней продольных связок, грыжа межпозвонкового диска сегменте LV—SI, стеноз спинномозгового канала.

На МРТ №«176 — состояние поясничного отдела позвоночника после двух недель лечения методом вертеброревитологии. Наблюдается уменьшение грыжи межпозвонкового диска в сегменте LV—SI.


На МРТ № 177 (увеличенный фрагмент МРТ № 175) наблюдается грыжа межпозвонкового диска сегменте LV—SI.

На МРТ № 178 (увеличенный фрагмент МРТ № 176) состояние межпозвонкового диска после двух недель лечения методом вертеброревитологии: уменьшение грыжи межпозвонкового диска в сегменте LV—SI.


Многие пациенты спрашивают меня после лечения: «Куда уходят грыжи?» Этот вопрос задаётся столь часто, что уже просто родилась ответная дежурная фраза: «Откуда пришли, туда и ушли — домой, назад в межпозвонковый диск». Конечно, это шутка, но, как известно, в каждой шутке есть доля шутки. Естественно, процессу ретрузии секвестра грыжи межпозвонкового диска способствуют создание искусственных оптимальных условий, правильное физиологическое построение биомеханической конструкции, благодаря методу вертеброревитологии. Данная конструкция держится, по моим наблюдениям, достаточно долго, при условии, что человек соблюдает соответствующие элементарные рекомендации.

В общем-то, должен заметить, что в последнее время эпизодов, связанных с последствиями укрепления мышечного корсета, стало значительно больше. Наверное сказывается действие профессиональной рекламы на непрофессиональное восприятие общественности. В качестве примера приведу для сравнения два случая из моей практики — истории людей, которые между собой незнакомы. Эти случаи объединяют возраст пациентов (четырнадцать лет), схожесть причин, вызвавших остеохондроз поясничного отдела позвоночника (чрезмерное увлечение компьютером) и первые шаги в лечении патологии. У первого пациента боли в поясничном отделе позвоночника появились в возрасте тринадцати лет, у второго — в двенадцать. Обоих родители водили в больницу, где им назначалось практически идентичное лечение: медикаментозная терапия, массаж, ЛФК и физиотерапия. Как всегда бывает в таких случаях из прописанного лечения пациентами что-то выполнялось, что-то нет. Но в конечном итоге, оба оказались на приёме у мануальных терапевтов.

В первом случае у пациента, спустя определённое время, случилось сильное обострение. Сделали МРТ № 179, диагностировали секвестрированную грыжу межпозвонкового диска. Родители первого парня привели его на лечение ко мне в клинику. Так случилось, что в тот же день за консультацией обратились родители второго парня вместе с ним. Они также принесли снимки (МРТ № 183). У второго парня наблюдалась начальная стадия развития остеохондроза. В принципе ничего сложного, можно было подкорректировать, восстановить здоровье и этого юного пациента. Однако случилось так, что родители первого парня, в отличие от родителей второго, остановили свой выбор на клинике вертеброревитологии. Их сын прошёл курсы лечения данным методом и теперь за здоровье парня можно только порадоваться.


На МРТ № 179 наблюдается состояние поясничного отдела позвоночника (до лечения): сглаженность поясничного лордоза, протрузия (компенсированная спондилёзом) в сегменте LIV—LV, секвестрированная грыжа межпозвонкового диска в сегменте LV—SI, абсолютный стеноз позвоночного канала.

На МРТ № 180 — состояние поясничного отдела позвоночника после лечения методом вертеброревитологии: естественный физиологический лордоз поясничного отдела позвоночника, отсутствие секвестрированной грыжи межпозвонкового диска в сегменте LV—SI, отсутствие стеноза. Но самое интересное можно рассмотреть на МРТ № 181 и МРТ № 182.


На увеличенных фрагментах вышеприведенных снимков наблюдается состояние сегмента LV—SI до лечения (МРТ № 181) и после лечения методом вертеброревитологии (МРТ № 182).

На МРТ № 182 чётко прослеживается не только отсутствие секвестрированной грыжи межпозвонкового диска в сегменте LV—SI но и активный процесс восстановления межпозвонковых дисков (репаративная регенерация) в сегментах LIV—LV, LV—SI, и главное — процесс восстановления их пульпозных ядер. Так что можно образно сказать, что данный парень вытянул в жизни, не без помощи своих родителей, счастливый билет: он уже практически здоров, грыжа дискаустранена без операции и биомеханика позвоночника восстановлена, а для молодого организма это немаловажный фактор. Но главное, он получил бесценный, собственный опыт того, что компьютер компьютером, а собственное здоровье ценнее всего и его надо беречь смолоду.


А вот второго парня вместе с его родителями я увидел только через полтора года после нашей первой встречи, когда они вновь пришли ко мне на консультацию в клинику. На этот раз состояние его позвоночника было удручающим. Оказывается, по инициативе родителей их семья посетила широко рекламируемую частную клинику, которая специализируется на кинезитерапии — лечение движением заболеваний позвоночника. Там с ними обстоятельно побеседовали по поводу того, как «активная кинезитерапия оказывает саногенетическое действие, устраняя патобиомеханический субстрат синдрома», что для людей, неискушённых в медицинских терминах, равносильно пафосной речи из советской комедии «Операция «Ы» и другие приключения Шурика»: «В то время, когда наши корабли бороздят просторы Вселенной…». А потом, чтобы пациент-клиент ничего не перепутал, выдали специальную брошюрку, где были подробно расписаны советы вместе с физическими упражнениями, направленными на укрепление мышц спины, которые по рекомендации врачей данной клиники необходимо было выполнять для «лечения» остеохондроза. К сожалению, на тот момент родители этого юноши не были осведомлены о негативном влиянии подобных упражнений, направленных на укрепление мышечного корсета, на позвоночник, поражённый дегенеративно-дистрофическим процессом. А когда случилась беда и пошли необратимые процессы, было уже поздно что-либо предпринимать. Вот уж правду в народе говорят: «Здоровье не купишь — его разум дарит».


На МРТ № 183 наблюдается состояние поясничного отдела позвоночника — начальная стадия развития остеохондроза практически во всех сегментах позвоночника.

На МРТ № 184 того же пациента — состояние поясничного отдела позвоночника после активного укрепления мышц спины физическими упражнениями (кинезитерапии): спондилёз, грыжи Шморля в сегментах ТXII—LI, LI—LII, LII—LIII, практически полное отсутствие межпозвонкового диска в сегменте L–Lu, значительное снижение высоты межпозвонковых дисков в сегментах LII—LIII, LIII—LIV, исправление физиологического лордоза, стеноз спинномозгового канала. Кроме того, помимо всего вышеперечисленного у пациента на уровне поражённых сегментов развился спондилоартроз.

Для применения метода вертеброревитологии, как и у всякого другого метода лечения, имеются свои показания и противопоказания. Должен заметить, что, несмотря на свои возможности, данный метод не является абсолютной панацеей от остеохондроза. Да и слово-то «абсолютная панацея», то есть исцеление от всех болезней, не свойственно реальной медицине. Это слово родом из греческой мифологии. Панакея (Панацея, «Всеисцеляющая») — богиня, целительница всех болезней, считалась дочерью бога врачевания древних греков — Асклепия (Эскулапа). Так что если услышите рекламу, где будут звучать заявления о том или ином методе лечения или лекарстве как о «панацее», то имейте в виду, что вам будут предлагать мифологическое универсальное средство от всех болезней, что, впрочем, тоже является своеобразной пищей для размышления.

На лечение я беру только тех больных, у которых есть показания к применению данного метода. В среднем по статистике из ста обратившихся в клинику это соответствует тридцати-тридцати пяти пациентам. Остальным, как правило, показаны другие методы лечения. В первую очередь это обусловлено тем, что довольно часто обращаются за помощью больные с «запущенным» остеохондрозом, когда компенсаторные процессы находятся в далеко зашедшей, необратимой стадии. Вертеброревитология в таких случаях неэффективна, так как кость обратного развития не имеет.

Примеры подобных случаев представлены на следующих снимках.


На спиральной компьютерной томографии № 3 хорошо видно сращение межпозвонковых дисков, за счёт их фибротизации.

На МРТ № 185 бывшего спортсмена (чемпиона-легко-атлета) видны тяжёлые последствия данного вида спорта в виде остеофитоза, спондилёза, стеноза спинномозгового канала с грубым сдавлением дурального мешка, гипертрофией как задней, так и передней продольных связок.


Как в первом, так и во втором случаях наблюдаются костные разрастания, срастания тел смежных позвонков, которые являются прямыми противопоказаниями к применению вертеброревитологии. Показания и противопоказания выявляются на первичной консультации, обязательно наличие у пациентов снимков магнитно-резонансной томографии (МРТ). Снимки компьютерной томографии (КТ) для данных целей, как правило не подходят, так как они менее информативны и не отражают в достаточной степени картину состояния позвоночника, если, конечно, речь идёт о показаниях к лечению методом вертеброревитологии.

Безусловно, если подходить в процентном соотношении, то реальный, документально зафиксированный положительный результат лечения методом вертеброревитологии наблюдается в 99 % случаев. Однако, как ни печально, но на 1 % всё же приходятся случаи, когда желаемого результат не удаётся достигнуть, улучшение состояния не наступает, а порой, хоть и в исключительных случаях, но всё же возникает отрицательный результат. С одной стороны, это незначительный процент по сравнению с общими результатами — из ста всего лишь один пациент. Но для меня это не просто сухая цифра из статистики, а конкретный, живой человек со своей судьбой, надеждами, планами на жизнь. Поэтому каждый такой индивидуальный случай я тщательно анализирую со всех сторон, начиная от этапов лечения и заканчивая проработкой внешних причин и всего контекста ситуации. Ведь позвоночник подобен книге: если умеешь «читать» и понимать язык его физиологии и биомеханики, то можно найти искомую страницу, в которой фиксируются нарушения и вычисляется их причина.

К сожалению, помимо «внештатных ситуаций», например случайных травм больного после или в период лечения, причиной «отрицательного результата» также является недостаточный или негативный комплаенс (англ. compliance — согласие, соответствие, уступчивость). Иными словами, это элементарное отсутствие желания или недостаточная готовность больного к соблюдению рекомендаций врача. В основном это проявляется в особенностях поведения больного в отношении всего спектра рекомендаций, соблюдение которых необходимо для восстановления позвоночника и формирования в последующем здорового образа жизни пациента. Последнее связано с целым рядом причин, в том числе родом деятельности пациента, его привычками, особенностями характера, образом жизни, недостаточно серьёзным отношением к собственному здоровью и так далее. Зачастую, избавившись от длительной боли, такие пациенты вновь перестают заботиться о своём здоровье и снова возвращаются к привычному для них старому образу жизни, который, по сути, и привёл их к развитию болезней позвоночника. Как говорится в старинном латинском выражении: «Virtutem incolumem odimus, sublatam ex oculis quaerimus invidi», что означает «Ненавидим добродетель здравствующую, с завистью ищем исчезнувшую с глаз». Вот так и живём: что имеем не храним, а потерявши — плачем.

Жизнь есть жизнь и нагрузки в ней неизбежны. Однако, как показывает практика, если подходить с умом к любой нагрузке, образно говоря соблюдать «технику безопасности» для позвоночника, то можно в значительной степени минимизировать риск травматизации. Некоторые люди могут возразить и сказать типичную отговорку, что с их работой и условиями жизни это не реально. Заявляю со всей ответственностью с позиции практикующего врача, что это вполне возможно, было бы желание. Доказательством тому могут служить самые «сложные» позвоночники, которые ежедневно испытывают колоссальные нагрузки, — это позвоночники спортсменов. Мне часто приходится заниматься восстановлением позвоночников с помощью метода вертеброревитологии как бывших, так и действующих спортсменов. С бывшими спортсменами, конечно, проще, поскольку эти люди имеют возможность наконец-то полноценно уделить время своему здоровью. А вот лечить действующих профессиональных спортсменов — это равносильно ремонту «ходовой» части автомобиля во время его движения, поскольку процесс лечения спортсмена сочетается с его усиленными тренировками. Но пришлось детально доработать метод вертеброревитологии и для этих случаев, как говорится, штурмом брать и эту профессиональную высоту. Ведь на кону было здоровье наших чемпионов, людей самоотверженного труда, сильных духом, которые сражаются на олимпиадах за престиж страны.

В общем-то, работа со спортсменами началась ещё в девяностые годы. Я сам в то время имел непосредственное отношение к спорту и, соответственно, друзей на спортивном поприще было предостаточно. Помню, одна из самых первых моих работ с такими непростыми позвоночниками была связана с парнем-культуристом. К сожалению, его снимков МРТ у меня не сохранилось, но этот случай я отлично запомнил. Этот пациент попал ко мне на приём благодаря своему тренеру. Его наставник был моим хорошим знакомым. В своё время он получил звание «Заслуженный тренер СССР». Начиная с семидесятых годов воспитал, в общем-то, хороших, профессиональных спортсменов. В девяностые годы в связи с разрушением Союза, в том числе и спортивной инфраструктуры, как и многие его коллеги он был вынужден как-то выживать, поэтому переключился на модное тогда спортивное направление среди молодёжи — бодибилдинг. Должен заметить, что «Заслуженный тренер СССР» — это не просто почётное звание бывшей огромной, передовой страны мира, но и, в первую очередь, уникальные личные качества данного человека, его характер, закалка, способность преодолевать любые трудности, замечательные организаторские способности и сила духа. Как говорят, каков век, таков и человек. Этот тренер взялся за новое для него дело с основательным подходом и самоотдачей, со всеми присущими ему человеческими чертами характера и стал работать так, как он привык трудиться всю свою жизнь — качественно, без халтуры. Вскоре его учеников стали отмечать призами на различных соревнованиях, сначала на местных, потом на соревнованиях более высокого уровня. В общем, у него вышло так, как когда-то писал древнегреческий философ Платон: «Стараясь о счастье других, мы находим своё собственное».

Так вот, один из его воспитанников на взлёте своей карьеры был «сбит» осложнением остеохондроза. Тогда это был ещё молодой, никому не известный парень. Вместе с тренером он уже прошёл трудный путь упорных тренировок и буквально через три месяца должен был участвовать в очень важных для него соревнованиях по бодибилдингу за границей. Эти соревнования могли открыть парню большие перспективы для участия в более престижных соревнованиях либо быть замеченным мэтрами киноиндустрии (скажу наперёд, последнее, в конечном счёте, так и случилось). Так что готовились они к ним основательно. У культуристов как раз за три месяца до «выступлений» начинается усиленная подготовка и так называемая «сушка». Последнее означает тотальное избавление от жировых отложений, чтобы рельеф каждой мышцы максимально просматривался (причём настолько, чтобы даже студенты-медики могли наглядно изучать миологию). Очевидно тренер перестарался с нагрузками, и этого парня, похожего на Геракла, просто перекосило. У него появились сильные боли в левой ноге. Естественно, ни о каких тренировках речи уже быть не могло. Вот таким я впервые и увидел будущего знаменитого киногероя.

В то время только установили первый, доступный для населения МРТ, в городе Харькове (если не ошибаюсь, на заводе «Турбоатом»), снимки выводили на термобумагу. Качество снимков, конечно, оставляло желать лучшего, но всё же лучше, чем КТ с контрастом. Вот туда, в Харьков на МРТ, я и направил этого парня с тренером. Вердикт был вполне ожидаемый: две грыжи межпозвонковых дисков в поясничном отделе позвоночника в сегментах LIV—LV (осложнённая секвестром латеральной локализации в сторону левого рецессуса) и LV—SI (небольшая грыжа, срединной локализации). Возник вечный вопрос: «Что делать?» Был бы обычный пациент, можно было без операции «убрать» грыжу межпозвонкового диска, создав оптимальные условия для постепенного восстановления позвоночника, в том числе минимизировать физические нагрузки, исключить зарядки, фитнесы и так далее, тем более различные висы и растяжки, «закачку» мышц спины. Но это в стандартной ситуации. А здесь был совсем иной случай: «сложный» позвоночник, наличие двух межпозвонковых грыж, плюс ко всему пациент обязан был продолжать тренировки (а там нагрузки солидные, за одну тренировку культурист столько железа перетягает, что не каждый здоровый позвоночник это выдержит), к тому же поджимали сроки. В общем, пришлось искать иной путь решения. Большие возможности предполагают большие трудности. Не испытав трудностей, ума не наберёшь. Задача была не из лёгких и равносильна тому, чтобы найти способ заменить колёса на ходу у движущегося грузовика. И всё же мне удалось найти выход из этой ситуации и провести соответствующие биомеханические расчёты для такого позвоночника с учётом оптимальных нагрузок для данного спортсмена.

В общем, пришлось значительно снизить нагрузки на тренировках, практически на 90 %. А чтобы парень-культурист не потерял формы, мы нашли вместе с тренером очень интересный выход из ситуации, заменив нагрузки с отягощением на специально разработанные статические нагрузки без груза, но с максимальным и длительным напряжением «прорабатываемых» мышц. Таким образом, на время лечения мы значительно снизили нагрузку на позвоночник и в то же время, к удивлению тренера, повысили эффективность тренировки, то есть добились этим значительного увеличения объёма и рельефа мышц парня даже по сравнению с максимальными нагрузками при «качании железом». Мышцы при такой тренировке становились не только больше и рельефней, но и значительно сильней.

Первый месяц основное внимание уделялось лечению позвоночника. Из нагрузок парень выполнял лишь щадящие упражнения, поддерживающие массу и форму. Во второй месяц, когда боли значительно снизились, постепенно увеличивали ему нагрузки. А вот третий месяц тренировки уже проходили по полной, хотя и несколько нами подкорректированной подготовительной программе. Несмотря на серьёзное заболевание позвоночника, у парня было огромное желание участвовать в этих соревнованиях. В результате усилий всех троих к моменту соревнований личные показатели (общая масса, объём и рельеф мышц) этого спортсмена существенно возросли. На соревнование он всё-таки попал, хотя не стал (тогда) чемпионом, но твёрдо вошёл в лидеры. Естественно, был «замечен», благодаря чему впоследствии его (и тренера тоже) жизнь круто изменилась, к счастью, в лучшую сторону. Так что болезнь не приговор и при желании всегда можно найти оптимально приемлемое решение и добиться желаемого результата. Главное не сдаваться!

Как говорил Уинстон Черчиль: «Пессимист видит трудности при любой возможности; оптимист в любой трудности видит возможность». Так вышло и у меня. Удачный опыт лечения даже такого «сложного» позвоночника приобрёл свою славу среди спортсменов. Ко мне стали обращаться тяжелоатлеты, гандболисты, футболисты, легкоатлеты. В свою очередь это способствовало развитию метода вертеброревитологии и в данном непростом направлении. Приведу несколько наглядных результатов лечения спортсменов этим методом.

Следующий случай примечателен тем, что на МРТ-снимке можно наблюдать хорошо сохранившийся позвоночник профессионального спортсмена.


На МРТ № 186 наблюдается состояние поясничного отдела позвоночника: грыжи Шморля в сегментах LII-LIII, LIII-LIV, LIV-LV, спондилёз, секвестрированная грыжа межпозвонкового диска в сегменте LV-SI, жировая дегенерация в телах смежных позвонков данного сегмента, стеноз спинномозгового канала.

На МРТ № 187 — состояние поясничного отдела позвоночника после лечения методом вертеброревитологии.


Обычно бывает хуже, причём независимо от вида спорта, будь-то лёгкая атлетика или борьба, формула получается простая: чем лучше спортсмен, тем хуже его позвоночник. Ведь позвоночник таких людей испытывает огромные нагрузки. К сожалению, последние бесследно не проходят и об этом знает почти каждый профессиональный спортсмен.

Другой случай также не менее интересен. Несколько лет назад ко мне обратился спортсмен-легкоатлет (мой бывший пациент) с просьбой помочь его коллеге по «цеху» из соседней страны. Как потом выяснилось, коллегой оказалась молодая спортсменка, можно сказать ещё совсем юная, однако благодаря её победам на самых престижных соревнованиях флаг государства, в котором она проживает, уже неоднократно поднимался выше других. Когда наблюдаешь, как спортсмены такого класса легко и непринуждённо устанавливают новые мировые рекорды, то создаётся впечатление, что эти люди самые здоровые на свете. К сожалению, это далеко не так. Чрезмерные нагрузки не проходят бесследно для организма. Не миновала эта участь и молодую спортсменку.

О своих заболеваниях спортсмены стараются не упоминать в прессе, да и вообще вести себя в этом отношении достаточно осторожно. Ведь с одной стороны нужно нести на себе бремя молодёжного «кумира», мол, негоже чемпионам плакаться. А с другой стороны, зачем давать лишний повод медицинским комиссиям, да и соперникам тоже, выказывать свои уязвимые, слабые места перед очередными соревнованиями. На алтарь победы чемпион готов положить все силы и расплачивается за это своим здоровьем. О настоящих проблемах со здоровьем спортсмена знают, как правило, только близкие люди и тренер, который в большинстве случаев правдами-неправдами старается помочь своему воспитаннику. Ликующие болельщики порой даже не догадываются, какими усилиями даётся чемпиону эта победа. А ведь спортсмены такие же живые люди, как и все, просто их ежедневная цель — не сдаваться, а побеждать, прежде всего самого себя, и за это я их глубоко уважаю!

Когда я увидел состояние позвоночника девушки-спортсменки, мне стало жаль её, поскольку было понятно, что пришлось пережить этому стойкому духом человеку. Несмотря на свои молодые годы, как оказалось она уже перенесла операцию по поводу секвестрированной грыжи межпозвонкового диска в сегменте LV-SI. После операции, естественно, были такие же самые нагрузки, которые привели к рецидиву, с чем, собственно, ко мне и пожаловали.

Естественно, грыжи Шморля после лечения никуда не делись, да и дегенеративный процесс в межпозвонковых дисках ещё довольно выражен. Но рецидив — секвестрированную грыжу межпозвонкового диска удалось убрать без повторной операции и при этом практически не снижая нагрузок на тренировках. Но, пожалуй, самое важное, что после лечения методом вертеброревитологии личные спортивные показатели данной спортсменки значительно возросли, причём без всякой химии выросли настолько, что теперь ей приходится улучшать разве только собственные результаты.


На МРТ № 188 наблюдается состояние поясничного отдела позвоночника после хирургического вмешательства: рецидив грыжи межпозвонкового диска в сегменте LV-SI краниальной миграцией секвестра, грыжи Шморля в сегментах LII—LIII и LIII—LIV стеноз спинномозгового канала.

На МРТ № 189 наблюдается состояние после лечения методом вертеброревитологии.


Пожалуй, приведу ещё один довольно интересный пример того, как спортсмен, практически «списанный» даже собственным тренером, смог осуществить свою мечту и взойти на пьедестал почёта вопреки всем прогнозам. Ещё с детства этот спортсмен был, как говорят, весьма перспективным, талантливым парнем. Помимо физических данных, он ещё и психологически был настроен на большие победы. Но как часто бывает в жизни: чем ближе ты подходишь к горизонту своей мечты, тем дальше он от тебя отдаляется. Так и в этом случае, когда спортсмен вплотную приблизился к «большим соревнованиям», у него начались проблемы со здоровьем. К болям в спине парень привык уже давно, но когда нога онемела и «перестала слушаться» он был вынужден обратиться к специалистам в нейрохирургию. После обследования у него диагностировали грыжу межпозвонкового диска в сегменте LV-SI и, естественно, в срочном порядке прооперировали.

После операции стало легче, но боли полностью не прошли и онемение в ноге частично осталось. Не обращая на это внимания, парень продолжал упорно тренироваться, пытаясь одновременно «убить двух зайцев»: восстановиться после операции и подготовиться к очередным, но очень важным (для него на тот момент) соревнованиям. Однако здоровье подвело в самый неподходящий момент, соревнования он провалил. Дальше хуже — личные показатели упали, боли усилились. Опять обратился в нейрохирургию, где диагностировали секвестрированную грыжу в сегменте LIV-LV (МРТ № 190) и врачи снова предложили ему операцию. Ко всем прочим бедам от него отказался ещё и тренер, решив «не тратить попусту время» на такого спортсмена.

Когда парень пришёл по рекомендации своего друга ко мне в клинику вертеброревитологии, я заметил, беседуя с ним, что несмотря на все перипетии (греч. peripeteia — внезапная перемена, поворот) судьбы, он не сдался и всё ещё «горел» надеждой осуществить мечту и покорить свой Олимп. Причём, что примечательно, парень не винил в своём положении всех и вся, как обычно бывает с людьми в его ситуации, не жаловался на тренера. Наоборот, даже пытался поставить себя на место окружающих его в спорте людей, как-то по своему оправдать и без обид простить в общем-то даже не совсем этичные их поступки. Это и правильно, как говорится, чем кому-то смерти желать, пожелай себе жизни. Такое человеческое отношение к людям в нашем обществе — большая редкость. Признаюсь, меня это подкупило и конечно же я взялся ему помочь.


На МРТ № 190 наблюдается состояние поясничного отдела позвоночника после хирургического вмешательства в сегменте LV-SI, протрузии межпозвонковых дисков в сегментах LIII—LIV и LV-SI, грыжа межпозвонкового диска, осложнённая секвестром с краниальной миграцией в сегменте LIV—LV, стеноз спинномозгового канала.

На МРТ № 191 наблюдается состояние поясничного отдела позвоночника после лечения методом вертеброревитологии: отсутствие секвестрированной грыжи межпозвонкового диска, отсутствие стеноза спинномозгового канала.


Должен отметить, что это был на редкость дисциплинированный пациент, он строго выполнял все предписания и назначения. И, конечно же, результат не заставил себя ждать — между МРТ № 190 и МРТ № 191 разница всего три месяца! А буквально через полтора года он взошёл на пьедестал почёта. Это была настоящая его победа, в первую очередь над обстоятельствами, своими болезнями, недоверием окружающих и главное — над самим собой!

Спортсмены — это вообще особый контингент людей. Самодисциплина, как правило, у них на высоком уровне, поэтому и результатов они добиваются довольно высоких, причём в разных сферах жизни. Это же касается и лечения: несмотря на довольно сложную работу с такими позвоночниками, радует оптимистический настрой и позитивный комплаенс данных пациентов, что непременно сказывается на результатах лечения. Кстати говоря, благодаря именно таким работам с позвоночниками профессиональных спортсменов, на практике был обнаружен и подтверждён удивительный факт: если методом вертеброревитологии «поддерживать» позвоночник в максимально «рабочем» состоянии, то допинг спортсмену практически не нужен! Тренеры с изумлением отмечают, что многие показатели, результативность спортсмена во время и после лечения в значительной степени улучшаются, что, соответственно, увеличивает возможности спортсменов. В чём же причина такого стремительного роста показателей? А причина кроется как раз в механизмах работы тех естественных химических и физиологических процессов, которые приводят к регенерации межпозвонкового диска при создании искусственных оптимальных условий методом вертеброревитологии. До недавнего времени об этом было неизвестно, да и обнаружено было случайно, благодаря практике и результатам.

Несмотря на весь объём современных знаний, организм человека для учёных до сих пор остаётся неразгаданной загадкой. Изучением человека занимаются многие специалисты по целому ряду научных дисциплин, что подчёркивает сложную взаимосвязь и взаимозависимость происходящих процессов в живом организме. Ещё очень многое неизвестно, в том числе и о биохимических процессах, связанных с такой важной опорной структурой организма, как позвоночник — вместилище спинного мозга (часть центральной нервной системы). И тем не менее наука не стоит на месте. Объективные результаты вертеброревитологии — это свидетельство того, что в спорте можно улучшать показатели спортсмена гораздо более эффективными и полезными для здоровья методами, чем травить его организм различной химией.

Напомню, что в большом спорте есть большая проблема — это допинги. Допинг в переводе с английского слова «doping» (от dope) означает «давать наркотики». По сути, это в основном химические препараты (фармакологические и другие средства), способствующие стимуляции физической и нервной деятельности на непродолжительное время. Иногда ими пытаются искусственно усилить физическую активность и выносливость спортсмена на время спортивных соревнований. В зависимости от специфики спортивной деятельности в качестве допинга могут использоваться, например, симпатомиметические амины (эфедрин, амфетамин, метиламфетамин и т. д.), стимуляторы центральной нервной системы и восстанавливающие, укрепляющие аналептики (трансамин, стрихнин, лептамин и т. д.), общестимулирующие средства (препараты лимонника китайского, женьшеня, левзеи и т. д.), этиловый алкоголь, наркотики, болеутоляющие средства (морфин, его производные, опиум) и другие препараты. Многие специалисты, не понаслышке знакомые с проблемами большого спорта, отмечают, что современный большой спорт — это уже не старый добрый спорт, где люди показывали свои физические достижения, а это уже во многом соревнование биохимиков по созданию лучшего допинга. Хотя с данной проблемой постоянно борется на международном уровне Всемирное антидопинговое агентство (ВАДА) — независимая организация, созданная при поддержке Международного олимпийского комитета (МОК), каждый год ужесточая антидопинговый контроль, однако всё равно каждый год фарминдустрия выдаёт новые «сюрпризы»-препараты.

Печально то, что все эти химические допинги, которые тайно принимает спортсмен для одномоментного улучшения результата, неизменно отражаются на его здоровье, нанося ему ущерб. Ведь весь этот процесс носит экспериментальный характер, а это значит, что последствия для организма вполне могут стать необратимыми, а в некоторых случаях дело может закончиться и летальным исходом, что неоднократно случалось в практике большого спорта. Однако мало кто из спортсменов задумывается в момент приёма допинга о его отдалённых последствиях для своего организма.

Многие спортсмены находятся в плену ошибочных стереотипов, которые гласят, что «если не будешь принимать допинг, не сможешь победить». Однако не зря говорится: «Познай себя и ты познаешь весь мир». Возможности человеческого организма многократно превышают возможности искусственной химии. Свидетельством тому является множество известных науке случаев, связанных как со спортом, так и с жизненными обстоятельствами, когда человек в экстремальных, чрезвычайных ситуациях способен проявить такие феноменальные способности и возможности, которые не всякий чемпион сможет повторить. Человеческий мозг — это далеко не изученная, сложная система центрального управления организмом, которая может функционировать в разных режимах, о чём неоднократно упоминается, например, в работах академика Натальи Петровны Бехтеревой. Так что не стоит искать обманчивых путей для достижения высот, ведь ничто не проходит в этой жизни бесследно. Как писал Омар Хайям:

«Нищим дервишем ставши — достигнешь высот.
Сердце в кровь разорвавши — достигнешь высот.
Прочь, пустые мечты о великих свершеньях!
Лишь с собой совладавши — достигнешь высот».
Так что в любом деле важна внутренняя составляющая человека. Ради справедливости должен заметить, что среди моих пациентов, помимо спортсменов, немало просто самодисциплинированных людей, которые в полной мере ответственно, целеустремлённо подходят к вопросам своего здоровья. Это радует, поскольку понимаешь, что твой труд не пропадёт даром. Ведь если пациент столь тщательно будет следить и беречь своё здоровье и дальше, то организм ещё долго послужит ему верной службой. А это в свою очередь означает, что в жизни данного человека станет намного меньше проблем и он получит полноценную возможность для самореализации. Как говорится в пословице: «Жизнь дана на добрые дела».

А тем читателям, кто на сегодняшний день обременён проблемой заболевания позвоночника, хочу сказать, что не стоит отчаиваться. Люди справлялись ещё и с худшими ситуациями. Доказательством тому служат как вышеизложенные, так и нижеприведённые случаи, которые даже высокопрофессиональным специалистам когда-то казались безнадёжными. Думаю, комментарии здесь излишни.


Пример № 1.

На МРТ № 192 наблюдается состояние поясничного отдела позвоночника: рецидив после операции — секвестрированная грыжа межпозвонкового диска в сегменте LIV-LV, абсолютный стеноз спинномозгового канала.

На МРТ № 193 — состояние поясничного отдела позвоночника после лечения методом вертеброревитологии.


Пример № 2.

На МРТ № 194 наблюдается состояние поясничного отдела позвоночника после трёх операций: рецидив — грыжа межпозвонкового диска в сегменте LV-SI стеноз спинномозгового канала.

На МРТ № 195 — состояние поясничного отдела позвоночника после лечения методом вертеброревитологии.


Пример № 3.

На МРТ № 196 наблюдается состояние поясничного отдела позвоночника после операций: рецидив грыжи межпозвонкового диска в сегменте LV—SI с формированием секвестра с миграцией в краниальном направлении, абсолютный стеноз спинномозгового канала.

На МРТ №s197 — состояние поясничного отдела позвоночника после лечения методом вертеброревитологии.


Пример № 4.

На МРТ № 198 наблюдается состояние поясничного отдела позвоночника: секвестрированная грыжа межпозвонкового диска в сегменте LV—SI абсолютный стеноз спинномозгового канала.

На МРТ №199 — состояние поясничного отдела позвоночника после лечения методом вертеброревитологии.


Пример № 5.

На МРТ № 200 наблюдается состояние поясничного отдела позвоночника после операции: рецидив — секвестрированная грыжа межпозвонкового диска в сегменте LIV-LV, абсолютный стеноз спинномозговогоканала.

На МРТ № 201 — состояние поясничного отдела позвоночника после лечения методом вертеброревитологии.


Это всего лишь незначительная часть из моего рабочего медицинского архива, в котором на сегодняшний день накопилось уже более пяти тысяч снимков с результатами лечения методом вертеброревитологии и каждый случай задокументирован, за каждым стоит конкретный пациент со своей историей болезни. Если вы заметили, то все вышеупомянутые примеры были связаны в основном с поясничным отделом позвоночника. Согласно статистике, по уязвимости поражения дегенеративно-дистрофическими процессами он стоит на первом месте. Второе место занимает шейный отдел позвоночника и третье место (наиболее редкие случаи) — грудной отдел позвоночника. Безусловно, можно с таким же размахом расписать случаи, связанные и с шейным отделом позвоночника. Однако я счёл более правильным действием, дабы не утомлять внимание читателя, проиллюстрировать лишь один пример из серии снимков-результатов соответствующего раздела своего медицинского архива, который достаточно наглядно, в полной мере отображает возможности вертеброревитологии при лечении даже таких сложных патологий шейного отдела позвоночника.


На МРТ № 202 наблюдается состояние шейного отдела позвоночника: секвестрированная грыжа межпозвонкового диска в сегменте CIII—CIV с миграцией секвестра, как в каудальном (вниз), так и в краниальном (вверх) направлении, с экскавацией дурального мешка (сдавлением спинного мозга) в сегменте CIII—CIV, сглаженность лордоза, стеноз и так далее.

На МРТ № 203 наблюдается состояние шейного отдела позвоночника после двух курсов лечения методом вертеброревитологии: отсутствие грыжи межпозвонкового диска в сегменте CIII—CIV, отсутствие стеноза, и самое главное, восстановлена биомеханика, то есть восстановлен естественный, физиологический лордоз до состояния нормы.


На этом, пожалуй, и завершу обзор результатов лечения методом вертеброревитологии. Конечно, я прекрасно понимаю и отдаю себе отчёт в том, что подобная работа может вызвать серьёзную ломку стереотипов мышления, прижившихся в области вертебрологии. Естественно, это повлечёт за собой неконструктивную критику данного метода и различных нападок со стороны людей, которые являются приверженцами старых методов лечения остеохондроза или чиновников медицины, которые лишь имитируют полезную деятельность, тем самым окончательно добивая науку. Однако за последние двадцать лет я научился относиться к этому процессу с юмором и воспринимать подобную «критику» не более как действия, описанные в одной из восточных древних притч. Она гласит, что как-то раз один молодой чёрт, увидев на Земле человека, открывшего Истину, испугавшись, побежал к главному чёрту на доклад: «Что же делать?! Там, на Земле, один человек нашёл Истину! Это же опасно для нашей профессии. Надо срочно что-то предпринять!» Главный чёрт рассмеялся ему в ответ и сказал: «Успокойся, юнец, я уже подвёл под этим делом черт-у. Главное в нашем деле организовать порядок и этим сейчас уже занимаются наши люди: учёные, педанты, священники. Организованная истина — это их профессия и удел. Сейчас они окружат этого человека и станут непробиваемой стеной между Истиной и людьми!» Так вот, руководствуясь мудростью этой притчи, я решил сразу довести истину до сведения людей, дабы потом не пришлось биться о каменные стены.

А что касательно оппонентов в этом их «вечном споре», то я могу сказать лишь следующее. Безусловно, любой человек может поддаться на провокации самых худших своих качеств, быть безропотным исполнителем чьей-то чужой разрушительной воли и до конца своей жизни тайно сетовать на пустые хлопоты прожитых лет. Но ведь эти оковы стоят в его сознании. Никто не мешает ему от них избавиться и поступить в своей жизни так, как он руководствуется своими доминирующими мыслями, пребывая в самом лучшем расположении духа, проявляя свои самые лучшие человеческие качества. Этот выбор позволяет ему взглянуть на мир и его процессы совершенно по-иному, а следовательно, значительно расширить свой кругозор и способствовать созидательному прогрессу, а не процессам, разрушающим человеческую суть. Как писал Фёдор Михайлович Достоевский: «Никакой наукой не составите общества, если нет благородного материала, живой и доброй воли, чтобы жить честно и любовно. Наука укажет выгоды и докажет только, что выгоднее всего быть честным».

Как бы там ни было, но со своей стороны могу однозначно сказать, что вертеброревитология, как наука, неизбежно будет развиваться и далее. Этому способствуют естественные причины. Развитие современного общества характеризуется значительным возрастанием нагрузок на опорно-двигательный аппарат человека, воздействием негативных антропогенных факторов, к которым относятся также и механические повреждения различной этиологии. Соответственно, это требует от науки фундаментального подхода в области исследований репаративного гистогенеза, поисков новых путей развития этого направления. Для того чтобы активизировать регенераторные возможности конкретной ткани, в данном случае имеется в виду ткани межпозвонкового диска, необходимо создать оптимальные условия. В этой связи вертеброревитология несомненно имеет большие перспективы в плане дальнейшего научноэкспериментального развития. Основным и бесспорным преимуществом метода вертеброревитологии является тот факт, что он позволяет без ущерба для организма восстановить биомеханику позвоночника и создать идеальные условия для репаративной регенерации тканей межпозвонкового диска. Результаты лечения данным методом свидетельствуют о высокой жизнеспособности клеток и тканей межпозвонкового диска и их регенерационных возможностях в зонах повреждения диска дегенеративно-дистрофическим процессом, а также репаративной активности остаточных клеток данной ткани даже при тотальной дискэктомии. Это позволяет совершенно по-новому взглянуть на процессы патогенеза остеохондроза и существенно обогатить экспериментальные практические знания в области патологической физиологии, определить более перспективные направления развития науки вертебрологии. Всё это, несомненно, отразится на качестве оказания медицинской помощи населению.

На сегодняшний день продолжается совершенствование и развитие метода вертеброревитологии. Но должен заметить, что это в свою очередь приводит только к его значительному усложнению. Пожалуй, последнее относится к основным недостаткам данного метода, так как существенно затрудняет процесс подготовки соответствующих специалистов. В отдалённой перспективе своей научно-исследовательской деятельности я, безусловно, планирую адаптировать данный метод для массового внедрения в клиническую практику, то есть разработать его упрощённую модель (при сохранении эффективности метода) для подготовки соответствующих специалистов в области профилактики, реабилитации и лечения заболеваний опорно-двигательного аппарата. Кроме того, учитывая полученные результаты, эффективность и бесспорную перспективность данного метода в спортивной медицине, также планирую адаптировать его и для специалистов, работающих со спортсменами. Однако всё вышеперечисленное — это серьёзная работа, которая требует достаточно много времени и усилий на разработку научно-обоснованных решений, позволяющих проводить гарантированные лечебные мероприятия с анализом клиникодиагностических критериев, оценку эффективности всех этапов лечебного процесса. Другими словами, это потребует формирования полноценной научнометодической и экспериментальной базы по данным вопросам. Безусловно, такая большая работа не решается только силами исследователя и требует комплексного и всестороннего подхода, участия в этом проекте всех заинтересованных организаций и соответствующих специалистов. Но зато и результат такой работы может привести к существенному прорыву сразу в нескольких областях науки, связанных с регенерацией человеческих клеток и тканей, что, безусловно, позволит лучше изучить организм человека, узнать о его резервных возможностях и адаптации в разных условиях. В свою очередь это даст соответствующее понимание, как можно наиболее эффективнее жить человеку на Земле.

В заключение хочу выразить свою искреннюю благодарность вам, уважаемый читатель, за интерес, проявленный к данной работе. Надеюсь, что эта книга поможет отчаявшимся приобрести надежду, нуждающимся — обогатиться необходимыми знаниями, талантливым — вдохновиться открытиями. Уверен, что пройдя все ступени-разделы книги и получив актуальную информацию, основанную на практическом опыте, вы, уважаемый читатель, как и всякий умный человек, непременно пополните багаж своих знаний и будете профессиональнее разбираться в вопросах своего здоровья. А последнее даёт надежду, что людей, ответственно и грамотно относящихся не только к своему здоровью, но и здоровью своих близких людей, станет намного больше. Следовательно, такой возросший профессионализм пациентов неизменно повлечёт за собой профессиональный рост врачей и качество предоставляемых ими услуг. В конце концов, от этого выиграет всё общество, поскольку повышение качества в сфере медицинских услуг неизменно скажется на здоровье нации в целом. Так что ваше приобретённое знание и его передача тем, кто в этом нуждается, вполне могут поспособствовать ускорению этого важного для общества процесса. Как говорится в латинском выражении: «Предусмотрительность одного человека иногда бывает причиной счастья целого народа».

Словарь медицинских терминов

Аваскулярный (греч. а — приставка, означающая не, без; лат. vasculum — сосуд) — без кровеносных сосудов или имеющий плохое кровоснабжение. Термин, как правило, используется по отношению к хрящам.

Аксиальный (лат. axialis — осевой, от axis — ось) — осевой.

Анатомия (лат. anatomia, от греч. anatome — расчленение, рассечение) — наука о строении организмов и их отдельных органов, раздел морфологии. Основными разделами науки об анатомии человека являются нормальная анатомия и патологическая анатомия.

Аневризма (греч. aneurysma — расширение) — это расширение просвета кровеносного сосуда, выпячивание его стенки, вследствие истончения или растяжения.

Апоптоз (греч. apoptosis — отпадающий; листопад) — механизм программированной и регулируемой гибели клеток в процессе дифференцировки и преобразования тканей.

Арахноидальный (лат. arachnoidea — паутиннаяоболочка) — относящийся к паутинной оболочке головного или спинного мозга.

Арахноидит (греч. arazhne — паук, паутина; eidos — вид; — itis — воспаление) — воспаление паутинной оболочки головного или спинного мозга.

Арахноидит спинальный — арахноидит спинного мозга, проявляющийся корешковыми и проводниковыми симптомами, нарушениями циркуляции цереброспинальной жидкости.

Артерия (греч. arteria происходит от aer — воздух, атмосфера и tereo — содержу, храню) — это кровеносный сосуд, несущий кровь от сердца к органам и тканям.

Артроз (лат. arthros; от греч. arthron — сустав, лат. -osis — заболевание) — хроническое заболевание суставов, вызванное дегенеративно-дистрофическими процессами в суставе.

Артрология (от греч. arthron — сустав; logos — слово, учение) — раздел медицины, изучающий суставы и их заболевания.

Аутоиммунные заболевания (аутоиммунный от греч. autos — сам и лат. immunis — свободный от чего-либо) — это такие заболевания, в основе которых лежат реакции иммунитета, направленные против собственных органов или тканей организма.

Аутопсия (греч. autos — сам, opsis — видение) — патологоанатомическая или судебно-медицинская процедура вскрытия и исследования трупа с целью установления причин смерти или заболевания, повлекшего за собой смерть.


Васкуляризация (лат. vasculum — сосуд) — формирование новых сосудов (как правило, капилляров) внутри ткани.

Вентральный (ventralis; лат. venter — живот) — обращённый к брюшной поверхности или относящийся к животу, брюшной.

Выйная связка или затылочная (ligamentum nuchae) — прочная, упругая пластинка треугольной формы. Прикреплена одним концом к наружному гребню затылочной кости, а другим концом — к остистому отростку VII шейного позвонка.

Вывих (luxatio) — смещение суставных концов сочленяющихся костей за пределы их физиологической подвижности, вызывающее нарушение функции сустава.

Вытяжение (extension) — метод лечения повреждений (при переломах, вывихах), заключающийся в приложении силы по оси конечности или туловища с целью устранения смещения костных отломков, исправления контрактур, удлинения конечности и т. п.


Гиалиновые пластинки (греч. hyalos означает «стекло», hyalios — «прозрачный, стекловидный») — замыкательные пластинки, состоящие из микроскопических пластинчатых стекловидных структур. В структуре позвоночно-двигательного сегмента отделяют губчатую кость тела позвонка от межпозвонкового диска.

Гиперпатия (от греч. hyper — сверх, pathos — страдание) — значительное повышение, извращение чувствительности, которая характеризуется повышением порога восприятия, отсутствием точной локализации ощущений, наклонностью к иррадиации, длительным последействием.

Гиперестезия (от греч. hyper — сверх и aisthesis — ощущение, чувство) — повышенная чувствительность к раздражителям, действующим на органы чувств.

Гематоэнцефалический барьер (греч. haima — кровь, enkephalos — мозг) физиологический механизм, регулирующий обмен веществ между кровью, ликвором и мозгом. Барьер между кровью, с одной стороны, цереброспинальной жидкостью и нервной тканью, с другой стороны.

Гемоглобин (греч. haima — кровь, лат. globus — шар) — вещество, состоящее из белка глобина и пигмента гемма (железосодержащего порфирина), находящееся в красных клетках крови (эритроцитах), непосредственно выполняющее функцию переноса в крови кислорода от органов дыхания к тканям и диоксида углерода от тканей к органам дыхания.

Гемартроз (греч. haima — кровь, arthron — сустав) — кровоизлияние в полость суставов при травме.

Гематома (греч. haima — кровь, oma (onk) — опухоль) — ограниченное скопление крови в тканях с образованием в них полости, содержащей жидкую или свернувшуюся кровь. Образуется при закрытых или открытых повреждениях с разрывом (ранением) сосудов и излиянием крови в окружающие ткани.

Грыжа межпозвонкового диска — это патологическое состояние, при котором происходит прорыв и выход (экструзия, лат. extrudo — выталкивать; пролапс, лат. prolapsus — выпадение) фрагментов дегенерированного пульпозного ядра за границы фиброзного кольца.

Грыжа Шморля (хрящевой узелок Шморля, узелок Шморля) — это медицинский термин, который означает грыжевидное выпячивание, внедрение хрящевой ткани из межпозвонкового диска в губчатую кость тела позвонка.


Дегенерация (лат. degenerare — вырождаться, переставать развиваться, исчезать) — ослабление и утрата специальных функций клетками ткани или органом, разрушение клеток или органов живых организмов.

Деструкция (лат. destructio — разрушение) — в патоморфологии это разрушение тканевых, клеточных и субклеточных структур.

Дискэктомия (discectomia; лат. discus intervertebralis — межпозвонковый диск; ectomia от греч. ektome — вырезание, иссечение, удаление) — хирургическая операция удаления межпозвонкового диска.

Дистальный (лат. distalis — удалённый) — самый отдалённый, расположенный дальше от центра или срединной линии тела.

Дистрофия (приставка дис- (лат. dis-, греч. dys-) — раз-, не-, обозначающая нарушение, утрату; греч. trophe — питание) — патологический процесс (дегенерация, перерождение), заключающийся в замещении нормальных компонентов клетки продуктами нарушения обмена веществ или в отложении их в межклеточном пространстве. Нарушение питания тканей и внутренних органов, организма в целом, ведущее к истощению.

Дисцит (греч. diskos — диск, лат. окончание — itis — воспаление) — воспаление, поражение межпозвонкового диска.

Дорсальный или дорзальный (от лат. dorsum — спина) — обращенный к спине или расположенный на спинной стороне тела, спинной.

Дуга позвонка (arcus vertebrae) — дугообразная часть позвонка, от которой отходят остистый, поперечные и суставные отростки. Дуга расположена кзади от тела позвонка.

Дугоотростчатые суставы (фасеточные суставы или межпозвонковые суставы) — суставы между суставными отростками позвонков; плоские комбинированные суставы, образованные верхними и нижними суставными отростками смежных позвонков.

Дуральный (лат. durus — твёрдый) — относящийся к твёрдой мозговой оболочке; дуральный мешок — это герметичный соединительнотканный мешок, формируемый твёрдой мозговой оболочкой, в котором расположен спинной мозг.


Жёлтые связки (ligamenta flava) — связки, соединяющие дуги двух смежных позвонков и вместе с дужкой позвонка формирующие боковые и заднюю стенки позвоночного канала.


Задняя продольная связка (lig. longitudinale posterius) — связка, относящаяся к группе длинных связок позвоночного столба; тянется на всём протяжении позвоночника по задней (дорсальной) поверхности тел позвонков и межпозвонковых дисков.


Иммунитет (лат. immunitas — освобождение от чего-либо) — способность организма защищать свою целостность и биологическую индивидуальность; невосприимчивость организма к каким-либо инфекционным агентам и чужеродным веществам.

Иммуноглобулины (лат. immunis — свободный от чего-либо, лат. globus — шар) — основные защитные белки организма, обладающие активностью антител, участвующие в создании иммунитета. Содержатся в плазме крови и других жидкостях организма.

Имплантат (лат. префикс им- (in-, im-) — не, в, до, на — обозначает отсутствие чего-либо или проникновение во что-либо; лат. plantare — сажать) в хирургии — трансплантат из чуждых организму искусственных материалов (например, пластмасса, металл и т. п.).

Ишемия (от греч. ischo — задерживаю, останавливаю и haima — кровь) — нарушение кровоснабжения участка тела, органа или ткани вследствие ослабления или прекращения притока к нему артериальной крови или сужения, вследствие непроходимости снабжающих её кровеносных сосудов.

Ишиас (лат. ischias; от греч. ischion — седалище, бедро) — невралгия седалищного нерва.


Капилляр (лат. capillaris — волосной, от capillus волос) — в анатомии тончайший сосуд, стенка которого состоит из слоя эндотелиальных клеток.

Каудальный (лат. cauda — хвост) — располагающийся по продольной оси тела ближе к заднему концу тела (у человека к крестцово-копчиковому отделу), хвостовой, относящийся к хвосту.

Кинезитерапия (греч. kineo — двигаю, therapeia) — лечение движением (физ. упражнениями) заболеваний позвоночника.

Кифоз (греч. kyphos — согнувшийся, горб) — изгиб (искривление) позвоночника в сагиттальной плоскости с образованием выпуклости, обращенной кзади.

Кифосколиоз (kyphoscoliosis) — деформация позвоночника в виде сочетания кифоза со сколиозом.

Коллагеновые волокна (гр. kolla — клей, genos — рождающий, род, происхождение) — волокна внеклеточного вещества соединительной ткани животных и человека, состоящие главным образом из волокнистого белка коллагена, образующегося в фибробластах.

Комплекс Гольджи (аппарат Гольджи) — пластинчатый комплекс, клеточный органоид, выполняющий ряд важных функций.

Компрессионные переломы (лат. compressio — сжатие) — это переломы, при которых под воздействием травмирующей силы возникает компрессия тела позвонка, что приводит к уменьшению его высоты.

Компримировать (лат. wmprimere — сжимать, сдавить) — подвергать сжатию.

Консервативный (лат. conservativus, от conservare — охранять, сохранять) — в медицине метод лечения, не связанный с хирургическим вмешательством.

Копчик (лат. os coccygis — кость копчика, vertebrae coccygeae — позвонки копчиковые) — концевая (нижняя) часть позвоночника человека, состоящая из 3–5 сросшихся в одну кость рудиментарных позвонков.

Корешок спинномозгового нерва (radix nervi spinalis) — пучок нервных волокон, входящих и выходящих из какого-либо сегмента спинного мозга и образующих спинномозговой нерв.

Краниальный (греч. kranion — череп) — расположенный по продольной оси тела животного в направлении к голове, черепной, относящийся к черепу.

Крестец (sacrum) — массивная, закругленная треугольная структура, входящая в состав позвоночника. Образована пятью сросшимися между собой крестцовыми позвонками (vertebrae sacrales).


Ламинэктомия (лат. lamina — пластинка, греч. ektome — иссечение) — хирургическая операция: вскрытие позвоночного канала путём удаления дуг позвонков.

Латеральный (лат. lateralis — боковой) — боковой, расположенный сбоку, удалённый от средней линии.

Ликвор или цереброспинальная жидкость, спинномозговая жидкость (лат. liquor — жидкость) — бесцветная, прозрачная жидкость, заполняющая полости спинного и головного мозга.

Локомоция (лат. locus — место, motio — движение) — совокупность согласованных движений, посредством которых человек или животное активно перемещается в пространстве.

Лордоз (греч. lordos — выгнутый) — изгиб (искривление) позвоночника в сагиттальной плоскости, обращенное выпуклостью кпереди.

Люмбалгая (лат. lumbus — поясница, греч. algos — боль) — общее название продолжительных болей в пояснично-крестцовой области, обусловленных раздражением нервов, нервных корешков или мышц.

Люмбальный (лат. lumbus — поясница) — относящийся к поясничной области, к поясничному отделу позвоночника или спинного мозга.

Люмбоишиалгáя — боль в пояснице, отдающая (иррадирующая) в одну или две ноги.


Медиальный (позднелат. medialis, от лат. mediana — средняя) — расположенный ближе к медианной (срединной, продольной) плоскости тела или по направлению к ней.

Медианный (лат. mediana — средняя) — срединный, находящийся посередине, расположенный в срединной плоскости тела, идущей спереди назад по его центру.

Медицина (лат. medicina — врачебная, лечебная наука; medica — целительница, исцеление, а также целебные травы, лекарственные растения) — область науки и практическая деятельность, направленные на сохранение и укрепление здоровья людей, предупреждение и лечение болезней.

Межклеточный матрикс (лат. matrix, от mater — основа, мать) — неклеточные структуры ткани; матрикс составляет основу соединительной ткани и образуется её клетками. В состав межклеточного вещества входят самые разнообразные структуры: коллаген, эластин, гликозамингликаны (мукополисахариды), к примеру такие как гиалуроновая кислота, протеогликаны хондроитинсульфаты, кератансульфаты и т. д.

Межостистые связки (lig. interspinale) — связки, соединяющие остистые отростки смежных позвонков. Относятся к коротким связкам позвоночника.

Межпоперечные связки (lig. intertransversarium) — связки, соединяющие поперечные отростки соседних позвонков. Относятся к коротким связкам позвоночника.

Межпозвонковый диск (discus intervertebralis) — прочный волокнистый хрящ, состоящий из фиброзного кольца и студёнистого ядра, соединяющий тела соседних позвонков; полусустав (симфиз межпозвонковый), обеспечивающий подвижность тела одного позвонка относительно тела смежного позвонка.

Межпозвонковое отверстие или фораминальное отверстие (foramen intervertebrale; от лат. foramen — отверстие) — отверстие, образованное верхней и нижней позвоночными вырезками соседних позвонков, через которое проходит корешок спинномозгового нерва, а также кровеносные сосуды (спинномозговая артериальная ветвь и межпозвонковая вена). Расположено на боковой поверхности позвоночника.

Межпозвонковые суставы — см. дугоотростчатые суставы.

Менингит (от греч. meningos — мозговая оболочка; лат. -itis — воспаление) — воспаление оболочек головного и (или) спинного мозга.

Менингеальный (от греч. meningos — мозговая оболочка) — относящийся к мозговым оболочкам.

Метаплазия (от греч. metaplasis — преобразование) — это превращение одной разновидности ткани в другую, отличную от первой морфологически и функционально при сохранении её основной видовой принадлежности.

Механорецепторы (от греч. mechane — машина, лат. receptor — принимающий) — рецепторы, воспринимающие механические раздражения извне.

Миелит (от греческого myelos — мозг; лат. -itis — воспаление) — воспаление спинного мозга.

Миелопатая (греч. myelos — мозг; — pathos — страдание, болезнь) — невоспалительные, дистрофические поражения спинного мозга различной этиологии.

Митоз (греч. mitos — нить) — способ деления клетки, при котором происходит равномерное распределение удвоенного наследственного материала между двумя дочерними клетками, что обеспечивает образование генетически равноценных клеток.

Мозговая оболочка (мн. ч. meninges) — общее название соединительнотканных оболочек головного и спинного мозга.


Надостистая связка (ligamentum supraspinale) — связка, относящаяся к группе длинных связок позвоночного столба; тянется вдоль верхушки остистых отростков на всём протяжении позвоночника, от VII шейного позвонка и до самого крестца. Кверху от VII шейного позвонка надостистая связка переходит в выйную связку.

Нейроинфекция (греч. neuron — жила, нерв; лат. infectio — заражение) — общее название инфекционных болезней, характеризующихся преимущественной локализацией возбудителя инфекции в центральной нервной системе и клиническими признаками поражения каких-либо её отделов.

Некроз (греч. nekros — мёртвый, омертвение) — патологический процесс, выражающийся в местной гибели клеток, ткани или органа в живом организме, под влиянием нарушения кровообращения, химического или термического воздействия, травмы и др.

Нервный корешок (radix) — пучок нервных волокон, выходящий из головного или спинного мозга; образует периферические нервы.

Нервы (греч. neuron — жила, нерв) — тяжи, состоящие из пучков нервных волокон, окружённых соединительнотканными оболочками; обеспечивают проведение нервных импульсов. Нервы связывают мозг и нервные узлы с другими органами и тканями тела, образуют разветвлённую систему.

Нервы спинномозговые (n. spinales) — парные смешанные нервы, образованные передними и задними корешками спинного мозга; иннервируют кожу, мышцы туловища и конечностей, а также (частично) шеи и головы. 31 пара отходящих от спинного мозга нервов выходят из межпозвонковых отверстий между дугами позвонков и распределяются по всему телу человека. Каждый нерв имеет два корешка: передний, содержащий двигательные нервные волокна, и задний, содержащий чувствительные нервные волокна. Сразу же после выхода из спинного мозга они соединяются, образуя смешанный спинномозговой нерв, выходящий с обеих сторон позвоночника.

Ноцицепторы или ноцирецепторы (лат. noceo — повреждение, боль, nocens — вредный, лат. receptor — принимающий) — рецепторы, раздражение которых вызывает ощущение боли. Они стимулируются химическими веществами, выделяющимися при повреждении или воспалении клетки.


Облитерация (от лат. obliteratio — забвение, изглаживание) — заращение полости или просвета какого-либо сосуда, трубчатого органа.

Онтогенез (греч. on, ontos — сущее, genesis — происхождение, возникновение) — индивидуальное развитие организма, совокупность морфологических, физиологических и биохимических преобразований, претерпеваемых организмом от зарождения до конца жизни.

Оссификат (лат. os, ossis — кость, facio — делать; окостенение), костные наросты растут навстречу друг другу, а затем сращиваются вместе, образуя единый оссификат, блокирующий движение в соответствующем позвоночно-двигательном сегменте. То есть, образуется своеобразная мощная костная скоба, которая соединяет тела смежных позвонков и жёстко фиксирует сегмент.

Оссификация или окостенение (лат. os, ossis — кость, facio — делать) — процесс образования кости (окостенение); физиологический процесс наполнения межклеточного вещества хрящевой или соединительной ткани минеральными солями.

Остеобласты (греч. osteon — кость, blastos — зародыш, росток) — молодые клетки, участвующие в построении костной ткани, в процессах развития, перестройки костей. Синтезируют материал волокон и основного вещества костной ткани (межклеточный матрикс), регулируют поток ионов кальция в очагах костеобразования.

Остеокласты (греч. osteon—кость, clao—раздроблять, разбивать) — клетки, разрушающие костную ткань при её перестройках, участвуют в рассасывании основного вещества кости.

Остеология (греч. osteon — кость, logos — слово, учение) — раздел анатомии, изучающий строение, развитие и изменение костного скелета.

Остеопатология (греч. osteon — кость, медицинская приставка — patho — относящийся к болезни, logos — слово; учение) — раздел медицины, изучающий болезни костей.

Остеопороз (греч. osteon — кость, poros — пора, отверстие, — osis — заболевание) — после переломов, при различных заболеваниях дистрофия костной ткани с перестройкой её структуры, характеризующаяся уменьшением числа костных перекладин в единице объёма кости, истончением, искривлением и полным рассасыванием части этих элементов.

Остеофит (от греч. esteon — кость, phyton — отросток) — это краевое костное разрастание на поверхности кости, костный нарост небольшого размера, чаще всего по виду напоминает шип, может иметь неправильную форму; может быть единичным или множественным (остеофитоз).

Остеохондроз позвоночника (греч. osteon — «кость», chodros — хрящ; медицинское окончание «оз» (лат. — osis) — заболевание) — это дегенеративно-дистрофический процесс, который, как правило, начинается в межпозвонковом диске с постепенным (поэтапным) вовлечением в него элементов и структур как данного позвоночнодвигательного сегмента, так и всего позвоночника в целом.

Остистый отросток (processus spinosus) — непарный отросток позвонка, отходящий от задней поверхности его дуги по срединной линии.


Паренхима (греч. parechyma, от para — возле, enchyma — влитое, разлитое) — основная специфическая ткань какого-либо органа, выполняющая основную функцию этого органа.

Патоморфология (греч. pathos — боль, страдание, греч. morphe — форма, genesis — происхождение, возникновение) — медицинская наука, изучающая патологические процессы и болезни с помощью морфологических методов исследования.

Патогенез (греч. pathos — боль, страдание, греч. genesis — происхождение, развитие) — 1) учение об общих закономерностях развития, течения и исхода болезней; 2) механизм развития конкретной болезни, патологического процесса или состояния.

Позвоночно-двигательный сегмент (ПДС) (лат. segmentum — «отрезок») — анатомический комплекс, состоящий из одного межпозвонкового диска, двух смежных позвонков с соответствующими суставами, связочным аппаратом на данном уровне.

Передняя продольная связка (ligamentum longitudinale ante-rius) — широкий соединительнотканный тяж, который проходит по передней и отчасти по боковым поверхностям тел позвонков и межпозвонковых дисков на всём протяжении позвоночника от нижней поверхности тела затылочной кости, глоточного бугорка и переднего бугорка атланта до первого крестцового позвонка. Относится к группе длинных связок позвоночного столба.

Позвоночный канал (canalis vertebralis) — канал, образованный совокупностью позвоночных отверстий при наложении ряда позвонков друг на друга. Является вместилищем спинного мозга, его оболочек и корешков.

Проприоцепторы (лат. proprius — собственный, лат. receptor — принимающий) — рецепторы, расположенные в тканях мышечно-суставного аппарата, воспринимающие их растяжение или сокращение.

Протрузия межпозвонкового диска (лат. pro — вперёд, truso — толкать) — это этап дегенеративно-дистрофического процесса, при котором происходит выпячивание за пределы края тел позвонков содержимого межпозвонкового диска (пульпозного ядра) с сохранением целостности его оболочки (фиброзного кольца).

Пульпозные ядро (nucleus pulposus) — центральная часть межпозвонкового диска, представленная желеобразным округлым ядром. Является остатком хорды, состоит из межклеточного вещества и хрящевых клеток (хондроцитов, хондробластов).


Радикулит (лат. radicula — корешок, — itis — воспаление) — воспаление корешков спинномозговых нервов.

Регенерация (позднелат. regeneratio — возрождение, возобновление; лат. приставки re— опять, вновь, и generatio — рождение) — способность организма к обновлению, восстановлению утраченных или повреждённых тканей, органов.

Ретроспондилолистез (лат. retro — обратно, назад, греч. spondylos — позвонок, olisthesis — соскальзывание, смещение) — смещение позвонка относительно нижележащего позвонка кзади в результате травмы или патологического процесса в межпозвонковом диске.

Ретрузия (лат. retro — обратно, назад, truso — толкать) — обратное движение.

Рецепторы (лат. receptor — принимающий) — анатомическое образование (чувствительное нервное окончание или специализированная клетка), преобразующее воспринимаемое раздражение из внешней и внутренней среды в нервные импульсы.

Ротация (от лат. rotatio — кругообразное движение, вращение) — в физиологии это движение конечности или её части вокруг продольной оси, круговое движение в каком-либо суставе.

Рудимент (лат. rudimentum — зачаток, первооснова) — остаточный, недоразвитый орган, бывший полноценным на предшествующих стадиях существования организма.


Сагиттальный (лат. sagitta — стрела) — в анатомии расположение в переднезаднем (дорсовентральном) направлении; сагиттальная плоскость — условная плоскость, делящая тело продольно на правую и левую половину.

Сакрализация (анат. лат. sacralis — крестцовый) — медицинский термин, означающий аномальное слияние пятого поясничного позвонка с крестцом.

Связки позвоночника (лат. ligamenta — перевязь) — тяжи, пучки или пластины плотной волокнистой соединительной ткани различной формы, способствующие соединению костей скелета.

Сегментарная нестабильность — чрезмерная патологическая подвижность в сегментах позвоночника.

Секвестр (лат. sequestro — ставлю вне, отделяю) — омертвевший в результате нарушения кровоснабжения участок ткани, отделившийся от окружающей здоровой ткани организма.

Синдесмология (греч. syndesmos — связка; logos — слово, учение) — раздел анатомии, изучающий соединения костей между собой.

Синовиальные суставы — см. дугоотростчатые суставы.

Симфиз межпозвонковый (symphysis — переходные соединения, срастания) — см. межпозвонковые диски.

Склероз (греч. sklerosis — затвердение, уплотнение, лат. — osis — заболевание) — уплотнение ткани или органа, вызванное старением и отмиранием функциональных клеток и заменой их плотной соединительной тканью.

Сколиоз (греч. skoliosis — искривление, лат. -osis — заболевание) — заболевание опорно-двигательного аппарата: дугообразное искривление позвоночника во фронтальной плоскости.

Спаечные патологические процессы — это процессы, происходящие на участке воспаления или повреждения (в том числе и после хирургического вмешательства), в результате которых образуются спайки — фиброзные тяжи (тонкие тяжи, плёнки и сращения) между смежными поверхностями (тканей, органов).

Спинной мозг — важный отдел центральной нервной системы, расположенный в позвоночном канале.

Спинномозговая жидкость — см. ликвор.

Спондилёз (греч. spodylos — позвонок) — костные разрастания на теле позвонка — костный нарост (чаще всего клювовидной формы; шпора), вырастающий над выпятившимся межпозвонковым диском; хроническое заболевание позвоночника, связанное с дистрофическими изменениями в межпозвонковых дисках.

Спондилит (греч. spondylos — позвонок; лат. -itis — воспаление) — воспалительное заболевание позвоночника; характерный признак — первичное разрушение тел позвонков с последующей деформацией позвоночника.

Спондилоартроз (греч. spondylos — позвонок, греч. arthron — сустав) — хроническое невоспалительное заболевание межпозвонковых суставов.

Спондилодез (греч. spodylos — позвонок, desis — связывание) — операция, направленная на обездвижение какого-либо сегмента или отдела позвоночника (сращения) с помощью установки между ними костного трансплантата или имплантата различных конструкций.

Спондилолистез (греч. spondylos — позвонок, olisthesis — соскальзывание, смещение) — смещение позвонка относительно нижележащего позвонка кпереди в результате травмы или патологического процесса в межпозвонковом диске.

Стеноз (греч. steosis — узкий, сужение) — врождённое или приобретённое аномальное сужение просвета какого-либо полого органа (пищевода, кишечника, кровеносного сосуда и др.) или отверстия между полостями, затрудняющее их функционирование (например при пороках сердца).


Томография компьютерная (греч. tomos — часть, слой; grapho — пишу) — диагностический метод путём послойного исследования внутренней структуры объекта тонким пучком рентгеновского излучения с последующим построением изображения этого слоя с помощью компьютера, что позволяет дифференцировать ткани, незначительно различающиеся по степени поглощения рентгеновского излучения.

Транспозиция спинного мозга (лат. transpositio — перестановка) — перемещение дурального мешка с его содержимым (спинным мозгом) в новое, более короткое по протяжённости ложе, что приводит к расслаблению растянутых структур спинного мозга, а вместе с ним и кровеносных сосудов и вследствие этого улучшению его кровоснабжения.

Трофика (греч. trophe — питание) — совокупность процессов, лежащих в основе клеточного питания, которые обеспечивают сохранение структуры и функции тканей и органа.


Фиброзное кольцо (лат. fibra — волокно) — прочный волокнистый хрящ — наружная оболочка межпозвонкового диска.

Фибротизация межпозвонкового диска (лат. fibrosis — уплотнение) — перерождение и уплотнение ткани диска.

Фораминальное отверстие — см. межпозвонковое отверстие

Фронтальный (лат. frons, frontis — лоб, передняя сторона) в медицине относящийся к вертикальной плоскости, перпендикулярной к сагиттальной плоскости; лобный, относящийся ко лбу.


Хондробласты (греч. chondros — хрящ, blastos — росток, зародыш, побег (растущая клетка, ткань)) — это молодые клетки хрящевой ткани, активно образующие межклеточное вещество, участвующие в росте хряща.

Хондроциты (греч. chondros — хрящ, kytos — вместилище, сосуд, клетка) — это зрелые клетки хрящевой ткани, которые образуются из хондробластов.


Цереброспинальная жидкость или ликвор (лат. cerebrum — головной мозг; spinalis — спинной мозг) — жидкая среда, заполняющая полости спинного и головного мозга.


Экструзия межпозвонкового диска (лат. extrudere — выталкивать) — выход содержимого межпозвонкового диска (пульпозного ядра) за пределы фиброзного кольца.

Эмбриогенез (греч. embryon — зародыш, зарождение, genesis — происхождение, развитие) — процесс эмбрионального развития организма.

Эпидуральное пространство (греч. epi-на, над, поверх чего-либо; лат. durus — твёрдый) — это пространство между твёрдой оболочкой спинного мозга и надкостницей позвонков; содержит рыхлую соединительную ткань, которая окружает венозные сплетения, а также корешки спинномозговых нервов.

Эпидурит (от греч. ерг — на, над, при, после; лат. durus — твёрдый; — itis — воспаление) — это воспалительный процесс в эпидуральном пространстве и на наружной поверхности твёрдой мозговой оболочки спинного мозга с возможным вовлечением в воспалительный процесс спинномозговых корешков.

Этиология (груч. aitia — причина, logos — учение, наука) — раздел патологии, изучающий причины и условия возникновения болезней или патологического состояния.


Оглавление

  • Предисловие
  • Занимательная природа позвоночника
  • Строение позвоночника — «Древа Жизни»
  • Остеохондроз позвоночника
  • Лечение остеохондроза
  • Вертеброревитология
  • Словарь медицинских терминов